支气管超声引导下正常大小胸椎淋巴结活检支持心脏结节病诊断一例报告。

IF 0.7 Q4 RESPIRATORY SYSTEM
Jee Young You, Manuel L. Ribeiro Neto
{"title":"支气管超声引导下正常大小胸椎淋巴结活检支持心脏结节病诊断一例报告。","authors":"Jee Young You,&nbsp;Manuel L. Ribeiro Neto","doi":"10.1016/j.rmcr.2024.102146","DOIUrl":null,"url":null,"abstract":"<div><div>Sarcoidosis is a rare chronic granulomatous disease with unknown etiology. Definite diagnosis of cardiac sarcoidosis (CS) is especially difficult to establish. Several guidelines exist to make a diagnosis of CS but those have not been clinically validated. Despite the high specificity of endomyocardial biopsy, its sensitivity is low, and the severity of potential complications is high. Thus, we present 63-year-old male who was diagnosed with CS with the endobronchial ultrasound (EBUS) transbronchial needle aspiration (TBNA) of intrathoracic lymph nodes which were non-enlarged without PET avidity. EBUS TBNA of radiographically normal appearing lymph nodes showed non-necrotizing granulomas. Given challenges of diagnosing CS, EBUS TBNA can be considered even in cases without obvious evidence of active pulmonary sarcoidosis.</div></div>","PeriodicalId":51565,"journal":{"name":"Respiratory Medicine Case Reports","volume":"53 ","pages":"Article 102146"},"PeriodicalIF":0.7000,"publicationDate":"2025-01-01","publicationTypes":"Journal Article","fieldsOfStudy":null,"isOpenAccess":false,"openAccessPdf":"https://www.ncbi.nlm.nih.gov/pmc/articles/PMC11683332/pdf/","citationCount":"0","resultStr":"{\"title\":\"A case report: Endobronchial ultrasound guided biopsy of radiographically normal size thoracic lymph nodes supporting diagnosis of cardiac sarcoidosis\",\"authors\":\"Jee Young You,&nbsp;Manuel L. Ribeiro Neto\",\"doi\":\"10.1016/j.rmcr.2024.102146\",\"DOIUrl\":null,\"url\":null,\"abstract\":\"<div><div>Sarcoidosis is a rare chronic granulomatous disease with unknown etiology. Definite diagnosis of cardiac sarcoidosis (CS) is especially difficult to establish. Several guidelines exist to make a diagnosis of CS but those have not been clinically validated. Despite the high specificity of endomyocardial biopsy, its sensitivity is low, and the severity of potential complications is high. Thus, we present 63-year-old male who was diagnosed with CS with the endobronchial ultrasound (EBUS) transbronchial needle aspiration (TBNA) of intrathoracic lymph nodes which were non-enlarged without PET avidity. EBUS TBNA of radiographically normal appearing lymph nodes showed non-necrotizing granulomas. Given challenges of diagnosing CS, EBUS TBNA can be considered even in cases without obvious evidence of active pulmonary sarcoidosis.</div></div>\",\"PeriodicalId\":51565,\"journal\":{\"name\":\"Respiratory Medicine Case Reports\",\"volume\":\"53 \",\"pages\":\"Article 102146\"},\"PeriodicalIF\":0.7000,\"publicationDate\":\"2025-01-01\",\"publicationTypes\":\"Journal Article\",\"fieldsOfStudy\":null,\"isOpenAccess\":false,\"openAccessPdf\":\"https://www.ncbi.nlm.nih.gov/pmc/articles/PMC11683332/pdf/\",\"citationCount\":\"0\",\"resultStr\":null,\"platform\":\"Semanticscholar\",\"paperid\":null,\"PeriodicalName\":\"Respiratory Medicine Case Reports\",\"FirstCategoryId\":\"1085\",\"ListUrlMain\":\"https://www.sciencedirect.com/science/article/pii/S2213007124001692\",\"RegionNum\":0,\"RegionCategory\":null,\"ArticlePicture\":[],\"TitleCN\":null,\"AbstractTextCN\":null,\"PMCID\":null,\"EPubDate\":\"\",\"PubModel\":\"\",\"JCR\":\"Q4\",\"JCRName\":\"RESPIRATORY SYSTEM\",\"Score\":null,\"Total\":0}","platform":"Semanticscholar","paperid":null,"PeriodicalName":"Respiratory Medicine Case Reports","FirstCategoryId":"1085","ListUrlMain":"https://www.sciencedirect.com/science/article/pii/S2213007124001692","RegionNum":0,"RegionCategory":null,"ArticlePicture":[],"TitleCN":null,"AbstractTextCN":null,"PMCID":null,"EPubDate":"","PubModel":"","JCR":"Q4","JCRName":"RESPIRATORY SYSTEM","Score":null,"Total":0}
引用次数: 0

摘要

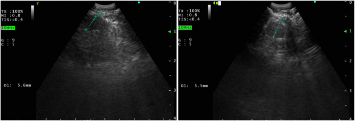
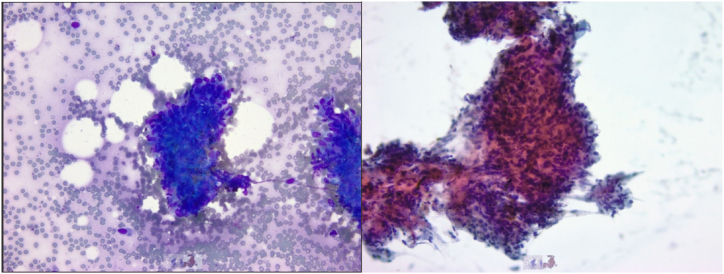
结节病是一种罕见的慢性肉芽肿性疾病,病因不明。心脏结节病(CS)的明确诊断尤其困难。有几种诊断CS的指南,但尚未得到临床验证。尽管心肌膜活检具有高特异性,但其敏感性低,潜在并发症的严重程度高。因此,我们报告63岁男性,经支气管超声(EBUS)经支气管针吸(TBNA)胸内淋巴结诊断为CS,该淋巴结未扩大,无PET可见性。影像学上表现正常的淋巴结EBUS - TBNA显示非坏死性肉芽肿。鉴于CS诊断的挑战,即使在没有明显活动性肺结节病证据的病例中,也可以考虑EBUS TBNA。
本文章由计算机程序翻译,如有差异,请以英文原文为准。

A case report: Endobronchial ultrasound guided biopsy of radiographically normal size thoracic lymph nodes supporting diagnosis of cardiac sarcoidosis

A case report: Endobronchial ultrasound guided biopsy of radiographically normal size thoracic lymph nodes supporting diagnosis of cardiac sarcoidosis

A case report: Endobronchial ultrasound guided biopsy of radiographically normal size thoracic lymph nodes supporting diagnosis of cardiac sarcoidosis

A case report: Endobronchial ultrasound guided biopsy of radiographically normal size thoracic lymph nodes supporting diagnosis of cardiac sarcoidosis
Sarcoidosis is a rare chronic granulomatous disease with unknown etiology. Definite diagnosis of cardiac sarcoidosis (CS) is especially difficult to establish. Several guidelines exist to make a diagnosis of CS but those have not been clinically validated. Despite the high specificity of endomyocardial biopsy, its sensitivity is low, and the severity of potential complications is high. Thus, we present 63-year-old male who was diagnosed with CS with the endobronchial ultrasound (EBUS) transbronchial needle aspiration (TBNA) of intrathoracic lymph nodes which were non-enlarged without PET avidity. EBUS TBNA of radiographically normal appearing lymph nodes showed non-necrotizing granulomas. Given challenges of diagnosing CS, EBUS TBNA can be considered even in cases without obvious evidence of active pulmonary sarcoidosis.
求助全文
通过发布文献求助,成功后即可免费获取论文全文。 去求助
来源期刊
Respiratory Medicine Case Reports
Respiratory Medicine Case Reports RESPIRATORY SYSTEM-
CiteScore
2.10
自引率
0.00%
发文量
213
审稿时长
87 days
×
引用
GB/T 7714-2015
复制
MLA
复制
APA
复制
导出至
BibTeX EndNote RefMan NoteFirst NoteExpress
×
提示
您的信息不完整,为了账户安全,请先补充。
现在去补充
×
提示
您因"违规操作"
具体请查看互助需知
我知道了
×
提示
确定
请完成安全验证×
copy
已复制链接
快去分享给好友吧!
我知道了
右上角分享
点击右上角分享
0
联系我们:info@booksci.cn Book学术提供免费学术资源搜索服务,方便国内外学者检索中英文文献。致力于提供最便捷和优质的服务体验。 Copyright © 2023 布克学术 All rights reserved.
京ICP备2023020795号-1
ghs 京公网安备 11010802042870号
Book学术文献互助
Book学术文献互助群
群 号:604180095
Book学术官方微信