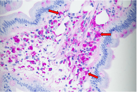
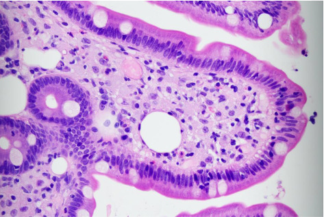
偶然发现的惠普尔病伪装成非特异性的长期症状。

IF 0.8 Q4 INFECTIOUS DISEASES
Case Reports in Infectious Diseases Pub Date : 2024-12-27 eCollection Date: 2024-01-01 DOI:10.1155/crdi/3177799
Thomas Tuggle, Alison I Orvin, Christian Caveness, Christopher Ingram
{"title":"偶然发现的惠普尔病伪装成非特异性的长期症状。","authors":"Thomas Tuggle, Alison I Orvin, Christian Caveness, Christopher Ingram","doi":"10.1155/crdi/3177799","DOIUrl":null,"url":null,"abstract":"<p><p>Whipple's disease is a rare bacterial infection that is often present for years prior to diagnosis. Symptoms are nonspecific in the early stages of presentation and are primarily gastrointestinal in nature. The disease may progress with more systemic symptoms including arthralgia, fever, lymphadenopathy, cardiovascular disease, and central nervous system involvement. This case describes a man with a history of long-standing, nonspecific symptoms who only began to show significant improvement after an incidental finding of Whipple's disease. Due to its rare nature, other instances of the disease have likely gone undiagnosed. A brief review of relevant literature is also included.</p>","PeriodicalId":9608,"journal":{"name":"Case Reports in Infectious Diseases","volume":"2024 ","pages":"3177799"},"PeriodicalIF":0.8000,"publicationDate":"2024-12-27","publicationTypes":"Journal Article","fieldsOfStudy":null,"isOpenAccess":false,"openAccessPdf":"https://www.ncbi.nlm.nih.gov/pmc/articles/PMC11698609/pdf/","citationCount":"0","resultStr":"{\"title\":\"An Incidental Finding of Whipple's Disease Masquerading as Nonspecific, Long-Standing Symptoms.\",\"authors\":\"Thomas Tuggle, Alison I Orvin, Christian Caveness, Christopher Ingram\",\"doi\":\"10.1155/crdi/3177799\",\"DOIUrl\":null,\"url\":null,\"abstract\":\"<p><p>Whipple's disease is a rare bacterial infection that is often present for years prior to diagnosis. Symptoms are nonspecific in the early stages of presentation and are primarily gastrointestinal in nature. The disease may progress with more systemic symptoms including arthralgia, fever, lymphadenopathy, cardiovascular disease, and central nervous system involvement. This case describes a man with a history of long-standing, nonspecific symptoms who only began to show significant improvement after an incidental finding of Whipple's disease. Due to its rare nature, other instances of the disease have likely gone undiagnosed. A brief review of relevant literature is also included.</p>\",\"PeriodicalId\":9608,\"journal\":{\"name\":\"Case Reports in Infectious Diseases\",\"volume\":\"2024 \",\"pages\":\"3177799\"},\"PeriodicalIF\":0.8000,\"publicationDate\":\"2024-12-27\",\"publicationTypes\":\"Journal Article\",\"fieldsOfStudy\":null,\"isOpenAccess\":false,\"openAccessPdf\":\"https://www.ncbi.nlm.nih.gov/pmc/articles/PMC11698609/pdf/\",\"citationCount\":\"0\",\"resultStr\":null,\"platform\":\"Semanticscholar\",\"paperid\":null,\"PeriodicalName\":\"Case Reports in Infectious Diseases\",\"FirstCategoryId\":\"1085\",\"ListUrlMain\":\"https://doi.org/10.1155/crdi/3177799\",\"RegionNum\":0,\"RegionCategory\":null,\"ArticlePicture\":[],\"TitleCN\":null,\"AbstractTextCN\":null,\"PMCID\":null,\"EPubDate\":\"2024/1/1 0:00:00\",\"PubModel\":\"eCollection\",\"JCR\":\"Q4\",\"JCRName\":\"INFECTIOUS DISEASES\",\"Score\":null,\"Total\":0}","platform":"Semanticscholar","paperid":null,"PeriodicalName":"Case Reports in Infectious Diseases","FirstCategoryId":"1085","ListUrlMain":"https://doi.org/10.1155/crdi/3177799","RegionNum":0,"RegionCategory":null,"ArticlePicture":[],"TitleCN":null,"AbstractTextCN":null,"PMCID":null,"EPubDate":"2024/1/1 0:00:00","PubModel":"eCollection","JCR":"Q4","JCRName":"INFECTIOUS DISEASES","Score":null,"Total":0}
引用次数: 0

摘要

惠普尔氏病是一种罕见的细菌感染,通常在诊断前存在数年。在出现的早期阶段,症状是非特异性的,本质上主要是胃肠道的。该病可发展为更多的全身性症状,包括关节痛、发热、淋巴结病、心血管疾病和中枢神经系统受累。这个病例描述了一个长期的,非特异性症状的历史,他只是在偶然发现惠普尔病后才开始显示出显著的改善。由于其罕见的性质,其他病例可能未被诊断出来。对相关文献的简要回顾也包括在内。
本文章由计算机程序翻译,如有差异,请以英文原文为准。

An Incidental Finding of Whipple's Disease Masquerading as Nonspecific, Long-Standing Symptoms.

An Incidental Finding of Whipple's Disease Masquerading as Nonspecific, Long-Standing Symptoms.

An Incidental Finding of Whipple's Disease Masquerading as Nonspecific, Long-Standing Symptoms.

Whipple's disease is a rare bacterial infection that is often present for years prior to diagnosis. Symptoms are nonspecific in the early stages of presentation and are primarily gastrointestinal in nature. The disease may progress with more systemic symptoms including arthralgia, fever, lymphadenopathy, cardiovascular disease, and central nervous system involvement. This case describes a man with a history of long-standing, nonspecific symptoms who only began to show significant improvement after an incidental finding of Whipple's disease. Due to its rare nature, other instances of the disease have likely gone undiagnosed. A brief review of relevant literature is also included.

求助全文
通过发布文献求助,成功后即可免费获取论文全文。 去求助
来源期刊
自引率
0.00%
发文量
64
审稿时长
13 weeks
×
引用
GB/T 7714-2015
复制
MLA
复制
APA
复制
导出至
BibTeX EndNote RefMan NoteFirst NoteExpress
×
提示
您的信息不完整,为了账户安全,请先补充。
现在去补充
×
提示
您因"违规操作"
具体请查看互助需知
我知道了
×
提示
确定
请完成安全验证×
copy
已复制链接
快去分享给好友吧!
我知道了
右上角分享
点击右上角分享
0
联系我们:info@booksci.cn Book学术提供免费学术资源搜索服务,方便国内外学者检索中英文文献。致力于提供最便捷和优质的服务体验。 Copyright © 2023 布克学术 All rights reserved.
京ICP备2023020795号-1
ghs 京公网安备 11010802042870号
Book学术文献互助
Book学术文献互助群
群 号:604180095
Book学术官方微信