全股骨置换术治疗股骨远端假体失败:1例报告及文献回顾。

Michael Ebiyon Ugbeye, Kehinde Adesola Alatishe, Wakeel Olaide Lawal
{"title":"全股骨置换术治疗股骨远端假体失败:1例报告及文献回顾。","authors":"Michael Ebiyon Ugbeye, Kehinde Adesola Alatishe, Wakeel Olaide Lawal","doi":"10.4103/jwas.jwas_244_22","DOIUrl":null,"url":null,"abstract":"<p><p>Total femoral replacement (TFR) is not a common surgery and most indications are for oncological pathologies. However, there are few instances where non-oncological indications might necessitate TFR; this may be a salvage surgery for failed previous hip and/or knee surgeries with consequent significant femur bone loss. We present a 59-year-old obese woman with right thigh pain and difficulty with walking of 5 years duration. She had undergone bilateral total knee replacement 10 years earlier on account of severe knee osteoarthritis. She had a fall 3 years prior to presentation and sustained a periprosthetic fracture around the right knee which was managed with a fixed angle blade plate and screws. This was complicated by implant breakage and non-union. She subsequently had implant removal and a right distal femur replacement (DFR) surgery 2 years prior to presentation. A year after the DFR surgery, she began to experience \"start-up\" pain, instability around the knee and difficulty with walking without support. A clinical and radiologic diagnosis of aseptic loosening of the distal femur megaprosthesis was made and she was offered a revision DFR surgery which also failed due to poor cementing technique, bone loss at the proximal femur, and severe osteoporosis. Patient ended up with a right total femur replacement to salvage the limb. She had improved Lower Extremity Functional Score of 27 after 12-month follow-up. TFR is a viable salvage procedure for severely compromised femur and/or significant bone loss from multiple non-oncological surgeries of the femur.</p>","PeriodicalId":73993,"journal":{"name":"Journal of the West African College of Surgeons","volume":"15 1","pages":"83-86"},"PeriodicalIF":0.0000,"publicationDate":"2025-01-01","publicationTypes":"Journal Article","fieldsOfStudy":null,"isOpenAccess":false,"openAccessPdf":"https://www.ncbi.nlm.nih.gov/pmc/articles/PMC11676023/pdf/","citationCount":"0","resultStr":"{\"title\":\"Total Femur Replacement as a Salvage Procedure for Failed Distal Femur Megaprosthesis: A Case Report and Literature Reviews.\",\"authors\":\"Michael Ebiyon Ugbeye, Kehinde Adesola Alatishe, Wakeel Olaide Lawal\",\"doi\":\"10.4103/jwas.jwas_244_22\",\"DOIUrl\":null,\"url\":null,\"abstract\":\"<p><p>Total femoral replacement (TFR) is not a common surgery and most indications are for oncological pathologies. However, there are few instances where non-oncological indications might necessitate TFR; this may be a salvage surgery for failed previous hip and/or knee surgeries with consequent significant femur bone loss. We present a 59-year-old obese woman with right thigh pain and difficulty with walking of 5 years duration. She had undergone bilateral total knee replacement 10 years earlier on account of severe knee osteoarthritis. She had a fall 3 years prior to presentation and sustained a periprosthetic fracture around the right knee which was managed with a fixed angle blade plate and screws. This was complicated by implant breakage and non-union. She subsequently had implant removal and a right distal femur replacement (DFR) surgery 2 years prior to presentation. A year after the DFR surgery, she began to experience \\\"start-up\\\" pain, instability around the knee and difficulty with walking without support. A clinical and radiologic diagnosis of aseptic loosening of the distal femur megaprosthesis was made and she was offered a revision DFR surgery which also failed due to poor cementing technique, bone loss at the proximal femur, and severe osteoporosis. Patient ended up with a right total femur replacement to salvage the limb. She had improved Lower Extremity Functional Score of 27 after 12-month follow-up. TFR is a viable salvage procedure for severely compromised femur and/or significant bone loss from multiple non-oncological surgeries of the femur.</p>\",\"PeriodicalId\":73993,\"journal\":{\"name\":\"Journal of the West African College of Surgeons\",\"volume\":\"15 1\",\"pages\":\"83-86\"},\"PeriodicalIF\":0.0000,\"publicationDate\":\"2025-01-01\",\"publicationTypes\":\"Journal Article\",\"fieldsOfStudy\":null,\"isOpenAccess\":false,\"openAccessPdf\":\"https://www.ncbi.nlm.nih.gov/pmc/articles/PMC11676023/pdf/\",\"citationCount\":\"0\",\"resultStr\":null,\"platform\":\"Semanticscholar\",\"paperid\":null,\"PeriodicalName\":\"Journal of the West African College of Surgeons\",\"FirstCategoryId\":\"1085\",\"ListUrlMain\":\"https://doi.org/10.4103/jwas.jwas_244_22\",\"RegionNum\":0,\"RegionCategory\":null,\"ArticlePicture\":[],\"TitleCN\":null,\"AbstractTextCN\":null,\"PMCID\":null,\"EPubDate\":\"2024/8/2 0:00:00\",\"PubModel\":\"Epub\",\"JCR\":\"\",\"JCRName\":\"\",\"Score\":null,\"Total\":0}","platform":"Semanticscholar","paperid":null,"PeriodicalName":"Journal of the West African College of Surgeons","FirstCategoryId":"1085","ListUrlMain":"https://doi.org/10.4103/jwas.jwas_244_22","RegionNum":0,"RegionCategory":null,"ArticlePicture":[],"TitleCN":null,"AbstractTextCN":null,"PMCID":null,"EPubDate":"2024/8/2 0:00:00","PubModel":"Epub","JCR":"","JCRName":"","Score":null,"Total":0}
引用次数: 0

摘要

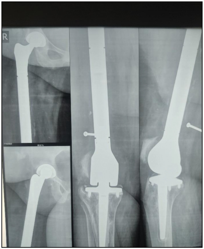
全股置换术(TFR)不是一种常见的手术,大多数指征是肿瘤病理。然而,很少有非肿瘤适应症可能需要TFR;这可能是对先前髋关节和/或膝关节手术失败导致股骨骨丢失的一种挽救性手术。我们报告一位59岁的肥胖女性,右大腿疼痛,行走困难5年。10年前,由于严重的膝骨关节炎,她接受了双侧全膝关节置换术。患者在发病前3年跌倒,右膝周围假体周围骨折,采用固定角度钢板和螺钉进行治疗。这是复杂的种植体断裂和不愈合。随后,她在发病前2年进行了植入物移除和右股骨远端置换术(DFR)。DFR手术一年后,她开始经历“启动”疼痛,膝盖周围不稳定,在没有支撑的情况下行走困难。临床和放射学诊断为股骨远端大型假体无菌性松动,并提供翻修DFR手术,但由于骨水泥技术不佳,股骨近端骨质流失和严重骨质疏松症,该手术也失败了。病人最终接受了右侧全股骨置换手术来挽救肢体。随访12个月后,患者下肢功能评分为27分。TFR对于股骨严重受损和/或多次非肿瘤性股骨手术导致的严重骨丢失是一种可行的挽救性手术。
本文章由计算机程序翻译,如有差异,请以英文原文为准。

Total Femur Replacement as a Salvage Procedure for Failed Distal Femur Megaprosthesis: A Case Report and Literature Reviews.

Total Femur Replacement as a Salvage Procedure for Failed Distal Femur Megaprosthesis: A Case Report and Literature Reviews.

Total Femur Replacement as a Salvage Procedure for Failed Distal Femur Megaprosthesis: A Case Report and Literature Reviews.

Total femoral replacement (TFR) is not a common surgery and most indications are for oncological pathologies. However, there are few instances where non-oncological indications might necessitate TFR; this may be a salvage surgery for failed previous hip and/or knee surgeries with consequent significant femur bone loss. We present a 59-year-old obese woman with right thigh pain and difficulty with walking of 5 years duration. She had undergone bilateral total knee replacement 10 years earlier on account of severe knee osteoarthritis. She had a fall 3 years prior to presentation and sustained a periprosthetic fracture around the right knee which was managed with a fixed angle blade plate and screws. This was complicated by implant breakage and non-union. She subsequently had implant removal and a right distal femur replacement (DFR) surgery 2 years prior to presentation. A year after the DFR surgery, she began to experience "start-up" pain, instability around the knee and difficulty with walking without support. A clinical and radiologic diagnosis of aseptic loosening of the distal femur megaprosthesis was made and she was offered a revision DFR surgery which also failed due to poor cementing technique, bone loss at the proximal femur, and severe osteoporosis. Patient ended up with a right total femur replacement to salvage the limb. She had improved Lower Extremity Functional Score of 27 after 12-month follow-up. TFR is a viable salvage procedure for severely compromised femur and/or significant bone loss from multiple non-oncological surgeries of the femur.

求助全文
通过发布文献求助,成功后即可免费获取论文全文。 去求助
来源期刊
自引率
0.00%
发文量
0
×
引用
GB/T 7714-2015
复制
MLA
复制
APA
复制
导出至
BibTeX EndNote RefMan NoteFirst NoteExpress
×
提示
您的信息不完整,为了账户安全,请先补充。
现在去补充
×
提示
您因"违规操作"
具体请查看互助需知
我知道了
×
提示
确定
请完成安全验证×
copy
已复制链接
快去分享给好友吧!
我知道了
右上角分享
点击右上角分享
0
联系我们:info@booksci.cn Book学术提供免费学术资源搜索服务,方便国内外学者检索中英文文献。致力于提供最便捷和优质的服务体验。 Copyright © 2023 布克学术 All rights reserved.
京ICP备2023020795号-1
ghs 京公网安备 11010802042870号
Book学术文献互助
Book学术文献互助群
群 号:604180095
Book学术官方微信