利用自体转运体的 C 端结构域在大肠杆菌表面表达红色荧光蛋白。

IF 1 Q4 BIOCHEMISTRY & MOLECULAR BIOLOGY
Khoi-Nguyen Le-Hoang, Thanh-Tan Nguyen, Hieu Tran-Van
{"title":"利用自体转运体的 C 端结构域在大肠杆菌表面表达红色荧光蛋白。","authors":"Khoi-Nguyen Le-Hoang, Thanh-Tan Nguyen, Hieu Tran-Van","doi":"10.22099/mbrc.2024.49860.1956","DOIUrl":null,"url":null,"abstract":"<p><p>The Type V secretion system, or \"autotransporter\", is a secretion system that enables bacteria to directly export proteins from the cell interior to the extracellular membrane. mCherry is a second-generation monomeric red fluorescent protein that has an improvement in photostability compared to the first generation of RFP. In this research, we conducted the fusion of the mRFP into the C-terminal domain of EhaA - the translocation domain of the autotransporter protein transport system - to investigate the expression of mRFP on the surface of <i>Escherichia coli</i> <i>,</i> a model organism commonly utilized in recombinant protein research. The induction of the mRFP-EhaA C-terminal domain complex expression was achieved using isopropyl β-D-1-thiogalactopyranoside (IPTG) and confirmed through SDS-PAGE stained with Coomassie Brilliant Blue and Western blotting using anti-6X His tag antibodies. The surface expression of the mRFP-EhaA C-terminal complex protein was validated through the fluorescent properties of mRFP and further confirmed using fluorescent microscopy. This study laid the groundwork for surface expression on cost-effective Gram-negative bacteria, <i>E. coli</i>.</p>","PeriodicalId":19025,"journal":{"name":"Molecular Biology Research Communications","volume":"14 1","pages":"31-35"},"PeriodicalIF":1.0000,"publicationDate":"2025-01-01","publicationTypes":"Journal Article","fieldsOfStudy":null,"isOpenAccess":false,"openAccessPdf":"https://www.ncbi.nlm.nih.gov/pmc/articles/PMC11624614/pdf/","citationCount":"0","resultStr":"{\"title\":\"Expressing red fluorescent protein on the surface of <i>Escherichia coli</i> using C-terminal domain of autotransporters.\",\"authors\":\"Khoi-Nguyen Le-Hoang, Thanh-Tan Nguyen, Hieu Tran-Van\",\"doi\":\"10.22099/mbrc.2024.49860.1956\",\"DOIUrl\":null,\"url\":null,\"abstract\":\"<p><p>The Type V secretion system, or \\\"autotransporter\\\", is a secretion system that enables bacteria to directly export proteins from the cell interior to the extracellular membrane. mCherry is a second-generation monomeric red fluorescent protein that has an improvement in photostability compared to the first generation of RFP. In this research, we conducted the fusion of the mRFP into the C-terminal domain of EhaA - the translocation domain of the autotransporter protein transport system - to investigate the expression of mRFP on the surface of <i>Escherichia coli</i> <i>,</i> a model organism commonly utilized in recombinant protein research. The induction of the mRFP-EhaA C-terminal domain complex expression was achieved using isopropyl β-D-1-thiogalactopyranoside (IPTG) and confirmed through SDS-PAGE stained with Coomassie Brilliant Blue and Western blotting using anti-6X His tag antibodies. The surface expression of the mRFP-EhaA C-terminal complex protein was validated through the fluorescent properties of mRFP and further confirmed using fluorescent microscopy. This study laid the groundwork for surface expression on cost-effective Gram-negative bacteria, <i>E. coli</i>.</p>\",\"PeriodicalId\":19025,\"journal\":{\"name\":\"Molecular Biology Research Communications\",\"volume\":\"14 1\",\"pages\":\"31-35\"},\"PeriodicalIF\":1.0000,\"publicationDate\":\"2025-01-01\",\"publicationTypes\":\"Journal Article\",\"fieldsOfStudy\":null,\"isOpenAccess\":false,\"openAccessPdf\":\"https://www.ncbi.nlm.nih.gov/pmc/articles/PMC11624614/pdf/\",\"citationCount\":\"0\",\"resultStr\":null,\"platform\":\"Semanticscholar\",\"paperid\":null,\"PeriodicalName\":\"Molecular Biology Research Communications\",\"FirstCategoryId\":\"1085\",\"ListUrlMain\":\"https://doi.org/10.22099/mbrc.2024.49860.1956\",\"RegionNum\":0,\"RegionCategory\":null,\"ArticlePicture\":[],\"TitleCN\":null,\"AbstractTextCN\":null,\"PMCID\":null,\"EPubDate\":\"\",\"PubModel\":\"\",\"JCR\":\"Q4\",\"JCRName\":\"BIOCHEMISTRY & MOLECULAR BIOLOGY\",\"Score\":null,\"Total\":0}","platform":"Semanticscholar","paperid":null,"PeriodicalName":"Molecular Biology Research Communications","FirstCategoryId":"1085","ListUrlMain":"https://doi.org/10.22099/mbrc.2024.49860.1956","RegionNum":0,"RegionCategory":null,"ArticlePicture":[],"TitleCN":null,"AbstractTextCN":null,"PMCID":null,"EPubDate":"","PubModel":"","JCR":"Q4","JCRName":"BIOCHEMISTRY & MOLECULAR BIOLOGY","Score":null,"Total":0}
引用次数: 0

摘要

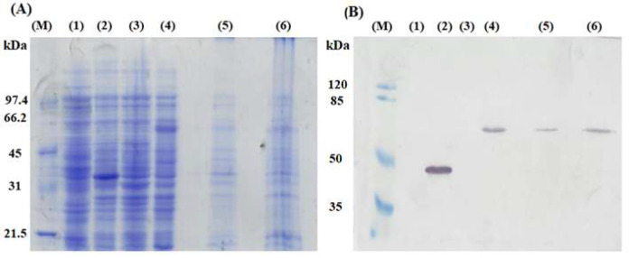
V型分泌系统,或“自转运体”,是一种使细菌能够直接将蛋白质从细胞内部输出到胞外膜的分泌系统。mCherry是第二代单体红色荧光蛋白,与第一代RFP相比,其光稳定性有所提高。在本研究中,我们将mRFP融合到EhaA的c端结构域——自动转运蛋白转运系统的易位结构域——来研究mRFP在大肠杆菌表面的表达,大肠杆菌是重组蛋白研究中常用的一种模式生物。采用异丙基β- d -1-硫代半乳糖苷(IPTG)诱导mRFP-EhaA c末端结构域复合物表达,并通过考马西亮蓝染色SDS-PAGE和抗6x His标记抗体Western blotting进行证实。通过mRFP的荧光特性验证mRFP- ehaa c端复合物蛋白的表面表达,并通过荧光显微镜进一步证实。本研究为高性价比的革兰氏阴性菌大肠杆菌的表面表达奠定了基础。
本文章由计算机程序翻译,如有差异,请以英文原文为准。

Expressing red fluorescent protein on the surface of <i>Escherichia coli</i> using C-terminal domain of autotransporters.

Expressing red fluorescent protein on the surface of <i>Escherichia coli</i> using C-terminal domain of autotransporters.

Expressing red fluorescent protein on the surface of <i>Escherichia coli</i> using C-terminal domain of autotransporters.

Expressing red fluorescent protein on the surface of Escherichia coli using C-terminal domain of autotransporters.

The Type V secretion system, or "autotransporter", is a secretion system that enables bacteria to directly export proteins from the cell interior to the extracellular membrane. mCherry is a second-generation monomeric red fluorescent protein that has an improvement in photostability compared to the first generation of RFP. In this research, we conducted the fusion of the mRFP into the C-terminal domain of EhaA - the translocation domain of the autotransporter protein transport system - to investigate the expression of mRFP on the surface of Escherichia coli , a model organism commonly utilized in recombinant protein research. The induction of the mRFP-EhaA C-terminal domain complex expression was achieved using isopropyl β-D-1-thiogalactopyranoside (IPTG) and confirmed through SDS-PAGE stained with Coomassie Brilliant Blue and Western blotting using anti-6X His tag antibodies. The surface expression of the mRFP-EhaA C-terminal complex protein was validated through the fluorescent properties of mRFP and further confirmed using fluorescent microscopy. This study laid the groundwork for surface expression on cost-effective Gram-negative bacteria, E. coli.

求助全文
通过发布文献求助,成功后即可免费获取论文全文。 去求助
来源期刊
Molecular Biology Research Communications
Molecular Biology Research Communications BIOCHEMISTRY & MOLECULAR BIOLOGY-
CiteScore
3.00
自引率
0.00%
发文量
12
期刊介绍: “Molecular Biology Research Communications” (MBRC) is an international journal of Molecular Biology. It is published quarterly by Shiraz University (Iran). The MBRC is a fully peer-reviewed journal. The journal welcomes submission of Original articles, Short communications, Invited review articles, and Letters to the Editor which meets the general criteria of significance and scientific excellence in all fields of “Molecular Biology”.
×
引用
GB/T 7714-2015
复制
MLA
复制
APA
复制
导出至
BibTeX EndNote RefMan NoteFirst NoteExpress
×
提示
您的信息不完整,为了账户安全,请先补充。
现在去补充
×
提示
您因"违规操作"
具体请查看互助需知
我知道了
×
提示
确定
请完成安全验证×
copy
已复制链接
快去分享给好友吧!
我知道了
右上角分享
点击右上角分享
0
联系我们:info@booksci.cn Book学术提供免费学术资源搜索服务,方便国内外学者检索中英文文献。致力于提供最便捷和优质的服务体验。 Copyright © 2023 布克学术 All rights reserved.
京ICP备2023020795号-1
ghs 京公网安备 11010802042870号
Book学术文献互助
Book学术文献互助群
群 号:604180095
Book学术官方微信