急性胰腺炎合并糖尿病酮症酸中毒。

IF 1.2 Q3 Medicine
Duha Zaffar MD , Aditi Rawat MD , Robert T. Chow MD , Kashif M. Munir MD
{"title":"急性胰腺炎合并糖尿病酮症酸中毒。","authors":"Duha Zaffar MD ,&nbsp;Aditi Rawat MD ,&nbsp;Robert T. Chow MD ,&nbsp;Kashif M. Munir MD","doi":"10.1016/j.aace.2024.07.007","DOIUrl":null,"url":null,"abstract":"<div><h3>Background/Objective</h3><div>Diabetic ketoacidosis (DKA) is typically but not exclusively seen in patients with a history of diabetes mellitus.</div></div><div><h3>Case Report</h3><div>This is a case of 39 year-old male who was diagnosed with acute pancreatitis based on characteristic symptoms and positive CT findings on presentation. Laboratory testing revealed elevated serum glucose 251 mg/dL, low serum bicarbonate 8 mmol/L, increased anion gap 21, and elevated serum beta-hydroxybutyrate 9.62 mmol/L. Diagnosis of DKA was made, however patient did not carry a diagnosis of diabetes mellitus. His hemoglobin A1c in hospital was normal at 5.4%. Additionally, follow-up hemoglobin A1c at 4 months and 10 months postdischarge did not imply diabetes mellitus, 5.8% at both time points. The patient who was initially managed with intravenous insulin required no insulin or oral diabetic medication on discharge. All these findings argued against new onset diabetes mellitus.</div></div><div><h3>Discussion</h3><div>This case explores the potential pathophysiology that underlies this phenomenon including possible transient insulin insufficiency due to beta cell dysfunction from pancreatic inflammation. It also highlights the reversibility and transiency of possible beta cell dysfunction during acute pancreatitis and emphasizes the importance of closely assessing the patients' insulin requirements upon discharge, especially when a prior history of diabetes mellitus is absent.</div></div><div><h3>Conclusion</h3><div>DKA can occur as a rare complication of acute pancreatitis in a nondiabetic patient. Hyperglycemia associated with acute pancreatitis-induced DKA can be temporary and these patients might not necessarily require insulin upon discharge. Therefore, careful discharge planning is very important in such patients.</div></div>","PeriodicalId":7051,"journal":{"name":"AACE Clinical Case Reports","volume":"10 6","pages":"Pages 220-223"},"PeriodicalIF":1.2000,"publicationDate":"2024-11-01","publicationTypes":"Journal Article","fieldsOfStudy":null,"isOpenAccess":false,"openAccessPdf":"https://www.ncbi.nlm.nih.gov/pmc/articles/PMC11680747/pdf/","citationCount":"0","resultStr":"{\"title\":\"Diabetic Ketoacidosis Without Diabetes Mellitus in Acute Pancreatitis\",\"authors\":\"Duha Zaffar MD ,&nbsp;Aditi Rawat MD ,&nbsp;Robert T. Chow MD ,&nbsp;Kashif M. Munir MD\",\"doi\":\"10.1016/j.aace.2024.07.007\",\"DOIUrl\":null,\"url\":null,\"abstract\":\"<div><h3>Background/Objective</h3><div>Diabetic ketoacidosis (DKA) is typically but not exclusively seen in patients with a history of diabetes mellitus.</div></div><div><h3>Case Report</h3><div>This is a case of 39 year-old male who was diagnosed with acute pancreatitis based on characteristic symptoms and positive CT findings on presentation. Laboratory testing revealed elevated serum glucose 251 mg/dL, low serum bicarbonate 8 mmol/L, increased anion gap 21, and elevated serum beta-hydroxybutyrate 9.62 mmol/L. Diagnosis of DKA was made, however patient did not carry a diagnosis of diabetes mellitus. His hemoglobin A1c in hospital was normal at 5.4%. Additionally, follow-up hemoglobin A1c at 4 months and 10 months postdischarge did not imply diabetes mellitus, 5.8% at both time points. The patient who was initially managed with intravenous insulin required no insulin or oral diabetic medication on discharge. All these findings argued against new onset diabetes mellitus.</div></div><div><h3>Discussion</h3><div>This case explores the potential pathophysiology that underlies this phenomenon including possible transient insulin insufficiency due to beta cell dysfunction from pancreatic inflammation. It also highlights the reversibility and transiency of possible beta cell dysfunction during acute pancreatitis and emphasizes the importance of closely assessing the patients' insulin requirements upon discharge, especially when a prior history of diabetes mellitus is absent.</div></div><div><h3>Conclusion</h3><div>DKA can occur as a rare complication of acute pancreatitis in a nondiabetic patient. Hyperglycemia associated with acute pancreatitis-induced DKA can be temporary and these patients might not necessarily require insulin upon discharge. Therefore, careful discharge planning is very important in such patients.</div></div>\",\"PeriodicalId\":7051,\"journal\":{\"name\":\"AACE Clinical Case Reports\",\"volume\":\"10 6\",\"pages\":\"Pages 220-223\"},\"PeriodicalIF\":1.2000,\"publicationDate\":\"2024-11-01\",\"publicationTypes\":\"Journal Article\",\"fieldsOfStudy\":null,\"isOpenAccess\":false,\"openAccessPdf\":\"https://www.ncbi.nlm.nih.gov/pmc/articles/PMC11680747/pdf/\",\"citationCount\":\"0\",\"resultStr\":null,\"platform\":\"Semanticscholar\",\"paperid\":null,\"PeriodicalName\":\"AACE Clinical Case Reports\",\"FirstCategoryId\":\"1085\",\"ListUrlMain\":\"https://www.sciencedirect.com/science/article/pii/S2376060524000762\",\"RegionNum\":0,\"RegionCategory\":null,\"ArticlePicture\":[],\"TitleCN\":null,\"AbstractTextCN\":null,\"PMCID\":null,\"EPubDate\":\"\",\"PubModel\":\"\",\"JCR\":\"Q3\",\"JCRName\":\"Medicine\",\"Score\":null,\"Total\":0}","platform":"Semanticscholar","paperid":null,"PeriodicalName":"AACE Clinical Case Reports","FirstCategoryId":"1085","ListUrlMain":"https://www.sciencedirect.com/science/article/pii/S2376060524000762","RegionNum":0,"RegionCategory":null,"ArticlePicture":[],"TitleCN":null,"AbstractTextCN":null,"PMCID":null,"EPubDate":"","PubModel":"","JCR":"Q3","JCRName":"Medicine","Score":null,"Total":0}
引用次数: 0

摘要

背景/目的:糖尿病酮症酸中毒(DKA)通常发生在有糖尿病史的患者身上,但并非唯一:这是一个 39 岁男性的病例,根据其特征性症状和就诊时的 CT 阳性结果,他被诊断为急性胰腺炎。实验室检查显示血清葡萄糖升高 251 mg/dL,血清碳酸氢盐偏低 8 mmol/L,阴离子间隙增加 21,血清 beta-hydroxybutyrate 升高 9.62 mmol/L。诊断结果为 DKA,但患者没有糖尿病诊断。住院期间,他的血红蛋白 A1c 正常,为 5.4%。此外,出院后 4 个月和 10 个月的随访血红蛋白 A1c 均为 5.8%,并不意味着患者患有糖尿病。最初使用静脉注射胰岛素的患者在出院时不需要胰岛素或口服糖尿病药物。所有这些结果都表明,该患者没有新发糖尿病:本病例探讨了这一现象的潜在病理生理学基础,包括胰腺炎症引起的β细胞功能障碍可能导致的一过性胰岛素分泌不足。该病例还强调了急性胰腺炎期间可能出现的β细胞功能障碍的可逆性和短暂性,并强调出院时密切评估患者胰岛素需求的重要性,尤其是在既往无糖尿病史的情况下:结论:DKA 是非糖尿病患者急性胰腺炎的罕见并发症。急性胰腺炎诱发的 DKA 相关高血糖可能是暂时的,这些患者出院时不一定需要胰岛素。因此,为这类患者制定谨慎的出院计划非常重要。
本文章由计算机程序翻译,如有差异,请以英文原文为准。

Diabetic Ketoacidosis Without Diabetes Mellitus in Acute Pancreatitis

Diabetic Ketoacidosis Without Diabetes Mellitus in Acute Pancreatitis

Background/Objective

Diabetic ketoacidosis (DKA) is typically but not exclusively seen in patients with a history of diabetes mellitus.

Case Report

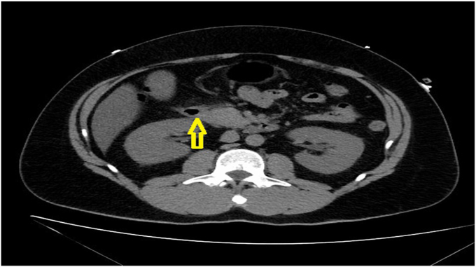
This is a case of 39 year-old male who was diagnosed with acute pancreatitis based on characteristic symptoms and positive CT findings on presentation. Laboratory testing revealed elevated serum glucose 251 mg/dL, low serum bicarbonate 8 mmol/L, increased anion gap 21, and elevated serum beta-hydroxybutyrate 9.62 mmol/L. Diagnosis of DKA was made, however patient did not carry a diagnosis of diabetes mellitus. His hemoglobin A1c in hospital was normal at 5.4%. Additionally, follow-up hemoglobin A1c at 4 months and 10 months postdischarge did not imply diabetes mellitus, 5.8% at both time points. The patient who was initially managed with intravenous insulin required no insulin or oral diabetic medication on discharge. All these findings argued against new onset diabetes mellitus.

Discussion

This case explores the potential pathophysiology that underlies this phenomenon including possible transient insulin insufficiency due to beta cell dysfunction from pancreatic inflammation. It also highlights the reversibility and transiency of possible beta cell dysfunction during acute pancreatitis and emphasizes the importance of closely assessing the patients' insulin requirements upon discharge, especially when a prior history of diabetes mellitus is absent.

Conclusion

DKA can occur as a rare complication of acute pancreatitis in a nondiabetic patient. Hyperglycemia associated with acute pancreatitis-induced DKA can be temporary and these patients might not necessarily require insulin upon discharge. Therefore, careful discharge planning is very important in such patients.
求助全文
通过发布文献求助,成功后即可免费获取论文全文。 去求助
来源期刊
AACE Clinical Case Reports
AACE Clinical Case Reports Medicine-Endocrinology, Diabetes and Metabolism
CiteScore
2.30
自引率
0.00%
发文量
61
审稿时长
55 days
×
引用
GB/T 7714-2015
复制
MLA
复制
APA
复制
导出至
BibTeX EndNote RefMan NoteFirst NoteExpress
×
提示
您的信息不完整,为了账户安全,请先补充。
现在去补充
×
提示
您因"违规操作"
具体请查看互助需知
我知道了
×
提示
确定
请完成安全验证×
copy
已复制链接
快去分享给好友吧!
我知道了
右上角分享
点击右上角分享
0
联系我们:info@booksci.cn Book学术提供免费学术资源搜索服务,方便国内外学者检索中英文文献。致力于提供最便捷和优质的服务体验。 Copyright © 2023 布克学术 All rights reserved.
京ICP备2023020795号-1
ghs 京公网安备 11010802042870号
Book学术文献互助
Book学术文献互助群
群 号:604180095
Book学术官方微信