肺气肿性肝脓肿伴膈下气体的诊断困境:1例报告及文献复习。

Shubhajeet Roy, Gitika Nanda Singh, Deepak Gupta, Parijat Suryavanshi
{"title":"肺气肿性肝脓肿伴膈下气体的诊断困境:1例报告及文献复习。","authors":"Shubhajeet Roy, Gitika Nanda Singh, Deepak Gupta, Parijat Suryavanshi","doi":"10.4103/jwas.jwas_160_23","DOIUrl":null,"url":null,"abstract":"<p><p>A 53-year-old woman presented to the surgical emergency with complaints of high-grade fever accompanied by chills for 15 days and pain in the right upper abdomen for 10 days. X-ray of the abdomen and chest X-ray revealed free gas under the right hemidiaphragm. As there were no signs of generalised or localised peritonitis, emergency laparotomy was postponed. Subsequently, a contrast-enhanced computerised tomography scan of the abdomen suggested an emphysematous liver abscess, which was managed by ultrasonography-guided drainage of the abscess cavity.</p>","PeriodicalId":73993,"journal":{"name":"Journal of the West African College of Surgeons","volume":"15 1","pages":"87-91"},"PeriodicalIF":0.0000,"publicationDate":"2025-01-01","publicationTypes":"Journal Article","fieldsOfStudy":null,"isOpenAccess":false,"openAccessPdf":"https://www.ncbi.nlm.nih.gov/pmc/articles/PMC11676019/pdf/","citationCount":"0","resultStr":"{\"title\":\"A Diagnostic Dilemma of Emphysematous Liver Abscess with Gas under the Diaphragm: A Case Report and Review of Literature.\",\"authors\":\"Shubhajeet Roy, Gitika Nanda Singh, Deepak Gupta, Parijat Suryavanshi\",\"doi\":\"10.4103/jwas.jwas_160_23\",\"DOIUrl\":null,\"url\":null,\"abstract\":\"<p><p>A 53-year-old woman presented to the surgical emergency with complaints of high-grade fever accompanied by chills for 15 days and pain in the right upper abdomen for 10 days. X-ray of the abdomen and chest X-ray revealed free gas under the right hemidiaphragm. As there were no signs of generalised or localised peritonitis, emergency laparotomy was postponed. Subsequently, a contrast-enhanced computerised tomography scan of the abdomen suggested an emphysematous liver abscess, which was managed by ultrasonography-guided drainage of the abscess cavity.</p>\",\"PeriodicalId\":73993,\"journal\":{\"name\":\"Journal of the West African College of Surgeons\",\"volume\":\"15 1\",\"pages\":\"87-91\"},\"PeriodicalIF\":0.0000,\"publicationDate\":\"2025-01-01\",\"publicationTypes\":\"Journal Article\",\"fieldsOfStudy\":null,\"isOpenAccess\":false,\"openAccessPdf\":\"https://www.ncbi.nlm.nih.gov/pmc/articles/PMC11676019/pdf/\",\"citationCount\":\"0\",\"resultStr\":null,\"platform\":\"Semanticscholar\",\"paperid\":null,\"PeriodicalName\":\"Journal of the West African College of Surgeons\",\"FirstCategoryId\":\"1085\",\"ListUrlMain\":\"https://doi.org/10.4103/jwas.jwas_160_23\",\"RegionNum\":0,\"RegionCategory\":null,\"ArticlePicture\":[],\"TitleCN\":null,\"AbstractTextCN\":null,\"PMCID\":null,\"EPubDate\":\"2024/8/2 0:00:00\",\"PubModel\":\"Epub\",\"JCR\":\"\",\"JCRName\":\"\",\"Score\":null,\"Total\":0}","platform":"Semanticscholar","paperid":null,"PeriodicalName":"Journal of the West African College of Surgeons","FirstCategoryId":"1085","ListUrlMain":"https://doi.org/10.4103/jwas.jwas_160_23","RegionNum":0,"RegionCategory":null,"ArticlePicture":[],"TitleCN":null,"AbstractTextCN":null,"PMCID":null,"EPubDate":"2024/8/2 0:00:00","PubModel":"Epub","JCR":"","JCRName":"","Score":null,"Total":0}
引用次数: 0

摘要

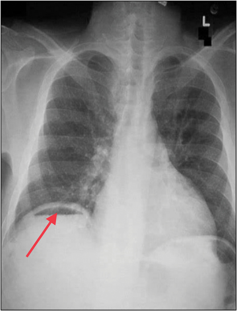
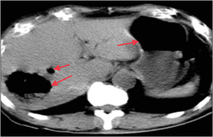
一名 53 岁的妇女因高烧伴寒战 15 天、右上腹疼痛 10 天前来外科急诊就诊。腹部 X 光片和胸部 X 光片显示右半膈下有游离气体。由于没有全身或局部腹膜炎的迹象,急诊开腹手术被推迟。随后,腹部造影剂增强计算机断层扫描显示该患者患有气肿性肝脓肿,在超声波引导下对脓腔进行了引流。
本文章由计算机程序翻译,如有差异,请以英文原文为准。

A Diagnostic Dilemma of Emphysematous Liver Abscess with Gas under the Diaphragm: A Case Report and Review of Literature.

A Diagnostic Dilemma of Emphysematous Liver Abscess with Gas under the Diaphragm: A Case Report and Review of Literature.

A Diagnostic Dilemma of Emphysematous Liver Abscess with Gas under the Diaphragm: A Case Report and Review of Literature.

A 53-year-old woman presented to the surgical emergency with complaints of high-grade fever accompanied by chills for 15 days and pain in the right upper abdomen for 10 days. X-ray of the abdomen and chest X-ray revealed free gas under the right hemidiaphragm. As there were no signs of generalised or localised peritonitis, emergency laparotomy was postponed. Subsequently, a contrast-enhanced computerised tomography scan of the abdomen suggested an emphysematous liver abscess, which was managed by ultrasonography-guided drainage of the abscess cavity.

求助全文
通过发布文献求助,成功后即可免费获取论文全文。 去求助
来源期刊
自引率
0.00%
发文量
0
×
引用
GB/T 7714-2015
复制
MLA
复制
APA
复制
导出至
BibTeX EndNote RefMan NoteFirst NoteExpress
×
提示
您的信息不完整,为了账户安全,请先补充。
现在去补充
×
提示
您因"违规操作"
具体请查看互助需知
我知道了
×
提示
确定
请完成安全验证×
copy
已复制链接
快去分享给好友吧!
我知道了
右上角分享
点击右上角分享
0
联系我们:info@booksci.cn Book学术提供免费学术资源搜索服务,方便国内外学者检索中英文文献。致力于提供最便捷和优质的服务体验。 Copyright © 2023 布克学术 All rights reserved.
京ICP备2023020795号-1
ghs 京公网安备 11010802042870号
Book学术文献互助
Book学术文献互助群
群 号:604180095
Book学术官方微信