顶骨的结缔组织增生纤维瘤:病例报告及文献复习。

IF 1.3 Q3 RADIOLOGY, NUCLEAR MEDICINE & MEDICAL IMAGING
Journal of Clinical Imaging Science Pub Date : 2024-12-10 eCollection Date: 2024-01-01 DOI:10.25259/JCIS_136_2024
Baolong Zhang, Haiyan Yu, Dmytro Pylypenko, Jining Sun
{"title":"顶骨的结缔组织增生纤维瘤:病例报告及文献复习。","authors":"Baolong Zhang, Haiyan Yu, Dmytro Pylypenko, Jining Sun","doi":"10.25259/JCIS_136_2024","DOIUrl":null,"url":null,"abstract":"<p><p>Desmoplastic fibroma (DF) is an uncommon benign bone tumor that typically affects the facial bones, with cerebral cranium involvement being extremely rare. We report a unique case of DF in the parietal bone of a 28-year-old woman, notable for its rapid growth during pregnancy-a phenomenon not previously documented. The imaging features of this case also differ from all but one previously reported case. The patient underwent surgical removal, and histopathology confirmed the diagnosis of DF (collagenous fibroma). After 17 months of follow-up, no local recurrence was observed. We also provide a comprehensive review of 32 cases involving DF of the cerebral cranium, analyzing clinical features, imaging findings, treatment methods, and recurrence patterns. This case highlights the importance of considering DF in the differential diagnosis of cranial lesions, particularly in pregnant patients with rapid tumor growth. Complete surgical resection with a wide margin remains the recommended treatment to minimize recurrence risk.</p>","PeriodicalId":15512,"journal":{"name":"Journal of Clinical Imaging Science","volume":"14 ","pages":"48"},"PeriodicalIF":1.3000,"publicationDate":"2024-12-10","publicationTypes":"Journal Article","fieldsOfStudy":null,"isOpenAccess":false,"openAccessPdf":"https://www.ncbi.nlm.nih.gov/pmc/articles/PMC11704291/pdf/","citationCount":"0","resultStr":"{\"title\":\"Desmoplastic (collagenous) fibroma of the parietal bone: Case report and review of the literature.\",\"authors\":\"Baolong Zhang, Haiyan Yu, Dmytro Pylypenko, Jining Sun\",\"doi\":\"10.25259/JCIS_136_2024\",\"DOIUrl\":null,\"url\":null,\"abstract\":\"<p><p>Desmoplastic fibroma (DF) is an uncommon benign bone tumor that typically affects the facial bones, with cerebral cranium involvement being extremely rare. We report a unique case of DF in the parietal bone of a 28-year-old woman, notable for its rapid growth during pregnancy-a phenomenon not previously documented. The imaging features of this case also differ from all but one previously reported case. The patient underwent surgical removal, and histopathology confirmed the diagnosis of DF (collagenous fibroma). After 17 months of follow-up, no local recurrence was observed. We also provide a comprehensive review of 32 cases involving DF of the cerebral cranium, analyzing clinical features, imaging findings, treatment methods, and recurrence patterns. This case highlights the importance of considering DF in the differential diagnosis of cranial lesions, particularly in pregnant patients with rapid tumor growth. Complete surgical resection with a wide margin remains the recommended treatment to minimize recurrence risk.</p>\",\"PeriodicalId\":15512,\"journal\":{\"name\":\"Journal of Clinical Imaging Science\",\"volume\":\"14 \",\"pages\":\"48\"},\"PeriodicalIF\":1.3000,\"publicationDate\":\"2024-12-10\",\"publicationTypes\":\"Journal Article\",\"fieldsOfStudy\":null,\"isOpenAccess\":false,\"openAccessPdf\":\"https://www.ncbi.nlm.nih.gov/pmc/articles/PMC11704291/pdf/\",\"citationCount\":\"0\",\"resultStr\":null,\"platform\":\"Semanticscholar\",\"paperid\":null,\"PeriodicalName\":\"Journal of Clinical Imaging Science\",\"FirstCategoryId\":\"1085\",\"ListUrlMain\":\"https://doi.org/10.25259/JCIS_136_2024\",\"RegionNum\":0,\"RegionCategory\":null,\"ArticlePicture\":[],\"TitleCN\":null,\"AbstractTextCN\":null,\"PMCID\":null,\"EPubDate\":\"2024/1/1 0:00:00\",\"PubModel\":\"eCollection\",\"JCR\":\"Q3\",\"JCRName\":\"RADIOLOGY, NUCLEAR MEDICINE & MEDICAL IMAGING\",\"Score\":null,\"Total\":0}","platform":"Semanticscholar","paperid":null,"PeriodicalName":"Journal of Clinical Imaging Science","FirstCategoryId":"1085","ListUrlMain":"https://doi.org/10.25259/JCIS_136_2024","RegionNum":0,"RegionCategory":null,"ArticlePicture":[],"TitleCN":null,"AbstractTextCN":null,"PMCID":null,"EPubDate":"2024/1/1 0:00:00","PubModel":"eCollection","JCR":"Q3","JCRName":"RADIOLOGY, NUCLEAR MEDICINE & MEDICAL IMAGING","Score":null,"Total":0}
引用次数: 0

摘要

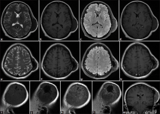
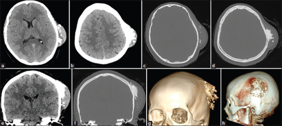
结缔组织增生纤维瘤(DF)是一种罕见的良性骨肿瘤,通常累及面部骨骼,累及颅脑极为罕见。我们报告一个独特的病例DF在一个28岁的妇女的顶骨,值得注意的是其在怀孕期间快速增长的现象,以前没有记录。该病例的影像学特征也与以往报道的所有病例不同。患者接受手术切除,组织病理学证实DF(胶原纤维瘤)的诊断。随访17个月,未见局部复发。我们也提供了32例涉及颅脑DF的病例,分析临床特征、影像学表现、治疗方法和复发模式。本病例强调了在颅脑病变鉴别诊断中考虑DF的重要性,特别是在肿瘤快速生长的孕妇中。为了减少复发的风险,广泛的手术切除仍然是推荐的治疗方法。
本文章由计算机程序翻译,如有差异,请以英文原文为准。

Desmoplastic (collagenous) fibroma of the parietal bone: Case report and review of the literature.

Desmoplastic (collagenous) fibroma of the parietal bone: Case report and review of the literature.

Desmoplastic (collagenous) fibroma of the parietal bone: Case report and review of the literature.

Desmoplastic (collagenous) fibroma of the parietal bone: Case report and review of the literature.

Desmoplastic fibroma (DF) is an uncommon benign bone tumor that typically affects the facial bones, with cerebral cranium involvement being extremely rare. We report a unique case of DF in the parietal bone of a 28-year-old woman, notable for its rapid growth during pregnancy-a phenomenon not previously documented. The imaging features of this case also differ from all but one previously reported case. The patient underwent surgical removal, and histopathology confirmed the diagnosis of DF (collagenous fibroma). After 17 months of follow-up, no local recurrence was observed. We also provide a comprehensive review of 32 cases involving DF of the cerebral cranium, analyzing clinical features, imaging findings, treatment methods, and recurrence patterns. This case highlights the importance of considering DF in the differential diagnosis of cranial lesions, particularly in pregnant patients with rapid tumor growth. Complete surgical resection with a wide margin remains the recommended treatment to minimize recurrence risk.

求助全文
通过发布文献求助,成功后即可免费获取论文全文。 去求助
来源期刊
Journal of Clinical Imaging Science
Journal of Clinical Imaging Science RADIOLOGY, NUCLEAR MEDICINE & MEDICAL IMAGING-
CiteScore
2.00
自引率
0.00%
发文量
65
期刊介绍: The Journal of Clinical Imaging Science (JCIS) is an open access peer-reviewed journal committed to publishing high-quality articles in the field of Imaging Science. The journal aims to present Imaging Science and relevant clinical information in an understandable and useful format. The journal is owned and published by the Scientific Scholar. Audience Our audience includes Radiologists, Researchers, Clinicians, medical professionals and students. Review process JCIS has a highly rigorous peer-review process that makes sure that manuscripts are scientifically accurate, relevant, novel and important. Authors disclose all conflicts, affiliations and financial associations such that the published content is not biased.
×
引用
GB/T 7714-2015
复制
MLA
复制
APA
复制
导出至
BibTeX EndNote RefMan NoteFirst NoteExpress
×
提示
您的信息不完整,为了账户安全,请先补充。
现在去补充
×
提示
您因"违规操作"
具体请查看互助需知
我知道了
×
提示
确定
请完成安全验证×
copy
已复制链接
快去分享给好友吧!
我知道了
右上角分享
点击右上角分享
0
联系我们:info@booksci.cn Book学术提供免费学术资源搜索服务,方便国内外学者检索中英文文献。致力于提供最便捷和优质的服务体验。 Copyright © 2023 布克学术 All rights reserved.
京ICP备2023020795号-1
ghs 京公网安备 11010802042870号
Book学术文献互助
Book学术文献互助群
群 号:604180095
Book学术官方微信