利用两种非结构蛋白表达系统,建立猪塞内卡病毒a抗体的感染与接种动物区分(DIVA) ELISA检测方法。

IF 5.2 2区 农林科学 Q1 VETERINARY SCIENCES
Veterinary Quarterly Pub Date : 2025-12-01 Epub Date: 2025-01-08 DOI:10.1080/01652176.2024.2449082
Parin Watcharavongtip, Patumporn Jermsutjarit, Angkana Tantituvanont, Dachrit Nilubol
{"title":"利用两种非结构蛋白表达系统,建立猪塞内卡病毒a抗体的感染与接种动物区分(DIVA) ELISA检测方法。","authors":"Parin Watcharavongtip, Patumporn Jermsutjarit, Angkana Tantituvanont, Dachrit Nilubol","doi":"10.1080/01652176.2024.2449082","DOIUrl":null,"url":null,"abstract":"<p><p>Senecavirus A (SVA) is the causative agent associated with porcine idiopathic vesicular disease (PIVD), a condition indistinguishable from other foreign vesicular diseases affecting pigs. This complicates differential diagnosis and impacts the global swine industry. A diagnostic ELISA based on a non-structural viral protein has been developed, capable of distinguishing infected from vaccinated animals (DIVA). Different expression systems (eukaryotic and prokaryotic) were used to express recombinant proteins. The baculovirus-expressed SVA 3AB DIVA ELISA demonstrated a sensitivity of 96.67% and specificity of 96.67%. In contrast, the <i>E. coli</i>-expressed SVA 3AB DIVA ELISA achieved 100% sensitivity and 93.33% specificity. Both ELISAs strongly correlated with the reference method and showed no cross-reactivity with other pig pathogens. The <i>E. coli</i> system also provided a higher yield of expressed protein than the baculovirus system. These findings indicate that SVA DIVA ELISAs are effective alternatives for detecting SVA antibodies. They can be valuable tools for sero-surveillance and for evaluating immunity status tests to support and approve vaccination programs for pig herds in the future.</p>","PeriodicalId":51207,"journal":{"name":"Veterinary Quarterly","volume":"45 1","pages":"1-11"},"PeriodicalIF":5.2000,"publicationDate":"2025-12-01","publicationTypes":"Journal Article","fieldsOfStudy":null,"isOpenAccess":false,"openAccessPdf":"https://www.ncbi.nlm.nih.gov/pmc/articles/PMC11721756/pdf/","citationCount":"0","resultStr":"{\"title\":\"Development of a differentiating of infected from vaccinated animal (DIVA) ELISA to detect antibodies against Senecavirus A in pigs using two expression systems of non-structural proteins.\",\"authors\":\"Parin Watcharavongtip, Patumporn Jermsutjarit, Angkana Tantituvanont, Dachrit Nilubol\",\"doi\":\"10.1080/01652176.2024.2449082\",\"DOIUrl\":null,\"url\":null,\"abstract\":\"<p><p>Senecavirus A (SVA) is the causative agent associated with porcine idiopathic vesicular disease (PIVD), a condition indistinguishable from other foreign vesicular diseases affecting pigs. This complicates differential diagnosis and impacts the global swine industry. A diagnostic ELISA based on a non-structural viral protein has been developed, capable of distinguishing infected from vaccinated animals (DIVA). Different expression systems (eukaryotic and prokaryotic) were used to express recombinant proteins. The baculovirus-expressed SVA 3AB DIVA ELISA demonstrated a sensitivity of 96.67% and specificity of 96.67%. In contrast, the <i>E. coli</i>-expressed SVA 3AB DIVA ELISA achieved 100% sensitivity and 93.33% specificity. Both ELISAs strongly correlated with the reference method and showed no cross-reactivity with other pig pathogens. The <i>E. coli</i> system also provided a higher yield of expressed protein than the baculovirus system. These findings indicate that SVA DIVA ELISAs are effective alternatives for detecting SVA antibodies. They can be valuable tools for sero-surveillance and for evaluating immunity status tests to support and approve vaccination programs for pig herds in the future.</p>\",\"PeriodicalId\":51207,\"journal\":{\"name\":\"Veterinary Quarterly\",\"volume\":\"45 1\",\"pages\":\"1-11\"},\"PeriodicalIF\":5.2000,\"publicationDate\":\"2025-12-01\",\"publicationTypes\":\"Journal Article\",\"fieldsOfStudy\":null,\"isOpenAccess\":false,\"openAccessPdf\":\"https://www.ncbi.nlm.nih.gov/pmc/articles/PMC11721756/pdf/\",\"citationCount\":\"0\",\"resultStr\":null,\"platform\":\"Semanticscholar\",\"paperid\":null,\"PeriodicalName\":\"Veterinary Quarterly\",\"FirstCategoryId\":\"97\",\"ListUrlMain\":\"https://doi.org/10.1080/01652176.2024.2449082\",\"RegionNum\":2,\"RegionCategory\":\"农林科学\",\"ArticlePicture\":[],\"TitleCN\":null,\"AbstractTextCN\":null,\"PMCID\":null,\"EPubDate\":\"2025/1/8 0:00:00\",\"PubModel\":\"Epub\",\"JCR\":\"Q1\",\"JCRName\":\"VETERINARY SCIENCES\",\"Score\":null,\"Total\":0}","platform":"Semanticscholar","paperid":null,"PeriodicalName":"Veterinary Quarterly","FirstCategoryId":"97","ListUrlMain":"https://doi.org/10.1080/01652176.2024.2449082","RegionNum":2,"RegionCategory":"农林科学","ArticlePicture":[],"TitleCN":null,"AbstractTextCN":null,"PMCID":null,"EPubDate":"2025/1/8 0:00:00","PubModel":"Epub","JCR":"Q1","JCRName":"VETERINARY SCIENCES","Score":null,"Total":0}
引用次数: 0

摘要

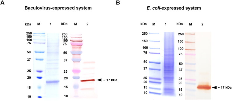
塞内卡病毒A (SVA)是与猪特发性水疱病(PIVD)相关的病原体,这种疾病与影响猪的其他外来水疱疾病难以区分。这使鉴别诊断复杂化,并影响到全球养猪业。一种基于非结构病毒蛋白的诊断ELISA已经开发出来,能够区分感染动物和接种动物(DIVA)。不同的表达系统(真核和原核)被用于表达重组蛋白。杆状病毒表达的SVA 3AB DIVA ELISA检测灵敏度为96.67%,特异性为96.67%。大肠杆菌表达的SVA 3AB DIVA ELISA检测灵敏度为100%,特异度为93.33%。两种elisa试剂盒均与参考方法相关性强,且与其他猪病原体无交叉反应。大肠杆菌系统也提供了比杆状病毒系统更高的表达蛋白产量。这些发现表明SVA DIVA elisa是检测SVA抗体的有效替代方法。它们可以成为血清监测和评估免疫状态测试的宝贵工具,以支持和批准未来猪群的疫苗接种计划。
本文章由计算机程序翻译,如有差异,请以英文原文为准。

Development of a differentiating of infected from vaccinated animal (DIVA) ELISA to detect antibodies against Senecavirus A in pigs using two expression systems of non-structural proteins.

Development of a differentiating of infected from vaccinated animal (DIVA) ELISA to detect antibodies against Senecavirus A in pigs using two expression systems of non-structural proteins.

Development of a differentiating of infected from vaccinated animal (DIVA) ELISA to detect antibodies against Senecavirus A in pigs using two expression systems of non-structural proteins.

Development of a differentiating of infected from vaccinated animal (DIVA) ELISA to detect antibodies against Senecavirus A in pigs using two expression systems of non-structural proteins.

Senecavirus A (SVA) is the causative agent associated with porcine idiopathic vesicular disease (PIVD), a condition indistinguishable from other foreign vesicular diseases affecting pigs. This complicates differential diagnosis and impacts the global swine industry. A diagnostic ELISA based on a non-structural viral protein has been developed, capable of distinguishing infected from vaccinated animals (DIVA). Different expression systems (eukaryotic and prokaryotic) were used to express recombinant proteins. The baculovirus-expressed SVA 3AB DIVA ELISA demonstrated a sensitivity of 96.67% and specificity of 96.67%. In contrast, the E. coli-expressed SVA 3AB DIVA ELISA achieved 100% sensitivity and 93.33% specificity. Both ELISAs strongly correlated with the reference method and showed no cross-reactivity with other pig pathogens. The E. coli system also provided a higher yield of expressed protein than the baculovirus system. These findings indicate that SVA DIVA ELISAs are effective alternatives for detecting SVA antibodies. They can be valuable tools for sero-surveillance and for evaluating immunity status tests to support and approve vaccination programs for pig herds in the future.

求助全文
通过发布文献求助,成功后即可免费获取论文全文。 去求助
来源期刊
Veterinary Quarterly
Veterinary Quarterly VETERINARY SCIENCES-
CiteScore
13.10
自引率
1.60%
发文量
18
审稿时长
>24 weeks
期刊介绍: Veterinary Quarterly is an international open access journal which publishes high quality review articles and original research in the field of veterinary science and animal diseases. The journal publishes research on a range of different animal species and topics including: - Economically important species such as domesticated and non-domesticated farm animals, including avian and poultry diseases; - Companion animals (dogs, cats, horses, pocket pets and exotics); - Wildlife species; - Infectious diseases; - Diagnosis; - Treatment including pharmacology and vaccination
×
引用
GB/T 7714-2015
复制
MLA
复制
APA
复制
导出至
BibTeX EndNote RefMan NoteFirst NoteExpress
×
提示
您的信息不完整,为了账户安全,请先补充。
现在去补充
×
提示
您因"违规操作"
具体请查看互助需知
我知道了
×
提示
确定
请完成安全验证×
copy
已复制链接
快去分享给好友吧!
我知道了
右上角分享
点击右上角分享
0
联系我们:info@booksci.cn Book学术提供免费学术资源搜索服务,方便国内外学者检索中英文文献。致力于提供最便捷和优质的服务体验。 Copyright © 2023 布克学术 All rights reserved.
京ICP备2023020795号-1
ghs 京公网安备 11010802042870号
Book学术文献互助
Book学术文献互助群
群 号:604180095
Book学术官方微信