左心房肌瘤的神经系统并发症:关于左心房肌瘤中风和术后脑转移及脑动脉瘤的病例报告。

Frontiers in neuroimaging Pub Date : 2024-12-19 eCollection Date: 2024-01-01 DOI:10.3389/fnimg.2024.1524901
Xudong Ai, Qingqing Shao, Xueyan Tian, Yicheng Zhou, Tiantian Zhou
{"title":"左心房肌瘤的神经系统并发症:关于左心房肌瘤中风和术后脑转移及脑动脉瘤的病例报告。","authors":"Xudong Ai, Qingqing Shao, Xueyan Tian, Yicheng Zhou, Tiantian Zhou","doi":"10.3389/fnimg.2024.1524901","DOIUrl":null,"url":null,"abstract":"<p><p>Atrial myxoma is a rare benign tumor that can cause a variety of complications, including cerebral infarction. We present a case of a 52-year-old female patient who developed cerebral infarction caused by an atrial myxoma. The patient underwent successful surgical resection of the tumor, and the infarction was managed accordingly. However, 15-months post-surgery, the patient developed new neurological symptoms. Imaging studies revealed multiple cerebral metastases, consistent with the possibility of seeding of tumor cells. This rare complication emphasizes the importance of long-term monitoring after the resection of atrial myxomas. The occurrence of metastasis in the brain, though rare, should be considered in follow-up care, particularly in patients who have had embolic events related to atrial myxomas. Our case highlights the potential for cerebral myxoma metastasis even after initial successful surgical intervention, underscoring the need for comprehensive follow-up and vigilant monitoring of such patients.</p>","PeriodicalId":73094,"journal":{"name":"Frontiers in neuroimaging","volume":"3 ","pages":"1524901"},"PeriodicalIF":0.0000,"publicationDate":"2024-12-19","publicationTypes":"Journal Article","fieldsOfStudy":null,"isOpenAccess":false,"openAccessPdf":"https://www.ncbi.nlm.nih.gov/pmc/articles/PMC11693650/pdf/","citationCount":"0","resultStr":"{\"title\":\"Neurological complications of left atrial myxoma: a case report on stroke with left atrial myxoma and postoperative brain metastasis and cerebral aneurysm.\",\"authors\":\"Xudong Ai, Qingqing Shao, Xueyan Tian, Yicheng Zhou, Tiantian Zhou\",\"doi\":\"10.3389/fnimg.2024.1524901\",\"DOIUrl\":null,\"url\":null,\"abstract\":\"<p><p>Atrial myxoma is a rare benign tumor that can cause a variety of complications, including cerebral infarction. We present a case of a 52-year-old female patient who developed cerebral infarction caused by an atrial myxoma. The patient underwent successful surgical resection of the tumor, and the infarction was managed accordingly. However, 15-months post-surgery, the patient developed new neurological symptoms. Imaging studies revealed multiple cerebral metastases, consistent with the possibility of seeding of tumor cells. This rare complication emphasizes the importance of long-term monitoring after the resection of atrial myxomas. The occurrence of metastasis in the brain, though rare, should be considered in follow-up care, particularly in patients who have had embolic events related to atrial myxomas. Our case highlights the potential for cerebral myxoma metastasis even after initial successful surgical intervention, underscoring the need for comprehensive follow-up and vigilant monitoring of such patients.</p>\",\"PeriodicalId\":73094,\"journal\":{\"name\":\"Frontiers in neuroimaging\",\"volume\":\"3 \",\"pages\":\"1524901\"},\"PeriodicalIF\":0.0000,\"publicationDate\":\"2024-12-19\",\"publicationTypes\":\"Journal Article\",\"fieldsOfStudy\":null,\"isOpenAccess\":false,\"openAccessPdf\":\"https://www.ncbi.nlm.nih.gov/pmc/articles/PMC11693650/pdf/\",\"citationCount\":\"0\",\"resultStr\":null,\"platform\":\"Semanticscholar\",\"paperid\":null,\"PeriodicalName\":\"Frontiers in neuroimaging\",\"FirstCategoryId\":\"1085\",\"ListUrlMain\":\"https://doi.org/10.3389/fnimg.2024.1524901\",\"RegionNum\":0,\"RegionCategory\":null,\"ArticlePicture\":[],\"TitleCN\":null,\"AbstractTextCN\":null,\"PMCID\":null,\"EPubDate\":\"2024/1/1 0:00:00\",\"PubModel\":\"eCollection\",\"JCR\":\"\",\"JCRName\":\"\",\"Score\":null,\"Total\":0}","platform":"Semanticscholar","paperid":null,"PeriodicalName":"Frontiers in neuroimaging","FirstCategoryId":"1085","ListUrlMain":"https://doi.org/10.3389/fnimg.2024.1524901","RegionNum":0,"RegionCategory":null,"ArticlePicture":[],"TitleCN":null,"AbstractTextCN":null,"PMCID":null,"EPubDate":"2024/1/1 0:00:00","PubModel":"eCollection","JCR":"","JCRName":"","Score":null,"Total":0}
引用次数: 0

摘要

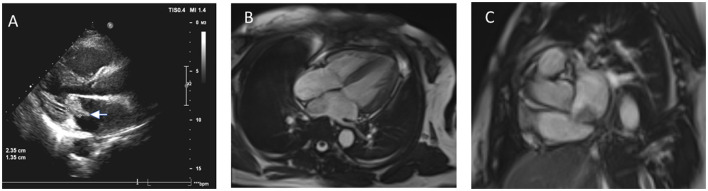
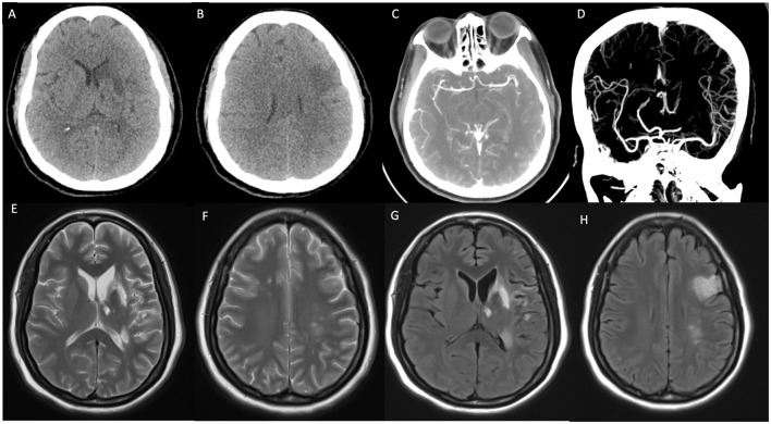
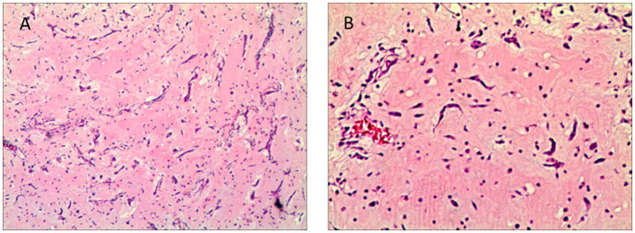
心房黏液瘤是一种罕见的良性肿瘤,可引起多种并发症,包括脑梗死。我们提出一个病例52岁的女性患者谁发展脑梗死引起的心房粘液瘤。患者成功手术切除了肿瘤,并对梗死进行了相应的治疗。然而,术后15个月,患者出现了新的神经系统症状。影像学检查显示多发性脑转移,与肿瘤细胞播散的可能性一致。这种罕见的并发症强调了心房黏液瘤切除术后长期监测的重要性。脑转移的发生虽然罕见,但应在随访中予以考虑,特别是在发生心房黏液瘤相关栓塞事件的患者中。我们的病例强调了即使在最初成功的手术干预后,脑黏液瘤转移的可能性,强调了对此类患者进行全面随访和警惕监测的必要性。
本文章由计算机程序翻译,如有差异,请以英文原文为准。

Neurological complications of left atrial myxoma: a case report on stroke with left atrial myxoma and postoperative brain metastasis and cerebral aneurysm.

Neurological complications of left atrial myxoma: a case report on stroke with left atrial myxoma and postoperative brain metastasis and cerebral aneurysm.

Neurological complications of left atrial myxoma: a case report on stroke with left atrial myxoma and postoperative brain metastasis and cerebral aneurysm.

Neurological complications of left atrial myxoma: a case report on stroke with left atrial myxoma and postoperative brain metastasis and cerebral aneurysm.

Atrial myxoma is a rare benign tumor that can cause a variety of complications, including cerebral infarction. We present a case of a 52-year-old female patient who developed cerebral infarction caused by an atrial myxoma. The patient underwent successful surgical resection of the tumor, and the infarction was managed accordingly. However, 15-months post-surgery, the patient developed new neurological symptoms. Imaging studies revealed multiple cerebral metastases, consistent with the possibility of seeding of tumor cells. This rare complication emphasizes the importance of long-term monitoring after the resection of atrial myxomas. The occurrence of metastasis in the brain, though rare, should be considered in follow-up care, particularly in patients who have had embolic events related to atrial myxomas. Our case highlights the potential for cerebral myxoma metastasis even after initial successful surgical intervention, underscoring the need for comprehensive follow-up and vigilant monitoring of such patients.

求助全文
通过发布文献求助,成功后即可免费获取论文全文。 去求助
来源期刊
自引率
0.00%
发文量
0
×
引用
GB/T 7714-2015
复制
MLA
复制
APA
复制
导出至
BibTeX EndNote RefMan NoteFirst NoteExpress
×
提示
您的信息不完整,为了账户安全,请先补充。
现在去补充
×
提示
您因"违规操作"
具体请查看互助需知
我知道了
×
提示
确定
请完成安全验证×
copy
已复制链接
快去分享给好友吧!
我知道了
右上角分享
点击右上角分享
0
联系我们:info@booksci.cn Book学术提供免费学术资源搜索服务,方便国内外学者检索中英文文献。致力于提供最便捷和优质的服务体验。 Copyright © 2023 布克学术 All rights reserved.
京ICP备2023020795号-1
ghs 京公网安备 11010802042870号
Book学术文献互助
Book学术文献互助群
群 号:604180095
Book学术官方微信