全身麻醉下体位改变引起的心律失常与周围置管中心静脉导管尾侧运动有关1例。

Q3 Medicine
Case Reports in Anesthesiology Pub Date : 2024-12-27 eCollection Date: 2024-01-01 DOI:10.1155/cria/9185758
Isao Utsumi, Tomasz Hascilowicz, Yasushi Mio, Sachiko Omi
{"title":"全身麻醉下体位改变引起的心律失常与周围置管中心静脉导管尾侧运动有关1例。","authors":"Isao Utsumi, Tomasz Hascilowicz, Yasushi Mio, Sachiko Omi","doi":"10.1155/cria/9185758","DOIUrl":null,"url":null,"abstract":"<p><p><b>Background:</b> The novel case report of a temporary arrhythmia that developed after a positional change in a patient under general anesthesia emphasizes the possibility of potentially lethal cardiac arrhythmias that may develop owing to caudal movement of the peripherally inserted central venous catheter ([CVC] PICC) tip when changing patient positions. <b>Case Presentation:</b> We present a case of temporary arrhythmia that developed after a positional change in a 44-year-old female patient scheduled for laparoscopic adrenalectomy under general anesthesia. She had undergone preoperative insertion of a PICC using an electrocardiogram (ECG)-guided tip confirmation system (TCS). <b>Conclusion:</b> The case report discusses the optimal TCS and emphasizes vigilant ECG monitoring, suggesting measures to prevent these arrhythmias under general anesthesia.</p>","PeriodicalId":36504,"journal":{"name":"Case Reports in Anesthesiology","volume":"2024 ","pages":"9185758"},"PeriodicalIF":0.0000,"publicationDate":"2024-12-27","publicationTypes":"Journal Article","fieldsOfStudy":null,"isOpenAccess":false,"openAccessPdf":"https://www.ncbi.nlm.nih.gov/pmc/articles/PMC11698605/pdf/","citationCount":"0","resultStr":"{\"title\":\"Arrhythmia Induced by Positional Change Under General Anesthesia Related to Caudal Movement of the Peripherally Inserted Central Venous Catheter: A Case Report.\",\"authors\":\"Isao Utsumi, Tomasz Hascilowicz, Yasushi Mio, Sachiko Omi\",\"doi\":\"10.1155/cria/9185758\",\"DOIUrl\":null,\"url\":null,\"abstract\":\"<p><p><b>Background:</b> The novel case report of a temporary arrhythmia that developed after a positional change in a patient under general anesthesia emphasizes the possibility of potentially lethal cardiac arrhythmias that may develop owing to caudal movement of the peripherally inserted central venous catheter ([CVC] PICC) tip when changing patient positions. <b>Case Presentation:</b> We present a case of temporary arrhythmia that developed after a positional change in a 44-year-old female patient scheduled for laparoscopic adrenalectomy under general anesthesia. She had undergone preoperative insertion of a PICC using an electrocardiogram (ECG)-guided tip confirmation system (TCS). <b>Conclusion:</b> The case report discusses the optimal TCS and emphasizes vigilant ECG monitoring, suggesting measures to prevent these arrhythmias under general anesthesia.</p>\",\"PeriodicalId\":36504,\"journal\":{\"name\":\"Case Reports in Anesthesiology\",\"volume\":\"2024 \",\"pages\":\"9185758\"},\"PeriodicalIF\":0.0000,\"publicationDate\":\"2024-12-27\",\"publicationTypes\":\"Journal Article\",\"fieldsOfStudy\":null,\"isOpenAccess\":false,\"openAccessPdf\":\"https://www.ncbi.nlm.nih.gov/pmc/articles/PMC11698605/pdf/\",\"citationCount\":\"0\",\"resultStr\":null,\"platform\":\"Semanticscholar\",\"paperid\":null,\"PeriodicalName\":\"Case Reports in Anesthesiology\",\"FirstCategoryId\":\"1085\",\"ListUrlMain\":\"https://doi.org/10.1155/cria/9185758\",\"RegionNum\":0,\"RegionCategory\":null,\"ArticlePicture\":[],\"TitleCN\":null,\"AbstractTextCN\":null,\"PMCID\":null,\"EPubDate\":\"2024/1/1 0:00:00\",\"PubModel\":\"eCollection\",\"JCR\":\"Q3\",\"JCRName\":\"Medicine\",\"Score\":null,\"Total\":0}","platform":"Semanticscholar","paperid":null,"PeriodicalName":"Case Reports in Anesthesiology","FirstCategoryId":"1085","ListUrlMain":"https://doi.org/10.1155/cria/9185758","RegionNum":0,"RegionCategory":null,"ArticlePicture":[],"TitleCN":null,"AbstractTextCN":null,"PMCID":null,"EPubDate":"2024/1/1 0:00:00","PubModel":"eCollection","JCR":"Q3","JCRName":"Medicine","Score":null,"Total":0}
引用次数: 0

摘要

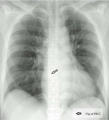
背景:一名全麻患者体位改变后发生暂时性心律失常的新病例报告强调了由于患者体位改变时外周插入的中心静脉导管([CVC] PICC)尖端尾侧运动可能导致潜在致命性心律失常的可能性。病例介绍:我们报告了一个44岁的女性患者在全身麻醉下进行腹腔镜肾上腺切除术,在体位改变后发生的暂时性心律失常。患者术前使用心电图(ECG)引导的针尖确认系统(TCS)插入PICC。结论:本病例报告讨论了全麻下最佳TCS,强调警惕心电监测,提出了预防全麻下心律失常的措施。
本文章由计算机程序翻译,如有差异,请以英文原文为准。

Arrhythmia Induced by Positional Change Under General Anesthesia Related to Caudal Movement of the Peripherally Inserted Central Venous Catheter: A Case Report.

Arrhythmia Induced by Positional Change Under General Anesthesia Related to Caudal Movement of the Peripherally Inserted Central Venous Catheter: A Case Report.

Arrhythmia Induced by Positional Change Under General Anesthesia Related to Caudal Movement of the Peripherally Inserted Central Venous Catheter: A Case Report.

Arrhythmia Induced by Positional Change Under General Anesthesia Related to Caudal Movement of the Peripherally Inserted Central Venous Catheter: A Case Report.

Background: The novel case report of a temporary arrhythmia that developed after a positional change in a patient under general anesthesia emphasizes the possibility of potentially lethal cardiac arrhythmias that may develop owing to caudal movement of the peripherally inserted central venous catheter ([CVC] PICC) tip when changing patient positions. Case Presentation: We present a case of temporary arrhythmia that developed after a positional change in a 44-year-old female patient scheduled for laparoscopic adrenalectomy under general anesthesia. She had undergone preoperative insertion of a PICC using an electrocardiogram (ECG)-guided tip confirmation system (TCS). Conclusion: The case report discusses the optimal TCS and emphasizes vigilant ECG monitoring, suggesting measures to prevent these arrhythmias under general anesthesia.

求助全文
通过发布文献求助,成功后即可免费获取论文全文。 去求助
来源期刊
Case Reports in Anesthesiology
Case Reports in Anesthesiology Medicine-Anesthesiology and Pain Medicine
CiteScore
1.40
自引率
0.00%
发文量
19
审稿时长
12 weeks
×
引用
GB/T 7714-2015
复制
MLA
复制
APA
复制
导出至
BibTeX EndNote RefMan NoteFirst NoteExpress
×
提示
您的信息不完整,为了账户安全,请先补充。
现在去补充
×
提示
您因"违规操作"
具体请查看互助需知
我知道了
×
提示
确定
请完成安全验证×
copy
已复制链接
快去分享给好友吧!
我知道了
右上角分享
点击右上角分享
0
联系我们:info@booksci.cn Book学术提供免费学术资源搜索服务,方便国内外学者检索中英文文献。致力于提供最便捷和优质的服务体验。 Copyright © 2023 布克学术 All rights reserved.
京ICP备2023020795号-1
ghs 京公网安备 11010802042870号
Book学术文献互助
Book学术文献互助群
群 号:604180095
Book学术官方微信