由慢性粒单核细胞白血病(CMML)演变而来的 T 细胞分化型急性髓细胞白血病(AML)。

IF 0.7 Q4 HEMATOLOGY
Case Reports in Hematology Pub Date : 2024-12-14 eCollection Date: 2024-01-01 DOI:10.1155/crh/5584297
Anthony Crymes, Mark G Evans, Deepa Jeyakumar, Jerry J Lou, Xiaohui Zhao, Sherif A Rezk
{"title":"由慢性粒单核细胞白血病(CMML)演变而来的 T 细胞分化型急性髓细胞白血病(AML)。","authors":"Anthony Crymes, Mark G Evans, Deepa Jeyakumar, Jerry J Lou, Xiaohui Zhao, Sherif A Rezk","doi":"10.1155/crh/5584297","DOIUrl":null,"url":null,"abstract":"<p><p>Chronic myelomonocytic leukemia (CMML) is a myelodysplastic/myeloproliferative neoplasm characterized by peripheral blood monocytosis and bone marrow dysplasia. In approximately one-fourth of cases, CMML can demonstrate progression to acute myeloid leukemia (AML), referred to as AML ex CMML. We present a 58-year-old woman with a past medical history of idiopathic thrombocytopenic purpura (ITP) who demonstrated 24% bone marrow blasts on a repeat biopsy obtained two years after being diagnosed with CMML. By the flow cytometric analysis, the blasts expressed partial CD34, CD13, CD117, partial MPO, and partial CD123 with coexpression of the T-lymphoid markers CD2, CD5, CD7, partial CD4, cytoplasmic CD3, partial cytoplasmic TDT, and CD38, suggestive of AML with rare mixed myeloid/T-cell phenotype. Treatment with various agents including decitabine, cytarabine, daunorubicin, etoposide, and venetoclax, and two experimental bromodomain and extraterminal (BET) inhibitors did not produce sustained remissions, and the patient eventually succumbed to her disease. T-cell phenotype is an exceedingly rare feature of AML ex CMML, and whether this unique differentiation pathway contributed to the aggressive disease course remains unclear. <b>Trial Registration:</b> ClinicalTrials.gov identifier: NCT02543879, NCT03360006.</p>","PeriodicalId":46307,"journal":{"name":"Case Reports in Hematology","volume":"2024 ","pages":"5584297"},"PeriodicalIF":0.7000,"publicationDate":"2024-12-14","publicationTypes":"Journal Article","fieldsOfStudy":null,"isOpenAccess":false,"openAccessPdf":"https://www.ncbi.nlm.nih.gov/pmc/articles/PMC11671604/pdf/","citationCount":"0","resultStr":"{\"title\":\"Acute Myeloid Leukemia (AML) With T-Cell Differentiation Arising From Chronic Myelomonocytic Leukemia (CMML).\",\"authors\":\"Anthony Crymes, Mark G Evans, Deepa Jeyakumar, Jerry J Lou, Xiaohui Zhao, Sherif A Rezk\",\"doi\":\"10.1155/crh/5584297\",\"DOIUrl\":null,\"url\":null,\"abstract\":\"<p><p>Chronic myelomonocytic leukemia (CMML) is a myelodysplastic/myeloproliferative neoplasm characterized by peripheral blood monocytosis and bone marrow dysplasia. In approximately one-fourth of cases, CMML can demonstrate progression to acute myeloid leukemia (AML), referred to as AML ex CMML. We present a 58-year-old woman with a past medical history of idiopathic thrombocytopenic purpura (ITP) who demonstrated 24% bone marrow blasts on a repeat biopsy obtained two years after being diagnosed with CMML. By the flow cytometric analysis, the blasts expressed partial CD34, CD13, CD117, partial MPO, and partial CD123 with coexpression of the T-lymphoid markers CD2, CD5, CD7, partial CD4, cytoplasmic CD3, partial cytoplasmic TDT, and CD38, suggestive of AML with rare mixed myeloid/T-cell phenotype. Treatment with various agents including decitabine, cytarabine, daunorubicin, etoposide, and venetoclax, and two experimental bromodomain and extraterminal (BET) inhibitors did not produce sustained remissions, and the patient eventually succumbed to her disease. T-cell phenotype is an exceedingly rare feature of AML ex CMML, and whether this unique differentiation pathway contributed to the aggressive disease course remains unclear. <b>Trial Registration:</b> ClinicalTrials.gov identifier: NCT02543879, NCT03360006.</p>\",\"PeriodicalId\":46307,\"journal\":{\"name\":\"Case Reports in Hematology\",\"volume\":\"2024 \",\"pages\":\"5584297\"},\"PeriodicalIF\":0.7000,\"publicationDate\":\"2024-12-14\",\"publicationTypes\":\"Journal Article\",\"fieldsOfStudy\":null,\"isOpenAccess\":false,\"openAccessPdf\":\"https://www.ncbi.nlm.nih.gov/pmc/articles/PMC11671604/pdf/\",\"citationCount\":\"0\",\"resultStr\":null,\"platform\":\"Semanticscholar\",\"paperid\":null,\"PeriodicalName\":\"Case Reports in Hematology\",\"FirstCategoryId\":\"1085\",\"ListUrlMain\":\"https://doi.org/10.1155/crh/5584297\",\"RegionNum\":0,\"RegionCategory\":null,\"ArticlePicture\":[],\"TitleCN\":null,\"AbstractTextCN\":null,\"PMCID\":null,\"EPubDate\":\"2024/1/1 0:00:00\",\"PubModel\":\"eCollection\",\"JCR\":\"Q4\",\"JCRName\":\"HEMATOLOGY\",\"Score\":null,\"Total\":0}","platform":"Semanticscholar","paperid":null,"PeriodicalName":"Case Reports in Hematology","FirstCategoryId":"1085","ListUrlMain":"https://doi.org/10.1155/crh/5584297","RegionNum":0,"RegionCategory":null,"ArticlePicture":[],"TitleCN":null,"AbstractTextCN":null,"PMCID":null,"EPubDate":"2024/1/1 0:00:00","PubModel":"eCollection","JCR":"Q4","JCRName":"HEMATOLOGY","Score":null,"Total":0}
引用次数: 0

摘要

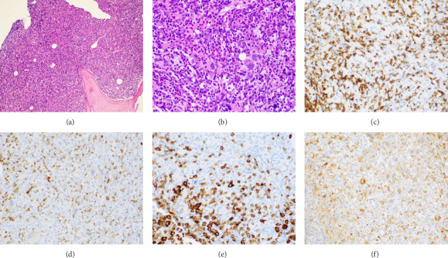
慢性骨髓单核细胞白血病(CMML)是一种以外周血单核细胞增多和骨髓发育不良为特征的骨髓增生异常/骨髓增生性肿瘤。在大约四分之一的病例中,CMML可以进展为急性髓性白血病(AML),称为AML ex CMML。我们报告一位58岁的女性,既往有特发性血小板减少性紫癜(ITP)病史,在诊断为CMML两年后的重复活检中显示24%的骨髓原细胞。通过流式细胞术分析,这些细胞表达部分CD34、CD13、CD117、部分MPO和部分CD123,并共同表达t淋巴标记物CD2、CD5、CD7、部分CD4、细胞质CD3、部分细胞质TDT和CD38,提示AML具有罕见的骨髓/ t细胞混合表型。用地西他滨、阿糖胞苷、柔红霉素、依托泊苷和venetoclax等多种药物治疗,以及两种实验性溴域和外端(BET)抑制剂,均未产生持续缓解,患者最终死于疾病。t细胞表型是前CMML AML的一个极其罕见的特征,这种独特的分化途径是否导致了侵袭性疾病进程尚不清楚。试验注册:ClinicalTrials.gov标识符:NCT02543879, NCT03360006。
本文章由计算机程序翻译,如有差异,请以英文原文为准。

Acute Myeloid Leukemia (AML) With T-Cell Differentiation Arising From Chronic Myelomonocytic Leukemia (CMML).

Acute Myeloid Leukemia (AML) With T-Cell Differentiation Arising From Chronic Myelomonocytic Leukemia (CMML).

Chronic myelomonocytic leukemia (CMML) is a myelodysplastic/myeloproliferative neoplasm characterized by peripheral blood monocytosis and bone marrow dysplasia. In approximately one-fourth of cases, CMML can demonstrate progression to acute myeloid leukemia (AML), referred to as AML ex CMML. We present a 58-year-old woman with a past medical history of idiopathic thrombocytopenic purpura (ITP) who demonstrated 24% bone marrow blasts on a repeat biopsy obtained two years after being diagnosed with CMML. By the flow cytometric analysis, the blasts expressed partial CD34, CD13, CD117, partial MPO, and partial CD123 with coexpression of the T-lymphoid markers CD2, CD5, CD7, partial CD4, cytoplasmic CD3, partial cytoplasmic TDT, and CD38, suggestive of AML with rare mixed myeloid/T-cell phenotype. Treatment with various agents including decitabine, cytarabine, daunorubicin, etoposide, and venetoclax, and two experimental bromodomain and extraterminal (BET) inhibitors did not produce sustained remissions, and the patient eventually succumbed to her disease. T-cell phenotype is an exceedingly rare feature of AML ex CMML, and whether this unique differentiation pathway contributed to the aggressive disease course remains unclear. Trial Registration: ClinicalTrials.gov identifier: NCT02543879, NCT03360006.

求助全文
通过发布文献求助,成功后即可免费获取论文全文。 去求助
来源期刊
自引率
0.00%
发文量
51
审稿时长
13 weeks
×
引用
GB/T 7714-2015
复制
MLA
复制
APA
复制
导出至
BibTeX EndNote RefMan NoteFirst NoteExpress
×
提示
您的信息不完整,为了账户安全,请先补充。
现在去补充
×
提示
您因"违规操作"
具体请查看互助需知
我知道了
×
提示
确定
请完成安全验证×
copy
已复制链接
快去分享给好友吧!
我知道了
右上角分享
点击右上角分享
0
联系我们:info@booksci.cn Book学术提供免费学术资源搜索服务,方便国内外学者检索中英文文献。致力于提供最便捷和优质的服务体验。 Copyright © 2023 布克学术 All rights reserved.
京ICP备2023020795号-1
ghs 京公网安备 11010802042870号
Book学术文献互助
Book学术文献互助群
群 号:604180095
Book学术官方微信