巨大神经节神经瘤所致青少年胸侧凸2例报告及文献复习。

IF 0.9 4区 医学 Q4 MEDICINE, RESEARCH & EXPERIMENTAL
Hoai Thi Phuong Dinh, Yu Yamato, Tomohiko Hasegawa, Go Yoshida, Tomohiro Banno, Hideyuki Arima, Shin Oe, Koichiro Ide, Tomohiro Yamada, Kenta Kurosu, Yukihiro Matsuyama
{"title":"巨大神经节神经瘤所致青少年胸侧凸2例报告及文献复习。","authors":"Hoai Thi Phuong Dinh, Yu Yamato, Tomohiko Hasegawa, Go Yoshida, Tomohiro Banno, Hideyuki Arima, Shin Oe, Koichiro Ide, Tomohiro Yamada, Kenta Kurosu, Yukihiro Matsuyama","doi":"10.18999/nagjms.86.4.711","DOIUrl":null,"url":null,"abstract":"<p><p>Ganglioneuromas are rare benign tumors that arise from the sympathetic nervous system. The presentation of tumors is variable and associated with adolescent thoracic scoliosis. Herein, we present two case reports and a review of literature. The two cases involved 10 and 13-year-old patients who were asymptomatic for muscle pain or weakness, and ganglioneuromas were incidentally detected through imaging screening. Both patients underwent a two-stage surgery. The first stage involved detachment of the tumor from the spinal cord and simultaneously performing deformity correction surgery from the posterior aspect. The second stage was resection of the ganglioneuroma through the anterior approach without neurological problems. A two-stage surgery was necessary to excise the tumor and correct the deformity, thereby avoiding neurological problems and concurrently establish a pathological diagnosis. Commencing with the posterior approach proved to be safe and was more effective.</p>","PeriodicalId":49014,"journal":{"name":"Nagoya Journal of Medical Science","volume":"86 4","pages":"711-719"},"PeriodicalIF":0.9000,"publicationDate":"2024-11-01","publicationTypes":"Journal Article","fieldsOfStudy":null,"isOpenAccess":false,"openAccessPdf":"https://www.ncbi.nlm.nih.gov/pmc/articles/PMC11704773/pdf/","citationCount":"0","resultStr":"{\"title\":\"Adolescent thoracic scoliosis due to giant ganglioneuroma: a two-case report and literature review.\",\"authors\":\"Hoai Thi Phuong Dinh, Yu Yamato, Tomohiko Hasegawa, Go Yoshida, Tomohiro Banno, Hideyuki Arima, Shin Oe, Koichiro Ide, Tomohiro Yamada, Kenta Kurosu, Yukihiro Matsuyama\",\"doi\":\"10.18999/nagjms.86.4.711\",\"DOIUrl\":null,\"url\":null,\"abstract\":\"<p><p>Ganglioneuromas are rare benign tumors that arise from the sympathetic nervous system. The presentation of tumors is variable and associated with adolescent thoracic scoliosis. Herein, we present two case reports and a review of literature. The two cases involved 10 and 13-year-old patients who were asymptomatic for muscle pain or weakness, and ganglioneuromas were incidentally detected through imaging screening. Both patients underwent a two-stage surgery. The first stage involved detachment of the tumor from the spinal cord and simultaneously performing deformity correction surgery from the posterior aspect. The second stage was resection of the ganglioneuroma through the anterior approach without neurological problems. A two-stage surgery was necessary to excise the tumor and correct the deformity, thereby avoiding neurological problems and concurrently establish a pathological diagnosis. Commencing with the posterior approach proved to be safe and was more effective.</p>\",\"PeriodicalId\":49014,\"journal\":{\"name\":\"Nagoya Journal of Medical Science\",\"volume\":\"86 4\",\"pages\":\"711-719\"},\"PeriodicalIF\":0.9000,\"publicationDate\":\"2024-11-01\",\"publicationTypes\":\"Journal Article\",\"fieldsOfStudy\":null,\"isOpenAccess\":false,\"openAccessPdf\":\"https://www.ncbi.nlm.nih.gov/pmc/articles/PMC11704773/pdf/\",\"citationCount\":\"0\",\"resultStr\":null,\"platform\":\"Semanticscholar\",\"paperid\":null,\"PeriodicalName\":\"Nagoya Journal of Medical Science\",\"FirstCategoryId\":\"3\",\"ListUrlMain\":\"https://doi.org/10.18999/nagjms.86.4.711\",\"RegionNum\":4,\"RegionCategory\":\"医学\",\"ArticlePicture\":[],\"TitleCN\":null,\"AbstractTextCN\":null,\"PMCID\":null,\"EPubDate\":\"\",\"PubModel\":\"\",\"JCR\":\"Q4\",\"JCRName\":\"MEDICINE, RESEARCH & EXPERIMENTAL\",\"Score\":null,\"Total\":0}","platform":"Semanticscholar","paperid":null,"PeriodicalName":"Nagoya Journal of Medical Science","FirstCategoryId":"3","ListUrlMain":"https://doi.org/10.18999/nagjms.86.4.711","RegionNum":4,"RegionCategory":"医学","ArticlePicture":[],"TitleCN":null,"AbstractTextCN":null,"PMCID":null,"EPubDate":"","PubModel":"","JCR":"Q4","JCRName":"MEDICINE, RESEARCH & EXPERIMENTAL","Score":null,"Total":0}
引用次数: 0

摘要

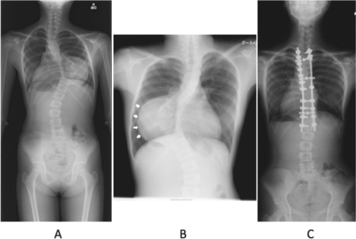
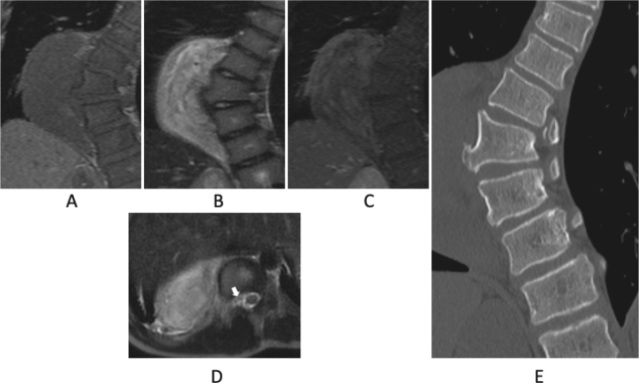
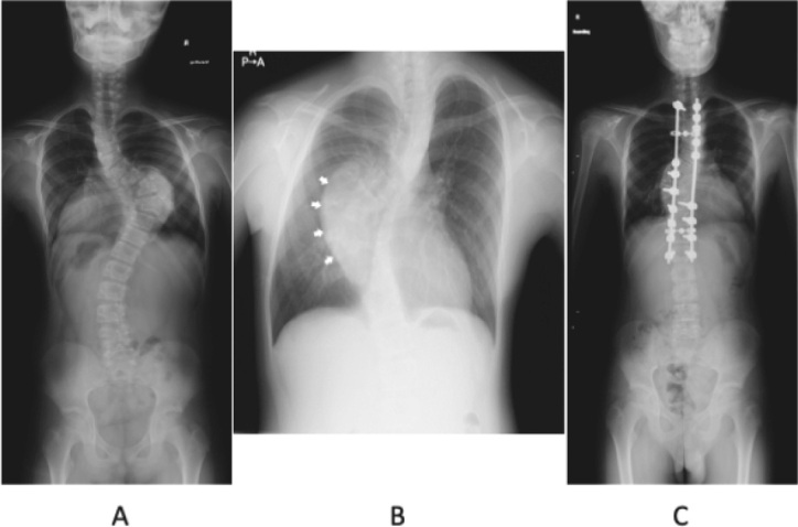
神经节神经瘤是一种罕见的良性肿瘤,起源于交感神经系统。肿瘤的表现是可变的,与青少年胸侧凸有关。在此,我们提出两个病例报告和文献综述。这两例患者分别为10岁和13岁,无肌肉疼痛或无力症状,通过影像学筛查偶然发现神经节神经瘤。两名患者都接受了两阶段的手术。第一阶段涉及肿瘤脱离脊髓,同时从后侧进行畸形矫正手术。第二阶段是通过前路切除神经节神经瘤,没有神经系统问题。两个阶段的手术是必要的切除肿瘤和纠正畸形,从而避免神经问题,同时建立病理诊断。从后路开始被证明是安全且更有效的。
本文章由计算机程序翻译,如有差异,请以英文原文为准。

Adolescent thoracic scoliosis due to giant ganglioneuroma: a two-case report and literature review.

Adolescent thoracic scoliosis due to giant ganglioneuroma: a two-case report and literature review.

Adolescent thoracic scoliosis due to giant ganglioneuroma: a two-case report and literature review.

Adolescent thoracic scoliosis due to giant ganglioneuroma: a two-case report and literature review.

Ganglioneuromas are rare benign tumors that arise from the sympathetic nervous system. The presentation of tumors is variable and associated with adolescent thoracic scoliosis. Herein, we present two case reports and a review of literature. The two cases involved 10 and 13-year-old patients who were asymptomatic for muscle pain or weakness, and ganglioneuromas were incidentally detected through imaging screening. Both patients underwent a two-stage surgery. The first stage involved detachment of the tumor from the spinal cord and simultaneously performing deformity correction surgery from the posterior aspect. The second stage was resection of the ganglioneuroma through the anterior approach without neurological problems. A two-stage surgery was necessary to excise the tumor and correct the deformity, thereby avoiding neurological problems and concurrently establish a pathological diagnosis. Commencing with the posterior approach proved to be safe and was more effective.

求助全文
通过发布文献求助,成功后即可免费获取论文全文。 去求助
来源期刊
Nagoya Journal of Medical Science
Nagoya Journal of Medical Science MEDICINE, RESEARCH & EXPERIMENTAL-
CiteScore
1.30
自引率
0.00%
发文量
65
审稿时长
>12 weeks
期刊介绍: The Journal publishes original papers in the areas of medical science and its related fields. Reviews, symposium reports, short communications, notes, case reports, hypothesis papers, medical image at a glance, video and announcements are also accepted. Manuscripts should be in English. It is recommended that an English check of the manuscript by a competent and knowledgeable native speaker be completed before submission.
×
引用
GB/T 7714-2015
复制
MLA
复制
APA
复制
导出至
BibTeX EndNote RefMan NoteFirst NoteExpress
×
提示
您的信息不完整,为了账户安全,请先补充。
现在去补充
×
提示
您因"违规操作"
具体请查看互助需知
我知道了
×
提示
确定
请完成安全验证×
copy
已复制链接
快去分享给好友吧!
我知道了
右上角分享
点击右上角分享
0
联系我们:info@booksci.cn Book学术提供免费学术资源搜索服务,方便国内外学者检索中英文文献。致力于提供最便捷和优质的服务体验。 Copyright © 2023 布克学术 All rights reserved.
京ICP备2023020795号-1
ghs 京公网安备 11010802042870号
Book学术文献互助
Book学术文献互助群
群 号:604180095
Book学术官方微信