疟疾患者急性肾衰竭与血小板减少性血小板性紫癜混淆1例。

IF 0.9 4区 医学 Q4 PARASITOLOGY
Pinar Gurkaynak, Nejla Yılmaz Gocen, Ahmet Mert Yanık
{"title":"疟疾患者急性肾衰竭与血小板减少性血小板性紫癜混淆1例。","authors":"Pinar Gurkaynak, Nejla Yılmaz Gocen, Ahmet Mert Yanık","doi":"10.18502/ijpa.v19i4.17171","DOIUrl":null,"url":null,"abstract":"<p><p>Malaria has become widespread, especially in sub-Saharan Africa, owing to disruptions experienced during the Covid-19 pandemic. Both cerebral malaria and acute kidney injury are important indicators of severe malaria. Depending on the degree of acute renal failure, hemodialysis/hemofiltration treatment is required. Our patient was a 22-year-old male from the Republic of Chad. The patient with confusion came to our country 15 days prior and was admitted to the internal medicine intensive care unit. Initially, Thrombocytopenic Thrombocytic Purpura (TTP) was considered because of clinical and laboratory similarities. As the patient had a history of coming from an endemic area, anemia, thrombocytopenia, and splenomegaly, malaria was considered. The patient was diagnosed with <i>falciparum</i> malaria due to the presence of multiple ring-shaped trophozoites and banana gametocytes. The patient with cerebral malaria, hyperparasitemia (parasite load 15%), hyperbilirubinemia and acute kidney injury was considered to have severe malaria. Intravenous artesunate was planned, but since it could not be obtained immediately, oral artemether+lumefantrine was started, and the patient became conscious at the 24th hour of treatment. During the follow-up, the patient's creatinine levels increased to 6.9, and the patient was subjected to hemodialysis several times. After effective hemodialysis and antimalarial treatment, the patient was discharged without sequelae on the 20th day of hospitalization. This case report is thought to be important in that it emphasizes that the diagnosis of malaria may be delayed due to its confusion with microangiopathic hemolytic anemias, and that it emphasizes the importance of correct management of complications.</p>","PeriodicalId":14669,"journal":{"name":"Iranian Journal of Parasitology","volume":"19 4","pages":"489-495"},"PeriodicalIF":0.9000,"publicationDate":"2024-10-01","publicationTypes":"Journal Article","fieldsOfStudy":null,"isOpenAccess":false,"openAccessPdf":"https://www.ncbi.nlm.nih.gov/pmc/articles/PMC11671832/pdf/","citationCount":"0","resultStr":"{\"title\":\"Acute Kidney Failure Confused with Thrombocytopenic Thrombocytic Purpura in Malaria: A Case Report.\",\"authors\":\"Pinar Gurkaynak, Nejla Yılmaz Gocen, Ahmet Mert Yanık\",\"doi\":\"10.18502/ijpa.v19i4.17171\",\"DOIUrl\":null,\"url\":null,\"abstract\":\"<p><p>Malaria has become widespread, especially in sub-Saharan Africa, owing to disruptions experienced during the Covid-19 pandemic. Both cerebral malaria and acute kidney injury are important indicators of severe malaria. Depending on the degree of acute renal failure, hemodialysis/hemofiltration treatment is required. Our patient was a 22-year-old male from the Republic of Chad. The patient with confusion came to our country 15 days prior and was admitted to the internal medicine intensive care unit. Initially, Thrombocytopenic Thrombocytic Purpura (TTP) was considered because of clinical and laboratory similarities. As the patient had a history of coming from an endemic area, anemia, thrombocytopenia, and splenomegaly, malaria was considered. The patient was diagnosed with <i>falciparum</i> malaria due to the presence of multiple ring-shaped trophozoites and banana gametocytes. The patient with cerebral malaria, hyperparasitemia (parasite load 15%), hyperbilirubinemia and acute kidney injury was considered to have severe malaria. Intravenous artesunate was planned, but since it could not be obtained immediately, oral artemether+lumefantrine was started, and the patient became conscious at the 24th hour of treatment. During the follow-up, the patient's creatinine levels increased to 6.9, and the patient was subjected to hemodialysis several times. After effective hemodialysis and antimalarial treatment, the patient was discharged without sequelae on the 20th day of hospitalization. This case report is thought to be important in that it emphasizes that the diagnosis of malaria may be delayed due to its confusion with microangiopathic hemolytic anemias, and that it emphasizes the importance of correct management of complications.</p>\",\"PeriodicalId\":14669,\"journal\":{\"name\":\"Iranian Journal of Parasitology\",\"volume\":\"19 4\",\"pages\":\"489-495\"},\"PeriodicalIF\":0.9000,\"publicationDate\":\"2024-10-01\",\"publicationTypes\":\"Journal Article\",\"fieldsOfStudy\":null,\"isOpenAccess\":false,\"openAccessPdf\":\"https://www.ncbi.nlm.nih.gov/pmc/articles/PMC11671832/pdf/\",\"citationCount\":\"0\",\"resultStr\":null,\"platform\":\"Semanticscholar\",\"paperid\":null,\"PeriodicalName\":\"Iranian Journal of Parasitology\",\"FirstCategoryId\":\"3\",\"ListUrlMain\":\"https://doi.org/10.18502/ijpa.v19i4.17171\",\"RegionNum\":4,\"RegionCategory\":\"医学\",\"ArticlePicture\":[],\"TitleCN\":null,\"AbstractTextCN\":null,\"PMCID\":null,\"EPubDate\":\"\",\"PubModel\":\"\",\"JCR\":\"Q4\",\"JCRName\":\"PARASITOLOGY\",\"Score\":null,\"Total\":0}","platform":"Semanticscholar","paperid":null,"PeriodicalName":"Iranian Journal of Parasitology","FirstCategoryId":"3","ListUrlMain":"https://doi.org/10.18502/ijpa.v19i4.17171","RegionNum":4,"RegionCategory":"医学","ArticlePicture":[],"TitleCN":null,"AbstractTextCN":null,"PMCID":null,"EPubDate":"","PubModel":"","JCR":"Q4","JCRName":"PARASITOLOGY","Score":null,"Total":0}
引用次数: 0

摘要

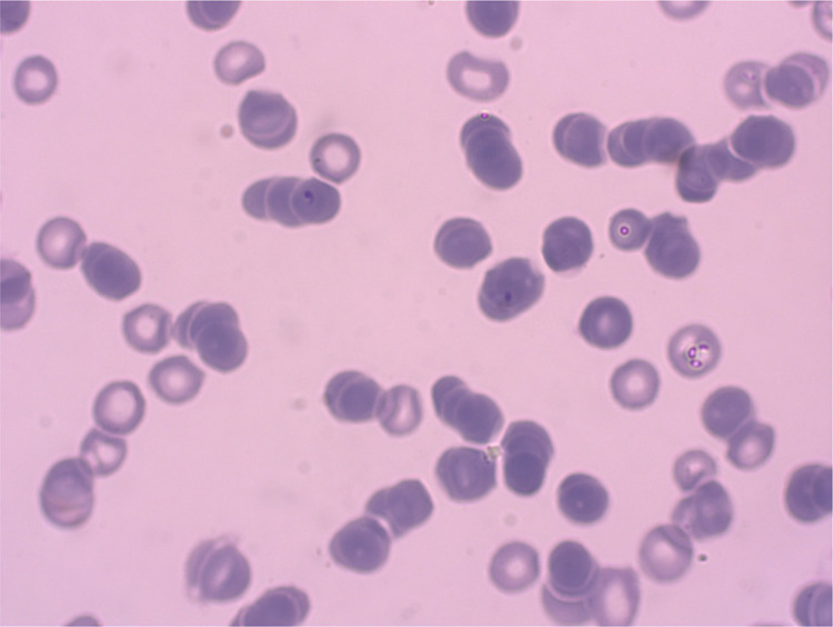
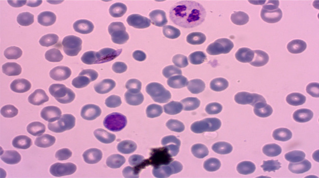
由于2019冠状病毒病大流行期间的破坏,疟疾已变得普遍,特别是在撒哈拉以南非洲。脑型疟疾和急性肾损伤都是重症疟疾的重要指标。根据急性肾功能衰竭的程度,需要进行血液透析/血液滤过治疗。我们的病人是一名来自乍得共和国的22岁男性。患者于15天前来我国,住内科重症监护室。最初,血小板减少性血小板性紫癜(TTP)被认为是由于临床和实验室的相似性。由于患者有来自疫区、贫血、血小板减少和脾肿大病史,考虑为疟疾。由于存在多个环形滋养体和香蕉配子体,患者被诊断为恶性疟疾。伴有脑型疟疾、高寄生虫血症(寄生虫负荷15%)、高胆红素血症和急性肾损伤的患者被认为是重症疟疾。原计划静脉注射青蒿琥酯,但无法立即获得,于是开始口服蒿甲醚+氨苯曲明,治疗24小时患者恢复意识。随访期间,患者肌酐水平升高至6.9,患者多次接受血液透析。经有效的血液透析和抗疟治疗,患者于住院第20天无后遗症出院。本病例报告被认为是重要的,因为它强调疟疾的诊断可能因与微血管病溶血性贫血相混淆而延误,并强调正确处理并发症的重要性。
本文章由计算机程序翻译,如有差异,请以英文原文为准。

Acute Kidney Failure Confused with Thrombocytopenic Thrombocytic Purpura in Malaria: A Case Report.

Acute Kidney Failure Confused with Thrombocytopenic Thrombocytic Purpura in Malaria: A Case Report.

Acute Kidney Failure Confused with Thrombocytopenic Thrombocytic Purpura in Malaria: A Case Report.

Acute Kidney Failure Confused with Thrombocytopenic Thrombocytic Purpura in Malaria: A Case Report.

Malaria has become widespread, especially in sub-Saharan Africa, owing to disruptions experienced during the Covid-19 pandemic. Both cerebral malaria and acute kidney injury are important indicators of severe malaria. Depending on the degree of acute renal failure, hemodialysis/hemofiltration treatment is required. Our patient was a 22-year-old male from the Republic of Chad. The patient with confusion came to our country 15 days prior and was admitted to the internal medicine intensive care unit. Initially, Thrombocytopenic Thrombocytic Purpura (TTP) was considered because of clinical and laboratory similarities. As the patient had a history of coming from an endemic area, anemia, thrombocytopenia, and splenomegaly, malaria was considered. The patient was diagnosed with falciparum malaria due to the presence of multiple ring-shaped trophozoites and banana gametocytes. The patient with cerebral malaria, hyperparasitemia (parasite load 15%), hyperbilirubinemia and acute kidney injury was considered to have severe malaria. Intravenous artesunate was planned, but since it could not be obtained immediately, oral artemether+lumefantrine was started, and the patient became conscious at the 24th hour of treatment. During the follow-up, the patient's creatinine levels increased to 6.9, and the patient was subjected to hemodialysis several times. After effective hemodialysis and antimalarial treatment, the patient was discharged without sequelae on the 20th day of hospitalization. This case report is thought to be important in that it emphasizes that the diagnosis of malaria may be delayed due to its confusion with microangiopathic hemolytic anemias, and that it emphasizes the importance of correct management of complications.

求助全文
通过发布文献求助,成功后即可免费获取论文全文。 去求助
来源期刊
CiteScore
1.80
自引率
0.00%
发文量
55
审稿时长
6-12 weeks
期刊介绍: Iranian Journal of Parasitology (IJP) is the official publication of Iranian Society of Parasitology (ISP) launched in 2006. The society was inaugurated in 1994 and pursues the improvement of the knowledge on the parasites and parasitic diseases, exchange of scientific knowledge with foreign societies, publicity activities, and consultation on the parasitic diseases, and intimate relationship among society members. The main aims of the Journal are: contribution to the field of Parasitology, including all aspects of parasites and parasitic diseases (medical and veterinary) and related fields such as Entomology which may be submitted by scientists from Iran and all over the world.
×
引用
GB/T 7714-2015
复制
MLA
复制
APA
复制
导出至
BibTeX EndNote RefMan NoteFirst NoteExpress
×
提示
您的信息不完整,为了账户安全,请先补充。
现在去补充
×
提示
您因"违规操作"
具体请查看互助需知
我知道了
×
提示
确定
请完成安全验证×
copy
已复制链接
快去分享给好友吧!
我知道了
右上角分享
点击右上角分享
0
联系我们:info@booksci.cn Book学术提供免费学术资源搜索服务,方便国内外学者检索中英文文献。致力于提供最便捷和优质的服务体验。 Copyright © 2023 布克学术 All rights reserved.
京ICP备2023020795号-1
ghs 京公网安备 11010802042870号
Book学术文献互助
Book学术文献互助群
群 号:604180095
Book学术官方微信