剖宫产瘢痕引起的皮肤子宫内膜异位症的皮肤镜特征:1例报告。

Q3 Medicine
Case Reports in Dermatological Medicine Pub Date : 2024-12-31 eCollection Date: 2024-01-01 DOI:10.1155/crdm/6880602
Kevin Yang, Karim Saleh
{"title":"剖宫产瘢痕引起的皮肤子宫内膜异位症的皮肤镜特征:1例报告。","authors":"Kevin Yang, Karim Saleh","doi":"10.1155/crdm/6880602","DOIUrl":null,"url":null,"abstract":"<p><p>Cutaneous endometriosis is a rare manifestation of endometriosis, and few reports on its dermoscopic features have been published. In this case report, we present a 40-year-old female with cutaneous endometriosis arising in a caesarean scar, exhibiting unique and distinct dermoscopic features. The patient presented with a nodular, papillomatous growth in the right end of the scar, and dermoscopic examination revealed structureless red papillomatous projections, as well as nonpapillomatous areas with red dotted vessels surrounded by a white reticular network. A biopsy confirmed the diagnosis of endometriosis. To our knowledge, this is the first report of such dermoscopic features in cutaneous endometriosis arising in a caesarean scar. Our case report adds to the current limited knowledge of dermoscopic features of cutaneous endometriosis and may help in the diagnosis of this condition.</p>","PeriodicalId":9630,"journal":{"name":"Case Reports in Dermatological Medicine","volume":"2024 ","pages":"6880602"},"PeriodicalIF":0.0000,"publicationDate":"2024-12-31","publicationTypes":"Journal Article","fieldsOfStudy":null,"isOpenAccess":false,"openAccessPdf":"https://www.ncbi.nlm.nih.gov/pmc/articles/PMC11707058/pdf/","citationCount":"0","resultStr":"{\"title\":\"Dermoscopic Features of Cutaneous Endometriosis Arising in a Cesarean Scar: A Case Report.\",\"authors\":\"Kevin Yang, Karim Saleh\",\"doi\":\"10.1155/crdm/6880602\",\"DOIUrl\":null,\"url\":null,\"abstract\":\"<p><p>Cutaneous endometriosis is a rare manifestation of endometriosis, and few reports on its dermoscopic features have been published. In this case report, we present a 40-year-old female with cutaneous endometriosis arising in a caesarean scar, exhibiting unique and distinct dermoscopic features. The patient presented with a nodular, papillomatous growth in the right end of the scar, and dermoscopic examination revealed structureless red papillomatous projections, as well as nonpapillomatous areas with red dotted vessels surrounded by a white reticular network. A biopsy confirmed the diagnosis of endometriosis. To our knowledge, this is the first report of such dermoscopic features in cutaneous endometriosis arising in a caesarean scar. Our case report adds to the current limited knowledge of dermoscopic features of cutaneous endometriosis and may help in the diagnosis of this condition.</p>\",\"PeriodicalId\":9630,\"journal\":{\"name\":\"Case Reports in Dermatological Medicine\",\"volume\":\"2024 \",\"pages\":\"6880602\"},\"PeriodicalIF\":0.0000,\"publicationDate\":\"2024-12-31\",\"publicationTypes\":\"Journal Article\",\"fieldsOfStudy\":null,\"isOpenAccess\":false,\"openAccessPdf\":\"https://www.ncbi.nlm.nih.gov/pmc/articles/PMC11707058/pdf/\",\"citationCount\":\"0\",\"resultStr\":null,\"platform\":\"Semanticscholar\",\"paperid\":null,\"PeriodicalName\":\"Case Reports in Dermatological Medicine\",\"FirstCategoryId\":\"1085\",\"ListUrlMain\":\"https://doi.org/10.1155/crdm/6880602\",\"RegionNum\":0,\"RegionCategory\":null,\"ArticlePicture\":[],\"TitleCN\":null,\"AbstractTextCN\":null,\"PMCID\":null,\"EPubDate\":\"2024/1/1 0:00:00\",\"PubModel\":\"eCollection\",\"JCR\":\"Q3\",\"JCRName\":\"Medicine\",\"Score\":null,\"Total\":0}","platform":"Semanticscholar","paperid":null,"PeriodicalName":"Case Reports in Dermatological Medicine","FirstCategoryId":"1085","ListUrlMain":"https://doi.org/10.1155/crdm/6880602","RegionNum":0,"RegionCategory":null,"ArticlePicture":[],"TitleCN":null,"AbstractTextCN":null,"PMCID":null,"EPubDate":"2024/1/1 0:00:00","PubModel":"eCollection","JCR":"Q3","JCRName":"Medicine","Score":null,"Total":0}
引用次数: 0

摘要

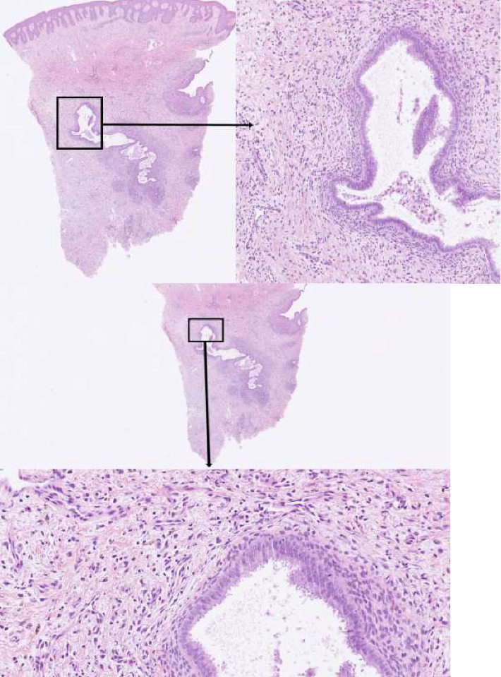
皮肤子宫内膜异位症是一种罕见的子宫内膜异位症的表现,其皮肤镜特征的报道很少发表。在这个病例报告中,我们提出了一个40岁的女性皮肤子宫内膜异位症,出现在剖腹产疤痕,表现出独特的皮肤镜特征。患者表现为瘢痕右端结节状、乳头状瘤样生长,皮肤镜检查显示无结构的红色乳头状瘤突起,以及白色网状网络包围的红色点状血管的非乳头状瘤区。活检证实诊断为子宫内膜异位症。据我们所知,这是第一次报道这种皮肤镜特征的皮肤子宫内膜异位症引起的剖腹产疤痕。我们的病例报告增加了目前有限的皮肤镜特征的皮肤子宫内膜异位症的知识,可能有助于这种情况的诊断。
本文章由计算机程序翻译,如有差异,请以英文原文为准。

Dermoscopic Features of Cutaneous Endometriosis Arising in a Cesarean Scar: A Case Report.

Dermoscopic Features of Cutaneous Endometriosis Arising in a Cesarean Scar: A Case Report.

Dermoscopic Features of Cutaneous Endometriosis Arising in a Cesarean Scar: A Case Report.

Dermoscopic Features of Cutaneous Endometriosis Arising in a Cesarean Scar: A Case Report.

Cutaneous endometriosis is a rare manifestation of endometriosis, and few reports on its dermoscopic features have been published. In this case report, we present a 40-year-old female with cutaneous endometriosis arising in a caesarean scar, exhibiting unique and distinct dermoscopic features. The patient presented with a nodular, papillomatous growth in the right end of the scar, and dermoscopic examination revealed structureless red papillomatous projections, as well as nonpapillomatous areas with red dotted vessels surrounded by a white reticular network. A biopsy confirmed the diagnosis of endometriosis. To our knowledge, this is the first report of such dermoscopic features in cutaneous endometriosis arising in a caesarean scar. Our case report adds to the current limited knowledge of dermoscopic features of cutaneous endometriosis and may help in the diagnosis of this condition.

求助全文
通过发布文献求助,成功后即可免费获取论文全文。 去求助
来源期刊
CiteScore
1.50
自引率
0.00%
发文量
24
审稿时长
15 weeks
×
引用
GB/T 7714-2015
复制
MLA
复制
APA
复制
导出至
BibTeX EndNote RefMan NoteFirst NoteExpress
×
提示
您的信息不完整,为了账户安全,请先补充。
现在去补充
×
提示
您因"违规操作"
具体请查看互助需知
我知道了
×
提示
确定
请完成安全验证×
copy
已复制链接
快去分享给好友吧!
我知道了
右上角分享
点击右上角分享
0
联系我们:info@booksci.cn Book学术提供免费学术资源搜索服务,方便国内外学者检索中英文文献。致力于提供最便捷和优质的服务体验。 Copyright © 2023 布克学术 All rights reserved.
京ICP备2023020795号-1
ghs 京公网安备 11010802042870号
Book学术文献互助
Book学术文献互助群
群 号:604180095
Book学术官方微信