乳腺超声诊断中的人工智能:不同专业水平放射科医生决策支持的比较分析。

IF 1.7 Q4 ONCOLOGY
Filiz Çelebi, Onur Tuncer, Müge Oral, Tomris Duymaz, Tolga Orhan, Gökhan Ertaş
{"title":"乳腺超声诊断中的人工智能:不同专业水平放射科医生决策支持的比较分析。","authors":"Filiz Çelebi, Onur Tuncer, Müge Oral, Tomris Duymaz, Tolga Orhan, Gökhan Ertaş","doi":"10.4274/ejbh.galenos.2024.2024-9-7","DOIUrl":null,"url":null,"abstract":"<p><strong>Objective: </strong>To investigate integrating an artificial intelligence (AI) system into diagnostic breast ultrasound (US) for improved performance.</p><p><strong>Materials and methods: </strong>Seventy suspicious breast mass lesions (53 malignant and 17 benign) from seventy women who underwent diagnostic breast US complemented with shear wave elastography, US-guided core needle biopsy and verified histopathology were enrolled. Two radiologists, one with 15 years of experience and the other with one year of experience, evaluated the images for breast imaging-reporting and data system (BI-RADS) scoring. The less-experienced radiologist re-evaluated the images with the guidance of a commercial AI system and the maximum elasticity from shear wave elastography. The BI-RADS scorings were processed to determine diagnostic performance and malignancy detections.</p><p><strong>Results: </strong>The experienced reader demonstrated superior performance with an area under the curve (AUC) of 0.888 [95% confidence interval (CI): 0.793-0.983], indicating high diagnostic accuracy. In contrast, the Koios decision support (DS) system achieved an AUC of 0.693 (95% CI: 0.562-0.824). The less-experienced reader, guided by both Koios and elasticity, showed an AUC of 0.679 (95% CI: 0.534-0.823), while Koios alone resulted in an AUC of 0.655 (95% CI: 0.512-0.799). Without any guidance, the less-experienced reader exhibited the lowest performance, with an AUC of 0.512 (95% CI: 0.352-0.672). The experienced reader had a sensitivity of 98.1%, specificity of 58.8%, positive predictive value of 88.1%, negative predictive value of 90.9%, and overall accuracy of 88.6%. The Koios DS showed a sensitivity of 92.5%, specificity of 35.3%, and an accuracy of 78.6%. The less-experienced reader, when guided by both Koios and elasticity, achieved a sensitivity of 92.5%, specificity of 23.5%, and an accuracy of 75.7%. When guided by Koios alone, the less-experienced reader had a sensitivity of 90.6%, specificity of 17.6%, and an accuracy of 72.9%. Lastly, the less-experienced reader without any guidance showed a sensitivity of 84.9%, specificity of 17.6%, and an accuracy of 68.6%.</p><p><strong>Conclusion: </strong>Diagnostic evaluation of the suspicious masses on breast US images largely depends on experience, with experienced readers showing good performances. AI-based guidance can help improve lower performances, and using the elasticity metric may further improve the performances of less experienced readers. This type of guidance may reduce unnecessary biopsies by increasing the detection rate for malignant lesions and deliver significant benefits for routine clinical practice in underserved areas where experienced readers may not be available.</p>","PeriodicalId":93996,"journal":{"name":"European journal of breast health","volume":"21 1","pages":"33-39"},"PeriodicalIF":1.7000,"publicationDate":"2025-01-01","publicationTypes":"Journal Article","fieldsOfStudy":null,"isOpenAccess":false,"openAccessPdf":"https://www.ncbi.nlm.nih.gov/pmc/articles/PMC11706116/pdf/","citationCount":"0","resultStr":"{\"title\":\"Artificial Intelligence in Diagnostic Breast Ultrasound: A Comparative Analysis of Decision Support Among Radiologists With Various Levels of Expertise.\",\"authors\":\"Filiz Çelebi, Onur Tuncer, Müge Oral, Tomris Duymaz, Tolga Orhan, Gökhan Ertaş\",\"doi\":\"10.4274/ejbh.galenos.2024.2024-9-7\",\"DOIUrl\":null,\"url\":null,\"abstract\":\"<p><strong>Objective: </strong>To investigate integrating an artificial intelligence (AI) system into diagnostic breast ultrasound (US) for improved performance.</p><p><strong>Materials and methods: </strong>Seventy suspicious breast mass lesions (53 malignant and 17 benign) from seventy women who underwent diagnostic breast US complemented with shear wave elastography, US-guided core needle biopsy and verified histopathology were enrolled. Two radiologists, one with 15 years of experience and the other with one year of experience, evaluated the images for breast imaging-reporting and data system (BI-RADS) scoring. The less-experienced radiologist re-evaluated the images with the guidance of a commercial AI system and the maximum elasticity from shear wave elastography. The BI-RADS scorings were processed to determine diagnostic performance and malignancy detections.</p><p><strong>Results: </strong>The experienced reader demonstrated superior performance with an area under the curve (AUC) of 0.888 [95% confidence interval (CI): 0.793-0.983], indicating high diagnostic accuracy. In contrast, the Koios decision support (DS) system achieved an AUC of 0.693 (95% CI: 0.562-0.824). The less-experienced reader, guided by both Koios and elasticity, showed an AUC of 0.679 (95% CI: 0.534-0.823), while Koios alone resulted in an AUC of 0.655 (95% CI: 0.512-0.799). Without any guidance, the less-experienced reader exhibited the lowest performance, with an AUC of 0.512 (95% CI: 0.352-0.672). The experienced reader had a sensitivity of 98.1%, specificity of 58.8%, positive predictive value of 88.1%, negative predictive value of 90.9%, and overall accuracy of 88.6%. The Koios DS showed a sensitivity of 92.5%, specificity of 35.3%, and an accuracy of 78.6%. The less-experienced reader, when guided by both Koios and elasticity, achieved a sensitivity of 92.5%, specificity of 23.5%, and an accuracy of 75.7%. When guided by Koios alone, the less-experienced reader had a sensitivity of 90.6%, specificity of 17.6%, and an accuracy of 72.9%. Lastly, the less-experienced reader without any guidance showed a sensitivity of 84.9%, specificity of 17.6%, and an accuracy of 68.6%.</p><p><strong>Conclusion: </strong>Diagnostic evaluation of the suspicious masses on breast US images largely depends on experience, with experienced readers showing good performances. AI-based guidance can help improve lower performances, and using the elasticity metric may further improve the performances of less experienced readers. This type of guidance may reduce unnecessary biopsies by increasing the detection rate for malignant lesions and deliver significant benefits for routine clinical practice in underserved areas where experienced readers may not be available.</p>\",\"PeriodicalId\":93996,\"journal\":{\"name\":\"European journal of breast health\",\"volume\":\"21 1\",\"pages\":\"33-39\"},\"PeriodicalIF\":1.7000,\"publicationDate\":\"2025-01-01\",\"publicationTypes\":\"Journal Article\",\"fieldsOfStudy\":null,\"isOpenAccess\":false,\"openAccessPdf\":\"https://www.ncbi.nlm.nih.gov/pmc/articles/PMC11706116/pdf/\",\"citationCount\":\"0\",\"resultStr\":null,\"platform\":\"Semanticscholar\",\"paperid\":null,\"PeriodicalName\":\"European journal of breast health\",\"FirstCategoryId\":\"1085\",\"ListUrlMain\":\"https://doi.org/10.4274/ejbh.galenos.2024.2024-9-7\",\"RegionNum\":0,\"RegionCategory\":null,\"ArticlePicture\":[],\"TitleCN\":null,\"AbstractTextCN\":null,\"PMCID\":null,\"EPubDate\":\"\",\"PubModel\":\"\",\"JCR\":\"Q4\",\"JCRName\":\"ONCOLOGY\",\"Score\":null,\"Total\":0}","platform":"Semanticscholar","paperid":null,"PeriodicalName":"European journal of breast health","FirstCategoryId":"1085","ListUrlMain":"https://doi.org/10.4274/ejbh.galenos.2024.2024-9-7","RegionNum":0,"RegionCategory":null,"ArticlePicture":[],"TitleCN":null,"AbstractTextCN":null,"PMCID":null,"EPubDate":"","PubModel":"","JCR":"Q4","JCRName":"ONCOLOGY","Score":null,"Total":0}
引用次数: 0

摘要

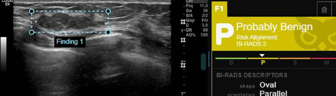
目的:探讨将人工智能(AI)系统集成到乳腺超声诊断(US)中以提高诊断效果。材料和方法:入选70例女性的70例可疑乳腺肿块(53例为恶性,17例为良性),均行乳腺超声诊断,并辅以剪切波弹性成像、超声引导下的芯针活检和组织病理学检查。两位放射科医生,一位有15年经验,另一位有1年经验,对乳房成像报告和数据系统(BI-RADS)评分的图像进行评估。经验不足的放射科医生在商业人工智能系统和横波弹性成像的最大弹性的指导下重新评估图像。对BI-RADS评分进行处理,以确定诊断性能和恶性肿瘤检测。结果:经验丰富的读者表现优异,曲线下面积(AUC)为0.888[95%可信区间(CI): 0.793-0.983],诊断准确率较高。相比之下,Koios决策支持(DS)系统的AUC为0.693 (95% CI: 0.562-0.824)。经验不足的读者在Koios和弹性指导下的AUC为0.679 (95% CI: 0.534-0.823),而单独使用Koios的AUC为0.655 (95% CI: 0.512-0.799)。在没有任何指导的情况下,缺乏经验的读者表现出最低的表现,AUC为0.512 (95% CI: 0.352-0.672)。经验阅读者的敏感性为98.1%,特异性为58.8%,阳性预测值为88.1%,阴性预测值为90.9%,总体准确率为88.6%。Koios DS的敏感性为92.5%,特异性为35.3%,准确率为78.6%。经验不足的读者,在Koios和弹性指导下,灵敏度为92.5%,特异性为23.5%,准确性为75.7%。当仅由Koios引导时,经验不足的读者的敏感性为90.6%,特异性为17.6%,准确性为72.9%。最后,没有任何指导的经验不足的读者的敏感性为84.9%,特异性为17.6%,准确性为68.6%。结论:乳腺超声图像上可疑肿块的诊断评价主要依靠经验,经验丰富的读者表现较好。基于人工智能的指导可以帮助提高较低的性能,并且使用弹性度量可以进一步提高经验不足的读者的性能。这种类型的指导可以通过提高恶性病变的检出率来减少不必要的活组织检查,并为服务不足的地区的常规临床实践带来重大好处,这些地区可能没有经验丰富的读者。
本文章由计算机程序翻译,如有差异,请以英文原文为准。

Artificial Intelligence in Diagnostic Breast Ultrasound: A Comparative Analysis of Decision Support Among Radiologists With Various Levels of Expertise.

Artificial Intelligence in Diagnostic Breast Ultrasound: A Comparative Analysis of Decision Support Among Radiologists With Various Levels of Expertise.

Artificial Intelligence in Diagnostic Breast Ultrasound: A Comparative Analysis of Decision Support Among Radiologists With Various Levels of Expertise.

Artificial Intelligence in Diagnostic Breast Ultrasound: A Comparative Analysis of Decision Support Among Radiologists With Various Levels of Expertise.

Objective: To investigate integrating an artificial intelligence (AI) system into diagnostic breast ultrasound (US) for improved performance.

Materials and methods: Seventy suspicious breast mass lesions (53 malignant and 17 benign) from seventy women who underwent diagnostic breast US complemented with shear wave elastography, US-guided core needle biopsy and verified histopathology were enrolled. Two radiologists, one with 15 years of experience and the other with one year of experience, evaluated the images for breast imaging-reporting and data system (BI-RADS) scoring. The less-experienced radiologist re-evaluated the images with the guidance of a commercial AI system and the maximum elasticity from shear wave elastography. The BI-RADS scorings were processed to determine diagnostic performance and malignancy detections.

Results: The experienced reader demonstrated superior performance with an area under the curve (AUC) of 0.888 [95% confidence interval (CI): 0.793-0.983], indicating high diagnostic accuracy. In contrast, the Koios decision support (DS) system achieved an AUC of 0.693 (95% CI: 0.562-0.824). The less-experienced reader, guided by both Koios and elasticity, showed an AUC of 0.679 (95% CI: 0.534-0.823), while Koios alone resulted in an AUC of 0.655 (95% CI: 0.512-0.799). Without any guidance, the less-experienced reader exhibited the lowest performance, with an AUC of 0.512 (95% CI: 0.352-0.672). The experienced reader had a sensitivity of 98.1%, specificity of 58.8%, positive predictive value of 88.1%, negative predictive value of 90.9%, and overall accuracy of 88.6%. The Koios DS showed a sensitivity of 92.5%, specificity of 35.3%, and an accuracy of 78.6%. The less-experienced reader, when guided by both Koios and elasticity, achieved a sensitivity of 92.5%, specificity of 23.5%, and an accuracy of 75.7%. When guided by Koios alone, the less-experienced reader had a sensitivity of 90.6%, specificity of 17.6%, and an accuracy of 72.9%. Lastly, the less-experienced reader without any guidance showed a sensitivity of 84.9%, specificity of 17.6%, and an accuracy of 68.6%.

Conclusion: Diagnostic evaluation of the suspicious masses on breast US images largely depends on experience, with experienced readers showing good performances. AI-based guidance can help improve lower performances, and using the elasticity metric may further improve the performances of less experienced readers. This type of guidance may reduce unnecessary biopsies by increasing the detection rate for malignant lesions and deliver significant benefits for routine clinical practice in underserved areas where experienced readers may not be available.

求助全文
通过发布文献求助,成功后即可免费获取论文全文。 去求助
来源期刊
CiteScore
2.60
自引率
0.00%
发文量
0
×
引用
GB/T 7714-2015
复制
MLA
复制
APA
复制
导出至
BibTeX EndNote RefMan NoteFirst NoteExpress
×
提示
您的信息不完整,为了账户安全,请先补充。
现在去补充
×
提示
您因"违规操作"
具体请查看互助需知
我知道了
×
提示
确定
请完成安全验证×
copy
已复制链接
快去分享给好友吧!
我知道了
右上角分享
点击右上角分享
0
联系我们:info@booksci.cn Book学术提供免费学术资源搜索服务,方便国内外学者检索中英文文献。致力于提供最便捷和优质的服务体验。 Copyright © 2023 布克学术 All rights reserved.
京ICP备2023020795号-1
ghs 京公网安备 11010802042870号
Book学术文献互助
Book学术文献互助群
群 号:604180095
Book学术官方微信