真菌性囊肿1例。

IF 1 Q4 INFECTIOUS DISEASES
IDCases Pub Date : 2025-01-01 DOI:10.1016/j.idcr.2024.e02120
Oviya Selvam , Yogindher Singh R. , M.D. Gowthaman , Manobalan K. , K. Subashree
{"title":"真菌性囊肿1例。","authors":"Oviya Selvam ,&nbsp;Yogindher Singh R. ,&nbsp;M.D. Gowthaman ,&nbsp;Manobalan K. ,&nbsp;K. Subashree","doi":"10.1016/j.idcr.2024.e02120","DOIUrl":null,"url":null,"abstract":"<div><div>Phaeohyphomycotic cyst is a common subcutaneous form of phaeohyphomycosis in which patients can present with subcutaneous plaques, nodules, etc., It is an infrequent presentation and is most reported in immunocompromised individuals. Diagnosis is confirmed by histopathological and mycological demonstration of the organism. The treatment is by surgical excision with systemic antifungals. We report a rare case of asymptomatic Mycotic cyst in an immunocompetent individual.</div></div>","PeriodicalId":47045,"journal":{"name":"IDCases","volume":"39 ","pages":"Article e02120"},"PeriodicalIF":1.0000,"publicationDate":"2025-01-01","publicationTypes":"Journal Article","fieldsOfStudy":null,"isOpenAccess":false,"openAccessPdf":"https://www.ncbi.nlm.nih.gov/pmc/articles/PMC11697273/pdf/","citationCount":"0","resultStr":"{\"title\":\"Mycotic cyst: Case report\",\"authors\":\"Oviya Selvam ,&nbsp;Yogindher Singh R. ,&nbsp;M.D. Gowthaman ,&nbsp;Manobalan K. ,&nbsp;K. Subashree\",\"doi\":\"10.1016/j.idcr.2024.e02120\",\"DOIUrl\":null,\"url\":null,\"abstract\":\"<div><div>Phaeohyphomycotic cyst is a common subcutaneous form of phaeohyphomycosis in which patients can present with subcutaneous plaques, nodules, etc., It is an infrequent presentation and is most reported in immunocompromised individuals. Diagnosis is confirmed by histopathological and mycological demonstration of the organism. The treatment is by surgical excision with systemic antifungals. We report a rare case of asymptomatic Mycotic cyst in an immunocompetent individual.</div></div>\",\"PeriodicalId\":47045,\"journal\":{\"name\":\"IDCases\",\"volume\":\"39 \",\"pages\":\"Article e02120\"},\"PeriodicalIF\":1.0000,\"publicationDate\":\"2025-01-01\",\"publicationTypes\":\"Journal Article\",\"fieldsOfStudy\":null,\"isOpenAccess\":false,\"openAccessPdf\":\"https://www.ncbi.nlm.nih.gov/pmc/articles/PMC11697273/pdf/\",\"citationCount\":\"0\",\"resultStr\":null,\"platform\":\"Semanticscholar\",\"paperid\":null,\"PeriodicalName\":\"IDCases\",\"FirstCategoryId\":\"1085\",\"ListUrlMain\":\"https://www.sciencedirect.com/science/article/pii/S2214250924001963\",\"RegionNum\":0,\"RegionCategory\":null,\"ArticlePicture\":[],\"TitleCN\":null,\"AbstractTextCN\":null,\"PMCID\":null,\"EPubDate\":\"\",\"PubModel\":\"\",\"JCR\":\"Q4\",\"JCRName\":\"INFECTIOUS DISEASES\",\"Score\":null,\"Total\":0}","platform":"Semanticscholar","paperid":null,"PeriodicalName":"IDCases","FirstCategoryId":"1085","ListUrlMain":"https://www.sciencedirect.com/science/article/pii/S2214250924001963","RegionNum":0,"RegionCategory":null,"ArticlePicture":[],"TitleCN":null,"AbstractTextCN":null,"PMCID":null,"EPubDate":"","PubModel":"","JCR":"Q4","JCRName":"INFECTIOUS DISEASES","Score":null,"Total":0}
引用次数: 0

摘要

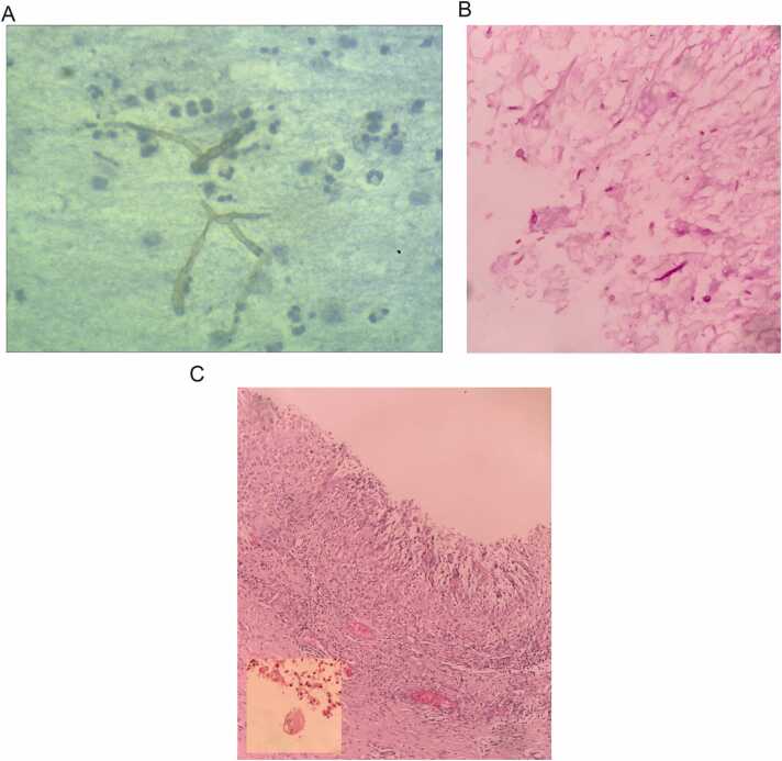
褐丝菌性囊肿是一种常见的皮下形式的褐丝菌病,患者可表现为皮下斑块、结节等,这是一种罕见的表现,在免疫功能低下的个体中报道最多。诊断是由组织病理学和真菌学证明的生物体。治疗是手术切除和全身抗真菌药物。我们报告一例罕见的无症状真菌囊肿在免疫正常的个体。
本文章由计算机程序翻译,如有差异,请以英文原文为准。

Mycotic cyst: Case report

Mycotic cyst: Case report

Mycotic cyst: Case report

Mycotic cyst: Case report
Phaeohyphomycotic cyst is a common subcutaneous form of phaeohyphomycosis in which patients can present with subcutaneous plaques, nodules, etc., It is an infrequent presentation and is most reported in immunocompromised individuals. Diagnosis is confirmed by histopathological and mycological demonstration of the organism. The treatment is by surgical excision with systemic antifungals. We report a rare case of asymptomatic Mycotic cyst in an immunocompetent individual.
求助全文
通过发布文献求助,成功后即可免费获取论文全文。 去求助
来源期刊
IDCases
IDCases INFECTIOUS DISEASES-
CiteScore
2.60
自引率
6.70%
发文量
300
审稿时长
10 weeks
×
引用
GB/T 7714-2015
复制
MLA
复制
APA
复制
导出至
BibTeX EndNote RefMan NoteFirst NoteExpress
×
提示
您的信息不完整,为了账户安全,请先补充。
现在去补充
×
提示
您因"违规操作"
具体请查看互助需知
我知道了
×
提示
确定
请完成安全验证×
copy
已复制链接
快去分享给好友吧!
我知道了
右上角分享
点击右上角分享
0
联系我们:info@booksci.cn Book学术提供免费学术资源搜索服务,方便国内外学者检索中英文文献。致力于提供最便捷和优质的服务体验。 Copyright © 2023 布克学术 All rights reserved.
京ICP备2023020795号-1
ghs 京公网安备 11010802042870号
Book学术文献互助
Book学术文献互助群
群 号:604180095
Book学术官方微信