基于维生素c的牙龈脱色与手术脱色:一项随机临床试验。

Q2 Environmental Science
The Scientific World Journal Pub Date : 2024-12-31 eCollection Date: 2024-01-01 DOI:10.1155/tswj/3299188
Aehad Ul Haque, Nand Lal, Shalini Kaushal, Pavitra Rastogi, Rameshwari Singhal
{"title":"基于维生素c的牙龈脱色与手术脱色:一项随机临床试验。","authors":"Aehad Ul Haque, Nand Lal, Shalini Kaushal, Pavitra Rastogi, Rameshwari Singhal","doi":"10.1155/tswj/3299188","DOIUrl":null,"url":null,"abstract":"<p><p><b>Background:</b> This study aimed at comparing gingival depigmentation by locally injected vitamin C with surgical depigmentation, in terms of effectiveness and patient acceptability. <b>Methods:</b> Forty-two patients presenting with ethnicity-related hyperpigmentation were randomly divided into two groups, Group I (<i>n</i> = 21) was treated with locally injected vitamin C and Group II (<i>n</i> = 21) was treated by surgical depigmentation. The outcome was assessed using Gingival Pigmentation Index (GPI) and Skin Hyperpigmentation Index (SHI). <b>Results:</b> Both the techniques were successful in treating gingival hyperpigmentation, but the patients who underwent vitamin C-based depigmentation showed significantly higher satisfaction with the treatment result, based on patient reported Visual Analog Scale (VAS) scoring. <b>Conclusion:</b> Based on the findings of this study, it was concluded that locally injected vitamin C and surgical depigmentation are comparable in their effectiveness for treating gingival hyperpigmentation. <b>Trial Registration:</b> ClinicalTrials.gov identifier: CTRI/2023/02/050127.</p>","PeriodicalId":22985,"journal":{"name":"The Scientific World Journal","volume":"2024 ","pages":"3299188"},"PeriodicalIF":0.0000,"publicationDate":"2024-12-31","publicationTypes":"Journal Article","fieldsOfStudy":null,"isOpenAccess":false,"openAccessPdf":"https://www.ncbi.nlm.nih.gov/pmc/articles/PMC11707063/pdf/","citationCount":"0","resultStr":"{\"title\":\"Vitamin C-Based Gingival Depigmentation Versus Surgical Depigmentation: A Randomized Clinical Trial.\",\"authors\":\"Aehad Ul Haque, Nand Lal, Shalini Kaushal, Pavitra Rastogi, Rameshwari Singhal\",\"doi\":\"10.1155/tswj/3299188\",\"DOIUrl\":null,\"url\":null,\"abstract\":\"<p><p><b>Background:</b> This study aimed at comparing gingival depigmentation by locally injected vitamin C with surgical depigmentation, in terms of effectiveness and patient acceptability. <b>Methods:</b> Forty-two patients presenting with ethnicity-related hyperpigmentation were randomly divided into two groups, Group I (<i>n</i> = 21) was treated with locally injected vitamin C and Group II (<i>n</i> = 21) was treated by surgical depigmentation. The outcome was assessed using Gingival Pigmentation Index (GPI) and Skin Hyperpigmentation Index (SHI). <b>Results:</b> Both the techniques were successful in treating gingival hyperpigmentation, but the patients who underwent vitamin C-based depigmentation showed significantly higher satisfaction with the treatment result, based on patient reported Visual Analog Scale (VAS) scoring. <b>Conclusion:</b> Based on the findings of this study, it was concluded that locally injected vitamin C and surgical depigmentation are comparable in their effectiveness for treating gingival hyperpigmentation. <b>Trial Registration:</b> ClinicalTrials.gov identifier: CTRI/2023/02/050127.</p>\",\"PeriodicalId\":22985,\"journal\":{\"name\":\"The Scientific World Journal\",\"volume\":\"2024 \",\"pages\":\"3299188\"},\"PeriodicalIF\":0.0000,\"publicationDate\":\"2024-12-31\",\"publicationTypes\":\"Journal Article\",\"fieldsOfStudy\":null,\"isOpenAccess\":false,\"openAccessPdf\":\"https://www.ncbi.nlm.nih.gov/pmc/articles/PMC11707063/pdf/\",\"citationCount\":\"0\",\"resultStr\":null,\"platform\":\"Semanticscholar\",\"paperid\":null,\"PeriodicalName\":\"The Scientific World Journal\",\"FirstCategoryId\":\"1085\",\"ListUrlMain\":\"https://doi.org/10.1155/tswj/3299188\",\"RegionNum\":0,\"RegionCategory\":null,\"ArticlePicture\":[],\"TitleCN\":null,\"AbstractTextCN\":null,\"PMCID\":null,\"EPubDate\":\"2024/1/1 0:00:00\",\"PubModel\":\"eCollection\",\"JCR\":\"Q2\",\"JCRName\":\"Environmental Science\",\"Score\":null,\"Total\":0}","platform":"Semanticscholar","paperid":null,"PeriodicalName":"The Scientific World Journal","FirstCategoryId":"1085","ListUrlMain":"https://doi.org/10.1155/tswj/3299188","RegionNum":0,"RegionCategory":null,"ArticlePicture":[],"TitleCN":null,"AbstractTextCN":null,"PMCID":null,"EPubDate":"2024/1/1 0:00:00","PubModel":"eCollection","JCR":"Q2","JCRName":"Environmental Science","Score":null,"Total":0}
引用次数: 0

摘要

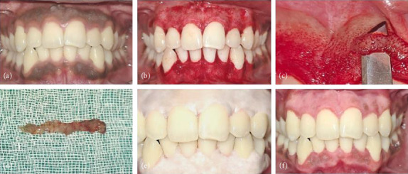
背景:本研究旨在比较局部注射维生素C和手术治疗牙龈色素沉着的有效性和患者可接受性。方法:将42例种族相关性色素沉着症患者随机分为两组,ⅰ组21例采用局部注射维生素C治疗,ⅱ组21例采用手术治疗。使用牙龈色素沉着指数(GPI)和皮肤色素沉着指数(SHI)评估结果。结果:两种方法均能成功治疗牙龈色素沉着,但根据患者报告的视觉模拟评分(VAS)评分,接受维生素c色素沉着治疗的患者对治疗结果的满意度明显更高。结论:局部注射维生素C与手术脱色治疗牙龈色素沉着的效果相当。试验注册:ClinicalTrials.gov标识符:CTRI/2023/02/050127。
本文章由计算机程序翻译,如有差异,请以英文原文为准。

Vitamin C-Based Gingival Depigmentation Versus Surgical Depigmentation: A Randomized Clinical Trial.

Vitamin C-Based Gingival Depigmentation Versus Surgical Depigmentation: A Randomized Clinical Trial.

Vitamin C-Based Gingival Depigmentation Versus Surgical Depigmentation: A Randomized Clinical Trial.

Vitamin C-Based Gingival Depigmentation Versus Surgical Depigmentation: A Randomized Clinical Trial.

Background: This study aimed at comparing gingival depigmentation by locally injected vitamin C with surgical depigmentation, in terms of effectiveness and patient acceptability. Methods: Forty-two patients presenting with ethnicity-related hyperpigmentation were randomly divided into two groups, Group I (n = 21) was treated with locally injected vitamin C and Group II (n = 21) was treated by surgical depigmentation. The outcome was assessed using Gingival Pigmentation Index (GPI) and Skin Hyperpigmentation Index (SHI). Results: Both the techniques were successful in treating gingival hyperpigmentation, but the patients who underwent vitamin C-based depigmentation showed significantly higher satisfaction with the treatment result, based on patient reported Visual Analog Scale (VAS) scoring. Conclusion: Based on the findings of this study, it was concluded that locally injected vitamin C and surgical depigmentation are comparable in their effectiveness for treating gingival hyperpigmentation. Trial Registration: ClinicalTrials.gov identifier: CTRI/2023/02/050127.

求助全文
通过发布文献求助,成功后即可免费获取论文全文。 去求助
来源期刊
The Scientific World Journal
The Scientific World Journal 综合性期刊-综合性期刊
CiteScore
5.60
自引率
0.00%
发文量
170
审稿时长
3.7 months
期刊介绍: The Scientific World Journal is a peer-reviewed, Open Access journal that publishes original research, reviews, and clinical studies covering a wide range of subjects in science, technology, and medicine. The journal is divided into 81 subject areas.
×
引用
GB/T 7714-2015
复制
MLA
复制
APA
复制
导出至
BibTeX EndNote RefMan NoteFirst NoteExpress
×
提示
您的信息不完整,为了账户安全,请先补充。
现在去补充
×
提示
您因"违规操作"
具体请查看互助需知
我知道了
×
提示
确定
请完成安全验证×
copy
已复制链接
快去分享给好友吧!
我知道了
右上角分享
点击右上角分享
0
联系我们:info@booksci.cn Book学术提供免费学术资源搜索服务,方便国内外学者检索中英文文献。致力于提供最便捷和优质的服务体验。 Copyright © 2023 布克学术 All rights reserved.
京ICP备2023020795号-1
ghs 京公网安备 11010802042870号
Book学术文献互助
Book学术文献互助群
群 号:604180095
Book学术官方微信