6型aicardii - gouti综合征:新生儿期ruxolitinib治疗后ADAR变异及临床结果报告

IF 2.3 3区 医学 Q1 PEDIATRICS
Alba Gabaldon-Albero, Carla Martin-Grau, Miguel Marti-Masanet, Alejandro Lopez-Jimenez, Roberto Llorens, Beatriz Beseler-Soto, Sergio Martin-Zamora, Berta Lopez, Inmaculada Calvo, Sara Hernandez-Muela, Monica Rosello, Carmen Orellana, Francisco Martinez
{"title":"6型aicardii - gouti<e:1>综合征:新生儿期ruxolitinib治疗后ADAR变异及临床结果报告","authors":"Alba Gabaldon-Albero, Carla Martin-Grau, Miguel Marti-Masanet, Alejandro Lopez-Jimenez, Roberto Llorens, Beatriz Beseler-Soto, Sergio Martin-Zamora, Berta Lopez, Inmaculada Calvo, Sara Hernandez-Muela, Monica Rosello, Carmen Orellana, Francisco Martinez","doi":"10.1186/s12969-024-01036-5","DOIUrl":null,"url":null,"abstract":"<p><strong>Background: </strong>Aicardi-Goutières Syndrome is a monogenic type 1 interferonopathy with infantile onset, characterized by a variable degree of neurological damage. Approximately 7% of Aicardi-Goutières Syndrome cases are caused by pathogenic variants in the ADAR gene and are classified as Aicardi-Goutières Syndrome type 6. Here, we present a new homozygous pathogenic variant in the ADAR gene. Currently, Janus Kinase inhibitors have been proposed to treat selected interferonopathies such as Aicardi-Goutières Syndrome, although limited information is available on its use and results in the neonatal presentation of this disease.</p><p><strong>Case presentation: </strong>We present two siblings, a male neonate with congenital petechial rash, severe thrombopenia and generalized hypotonia and his deceased sister who had normal development until 5 months of age, when she suffered acute encephalopathy. We describe the clinical course, complementary examinations and follow-up with early treatment of the newborn with ruxolitinib. The homozygous variant c.2908G > A (p.Ala970Thr) in the ADAR gene was found in both siblings, parents were heterozygous carriers.</p><p><strong>Conclusions: </strong>The homozygous variant c.2908G > A (p.Ala970Thr) in the ADAR gene causes Aicardi-Goutières Syndrome type 6. Intrafamilial phenotypic spectrum of the disease varies among individuals with the same pathogenic variant. Early initiation of ruxolitinib improved systemic signs but did not prevent the progression of neurological disease.</p>","PeriodicalId":54630,"journal":{"name":"Pediatric Rheumatology","volume":"22 1","pages":"110"},"PeriodicalIF":2.3000,"publicationDate":"2024-12-28","publicationTypes":"Journal Article","fieldsOfStudy":null,"isOpenAccess":false,"openAccessPdf":"https://www.ncbi.nlm.nih.gov/pmc/articles/PMC11682636/pdf/","citationCount":"0","resultStr":"{\"title\":\"Aicardi-Goutières syndrome type 6: report of ADAR variant and clinical outcome after ruxolitinib treatment in the neonatal period.\",\"authors\":\"Alba Gabaldon-Albero, Carla Martin-Grau, Miguel Marti-Masanet, Alejandro Lopez-Jimenez, Roberto Llorens, Beatriz Beseler-Soto, Sergio Martin-Zamora, Berta Lopez, Inmaculada Calvo, Sara Hernandez-Muela, Monica Rosello, Carmen Orellana, Francisco Martinez\",\"doi\":\"10.1186/s12969-024-01036-5\",\"DOIUrl\":null,\"url\":null,\"abstract\":\"<p><strong>Background: </strong>Aicardi-Goutières Syndrome is a monogenic type 1 interferonopathy with infantile onset, characterized by a variable degree of neurological damage. Approximately 7% of Aicardi-Goutières Syndrome cases are caused by pathogenic variants in the ADAR gene and are classified as Aicardi-Goutières Syndrome type 6. Here, we present a new homozygous pathogenic variant in the ADAR gene. Currently, Janus Kinase inhibitors have been proposed to treat selected interferonopathies such as Aicardi-Goutières Syndrome, although limited information is available on its use and results in the neonatal presentation of this disease.</p><p><strong>Case presentation: </strong>We present two siblings, a male neonate with congenital petechial rash, severe thrombopenia and generalized hypotonia and his deceased sister who had normal development until 5 months of age, when she suffered acute encephalopathy. We describe the clinical course, complementary examinations and follow-up with early treatment of the newborn with ruxolitinib. The homozygous variant c.2908G > A (p.Ala970Thr) in the ADAR gene was found in both siblings, parents were heterozygous carriers.</p><p><strong>Conclusions: </strong>The homozygous variant c.2908G > A (p.Ala970Thr) in the ADAR gene causes Aicardi-Goutières Syndrome type 6. Intrafamilial phenotypic spectrum of the disease varies among individuals with the same pathogenic variant. Early initiation of ruxolitinib improved systemic signs but did not prevent the progression of neurological disease.</p>\",\"PeriodicalId\":54630,\"journal\":{\"name\":\"Pediatric Rheumatology\",\"volume\":\"22 1\",\"pages\":\"110\"},\"PeriodicalIF\":2.3000,\"publicationDate\":\"2024-12-28\",\"publicationTypes\":\"Journal Article\",\"fieldsOfStudy\":null,\"isOpenAccess\":false,\"openAccessPdf\":\"https://www.ncbi.nlm.nih.gov/pmc/articles/PMC11682636/pdf/\",\"citationCount\":\"0\",\"resultStr\":null,\"platform\":\"Semanticscholar\",\"paperid\":null,\"PeriodicalName\":\"Pediatric Rheumatology\",\"FirstCategoryId\":\"3\",\"ListUrlMain\":\"https://doi.org/10.1186/s12969-024-01036-5\",\"RegionNum\":3,\"RegionCategory\":\"医学\",\"ArticlePicture\":[],\"TitleCN\":null,\"AbstractTextCN\":null,\"PMCID\":null,\"EPubDate\":\"\",\"PubModel\":\"\",\"JCR\":\"Q1\",\"JCRName\":\"PEDIATRICS\",\"Score\":null,\"Total\":0}","platform":"Semanticscholar","paperid":null,"PeriodicalName":"Pediatric Rheumatology","FirstCategoryId":"3","ListUrlMain":"https://doi.org/10.1186/s12969-024-01036-5","RegionNum":3,"RegionCategory":"医学","ArticlePicture":[],"TitleCN":null,"AbstractTextCN":null,"PMCID":null,"EPubDate":"","PubModel":"","JCR":"Q1","JCRName":"PEDIATRICS","Score":null,"Total":0}
引用次数: 0

摘要

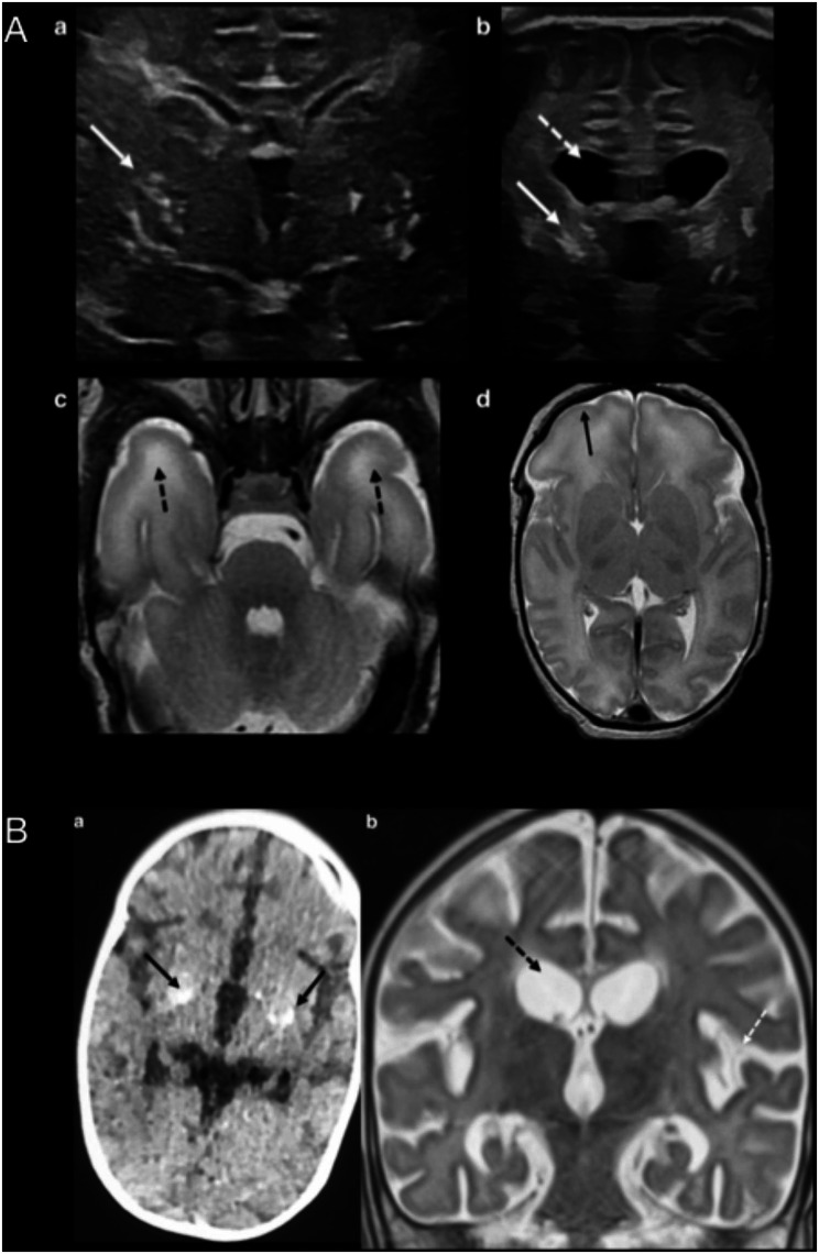
背景:aicardii - gouti综合征是一种单基因1型干扰素病,以婴儿发病为特征,以不同程度的神经损伤为特征。大约7%的aicardii - gouti综合征病例是由ADAR基因的致病性变异引起的,并被归类为aicardii - gouti综合征6型。在这里,我们提出了一个新的纯合致病变异的ADAR基因。目前,Janus激酶抑制剂已被建议用于治疗某些干扰素病变,如aicardii - gouti综合征,尽管关于其使用和新生儿出现该疾病的结果的信息有限。病例介绍:我们报告两名兄弟姐妹,一名患有先天性点疹,严重血小板减少和全身性低张力的男婴和他的已故妹妹,直到5个月大时才正常发育,当时她患有急性脑病。我们描述了临床过程,补充检查和随访与早期治疗新生儿鲁索利替尼。ADAR基因的纯合变异体c.2908G > A (p.Ala970Thr)存在于兄弟姐妹中,父母为杂合携带者。结论:ADAR基因纯合变异体c.2908G >a (p.Ala970Thr)引起6型aicardii - gouti综合征。该疾病的家族内表型谱在具有相同致病变异的个体之间存在差异。早期开始使用鲁索利替尼可改善全身症状,但不能预防神经系统疾病的进展。
本文章由计算机程序翻译,如有差异,请以英文原文为准。

Aicardi-Goutières syndrome type 6: report of ADAR variant and clinical outcome after ruxolitinib treatment in the neonatal period.

Aicardi-Goutières syndrome type 6: report of ADAR variant and clinical outcome after ruxolitinib treatment in the neonatal period.

Aicardi-Goutières syndrome type 6: report of ADAR variant and clinical outcome after ruxolitinib treatment in the neonatal period.

Background: Aicardi-Goutières Syndrome is a monogenic type 1 interferonopathy with infantile onset, characterized by a variable degree of neurological damage. Approximately 7% of Aicardi-Goutières Syndrome cases are caused by pathogenic variants in the ADAR gene and are classified as Aicardi-Goutières Syndrome type 6. Here, we present a new homozygous pathogenic variant in the ADAR gene. Currently, Janus Kinase inhibitors have been proposed to treat selected interferonopathies such as Aicardi-Goutières Syndrome, although limited information is available on its use and results in the neonatal presentation of this disease.

Case presentation: We present two siblings, a male neonate with congenital petechial rash, severe thrombopenia and generalized hypotonia and his deceased sister who had normal development until 5 months of age, when she suffered acute encephalopathy. We describe the clinical course, complementary examinations and follow-up with early treatment of the newborn with ruxolitinib. The homozygous variant c.2908G > A (p.Ala970Thr) in the ADAR gene was found in both siblings, parents were heterozygous carriers.

Conclusions: The homozygous variant c.2908G > A (p.Ala970Thr) in the ADAR gene causes Aicardi-Goutières Syndrome type 6. Intrafamilial phenotypic spectrum of the disease varies among individuals with the same pathogenic variant. Early initiation of ruxolitinib improved systemic signs but did not prevent the progression of neurological disease.

求助全文
通过发布文献求助,成功后即可免费获取论文全文。 去求助
来源期刊
Pediatric Rheumatology
Pediatric Rheumatology PEDIATRICS-RHEUMATOLOGY
CiteScore
4.10
自引率
8.00%
发文量
95
审稿时长
>12 weeks
期刊介绍: Pediatric Rheumatology is an open access, peer-reviewed, online journal encompassing all aspects of clinical and basic research related to pediatric rheumatology and allied subjects. The journal’s scope of diseases and syndromes include musculoskeletal pain syndromes, rheumatic fever and post-streptococcal syndromes, juvenile idiopathic arthritis, systemic lupus erythematosus, juvenile dermatomyositis, local and systemic scleroderma, Kawasaki disease, Henoch-Schonlein purpura and other vasculitides, sarcoidosis, inherited musculoskeletal syndromes, autoinflammatory syndromes, and others.
×
引用
GB/T 7714-2015
复制
MLA
复制
APA
复制
导出至
BibTeX EndNote RefMan NoteFirst NoteExpress
×
提示
您的信息不完整,为了账户安全,请先补充。
现在去补充
×
提示
您因"违规操作"
具体请查看互助需知
我知道了
×
提示
确定
请完成安全验证×
copy
已复制链接
快去分享给好友吧!
我知道了
右上角分享
点击右上角分享
0
联系我们:info@booksci.cn Book学术提供免费学术资源搜索服务,方便国内外学者检索中英文文献。致力于提供最便捷和优质的服务体验。 Copyright © 2023 布克学术 All rights reserved.
京ICP备2023020795号-1
ghs 京公网安备 11010802042870号
Book学术文献互助
Book学术文献互助群
群 号:604180095
Book学术官方微信