使用细胞因子诱导的杀伤细胞疗法和大剂量维生素C长期抑制胆管癌肿瘤:1例报告。

Korean journal of clinical oncology Pub Date : 2024-12-01 Epub Date: 2024-12-31 DOI:10.14216/kjco.24012
Kangseok Kim, Hyunhye Wang, Jiewon Lee, Changhwan Yeom
{"title":"使用细胞因子诱导的杀伤细胞疗法和大剂量维生素C长期抑制胆管癌肿瘤:1例报告。","authors":"Kangseok Kim, Hyunhye Wang, Jiewon Lee, Changhwan Yeom","doi":"10.14216/kjco.24012","DOIUrl":null,"url":null,"abstract":"<p><p>This case study explores the effectiveness of autologous cytokine-induced killer (CIK) cell-based immunotherapy in a 49-year-old male patient with inoperable stage IIIb cholangiocarcinoma, characterized by high levels of the sodium-dependent vitamin C transporter-2 (SVCT2) in immune cells. Despite an initial lack of tumor reduction following chemotherapy, the patient showed a significant decrease in tumor markers and stabilization of the tumor after undergoing radiation and proton therapy. Subsequently, CIK cell therapy, combined with high-dose vitamin C, was administered 52 times over 6 years. The patient's tumor size reduced, and no cancer activity was detected for 7 years and 10 months post-diagnosis, indicating a successful long-term outcome without recurrence. This study suggests that CIK cell therapy, particularly in patients with elevated SVCT2 levels, may offer a promising adjuvant treatment for cholangiocarcinoma and potentially other cancers. Further research is needed to validate SVCT2 as a biomarker for the effectiveness of CIK cell therapy.</p>","PeriodicalId":74045,"journal":{"name":"Korean journal of clinical oncology","volume":"20 2","pages":"84-87"},"PeriodicalIF":0.0000,"publicationDate":"2024-12-01","publicationTypes":"Journal Article","fieldsOfStudy":null,"isOpenAccess":false,"openAccessPdf":"https://www.ncbi.nlm.nih.gov/pmc/articles/PMC11717578/pdf/","citationCount":"0","resultStr":"{\"title\":\"Long-term tumor suppression in cholangiocarcinoma using cytokine-induced killer cell therapy and high-dose vitamin C: a case report.\",\"authors\":\"Kangseok Kim, Hyunhye Wang, Jiewon Lee, Changhwan Yeom\",\"doi\":\"10.14216/kjco.24012\",\"DOIUrl\":null,\"url\":null,\"abstract\":\"<p><p>This case study explores the effectiveness of autologous cytokine-induced killer (CIK) cell-based immunotherapy in a 49-year-old male patient with inoperable stage IIIb cholangiocarcinoma, characterized by high levels of the sodium-dependent vitamin C transporter-2 (SVCT2) in immune cells. Despite an initial lack of tumor reduction following chemotherapy, the patient showed a significant decrease in tumor markers and stabilization of the tumor after undergoing radiation and proton therapy. Subsequently, CIK cell therapy, combined with high-dose vitamin C, was administered 52 times over 6 years. The patient's tumor size reduced, and no cancer activity was detected for 7 years and 10 months post-diagnosis, indicating a successful long-term outcome without recurrence. This study suggests that CIK cell therapy, particularly in patients with elevated SVCT2 levels, may offer a promising adjuvant treatment for cholangiocarcinoma and potentially other cancers. Further research is needed to validate SVCT2 as a biomarker for the effectiveness of CIK cell therapy.</p>\",\"PeriodicalId\":74045,\"journal\":{\"name\":\"Korean journal of clinical oncology\",\"volume\":\"20 2\",\"pages\":\"84-87\"},\"PeriodicalIF\":0.0000,\"publicationDate\":\"2024-12-01\",\"publicationTypes\":\"Journal Article\",\"fieldsOfStudy\":null,\"isOpenAccess\":false,\"openAccessPdf\":\"https://www.ncbi.nlm.nih.gov/pmc/articles/PMC11717578/pdf/\",\"citationCount\":\"0\",\"resultStr\":null,\"platform\":\"Semanticscholar\",\"paperid\":null,\"PeriodicalName\":\"Korean journal of clinical oncology\",\"FirstCategoryId\":\"1085\",\"ListUrlMain\":\"https://doi.org/10.14216/kjco.24012\",\"RegionNum\":0,\"RegionCategory\":null,\"ArticlePicture\":[],\"TitleCN\":null,\"AbstractTextCN\":null,\"PMCID\":null,\"EPubDate\":\"2024/12/31 0:00:00\",\"PubModel\":\"Epub\",\"JCR\":\"\",\"JCRName\":\"\",\"Score\":null,\"Total\":0}","platform":"Semanticscholar","paperid":null,"PeriodicalName":"Korean journal of clinical oncology","FirstCategoryId":"1085","ListUrlMain":"https://doi.org/10.14216/kjco.24012","RegionNum":0,"RegionCategory":null,"ArticlePicture":[],"TitleCN":null,"AbstractTextCN":null,"PMCID":null,"EPubDate":"2024/12/31 0:00:00","PubModel":"Epub","JCR":"","JCRName":"","Score":null,"Total":0}
引用次数: 0

摘要

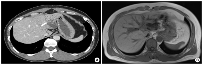
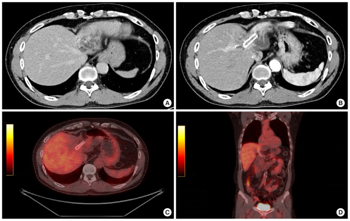
本病例研究探讨了自体细胞因子诱导杀伤(CIK)细胞免疫疗法对一名49岁男性无法手术的IIIb期胆管癌患者的有效性,该患者的特征是免疫细胞中钠依赖性维生素C转运蛋白-2 (SVCT2)水平高。尽管化疗后最初缺乏肿瘤缩小,但患者在接受放射和质子治疗后,肿瘤标志物显著减少,肿瘤稳定。随后,CIK细胞治疗联合大剂量维生素C, 6年52次。患者肿瘤缩小,诊断后7年10个月未检测到肿瘤活动,表明长期预后成功,无复发。这项研究表明,CIK细胞治疗,特别是对于SVCT2水平升高的患者,可能为胆管癌和潜在的其他癌症提供有希望的辅助治疗。需要进一步的研究来验证SVCT2作为CIK细胞治疗有效性的生物标志物。
本文章由计算机程序翻译,如有差异,请以英文原文为准。

Long-term tumor suppression in cholangiocarcinoma using cytokine-induced killer cell therapy and high-dose vitamin C: a case report.

Long-term tumor suppression in cholangiocarcinoma using cytokine-induced killer cell therapy and high-dose vitamin C: a case report.

Long-term tumor suppression in cholangiocarcinoma using cytokine-induced killer cell therapy and high-dose vitamin C: a case report.

This case study explores the effectiveness of autologous cytokine-induced killer (CIK) cell-based immunotherapy in a 49-year-old male patient with inoperable stage IIIb cholangiocarcinoma, characterized by high levels of the sodium-dependent vitamin C transporter-2 (SVCT2) in immune cells. Despite an initial lack of tumor reduction following chemotherapy, the patient showed a significant decrease in tumor markers and stabilization of the tumor after undergoing radiation and proton therapy. Subsequently, CIK cell therapy, combined with high-dose vitamin C, was administered 52 times over 6 years. The patient's tumor size reduced, and no cancer activity was detected for 7 years and 10 months post-diagnosis, indicating a successful long-term outcome without recurrence. This study suggests that CIK cell therapy, particularly in patients with elevated SVCT2 levels, may offer a promising adjuvant treatment for cholangiocarcinoma and potentially other cancers. Further research is needed to validate SVCT2 as a biomarker for the effectiveness of CIK cell therapy.

求助全文
通过发布文献求助,成功后即可免费获取论文全文。 去求助
来源期刊
自引率
0.00%
发文量
0
×
引用
GB/T 7714-2015
复制
MLA
复制
APA
复制
导出至
BibTeX EndNote RefMan NoteFirst NoteExpress
×
提示
您的信息不完整,为了账户安全,请先补充。
现在去补充
×
提示
您因"违规操作"
具体请查看互助需知
我知道了
×
提示
确定
请完成安全验证×
copy
已复制链接
快去分享给好友吧!
我知道了
右上角分享
点击右上角分享
0
联系我们:info@booksci.cn Book学术提供免费学术资源搜索服务,方便国内外学者检索中英文文献。致力于提供最便捷和优质的服务体验。 Copyright © 2023 布克学术 All rights reserved.
京ICP备2023020795号-1
ghs 京公网安备 11010802042870号
Book学术文献互助
Book学术文献互助群
群 号:604180095
Book学术官方微信