数字乳头状腺癌是hpv -42相关和BRAFV600E阴性:诊断实践的观点。

IF 1.7 Q3 DERMATOLOGY
Tassilo Dege, Arno Rütten, Matthias Goebeler, Hermann Kneitz
{"title":"数字乳头状腺癌是hpv -42相关和BRAFV600E阴性:诊断实践的观点。","authors":"Tassilo Dege, Arno Rütten, Matthias Goebeler, Hermann Kneitz","doi":"10.3390/dermatopathology11040037","DOIUrl":null,"url":null,"abstract":"<p><p>Digital papillary adenocarcinoma (DPAC) is a rare, low-grade sweat gland carcinoma primarily found on the hands, fingers, or toes and predominantly affecting males. Distinguishing DPAC from benign sweat gland tumors can be challenging. We present the case of a 52-year-old patient with a progressive tumor on the finger initially misdiagnosed as a viral wart. Histological examination revealed a cytologically basophilic sweat gland tumor with tubular structures, papillary protrusions, and a characteristic immunohistochemical staining pattern for CK 7 and Actin. HPV-42 positivity and molecular analysis confirmed the diagnosis of DPAC. HPV-42 has been strongly associated with DPAC. Additionally, p16 positivity and BRAFV600E negativity were observed. These findings aid in the differential diagnosis of acral sweat gland tumors and guide clinical management, including with respect to the potential for recurrence and metastasis.</p>","PeriodicalId":42885,"journal":{"name":"Dermatopathology","volume":"11 4","pages":"348-353"},"PeriodicalIF":1.7000,"publicationDate":"2024-12-09","publicationTypes":"Journal Article","fieldsOfStudy":null,"isOpenAccess":false,"openAccessPdf":"https://www.ncbi.nlm.nih.gov/pmc/articles/PMC11674806/pdf/","citationCount":"0","resultStr":"{\"title\":\"Digital Papillary Adenocarcinoma Is HPV-42-Associated and BRAFV600E Negative: Perspectives for Diagnostic Practice.\",\"authors\":\"Tassilo Dege, Arno Rütten, Matthias Goebeler, Hermann Kneitz\",\"doi\":\"10.3390/dermatopathology11040037\",\"DOIUrl\":null,\"url\":null,\"abstract\":\"<p><p>Digital papillary adenocarcinoma (DPAC) is a rare, low-grade sweat gland carcinoma primarily found on the hands, fingers, or toes and predominantly affecting males. Distinguishing DPAC from benign sweat gland tumors can be challenging. We present the case of a 52-year-old patient with a progressive tumor on the finger initially misdiagnosed as a viral wart. Histological examination revealed a cytologically basophilic sweat gland tumor with tubular structures, papillary protrusions, and a characteristic immunohistochemical staining pattern for CK 7 and Actin. HPV-42 positivity and molecular analysis confirmed the diagnosis of DPAC. HPV-42 has been strongly associated with DPAC. Additionally, p16 positivity and BRAFV600E negativity were observed. These findings aid in the differential diagnosis of acral sweat gland tumors and guide clinical management, including with respect to the potential for recurrence and metastasis.</p>\",\"PeriodicalId\":42885,\"journal\":{\"name\":\"Dermatopathology\",\"volume\":\"11 4\",\"pages\":\"348-353\"},\"PeriodicalIF\":1.7000,\"publicationDate\":\"2024-12-09\",\"publicationTypes\":\"Journal Article\",\"fieldsOfStudy\":null,\"isOpenAccess\":false,\"openAccessPdf\":\"https://www.ncbi.nlm.nih.gov/pmc/articles/PMC11674806/pdf/\",\"citationCount\":\"0\",\"resultStr\":null,\"platform\":\"Semanticscholar\",\"paperid\":null,\"PeriodicalName\":\"Dermatopathology\",\"FirstCategoryId\":\"1085\",\"ListUrlMain\":\"https://doi.org/10.3390/dermatopathology11040037\",\"RegionNum\":0,\"RegionCategory\":null,\"ArticlePicture\":[],\"TitleCN\":null,\"AbstractTextCN\":null,\"PMCID\":null,\"EPubDate\":\"\",\"PubModel\":\"\",\"JCR\":\"Q3\",\"JCRName\":\"DERMATOLOGY\",\"Score\":null,\"Total\":0}","platform":"Semanticscholar","paperid":null,"PeriodicalName":"Dermatopathology","FirstCategoryId":"1085","ListUrlMain":"https://doi.org/10.3390/dermatopathology11040037","RegionNum":0,"RegionCategory":null,"ArticlePicture":[],"TitleCN":null,"AbstractTextCN":null,"PMCID":null,"EPubDate":"","PubModel":"","JCR":"Q3","JCRName":"DERMATOLOGY","Score":null,"Total":0}
引用次数: 0

摘要

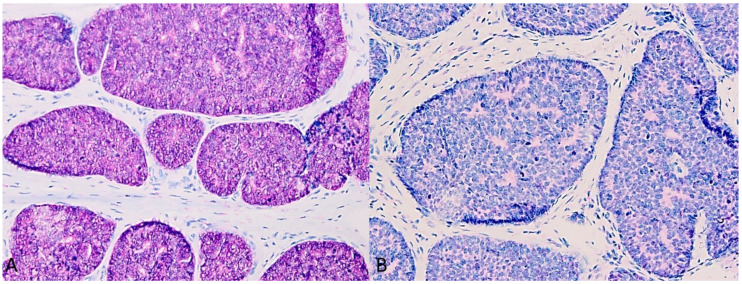
指乳头状腺癌(DPAC)是一种罕见的低级别汗腺癌,主要发生在手、手指或脚趾,主要影响男性。区分DPAC与良性汗腺肿瘤具有挑战性。我们提出的情况下,52岁的病人进展肿瘤的手指最初误诊为病毒性疣。组织学检查显示为嗜碱性汗腺肿瘤,具有管状结构,乳头状突起,ck7和肌动蛋白具有特征性的免疫组织化学染色。HPV-42阳性和分子分析证实了DPAC的诊断。HPV-42与DPAC密切相关。p16阳性,BRAFV600E阴性。这些发现有助于肢端汗腺肿瘤的鉴别诊断,并指导临床治疗,包括复发和转移的可能性。
本文章由计算机程序翻译,如有差异,请以英文原文为准。

Digital Papillary Adenocarcinoma Is HPV-42-Associated and BRAFV600E Negative: Perspectives for Diagnostic Practice.

Digital Papillary Adenocarcinoma Is HPV-42-Associated and BRAFV600E Negative: Perspectives for Diagnostic Practice.

Digital Papillary Adenocarcinoma Is HPV-42-Associated and BRAFV600E Negative: Perspectives for Diagnostic Practice.

Digital Papillary Adenocarcinoma Is HPV-42-Associated and BRAFV600E Negative: Perspectives for Diagnostic Practice.

Digital papillary adenocarcinoma (DPAC) is a rare, low-grade sweat gland carcinoma primarily found on the hands, fingers, or toes and predominantly affecting males. Distinguishing DPAC from benign sweat gland tumors can be challenging. We present the case of a 52-year-old patient with a progressive tumor on the finger initially misdiagnosed as a viral wart. Histological examination revealed a cytologically basophilic sweat gland tumor with tubular structures, papillary protrusions, and a characteristic immunohistochemical staining pattern for CK 7 and Actin. HPV-42 positivity and molecular analysis confirmed the diagnosis of DPAC. HPV-42 has been strongly associated with DPAC. Additionally, p16 positivity and BRAFV600E negativity were observed. These findings aid in the differential diagnosis of acral sweat gland tumors and guide clinical management, including with respect to the potential for recurrence and metastasis.

求助全文
通过发布文献求助,成功后即可免费获取论文全文。 去求助
来源期刊
Dermatopathology
Dermatopathology DERMATOLOGY-
自引率
5.30%
发文量
39
审稿时长
11 weeks
×
引用
GB/T 7714-2015
复制
MLA
复制
APA
复制
导出至
BibTeX EndNote RefMan NoteFirst NoteExpress
×
提示
您的信息不完整,为了账户安全,请先补充。
现在去补充
×
提示
您因"违规操作"
具体请查看互助需知
我知道了
×
提示
确定
请完成安全验证×
copy
已复制链接
快去分享给好友吧!
我知道了
右上角分享
点击右上角分享
0
联系我们:info@booksci.cn Book学术提供免费学术资源搜索服务,方便国内外学者检索中英文文献。致力于提供最便捷和优质的服务体验。 Copyright © 2023 布克学术 All rights reserved.
京ICP备2023020795号-1
ghs 京公网安备 11010802042870号
Book学术文献互助
Book学术文献互助群
群 号:604180095
Book学术官方微信