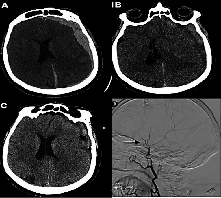
水蛭咬伤后华法林使用者急性硬膜下出血:临床记录和回顾。

IF 0.5 Q4 CLINICAL NEUROLOGY
Aviraj Satish Deshmukh, Ravinder Jeet Singh, Stuart McGregor, Stefano Maria Priola, Ruba Nabil Mahmoud Kiwan
{"title":"水蛭咬伤后华法林使用者急性硬膜下出血:临床记录和回顾。","authors":"Aviraj Satish Deshmukh, Ravinder Jeet Singh, Stuart McGregor, Stefano Maria Priola, Ruba Nabil Mahmoud Kiwan","doi":"10.18502/cjn.v23i2.16843","DOIUrl":null,"url":null,"abstract":"","PeriodicalId":40077,"journal":{"name":"Current Journal of Neurology","volume":"23 2","pages":"134-136"},"PeriodicalIF":0.5000,"publicationDate":"2024-04-03","publicationTypes":"Journal Article","fieldsOfStudy":null,"isOpenAccess":false,"openAccessPdf":"https://www.ncbi.nlm.nih.gov/pmc/articles/PMC11685559/pdf/","citationCount":"0","resultStr":"{\"title\":\"Acute subdural haemorrhage in a warfarin user following leech bite: Clinical note and review.\",\"authors\":\"Aviraj Satish Deshmukh, Ravinder Jeet Singh, Stuart McGregor, Stefano Maria Priola, Ruba Nabil Mahmoud Kiwan\",\"doi\":\"10.18502/cjn.v23i2.16843\",\"DOIUrl\":null,\"url\":null,\"abstract\":\"\",\"PeriodicalId\":40077,\"journal\":{\"name\":\"Current Journal of Neurology\",\"volume\":\"23 2\",\"pages\":\"134-136\"},\"PeriodicalIF\":0.5000,\"publicationDate\":\"2024-04-03\",\"publicationTypes\":\"Journal Article\",\"fieldsOfStudy\":null,\"isOpenAccess\":false,\"openAccessPdf\":\"https://www.ncbi.nlm.nih.gov/pmc/articles/PMC11685559/pdf/\",\"citationCount\":\"0\",\"resultStr\":null,\"platform\":\"Semanticscholar\",\"paperid\":null,\"PeriodicalName\":\"Current Journal of Neurology\",\"FirstCategoryId\":\"1085\",\"ListUrlMain\":\"https://doi.org/10.18502/cjn.v23i2.16843\",\"RegionNum\":0,\"RegionCategory\":null,\"ArticlePicture\":[],\"TitleCN\":null,\"AbstractTextCN\":null,\"PMCID\":null,\"EPubDate\":\"\",\"PubModel\":\"\",\"JCR\":\"Q4\",\"JCRName\":\"CLINICAL NEUROLOGY\",\"Score\":null,\"Total\":0}","platform":"Semanticscholar","paperid":null,"PeriodicalName":"Current Journal of Neurology","FirstCategoryId":"1085","ListUrlMain":"https://doi.org/10.18502/cjn.v23i2.16843","RegionNum":0,"RegionCategory":null,"ArticlePicture":[],"TitleCN":null,"AbstractTextCN":null,"PMCID":null,"EPubDate":"","PubModel":"","JCR":"Q4","JCRName":"CLINICAL NEUROLOGY","Score":null,"Total":0}
引用次数: 0

摘要

本文章由计算机程序翻译,如有差异,请以英文原文为准。

Acute subdural haemorrhage in a warfarin user following leech bite: Clinical note and review.

Acute subdural haemorrhage in a warfarin user following leech bite: Clinical note and review.
求助全文
通过发布文献求助,成功后即可免费获取论文全文。 去求助
来源期刊
Current Journal of Neurology
Current Journal of Neurology CLINICAL NEUROLOGY-
CiteScore
0.80
自引率
14.30%
发文量
30
审稿时长
12 weeks
×
引用
GB/T 7714-2015
复制
MLA
复制
APA
复制
导出至
BibTeX EndNote RefMan NoteFirst NoteExpress
×
提示
您的信息不完整,为了账户安全,请先补充。
现在去补充
×
提示
您因"违规操作"
具体请查看互助需知
我知道了
×
提示
确定
请完成安全验证×
copy
已复制链接
快去分享给好友吧!
我知道了
右上角分享
点击右上角分享
0
联系我们:info@booksci.cn Book学术提供免费学术资源搜索服务,方便国内外学者检索中英文文献。致力于提供最便捷和优质的服务体验。 Copyright © 2023 布克学术 All rights reserved.
京ICP备2023020795号-1
ghs 京公网安备 11010802042870号
Book学术文献互助
Book学术文献互助群
群 号:604180095
Book学术官方微信