门静脉再通经颈静脉肝内门静脉系统分流术治疗非肝硬化慢性门静脉血栓导致妊娠成功:1例报告。

Andy Yu , Gabriel M. Knight , Justin Boike , Bartley Thornburg , Riad Salem
{"title":"门静脉再通经颈静脉肝内门静脉系统分流术治疗非肝硬化慢性门静脉血栓导致妊娠成功:1例报告。","authors":"Andy Yu ,&nbsp;Gabriel M. Knight ,&nbsp;Justin Boike ,&nbsp;Bartley Thornburg ,&nbsp;Riad Salem","doi":"10.1016/j.gastha.2024.09.001","DOIUrl":null,"url":null,"abstract":"<div><div>Portal vein recanalization transjugular intrahepatic portosystemic shunt (PVR-TIPS) is a safe and effective procedure for decompression of portal hypertension (PH). In this short case series, 2 women with chronic noncirrhotic portal vein thrombosis were treated with PVR-TIPS. Both patients hoped to conceive. Without treatment for their PH, their pregnancies posed a significant risk of life-threatening variceal bleeding. Both patients tolerated the procedure well and delivered without complications of PH. In future cases of noncirrhotic portal vein thrombosis in patients hoping to conceive, PVR-TIPS should be considered for definitive treatment of PH.</div></div>","PeriodicalId":73130,"journal":{"name":"Gastro hep advances","volume":"4 1","pages":"Article 100546"},"PeriodicalIF":0.0000,"publicationDate":"2025-01-01","publicationTypes":"Journal Article","fieldsOfStudy":null,"isOpenAccess":false,"openAccessPdf":"https://www.ncbi.nlm.nih.gov/pmc/articles/PMC11713488/pdf/","citationCount":"0","resultStr":"{\"title\":\"Portal Vein Recanalization Transjugular Intrahepatic Portosystemic Shunt for Noncirrhotic Chronic Portal Vein Thrombosis Leading to Successful Pregnancy: Case Report\",\"authors\":\"Andy Yu ,&nbsp;Gabriel M. Knight ,&nbsp;Justin Boike ,&nbsp;Bartley Thornburg ,&nbsp;Riad Salem\",\"doi\":\"10.1016/j.gastha.2024.09.001\",\"DOIUrl\":null,\"url\":null,\"abstract\":\"<div><div>Portal vein recanalization transjugular intrahepatic portosystemic shunt (PVR-TIPS) is a safe and effective procedure for decompression of portal hypertension (PH). In this short case series, 2 women with chronic noncirrhotic portal vein thrombosis were treated with PVR-TIPS. Both patients hoped to conceive. Without treatment for their PH, their pregnancies posed a significant risk of life-threatening variceal bleeding. Both patients tolerated the procedure well and delivered without complications of PH. In future cases of noncirrhotic portal vein thrombosis in patients hoping to conceive, PVR-TIPS should be considered for definitive treatment of PH.</div></div>\",\"PeriodicalId\":73130,\"journal\":{\"name\":\"Gastro hep advances\",\"volume\":\"4 1\",\"pages\":\"Article 100546\"},\"PeriodicalIF\":0.0000,\"publicationDate\":\"2025-01-01\",\"publicationTypes\":\"Journal Article\",\"fieldsOfStudy\":null,\"isOpenAccess\":false,\"openAccessPdf\":\"https://www.ncbi.nlm.nih.gov/pmc/articles/PMC11713488/pdf/\",\"citationCount\":\"0\",\"resultStr\":null,\"platform\":\"Semanticscholar\",\"paperid\":null,\"PeriodicalName\":\"Gastro hep advances\",\"FirstCategoryId\":\"1085\",\"ListUrlMain\":\"https://www.sciencedirect.com/science/article/pii/S2772572324001407\",\"RegionNum\":0,\"RegionCategory\":null,\"ArticlePicture\":[],\"TitleCN\":null,\"AbstractTextCN\":null,\"PMCID\":null,\"EPubDate\":\"\",\"PubModel\":\"\",\"JCR\":\"\",\"JCRName\":\"\",\"Score\":null,\"Total\":0}","platform":"Semanticscholar","paperid":null,"PeriodicalName":"Gastro hep advances","FirstCategoryId":"1085","ListUrlMain":"https://www.sciencedirect.com/science/article/pii/S2772572324001407","RegionNum":0,"RegionCategory":null,"ArticlePicture":[],"TitleCN":null,"AbstractTextCN":null,"PMCID":null,"EPubDate":"","PubModel":"","JCR":"","JCRName":"","Score":null,"Total":0}
引用次数: 0

摘要

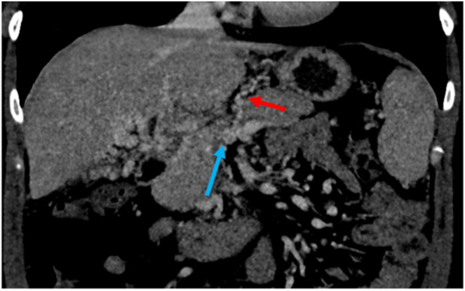
门静脉再通经颈静脉肝内门静脉系统分流术(pvrtips)是一种安全有效的门静脉高压症(PH)减压手术。在这个简短的病例系列中,2名患有慢性非肝硬化门静脉血栓的女性接受了PVR-TIPS治疗。两个病人都希望怀孕。如果不治疗她们的PH值,她们的怀孕会造成危及生命的静脉曲张出血的重大风险。两名患者对手术耐受良好,分娩时没有出现PH并发症。在未来希望怀孕的非肝硬化门静脉血栓患者中,PVR-TIPS应被考虑作为PH的最终治疗。
本文章由计算机程序翻译,如有差异,请以英文原文为准。

Portal Vein Recanalization Transjugular Intrahepatic Portosystemic Shunt for Noncirrhotic Chronic Portal Vein Thrombosis Leading to Successful Pregnancy: Case Report

Portal Vein Recanalization Transjugular Intrahepatic Portosystemic Shunt for Noncirrhotic Chronic Portal Vein Thrombosis Leading to Successful Pregnancy: Case Report

Portal Vein Recanalization Transjugular Intrahepatic Portosystemic Shunt for Noncirrhotic Chronic Portal Vein Thrombosis Leading to Successful Pregnancy: Case Report

Portal Vein Recanalization Transjugular Intrahepatic Portosystemic Shunt for Noncirrhotic Chronic Portal Vein Thrombosis Leading to Successful Pregnancy: Case Report
Portal vein recanalization transjugular intrahepatic portosystemic shunt (PVR-TIPS) is a safe and effective procedure for decompression of portal hypertension (PH). In this short case series, 2 women with chronic noncirrhotic portal vein thrombosis were treated with PVR-TIPS. Both patients hoped to conceive. Without treatment for their PH, their pregnancies posed a significant risk of life-threatening variceal bleeding. Both patients tolerated the procedure well and delivered without complications of PH. In future cases of noncirrhotic portal vein thrombosis in patients hoping to conceive, PVR-TIPS should be considered for definitive treatment of PH.
求助全文
通过发布文献求助,成功后即可免费获取论文全文。 去求助
来源期刊
Gastro hep advances
Gastro hep advances Gastroenterology
CiteScore
0.80
自引率
0.00%
发文量
0
审稿时长
64 days
×
引用
GB/T 7714-2015
复制
MLA
复制
APA
复制
导出至
BibTeX EndNote RefMan NoteFirst NoteExpress
×
提示
您的信息不完整,为了账户安全,请先补充。
现在去补充
×
提示
您因"违规操作"
具体请查看互助需知
我知道了
×
提示
确定
请完成安全验证×
copy
已复制链接
快去分享给好友吧!
我知道了
右上角分享
点击右上角分享
0
联系我们:info@booksci.cn Book学术提供免费学术资源搜索服务,方便国内外学者检索中英文文献。致力于提供最便捷和优质的服务体验。 Copyright © 2023 布克学术 All rights reserved.
京ICP备2023020795号-1
ghs 京公网安备 11010802042870号
Book学术文献互助
Book学术文献互助群
群 号:604180095
Book学术官方微信