看不见的扩散-施尼茨勒转移揭幕:一份病例报告。

Korean journal of clinical oncology Pub Date : 2024-12-01 Epub Date: 2024-12-31 DOI:10.14216/kjco.24013
Jeya Anand Ayyamperumal, Maravadi Jayaraman Chandrabose Ambedkar, Anand Lakshmanan, Jeswanth Satyanesan
{"title":"看不见的扩散-施尼茨勒转移揭幕:一份病例报告。","authors":"Jeya Anand Ayyamperumal, Maravadi Jayaraman Chandrabose Ambedkar, Anand Lakshmanan, Jeswanth Satyanesan","doi":"10.14216/kjco.24013","DOIUrl":null,"url":null,"abstract":"<p><p>Metastasis to the rectum is very rare and is usually caused by primaries from the breast, gastrointestinal tract, and genitourinary system. We report here a case of acute intestinal obstruction caused by an unusual rectal stenosis, for which he underwent a diversion stoma. On extensive evaluation for the etiology of the rectal stenosis, he was diagnosed with diffuse gastric cancer with Schnitzler's metastasis to the rectal submucosa. This is an unusual type of metastasis, very rarely seen. Only 11 such cases have been reported in the literature.</p>","PeriodicalId":74045,"journal":{"name":"Korean journal of clinical oncology","volume":"20 2","pages":"88-92"},"PeriodicalIF":0.0000,"publicationDate":"2024-12-01","publicationTypes":"Journal Article","fieldsOfStudy":null,"isOpenAccess":false,"openAccessPdf":"https://www.ncbi.nlm.nih.gov/pmc/articles/PMC11717580/pdf/","citationCount":"0","resultStr":"{\"title\":\"The unseen spread-Schnitzler's metastasis unveiled: a case report.\",\"authors\":\"Jeya Anand Ayyamperumal, Maravadi Jayaraman Chandrabose Ambedkar, Anand Lakshmanan, Jeswanth Satyanesan\",\"doi\":\"10.14216/kjco.24013\",\"DOIUrl\":null,\"url\":null,\"abstract\":\"<p><p>Metastasis to the rectum is very rare and is usually caused by primaries from the breast, gastrointestinal tract, and genitourinary system. We report here a case of acute intestinal obstruction caused by an unusual rectal stenosis, for which he underwent a diversion stoma. On extensive evaluation for the etiology of the rectal stenosis, he was diagnosed with diffuse gastric cancer with Schnitzler's metastasis to the rectal submucosa. This is an unusual type of metastasis, very rarely seen. Only 11 such cases have been reported in the literature.</p>\",\"PeriodicalId\":74045,\"journal\":{\"name\":\"Korean journal of clinical oncology\",\"volume\":\"20 2\",\"pages\":\"88-92\"},\"PeriodicalIF\":0.0000,\"publicationDate\":\"2024-12-01\",\"publicationTypes\":\"Journal Article\",\"fieldsOfStudy\":null,\"isOpenAccess\":false,\"openAccessPdf\":\"https://www.ncbi.nlm.nih.gov/pmc/articles/PMC11717580/pdf/\",\"citationCount\":\"0\",\"resultStr\":null,\"platform\":\"Semanticscholar\",\"paperid\":null,\"PeriodicalName\":\"Korean journal of clinical oncology\",\"FirstCategoryId\":\"1085\",\"ListUrlMain\":\"https://doi.org/10.14216/kjco.24013\",\"RegionNum\":0,\"RegionCategory\":null,\"ArticlePicture\":[],\"TitleCN\":null,\"AbstractTextCN\":null,\"PMCID\":null,\"EPubDate\":\"2024/12/31 0:00:00\",\"PubModel\":\"Epub\",\"JCR\":\"\",\"JCRName\":\"\",\"Score\":null,\"Total\":0}","platform":"Semanticscholar","paperid":null,"PeriodicalName":"Korean journal of clinical oncology","FirstCategoryId":"1085","ListUrlMain":"https://doi.org/10.14216/kjco.24013","RegionNum":0,"RegionCategory":null,"ArticlePicture":[],"TitleCN":null,"AbstractTextCN":null,"PMCID":null,"EPubDate":"2024/12/31 0:00:00","PubModel":"Epub","JCR":"","JCRName":"","Score":null,"Total":0}
引用次数: 0

摘要

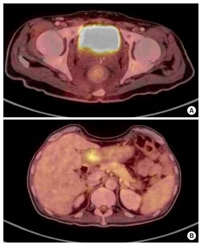
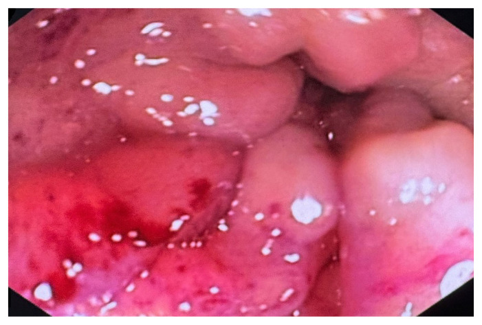
转移到直肠是非常罕见的,通常是由乳房,胃肠道和泌尿生殖系统的原发引起的。我们在这里报告一个病例急性肠梗阻引起一个不寻常的直肠狭窄,他接受了转移口。在对直肠狭窄的病因进行广泛评估后,他被诊断为弥漫性胃癌并伴有Schnitzler转移到直肠粘膜下层。这是一种不寻常的转移类型,非常罕见。文献中仅报道了11例此类病例。
本文章由计算机程序翻译,如有差异,请以英文原文为准。

The unseen spread-Schnitzler's metastasis unveiled: a case report.

The unseen spread-Schnitzler's metastasis unveiled: a case report.

The unseen spread-Schnitzler's metastasis unveiled: a case report.

The unseen spread-Schnitzler's metastasis unveiled: a case report.

Metastasis to the rectum is very rare and is usually caused by primaries from the breast, gastrointestinal tract, and genitourinary system. We report here a case of acute intestinal obstruction caused by an unusual rectal stenosis, for which he underwent a diversion stoma. On extensive evaluation for the etiology of the rectal stenosis, he was diagnosed with diffuse gastric cancer with Schnitzler's metastasis to the rectal submucosa. This is an unusual type of metastasis, very rarely seen. Only 11 such cases have been reported in the literature.

求助全文
通过发布文献求助,成功后即可免费获取论文全文。 去求助
来源期刊
自引率
0.00%
发文量
0
×
引用
GB/T 7714-2015
复制
MLA
复制
APA
复制
导出至
BibTeX EndNote RefMan NoteFirst NoteExpress
×
提示
您的信息不完整,为了账户安全,请先补充。
现在去补充
×
提示
您因"违规操作"
具体请查看互助需知
我知道了
×
提示
确定
请完成安全验证×
copy
已复制链接
快去分享给好友吧!
我知道了
右上角分享
点击右上角分享
0
联系我们:info@booksci.cn Book学术提供免费学术资源搜索服务,方便国内外学者检索中英文文献。致力于提供最便捷和优质的服务体验。 Copyright © 2023 布克学术 All rights reserved.
京ICP备2023020795号-1
ghs 京公网安备 11010802042870号
Book学术文献互助
Book学术文献互助群
群 号:604180095
Book学术官方微信