免疫复合物介导的系膜增生性肾小球肾炎伴全屋型在免疫性血小板减少性紫癜治疗期间的观察。

IF 0.6 Q3 MEDICINE, GENERAL & INTERNAL
Clinical Medicine Insights. Case Reports Pub Date : 2024-12-24 eCollection Date: 2024-01-01 DOI:10.1177/11795476241307123
Ai Ueki, Tsugumi Fukunaga, Hiroyasu Goto, Hitoshi Minakuchi, Naoki Oshima
{"title":"免疫复合物介导的系膜增生性肾小球肾炎伴全屋型在免疫性血小板减少性紫癜治疗期间的观察。","authors":"Ai Ueki, Tsugumi Fukunaga, Hiroyasu Goto, Hitoshi Minakuchi, Naoki Oshima","doi":"10.1177/11795476241307123","DOIUrl":null,"url":null,"abstract":"<p><p>This study reports a rare case of immune-complex mediated mesangial proliferative glomerulonephritis (ICGN) with a full-house pattern in a 56-year-old Japanese man, observed during the treatment of immune thrombocytopenic purpura (ITP). Because of persistent complement deficiency and worsening of kidney function, he was treated with prednisolone, and his urinary findings improved markedly. However, as the complement titers were still low, mycophenolate mofetil was also prescribed, which normalized complement levels. Production of anti-platelet antibodies is considered to be involved in the etiology of ITP. Although little is known about the mechanism by which ITP causes glomerulonephritis, including ICGN, glomerular deposition of circulating immune complexes synthesized by antiplatelet antibodies may be involved. This case shows full-house nephropathy, suggesting the involvement of immune complexes, which in turn, suggested an association between ITP and glomerulonephritis.</p>","PeriodicalId":10357,"journal":{"name":"Clinical Medicine Insights. Case Reports","volume":"17 ","pages":"11795476241307123"},"PeriodicalIF":0.6000,"publicationDate":"2024-12-24","publicationTypes":"Journal Article","fieldsOfStudy":null,"isOpenAccess":false,"openAccessPdf":"https://www.ncbi.nlm.nih.gov/pmc/articles/PMC11672467/pdf/","citationCount":"0","resultStr":"{\"title\":\"Immune-Complex Mediated Mesangial Proliferative Glomerulonephritis with Full-House Pattern Observed During Treatment of Immune Thrombocytopenic Purpura.\",\"authors\":\"Ai Ueki, Tsugumi Fukunaga, Hiroyasu Goto, Hitoshi Minakuchi, Naoki Oshima\",\"doi\":\"10.1177/11795476241307123\",\"DOIUrl\":null,\"url\":null,\"abstract\":\"<p><p>This study reports a rare case of immune-complex mediated mesangial proliferative glomerulonephritis (ICGN) with a full-house pattern in a 56-year-old Japanese man, observed during the treatment of immune thrombocytopenic purpura (ITP). Because of persistent complement deficiency and worsening of kidney function, he was treated with prednisolone, and his urinary findings improved markedly. However, as the complement titers were still low, mycophenolate mofetil was also prescribed, which normalized complement levels. Production of anti-platelet antibodies is considered to be involved in the etiology of ITP. Although little is known about the mechanism by which ITP causes glomerulonephritis, including ICGN, glomerular deposition of circulating immune complexes synthesized by antiplatelet antibodies may be involved. This case shows full-house nephropathy, suggesting the involvement of immune complexes, which in turn, suggested an association between ITP and glomerulonephritis.</p>\",\"PeriodicalId\":10357,\"journal\":{\"name\":\"Clinical Medicine Insights. Case Reports\",\"volume\":\"17 \",\"pages\":\"11795476241307123\"},\"PeriodicalIF\":0.6000,\"publicationDate\":\"2024-12-24\",\"publicationTypes\":\"Journal Article\",\"fieldsOfStudy\":null,\"isOpenAccess\":false,\"openAccessPdf\":\"https://www.ncbi.nlm.nih.gov/pmc/articles/PMC11672467/pdf/\",\"citationCount\":\"0\",\"resultStr\":null,\"platform\":\"Semanticscholar\",\"paperid\":null,\"PeriodicalName\":\"Clinical Medicine Insights. Case Reports\",\"FirstCategoryId\":\"1085\",\"ListUrlMain\":\"https://doi.org/10.1177/11795476241307123\",\"RegionNum\":0,\"RegionCategory\":null,\"ArticlePicture\":[],\"TitleCN\":null,\"AbstractTextCN\":null,\"PMCID\":null,\"EPubDate\":\"2024/1/1 0:00:00\",\"PubModel\":\"eCollection\",\"JCR\":\"Q3\",\"JCRName\":\"MEDICINE, GENERAL & INTERNAL\",\"Score\":null,\"Total\":0}","platform":"Semanticscholar","paperid":null,"PeriodicalName":"Clinical Medicine Insights. Case Reports","FirstCategoryId":"1085","ListUrlMain":"https://doi.org/10.1177/11795476241307123","RegionNum":0,"RegionCategory":null,"ArticlePicture":[],"TitleCN":null,"AbstractTextCN":null,"PMCID":null,"EPubDate":"2024/1/1 0:00:00","PubModel":"eCollection","JCR":"Q3","JCRName":"MEDICINE, GENERAL & INTERNAL","Score":null,"Total":0}
引用次数: 0

摘要

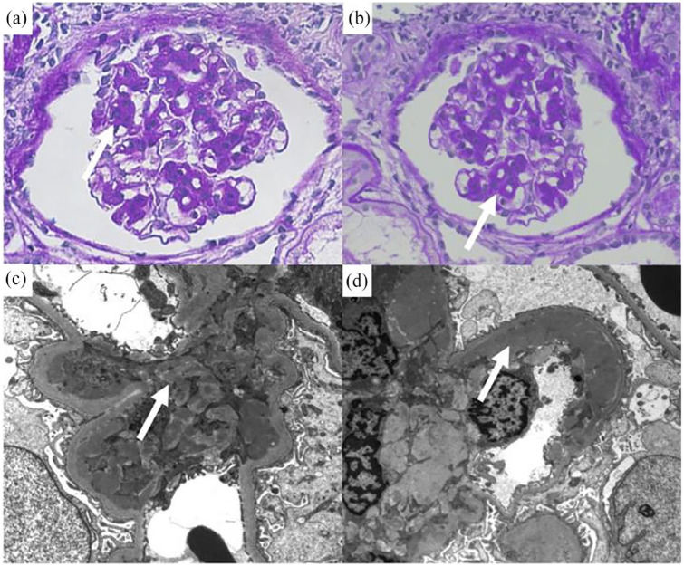
本研究报告了一例56岁日本男性在治疗免疫性血小板减少性紫癜(ITP)期间观察到的免疫复合物介导的系膜增生性肾小球肾炎(ICGN)的罕见病例。由于持续的补体缺乏和肾功能的恶化,他接受了强的松龙治疗,他的泌尿系统检查结果明显改善。然而,由于补体滴度仍然很低,也开了霉酚酸酯,使补体水平正常化。抗血小板抗体的产生被认为与ITP的病因有关。尽管对ITP引起肾小球肾炎(包括ICGN)的机制知之甚少,但抗血小板抗体合成的循环免疫复合物的肾小球沉积可能参与其中。该病例表现为全屋肾病,提示免疫复合物的参与,这反过来提示ITP与肾小球肾炎之间的关联。
本文章由计算机程序翻译,如有差异,请以英文原文为准。

Immune-Complex Mediated Mesangial Proliferative Glomerulonephritis with Full-House Pattern Observed During Treatment of Immune Thrombocytopenic Purpura.

Immune-Complex Mediated Mesangial Proliferative Glomerulonephritis with Full-House Pattern Observed During Treatment of Immune Thrombocytopenic Purpura.

Immune-Complex Mediated Mesangial Proliferative Glomerulonephritis with Full-House Pattern Observed During Treatment of Immune Thrombocytopenic Purpura.

Immune-Complex Mediated Mesangial Proliferative Glomerulonephritis with Full-House Pattern Observed During Treatment of Immune Thrombocytopenic Purpura.

This study reports a rare case of immune-complex mediated mesangial proliferative glomerulonephritis (ICGN) with a full-house pattern in a 56-year-old Japanese man, observed during the treatment of immune thrombocytopenic purpura (ITP). Because of persistent complement deficiency and worsening of kidney function, he was treated with prednisolone, and his urinary findings improved markedly. However, as the complement titers were still low, mycophenolate mofetil was also prescribed, which normalized complement levels. Production of anti-platelet antibodies is considered to be involved in the etiology of ITP. Although little is known about the mechanism by which ITP causes glomerulonephritis, including ICGN, glomerular deposition of circulating immune complexes synthesized by antiplatelet antibodies may be involved. This case shows full-house nephropathy, suggesting the involvement of immune complexes, which in turn, suggested an association between ITP and glomerulonephritis.

求助全文
通过发布文献求助,成功后即可免费获取论文全文。 去求助
来源期刊
Clinical Medicine Insights. Case Reports
Clinical Medicine Insights. Case Reports MEDICINE, GENERAL & INTERNAL-
CiteScore
1.10
自引率
0.00%
发文量
57
审稿时长
8 weeks
×
引用
GB/T 7714-2015
复制
MLA
复制
APA
复制
导出至
BibTeX EndNote RefMan NoteFirst NoteExpress
×
提示
您的信息不完整,为了账户安全,请先补充。
现在去补充
×
提示
您因"违规操作"
具体请查看互助需知
我知道了
×
提示
确定
请完成安全验证×
copy
已复制链接
快去分享给好友吧!
我知道了
右上角分享
点击右上角分享
0
联系我们:info@booksci.cn Book学术提供免费学术资源搜索服务,方便国内外学者检索中英文文献。致力于提供最便捷和优质的服务体验。 Copyright © 2023 布克学术 All rights reserved.
京ICP备2023020795号-1
ghs 京公网安备 11010802042870号
Book学术文献互助
Book学术文献互助群
群 号:604180095
Book学术官方微信