使用 STARD 平台对三级医疗中心就诊的阴道异常女性进行宫颈涂片液基细胞学诊断及其阳性率研究。

IF 1 4区 医学 Q4 MEDICAL LABORATORY TECHNOLOGY
Journal of Cytology Pub Date : 2024-10-01 Epub Date: 2024-11-08 DOI:10.4103/joc.joc_170_23
Mohd Afzal, Abhishek Sharma, Vikas Tiwari, Jaishree Karnwal Tiwari
{"title":"使用 STARD 平台对三级医疗中心就诊的阴道异常女性进行宫颈涂片液基细胞学诊断及其阳性率研究。","authors":"Mohd Afzal, Abhishek Sharma, Vikas Tiwari, Jaishree Karnwal Tiwari","doi":"10.4103/joc.joc_170_23","DOIUrl":null,"url":null,"abstract":"<p><strong>Background: </strong>Liquid-based cytology (LBC) is a newer method of preparing cervical cell samples. This technique involves collecting cells in a liquid fixative and preparing and evaluating them.</p><p><strong>Aim: </strong>This study aims to investigate cervical smears prepared using the Ezi-Prep LBC method and analyze the positivity rate for cervical cancer and assess the diagnostic accuracy of LBC in detecting cervical abnormalities among females with abnormal vaginal conditions attending a tertiary care center.</p><p><strong>Materials and methods: </strong>The present diagnostic study was performed in a tertiary care hospital over a period of 1 year (April 1, 2021-November 30, 2021). A total of 230 women, aged 21-70 years, presented at the gynecology outpatient department for either routine cervical screening or with complaints of vaginal bleeding, discharge, or pelvic pain. Cervical smears were prepared using the Ezi-Prep method and stained with ULTRA-PAP stain.</p><p><strong>Results: </strong>LBC smears are monolayer smears and are without nuclear overlapping with spread over a diameter of 16 mm. Minimum cellular overlapping and crowding were observed in LBC smears. The mean age of the participants was 35.5 ± 5.1 years. The smears were studied by using nine morphological parameters.</p><p><strong>Conclusion: </strong>The majority of the smears were inflammatory smears. A total of 16 cases and three cases were found to be bacterial vaginosis and candidiasis, respectively. In an 8-month study, HSIL was found in two cases, whereas LSIL was found in only one case. The positivity rate was observed to be 0.9% in HSIL cases and 0.4% in LSIL cases, 0.9% ASC-US case, and 0.4% invasive carcinoma case.</p>","PeriodicalId":50217,"journal":{"name":"Journal of Cytology","volume":"41 4","pages":"207-213"},"PeriodicalIF":1.0000,"publicationDate":"2024-10-01","publicationTypes":"Journal Article","fieldsOfStudy":null,"isOpenAccess":false,"openAccessPdf":"https://www.ncbi.nlm.nih.gov/pmc/articles/PMC11676091/pdf/","citationCount":"0","resultStr":"{\"title\":\"A Diagnostic Study Using STARD Platform on Liquid-Based Cytology in Cervical Smear and Its Positivity Rate among Females with Abnormal Vaginal Conditions Attending a Tertiary Care Center.\",\"authors\":\"Mohd Afzal, Abhishek Sharma, Vikas Tiwari, Jaishree Karnwal Tiwari\",\"doi\":\"10.4103/joc.joc_170_23\",\"DOIUrl\":null,\"url\":null,\"abstract\":\"<p><strong>Background: </strong>Liquid-based cytology (LBC) is a newer method of preparing cervical cell samples. This technique involves collecting cells in a liquid fixative and preparing and evaluating them.</p><p><strong>Aim: </strong>This study aims to investigate cervical smears prepared using the Ezi-Prep LBC method and analyze the positivity rate for cervical cancer and assess the diagnostic accuracy of LBC in detecting cervical abnormalities among females with abnormal vaginal conditions attending a tertiary care center.</p><p><strong>Materials and methods: </strong>The present diagnostic study was performed in a tertiary care hospital over a period of 1 year (April 1, 2021-November 30, 2021). A total of 230 women, aged 21-70 years, presented at the gynecology outpatient department for either routine cervical screening or with complaints of vaginal bleeding, discharge, or pelvic pain. Cervical smears were prepared using the Ezi-Prep method and stained with ULTRA-PAP stain.</p><p><strong>Results: </strong>LBC smears are monolayer smears and are without nuclear overlapping with spread over a diameter of 16 mm. Minimum cellular overlapping and crowding were observed in LBC smears. The mean age of the participants was 35.5 ± 5.1 years. The smears were studied by using nine morphological parameters.</p><p><strong>Conclusion: </strong>The majority of the smears were inflammatory smears. A total of 16 cases and three cases were found to be bacterial vaginosis and candidiasis, respectively. In an 8-month study, HSIL was found in two cases, whereas LSIL was found in only one case. The positivity rate was observed to be 0.9% in HSIL cases and 0.4% in LSIL cases, 0.9% ASC-US case, and 0.4% invasive carcinoma case.</p>\",\"PeriodicalId\":50217,\"journal\":{\"name\":\"Journal of Cytology\",\"volume\":\"41 4\",\"pages\":\"207-213\"},\"PeriodicalIF\":1.0000,\"publicationDate\":\"2024-10-01\",\"publicationTypes\":\"Journal Article\",\"fieldsOfStudy\":null,\"isOpenAccess\":false,\"openAccessPdf\":\"https://www.ncbi.nlm.nih.gov/pmc/articles/PMC11676091/pdf/\",\"citationCount\":\"0\",\"resultStr\":null,\"platform\":\"Semanticscholar\",\"paperid\":null,\"PeriodicalName\":\"Journal of Cytology\",\"FirstCategoryId\":\"3\",\"ListUrlMain\":\"https://doi.org/10.4103/joc.joc_170_23\",\"RegionNum\":4,\"RegionCategory\":\"医学\",\"ArticlePicture\":[],\"TitleCN\":null,\"AbstractTextCN\":null,\"PMCID\":null,\"EPubDate\":\"2024/11/8 0:00:00\",\"PubModel\":\"Epub\",\"JCR\":\"Q4\",\"JCRName\":\"MEDICAL LABORATORY TECHNOLOGY\",\"Score\":null,\"Total\":0}","platform":"Semanticscholar","paperid":null,"PeriodicalName":"Journal of Cytology","FirstCategoryId":"3","ListUrlMain":"https://doi.org/10.4103/joc.joc_170_23","RegionNum":4,"RegionCategory":"医学","ArticlePicture":[],"TitleCN":null,"AbstractTextCN":null,"PMCID":null,"EPubDate":"2024/11/8 0:00:00","PubModel":"Epub","JCR":"Q4","JCRName":"MEDICAL LABORATORY TECHNOLOGY","Score":null,"Total":0}
引用次数: 0

摘要

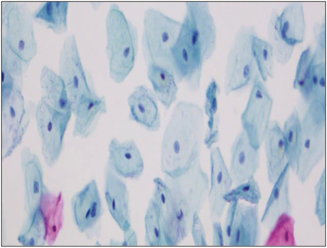
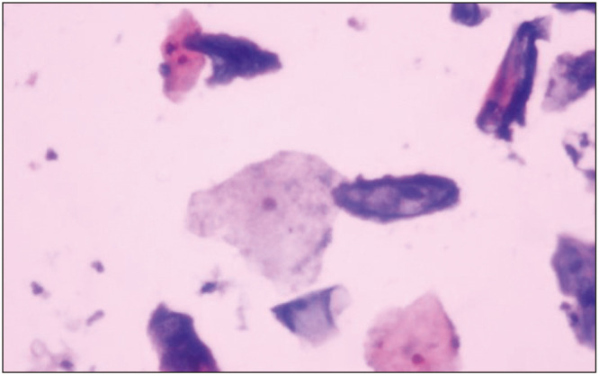
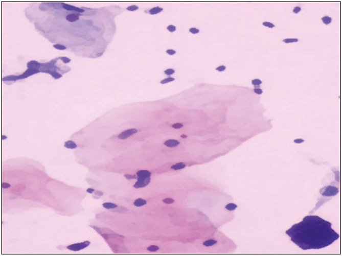
背景:液体细胞学(LBC)是制备宫颈细胞样本的一种较新的方法。该技术包括在液体固定液中收集细胞,并对其进行制备和评估。目的:探讨Ezi-Prep LBC法宫颈涂片对三级保健中心阴道异常女性宫颈癌的检出率及LBC对宫颈异常的诊断准确性。材料和方法:本诊断研究在一家三级医院进行,为期1年(2021年4月1日- 2021年11月30日)。共有230名妇女,年龄21-70岁,在妇科门诊进行常规子宫颈筛查或阴道出血,分泌物或盆腔疼痛的投诉。采用Ezi-Prep法制备子宫颈涂片,超巴氏涂片染色。结果:LBC涂片为单层涂片,无核重叠,直径约16mm。在LBC涂片中观察到最小的细胞重叠和拥挤。参与者平均年龄为35.5±5.1岁。采用9个形态学参数对涂片进行研究。结论:以炎性涂片为主。其中细菌性阴道病16例,念珠菌病3例。在为期8个月的研究中,2例发现HSIL, 1例发现LSIL。HSIL阳性率为0.9%,LSIL阳性率为0.4%,ASC-US阳性率为0.9%,浸润性癌阳性率为0.4%。
本文章由计算机程序翻译,如有差异,请以英文原文为准。

A Diagnostic Study Using STARD Platform on Liquid-Based Cytology in Cervical Smear and Its Positivity Rate among Females with Abnormal Vaginal Conditions Attending a Tertiary Care Center.

A Diagnostic Study Using STARD Platform on Liquid-Based Cytology in Cervical Smear and Its Positivity Rate among Females with Abnormal Vaginal Conditions Attending a Tertiary Care Center.

A Diagnostic Study Using STARD Platform on Liquid-Based Cytology in Cervical Smear and Its Positivity Rate among Females with Abnormal Vaginal Conditions Attending a Tertiary Care Center.

A Diagnostic Study Using STARD Platform on Liquid-Based Cytology in Cervical Smear and Its Positivity Rate among Females with Abnormal Vaginal Conditions Attending a Tertiary Care Center.

Background: Liquid-based cytology (LBC) is a newer method of preparing cervical cell samples. This technique involves collecting cells in a liquid fixative and preparing and evaluating them.

Aim: This study aims to investigate cervical smears prepared using the Ezi-Prep LBC method and analyze the positivity rate for cervical cancer and assess the diagnostic accuracy of LBC in detecting cervical abnormalities among females with abnormal vaginal conditions attending a tertiary care center.

Materials and methods: The present diagnostic study was performed in a tertiary care hospital over a period of 1 year (April 1, 2021-November 30, 2021). A total of 230 women, aged 21-70 years, presented at the gynecology outpatient department for either routine cervical screening or with complaints of vaginal bleeding, discharge, or pelvic pain. Cervical smears were prepared using the Ezi-Prep method and stained with ULTRA-PAP stain.

Results: LBC smears are monolayer smears and are without nuclear overlapping with spread over a diameter of 16 mm. Minimum cellular overlapping and crowding were observed in LBC smears. The mean age of the participants was 35.5 ± 5.1 years. The smears were studied by using nine morphological parameters.

Conclusion: The majority of the smears were inflammatory smears. A total of 16 cases and three cases were found to be bacterial vaginosis and candidiasis, respectively. In an 8-month study, HSIL was found in two cases, whereas LSIL was found in only one case. The positivity rate was observed to be 0.9% in HSIL cases and 0.4% in LSIL cases, 0.9% ASC-US case, and 0.4% invasive carcinoma case.

求助全文
通过发布文献求助,成功后即可免费获取论文全文。 去求助
来源期刊
Journal of Cytology
Journal of Cytology MEDICAL LABORATORY TECHNOLOGY-
CiteScore
1.80
自引率
7.70%
发文量
34
审稿时长
46 weeks
期刊介绍: The Journal of Cytology is the official Quarterly publication of the Indian Academy of Cytologists. It is in the 25th year of publication in the year 2008. The journal covers all aspects of diagnostic cytology, including fine needle aspiration cytology, gynecological and non-gynecological cytology. Articles on ancillary techniques, like cytochemistry, immunocytochemistry, electron microscopy, molecular cytopathology, as applied to cytological material are also welcome. The journal gives preference to clinically oriented studies over experimental and animal studies. The Journal would publish peer-reviewed original research papers, case reports, systematic reviews, meta-analysis, and debates.
×
引用
GB/T 7714-2015
复制
MLA
复制
APA
复制
导出至
BibTeX EndNote RefMan NoteFirst NoteExpress
×
提示
您的信息不完整,为了账户安全,请先补充。
现在去补充
×
提示
您因"违规操作"
具体请查看互助需知
我知道了
×
提示
确定
请完成安全验证×
copy
已复制链接
快去分享给好友吧!
我知道了
右上角分享
点击右上角分享
0
联系我们:info@booksci.cn Book学术提供免费学术资源搜索服务,方便国内外学者检索中英文文献。致力于提供最便捷和优质的服务体验。 Copyright © 2023 布克学术 All rights reserved.
京ICP备2023020795号-1
ghs 京公网安备 11010802042870号
Book学术文献互助
Book学术文献互助群
群 号:604180095
Book学术官方微信