继发于垂体脓肿的全垂体功能减退症。

IF 1.2 Q3 Medicine
Samir S.E. Ahmed MBBS, Mona Vahidi Rad MD, Sydney Westphal MD
{"title":"继发于垂体脓肿的全垂体功能减退症。","authors":"Samir S.E. Ahmed MBBS, Mona Vahidi Rad MD, Sydney Westphal MD","doi":"10.1016/j.aace.2024.08.004","DOIUrl":null,"url":null,"abstract":"","PeriodicalId":7051,"journal":{"name":"AACE Clinical Case Reports","volume":"10 6","pages":"Pages 264-265"},"PeriodicalIF":1.2000,"publicationDate":"2024-11-01","publicationTypes":"Journal Article","fieldsOfStudy":null,"isOpenAccess":false,"openAccessPdf":"https://www.ncbi.nlm.nih.gov/pmc/articles/PMC11680748/pdf/","citationCount":"0","resultStr":"{\"title\":\"Panhypopituitarism Secondary to Pituitary Abscess\",\"authors\":\"Samir S.E. Ahmed MBBS, Mona Vahidi Rad MD, Sydney Westphal MD\",\"doi\":\"10.1016/j.aace.2024.08.004\",\"DOIUrl\":null,\"url\":null,\"abstract\":\"\",\"PeriodicalId\":7051,\"journal\":{\"name\":\"AACE Clinical Case Reports\",\"volume\":\"10 6\",\"pages\":\"Pages 264-265\"},\"PeriodicalIF\":1.2000,\"publicationDate\":\"2024-11-01\",\"publicationTypes\":\"Journal Article\",\"fieldsOfStudy\":null,\"isOpenAccess\":false,\"openAccessPdf\":\"https://www.ncbi.nlm.nih.gov/pmc/articles/PMC11680748/pdf/\",\"citationCount\":\"0\",\"resultStr\":null,\"platform\":\"Semanticscholar\",\"paperid\":null,\"PeriodicalName\":\"AACE Clinical Case Reports\",\"FirstCategoryId\":\"1085\",\"ListUrlMain\":\"https://www.sciencedirect.com/science/article/pii/S2376060524000816\",\"RegionNum\":0,\"RegionCategory\":null,\"ArticlePicture\":[],\"TitleCN\":null,\"AbstractTextCN\":null,\"PMCID\":null,\"EPubDate\":\"\",\"PubModel\":\"\",\"JCR\":\"Q3\",\"JCRName\":\"Medicine\",\"Score\":null,\"Total\":0}","platform":"Semanticscholar","paperid":null,"PeriodicalName":"AACE Clinical Case Reports","FirstCategoryId":"1085","ListUrlMain":"https://www.sciencedirect.com/science/article/pii/S2376060524000816","RegionNum":0,"RegionCategory":null,"ArticlePicture":[],"TitleCN":null,"AbstractTextCN":null,"PMCID":null,"EPubDate":"","PubModel":"","JCR":"Q3","JCRName":"Medicine","Score":null,"Total":0}
引用次数: 0

摘要

本文章由计算机程序翻译,如有差异,请以英文原文为准。

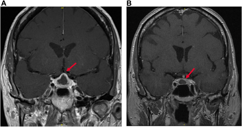
Panhypopituitarism Secondary to Pituitary Abscess

Panhypopituitarism Secondary to Pituitary Abscess
求助全文
通过发布文献求助,成功后即可免费获取论文全文。 去求助
来源期刊
AACE Clinical Case Reports
AACE Clinical Case Reports Medicine-Endocrinology, Diabetes and Metabolism
CiteScore
2.30
自引率
0.00%
发文量
61
审稿时长
55 days
×
引用
GB/T 7714-2015
复制
MLA
复制
APA
复制
导出至
BibTeX EndNote RefMan NoteFirst NoteExpress
×
提示
您的信息不完整,为了账户安全,请先补充。
现在去补充
×
提示
您因"违规操作"
具体请查看互助需知
我知道了
×
提示
确定
请完成安全验证×
copy
已复制链接
快去分享给好友吧!
我知道了
右上角分享
点击右上角分享
0
联系我们:info@booksci.cn Book学术提供免费学术资源搜索服务,方便国内外学者检索中英文文献。致力于提供最便捷和优质的服务体验。 Copyright © 2023 布克学术 All rights reserved.
京ICP备2023020795号-1
ghs 京公网安备 11010802042870号
Book学术文献互助
Book学术文献互助群
群 号:604180095
Book学术官方微信