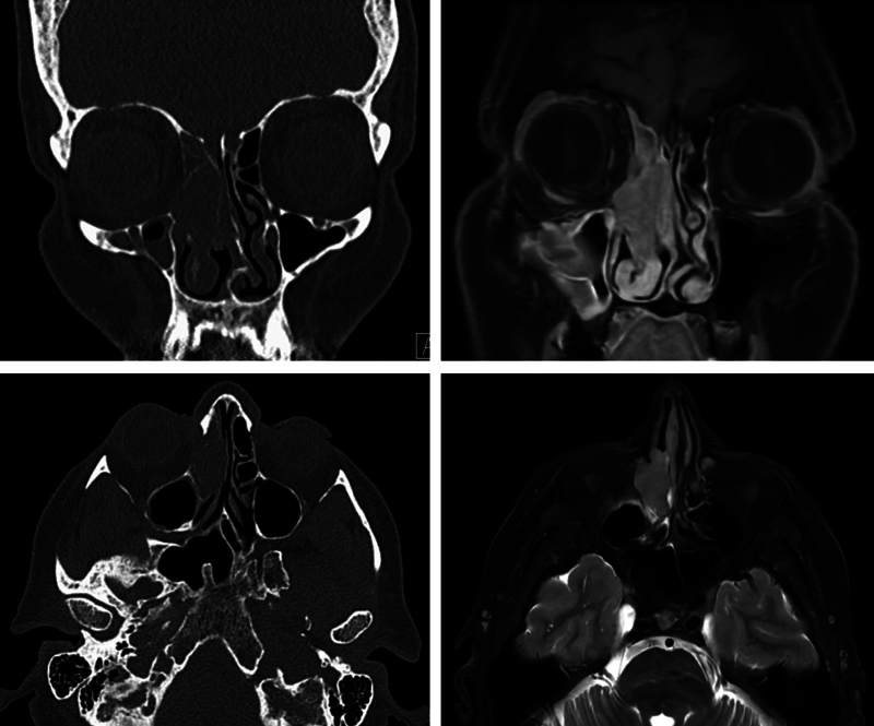
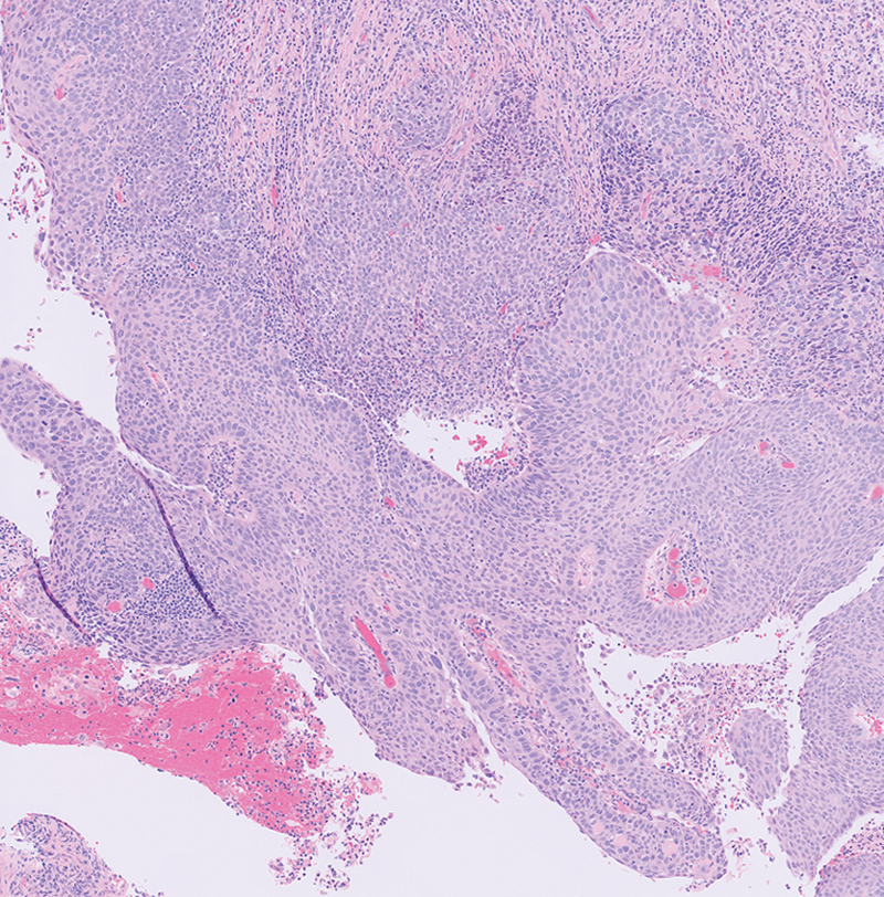
hpv相关的鼻鼻窦鳞状细胞癌。

IF 0.7 Q4 CLINICAL NEUROLOGY
Journal of Neurological Surgery Reports Pub Date : 2025-01-07 eCollection Date: 2025-01-01 DOI:10.1055/a-2496-5240
Rex H Lee, Annemieke van Zante, Ezequiel Goldschmidt, Ivan H El-Sayed
{"title":"hpv相关的鼻鼻窦鳞状细胞癌。","authors":"Rex H Lee, Annemieke van Zante, Ezequiel Goldschmidt, Ivan H El-Sayed","doi":"10.1055/a-2496-5240","DOIUrl":null,"url":null,"abstract":"<p><p>Human papillomavirus (HPV)-associated sinonasal squamous cell carcinoma (SNSCC) (HPV+ SNSCC) is a recently recognized entity that accounts for up to one-third of SNSCC. Although at present these cancers are not routinely tested for HPV, the incidence is increasing and HPV+ SNSCC is associated with superior survival outcomes compared with HPV- SNSCC. Here, we present the case of a patient with HPV+ SNSCC treated with endoscopic resection followed by postoperative radiation and review the literature summarizing epidemiology and management of this disease, with emphasis on the importance of HPV testing in SNSCC.</p>","PeriodicalId":44256,"journal":{"name":"Journal of Neurological Surgery Reports","volume":"86 1","pages":"e1-e3"},"PeriodicalIF":0.7000,"publicationDate":"2025-01-07","publicationTypes":"Journal Article","fieldsOfStudy":null,"isOpenAccess":false,"openAccessPdf":"https://www.ncbi.nlm.nih.gov/pmc/articles/PMC11706634/pdf/","citationCount":"0","resultStr":"{\"title\":\"HPV-associated Sinonasal Squamous Cell Carcinoma.\",\"authors\":\"Rex H Lee, Annemieke van Zante, Ezequiel Goldschmidt, Ivan H El-Sayed\",\"doi\":\"10.1055/a-2496-5240\",\"DOIUrl\":null,\"url\":null,\"abstract\":\"<p><p>Human papillomavirus (HPV)-associated sinonasal squamous cell carcinoma (SNSCC) (HPV+ SNSCC) is a recently recognized entity that accounts for up to one-third of SNSCC. Although at present these cancers are not routinely tested for HPV, the incidence is increasing and HPV+ SNSCC is associated with superior survival outcomes compared with HPV- SNSCC. Here, we present the case of a patient with HPV+ SNSCC treated with endoscopic resection followed by postoperative radiation and review the literature summarizing epidemiology and management of this disease, with emphasis on the importance of HPV testing in SNSCC.</p>\",\"PeriodicalId\":44256,\"journal\":{\"name\":\"Journal of Neurological Surgery Reports\",\"volume\":\"86 1\",\"pages\":\"e1-e3\"},\"PeriodicalIF\":0.7000,\"publicationDate\":\"2025-01-07\",\"publicationTypes\":\"Journal Article\",\"fieldsOfStudy\":null,\"isOpenAccess\":false,\"openAccessPdf\":\"https://www.ncbi.nlm.nih.gov/pmc/articles/PMC11706634/pdf/\",\"citationCount\":\"0\",\"resultStr\":null,\"platform\":\"Semanticscholar\",\"paperid\":null,\"PeriodicalName\":\"Journal of Neurological Surgery Reports\",\"FirstCategoryId\":\"1085\",\"ListUrlMain\":\"https://doi.org/10.1055/a-2496-5240\",\"RegionNum\":0,\"RegionCategory\":null,\"ArticlePicture\":[],\"TitleCN\":null,\"AbstractTextCN\":null,\"PMCID\":null,\"EPubDate\":\"2025/1/1 0:00:00\",\"PubModel\":\"eCollection\",\"JCR\":\"Q4\",\"JCRName\":\"CLINICAL NEUROLOGY\",\"Score\":null,\"Total\":0}","platform":"Semanticscholar","paperid":null,"PeriodicalName":"Journal of Neurological Surgery Reports","FirstCategoryId":"1085","ListUrlMain":"https://doi.org/10.1055/a-2496-5240","RegionNum":0,"RegionCategory":null,"ArticlePicture":[],"TitleCN":null,"AbstractTextCN":null,"PMCID":null,"EPubDate":"2025/1/1 0:00:00","PubModel":"eCollection","JCR":"Q4","JCRName":"CLINICAL NEUROLOGY","Score":null,"Total":0}
引用次数: 0

摘要

人乳头状瘤病毒(HPV)相关的鼻窦鳞状细胞癌(SNSCC) (HPV+ SNSCC)是最近公认的一种实体,占SNSCC的三分之一。虽然目前这些癌症没有常规检测HPV,但发病率正在增加,HPV+ SNSCC与HPV- SNSCC相比具有更好的生存结果。在这里,我们报告了一例HPV+ SNSCC患者接受内镜切除和术后放射治疗,并回顾了总结该疾病流行病学和治疗的文献,强调了HPV检测在SNSCC中的重要性。
本文章由计算机程序翻译,如有差异,请以英文原文为准。

HPV-associated Sinonasal Squamous Cell Carcinoma.

HPV-associated Sinonasal Squamous Cell Carcinoma.

HPV-associated Sinonasal Squamous Cell Carcinoma.

HPV-associated Sinonasal Squamous Cell Carcinoma.

Human papillomavirus (HPV)-associated sinonasal squamous cell carcinoma (SNSCC) (HPV+ SNSCC) is a recently recognized entity that accounts for up to one-third of SNSCC. Although at present these cancers are not routinely tested for HPV, the incidence is increasing and HPV+ SNSCC is associated with superior survival outcomes compared with HPV- SNSCC. Here, we present the case of a patient with HPV+ SNSCC treated with endoscopic resection followed by postoperative radiation and review the literature summarizing epidemiology and management of this disease, with emphasis on the importance of HPV testing in SNSCC.

求助全文
通过发布文献求助,成功后即可免费获取论文全文。 去求助
来源期刊
自引率
0.00%
发文量
31
审稿时长
12 weeks
×
引用
GB/T 7714-2015
复制
MLA
复制
APA
复制
导出至
BibTeX EndNote RefMan NoteFirst NoteExpress
×
提示
您的信息不完整,为了账户安全,请先补充。
现在去补充
×
提示
您因"违规操作"
具体请查看互助需知
我知道了
×
提示
确定
请完成安全验证×
copy
已复制链接
快去分享给好友吧!
我知道了
右上角分享
点击右上角分享
0
联系我们:info@booksci.cn Book学术提供免费学术资源搜索服务,方便国内外学者检索中英文文献。致力于提供最便捷和优质的服务体验。 Copyright © 2023 布克学术 All rights reserved.
京ICP备2023020795号-1
ghs 京公网安备 11010802042870号
Book学术文献互助
Book学术文献互助群
群 号:604180095
Book学术官方微信