一例罕见的因吸入氯气引起的急性呼吸窘迫综合征:进展迅速,ICU预后良好。

IF 0.7 Q4 RESPIRATORY SYSTEM
Dung Thai Pham , Bang Ngoc Dao , Dung Tien Nguyen , Ba Van Dang , Dung Tien Le , Hung Manh Do , Loc Tich Hoang , Minh Tuan Ngo , Duong Minh Vu
{"title":"一例罕见的因吸入氯气引起的急性呼吸窘迫综合征:进展迅速,ICU预后良好。","authors":"Dung Thai Pham ,&nbsp;Bang Ngoc Dao ,&nbsp;Dung Tien Nguyen ,&nbsp;Ba Van Dang ,&nbsp;Dung Tien Le ,&nbsp;Hung Manh Do ,&nbsp;Loc Tich Hoang ,&nbsp;Minh Tuan Ngo ,&nbsp;Duong Minh Vu","doi":"10.1016/j.rmcr.2024.102148","DOIUrl":null,"url":null,"abstract":"<div><div>Acute respiratory distress syndrome (ARDS) secondary to chlorine gas inhalation is a rare yet critical condition that can lead to severe respiratory failure if not managed promptly. This case report presents a 43-year-old male who developed ARDS after accidental exposure to chlorine gas during pool maintenance. The patient's condition deteriorated rapidly, with symptoms progressing to acute pulmonary edema and severe hypoxemia, requiring immediate transfer to the intensive care unit (ICU). Initial treatment included non-invasive ventilation, but the patient soon required tracheal intubation and mechanical ventilation. Despite the rapid disease progression, the patient responded well to aggressive ICU management, including oxygen therapy, mechanical ventilation, and pharmacological support. Remarkably, within seven days, the patient fully recovered and was discharged in stable condition. This case highlights the potential for a good prognosis in ARDS due to chlorine gas inhalation compared to other etiologies, emphasizing the importance of timely intervention and specialized care in the ICU.</div></div>","PeriodicalId":51565,"journal":{"name":"Respiratory Medicine Case Reports","volume":"53 ","pages":"Article 102148"},"PeriodicalIF":0.7000,"publicationDate":"2025-01-01","publicationTypes":"Journal Article","fieldsOfStudy":null,"isOpenAccess":false,"openAccessPdf":"https://www.ncbi.nlm.nih.gov/pmc/articles/PMC11700285/pdf/","citationCount":"0","resultStr":"{\"title\":\"A rare case of acute respiratory distress syndrome due to chlorine gas inhalation: Rapid progression with favorable ICU outcome\",\"authors\":\"Dung Thai Pham ,&nbsp;Bang Ngoc Dao ,&nbsp;Dung Tien Nguyen ,&nbsp;Ba Van Dang ,&nbsp;Dung Tien Le ,&nbsp;Hung Manh Do ,&nbsp;Loc Tich Hoang ,&nbsp;Minh Tuan Ngo ,&nbsp;Duong Minh Vu\",\"doi\":\"10.1016/j.rmcr.2024.102148\",\"DOIUrl\":null,\"url\":null,\"abstract\":\"<div><div>Acute respiratory distress syndrome (ARDS) secondary to chlorine gas inhalation is a rare yet critical condition that can lead to severe respiratory failure if not managed promptly. This case report presents a 43-year-old male who developed ARDS after accidental exposure to chlorine gas during pool maintenance. The patient's condition deteriorated rapidly, with symptoms progressing to acute pulmonary edema and severe hypoxemia, requiring immediate transfer to the intensive care unit (ICU). Initial treatment included non-invasive ventilation, but the patient soon required tracheal intubation and mechanical ventilation. Despite the rapid disease progression, the patient responded well to aggressive ICU management, including oxygen therapy, mechanical ventilation, and pharmacological support. Remarkably, within seven days, the patient fully recovered and was discharged in stable condition. This case highlights the potential for a good prognosis in ARDS due to chlorine gas inhalation compared to other etiologies, emphasizing the importance of timely intervention and specialized care in the ICU.</div></div>\",\"PeriodicalId\":51565,\"journal\":{\"name\":\"Respiratory Medicine Case Reports\",\"volume\":\"53 \",\"pages\":\"Article 102148\"},\"PeriodicalIF\":0.7000,\"publicationDate\":\"2025-01-01\",\"publicationTypes\":\"Journal Article\",\"fieldsOfStudy\":null,\"isOpenAccess\":false,\"openAccessPdf\":\"https://www.ncbi.nlm.nih.gov/pmc/articles/PMC11700285/pdf/\",\"citationCount\":\"0\",\"resultStr\":null,\"platform\":\"Semanticscholar\",\"paperid\":null,\"PeriodicalName\":\"Respiratory Medicine Case Reports\",\"FirstCategoryId\":\"1085\",\"ListUrlMain\":\"https://www.sciencedirect.com/science/article/pii/S2213007124001710\",\"RegionNum\":0,\"RegionCategory\":null,\"ArticlePicture\":[],\"TitleCN\":null,\"AbstractTextCN\":null,\"PMCID\":null,\"EPubDate\":\"\",\"PubModel\":\"\",\"JCR\":\"Q4\",\"JCRName\":\"RESPIRATORY SYSTEM\",\"Score\":null,\"Total\":0}","platform":"Semanticscholar","paperid":null,"PeriodicalName":"Respiratory Medicine Case Reports","FirstCategoryId":"1085","ListUrlMain":"https://www.sciencedirect.com/science/article/pii/S2213007124001710","RegionNum":0,"RegionCategory":null,"ArticlePicture":[],"TitleCN":null,"AbstractTextCN":null,"PMCID":null,"EPubDate":"","PubModel":"","JCR":"Q4","JCRName":"RESPIRATORY SYSTEM","Score":null,"Total":0}
引用次数: 0

摘要

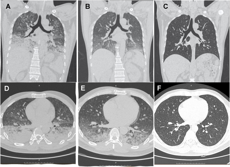
氯气吸入继发急性呼吸窘迫综合征(ARDS)是一种罕见但严重的疾病,如果不及时处理,可导致严重的呼吸衰竭。本病例报告提出一名43岁男性在泳池维修期间意外接触氯气后发展为ARDS。患者病情迅速恶化,症状进展为急性肺水肿和严重低氧血症,需要立即转至重症监护室(ICU)。最初的治疗包括无创通气,但患者很快需要气管插管和机械通气。尽管病情进展迅速,但患者对积极的ICU管理反应良好,包括氧气治疗、机械通气和药物支持。值得注意的是,患者在7天内完全康复,出院时病情稳定。与其他病因相比,本病例强调了氯气吸入引起的ARDS预后良好的可能性,强调了及时干预和ICU专科护理的重要性。
本文章由计算机程序翻译,如有差异,请以英文原文为准。

A rare case of acute respiratory distress syndrome due to chlorine gas inhalation: Rapid progression with favorable ICU outcome

A rare case of acute respiratory distress syndrome due to chlorine gas inhalation: Rapid progression with favorable ICU outcome
Acute respiratory distress syndrome (ARDS) secondary to chlorine gas inhalation is a rare yet critical condition that can lead to severe respiratory failure if not managed promptly. This case report presents a 43-year-old male who developed ARDS after accidental exposure to chlorine gas during pool maintenance. The patient's condition deteriorated rapidly, with symptoms progressing to acute pulmonary edema and severe hypoxemia, requiring immediate transfer to the intensive care unit (ICU). Initial treatment included non-invasive ventilation, but the patient soon required tracheal intubation and mechanical ventilation. Despite the rapid disease progression, the patient responded well to aggressive ICU management, including oxygen therapy, mechanical ventilation, and pharmacological support. Remarkably, within seven days, the patient fully recovered and was discharged in stable condition. This case highlights the potential for a good prognosis in ARDS due to chlorine gas inhalation compared to other etiologies, emphasizing the importance of timely intervention and specialized care in the ICU.
求助全文
通过发布文献求助,成功后即可免费获取论文全文。 去求助
来源期刊
Respiratory Medicine Case Reports
Respiratory Medicine Case Reports RESPIRATORY SYSTEM-
CiteScore
2.10
自引率
0.00%
发文量
213
审稿时长
87 days
×
引用
GB/T 7714-2015
复制
MLA
复制
APA
复制
导出至
BibTeX EndNote RefMan NoteFirst NoteExpress
×
提示
您的信息不完整,为了账户安全,请先补充。
现在去补充
×
提示
您因"违规操作"
具体请查看互助需知
我知道了
×
提示
确定
请完成安全验证×
copy
已复制链接
快去分享给好友吧!
我知道了
右上角分享
点击右上角分享
0
联系我们:info@booksci.cn Book学术提供免费学术资源搜索服务,方便国内外学者检索中英文文献。致力于提供最便捷和优质的服务体验。 Copyright © 2023 布克学术 All rights reserved.
京ICP备2023020795号-1
ghs 京公网安备 11010802042870号
Book学术文献互助
Book学术文献互助群
群 号:604180095
Book学术官方微信