子宫内膜癌间质肿瘤浸润淋巴细胞与临床病理参数的关系。

Korean journal of clinical oncology Pub Date : 2024-12-01 Epub Date: 2024-12-31 DOI:10.14216/kjco.24010
Sana Ahuja, Ashi Dubey, Sufian Zaheer
{"title":"子宫内膜癌间质肿瘤浸润淋巴细胞与临床病理参数的关系。","authors":"Sana Ahuja, Ashi Dubey, Sufian Zaheer","doi":"10.14216/kjco.24010","DOIUrl":null,"url":null,"abstract":"<p><strong>Purpose: </strong>Endometrial cancer (EC) ranks as one of the most prevalent gynecological malignancies globally. The presence and role of stromal tumor-infiltrating lymphocytes (TILs) in the tumor microenvironment have garnered interest due to their prognostic and therapeutic potential. This study aimed to evaluate the association between stromal TILs and various clinicopathological parameters in EC.</p><p><strong>Methods: </strong>A prospective study was conducted which included 30 histologically confirmed cases of endometrial carcinoma. Specimens collected from January 2023 to June 2024 were processed for routine histopathological examination and immunohistochemistry for CD3 and CD20 markers. TILs were quantified as per the International Immuno-Oncology Biomarker Working Group guidelines and categorized into low (<20%) and high (≥20%) TILs.</p><p><strong>Results: </strong>The study comprised 30 female patients, predominantly aged 51 to 60 years. Most tumors were of the endometrioid subtype (93.3%). High TILs were significantly associated with early tumor stage, lower grade, lesser myometrial invasion, and absence of nodal involvement on univariate analysis and with lower tumor stage and grade on multivariate analysis. No significant association was found between TILs and age, lymphovascular, or perineural invasion.</p><p><strong>Conclusion: </strong>The findings suggest that high TIL infiltration correlates with favorable tumor characteristics, potentially serving as a prognostic marker for early and less aggressive EC. High TILs were associated with better tumor stage, grade, and reduced nodal involvement, indicating their protective role in tumor progression. However, the lack of association with certain parameters calls for further investigation into the functional state of TILs and their interactions within the tumor microenvironment.</p>","PeriodicalId":74045,"journal":{"name":"Korean journal of clinical oncology","volume":"20 2","pages":"74-78"},"PeriodicalIF":0.0000,"publicationDate":"2024-12-01","publicationTypes":"Journal Article","fieldsOfStudy":null,"isOpenAccess":false,"openAccessPdf":"https://www.ncbi.nlm.nih.gov/pmc/articles/PMC11717582/pdf/","citationCount":"0","resultStr":"{\"title\":\"Association of stromal tumor-infiltrating lymphocytes with clinicopathological parameters in endometrial cancer.\",\"authors\":\"Sana Ahuja, Ashi Dubey, Sufian Zaheer\",\"doi\":\"10.14216/kjco.24010\",\"DOIUrl\":null,\"url\":null,\"abstract\":\"<p><strong>Purpose: </strong>Endometrial cancer (EC) ranks as one of the most prevalent gynecological malignancies globally. The presence and role of stromal tumor-infiltrating lymphocytes (TILs) in the tumor microenvironment have garnered interest due to their prognostic and therapeutic potential. This study aimed to evaluate the association between stromal TILs and various clinicopathological parameters in EC.</p><p><strong>Methods: </strong>A prospective study was conducted which included 30 histologically confirmed cases of endometrial carcinoma. Specimens collected from January 2023 to June 2024 were processed for routine histopathological examination and immunohistochemistry for CD3 and CD20 markers. TILs were quantified as per the International Immuno-Oncology Biomarker Working Group guidelines and categorized into low (<20%) and high (≥20%) TILs.</p><p><strong>Results: </strong>The study comprised 30 female patients, predominantly aged 51 to 60 years. Most tumors were of the endometrioid subtype (93.3%). High TILs were significantly associated with early tumor stage, lower grade, lesser myometrial invasion, and absence of nodal involvement on univariate analysis and with lower tumor stage and grade on multivariate analysis. No significant association was found between TILs and age, lymphovascular, or perineural invasion.</p><p><strong>Conclusion: </strong>The findings suggest that high TIL infiltration correlates with favorable tumor characteristics, potentially serving as a prognostic marker for early and less aggressive EC. High TILs were associated with better tumor stage, grade, and reduced nodal involvement, indicating their protective role in tumor progression. However, the lack of association with certain parameters calls for further investigation into the functional state of TILs and their interactions within the tumor microenvironment.</p>\",\"PeriodicalId\":74045,\"journal\":{\"name\":\"Korean journal of clinical oncology\",\"volume\":\"20 2\",\"pages\":\"74-78\"},\"PeriodicalIF\":0.0000,\"publicationDate\":\"2024-12-01\",\"publicationTypes\":\"Journal Article\",\"fieldsOfStudy\":null,\"isOpenAccess\":false,\"openAccessPdf\":\"https://www.ncbi.nlm.nih.gov/pmc/articles/PMC11717582/pdf/\",\"citationCount\":\"0\",\"resultStr\":null,\"platform\":\"Semanticscholar\",\"paperid\":null,\"PeriodicalName\":\"Korean journal of clinical oncology\",\"FirstCategoryId\":\"1085\",\"ListUrlMain\":\"https://doi.org/10.14216/kjco.24010\",\"RegionNum\":0,\"RegionCategory\":null,\"ArticlePicture\":[],\"TitleCN\":null,\"AbstractTextCN\":null,\"PMCID\":null,\"EPubDate\":\"2024/12/31 0:00:00\",\"PubModel\":\"Epub\",\"JCR\":\"\",\"JCRName\":\"\",\"Score\":null,\"Total\":0}","platform":"Semanticscholar","paperid":null,"PeriodicalName":"Korean journal of clinical oncology","FirstCategoryId":"1085","ListUrlMain":"https://doi.org/10.14216/kjco.24010","RegionNum":0,"RegionCategory":null,"ArticlePicture":[],"TitleCN":null,"AbstractTextCN":null,"PMCID":null,"EPubDate":"2024/12/31 0:00:00","PubModel":"Epub","JCR":"","JCRName":"","Score":null,"Total":0}
引用次数: 0

摘要

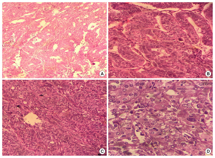
目的:子宫内膜癌是全球最常见的妇科恶性肿瘤之一。基质肿瘤浸润淋巴细胞(til)在肿瘤微环境中的存在和作用由于其预后和治疗潜力而引起了人们的兴趣。本研究旨在评估间质til与EC中各种临床病理参数之间的关系。方法:对30例经组织学证实的子宫内膜癌进行前瞻性研究。于2023年1月至2024年6月采集标本,进行常规组织病理学检查和CD3、CD20标记物免疫组化检测。根据国际免疫肿瘤学生物标志物工作组指南对til进行量化,并将其分类为低(结果:该研究包括30名女性患者,主要年龄在51至60岁之间。大多数肿瘤为子宫内膜样亚型(93.3%)。在单因素分析中,高TILs与早期肿瘤分期、低分级、较小的肌层侵犯和无淋巴结累及显著相关,而在多因素分析中,高TILs与较低的肿瘤分期和分级显著相关。未发现TILs与年龄、淋巴血管或神经周围浸润有显著关联。结论:研究结果表明,高TIL浸润与有利的肿瘤特征相关,可能作为早期和侵袭性较低的EC的预后标志。高til与更好的肿瘤分期、分级和减少淋巴结受累相关,表明其在肿瘤进展中的保护作用。然而,由于缺乏与某些参数的关联,需要进一步研究TILs的功能状态及其在肿瘤微环境中的相互作用。
本文章由计算机程序翻译,如有差异,请以英文原文为准。

Association of stromal tumor-infiltrating lymphocytes with clinicopathological parameters in endometrial cancer.

Association of stromal tumor-infiltrating lymphocytes with clinicopathological parameters in endometrial cancer.

Association of stromal tumor-infiltrating lymphocytes with clinicopathological parameters in endometrial cancer.

Purpose: Endometrial cancer (EC) ranks as one of the most prevalent gynecological malignancies globally. The presence and role of stromal tumor-infiltrating lymphocytes (TILs) in the tumor microenvironment have garnered interest due to their prognostic and therapeutic potential. This study aimed to evaluate the association between stromal TILs and various clinicopathological parameters in EC.

Methods: A prospective study was conducted which included 30 histologically confirmed cases of endometrial carcinoma. Specimens collected from January 2023 to June 2024 were processed for routine histopathological examination and immunohistochemistry for CD3 and CD20 markers. TILs were quantified as per the International Immuno-Oncology Biomarker Working Group guidelines and categorized into low (<20%) and high (≥20%) TILs.

Results: The study comprised 30 female patients, predominantly aged 51 to 60 years. Most tumors were of the endometrioid subtype (93.3%). High TILs were significantly associated with early tumor stage, lower grade, lesser myometrial invasion, and absence of nodal involvement on univariate analysis and with lower tumor stage and grade on multivariate analysis. No significant association was found between TILs and age, lymphovascular, or perineural invasion.

Conclusion: The findings suggest that high TIL infiltration correlates with favorable tumor characteristics, potentially serving as a prognostic marker for early and less aggressive EC. High TILs were associated with better tumor stage, grade, and reduced nodal involvement, indicating their protective role in tumor progression. However, the lack of association with certain parameters calls for further investigation into the functional state of TILs and their interactions within the tumor microenvironment.

求助全文
通过发布文献求助,成功后即可免费获取论文全文。 去求助
来源期刊
自引率
0.00%
发文量
0
×
引用
GB/T 7714-2015
复制
MLA
复制
APA
复制
导出至
BibTeX EndNote RefMan NoteFirst NoteExpress
×
提示
您的信息不完整,为了账户安全,请先补充。
现在去补充
×
提示
您因"违规操作"
具体请查看互助需知
我知道了
×
提示
确定
请完成安全验证×
copy
已复制链接
快去分享给好友吧!
我知道了
右上角分享
点击右上角分享
0
联系我们:info@booksci.cn Book学术提供免费学术资源搜索服务,方便国内外学者检索中英文文献。致力于提供最便捷和优质的服务体验。 Copyright © 2023 布克学术 All rights reserved.
京ICP备2023020795号-1
ghs 京公网安备 11010802042870号
Book学术文献互助
Book学术文献互助群
群 号:604180095
Book学术官方微信