1例罕见的恶性增生性毛突肿瘤:具有潜在治疗意义的分子研究及文献复习。

IF 1.7 Q3 DERMATOLOGY
Mokhtar H Abdelhammed, Hanna Siatecka, A Hafeez Diwan, Christie J Finch, Angela D Haskins, David J Hernandez, Ya Xu
{"title":"1例罕见的恶性增生性毛突肿瘤:具有潜在治疗意义的分子研究及文献复习。","authors":"Mokhtar H Abdelhammed, Hanna Siatecka, A Hafeez Diwan, Christie J Finch, Angela D Haskins, David J Hernandez, Ya Xu","doi":"10.3390/dermatopathology11040038","DOIUrl":null,"url":null,"abstract":"<p><p>Malignant proliferating trichilemmal tumors (MPTTs), arising from the external root sheath of hair follicles, are exceptionally rare, with limited documentation of their genetic alterations. We present a case of a 64-year-old African American woman who initially presented with a gradually enlarging nodule on her posterior scalp. An initial biopsy at an outside hospital suggested metastatic adenocarcinoma or squamous cell carcinoma (SCC) of an uncertain origin. A subsequent wide local excision revealed a 2.0 cm tumor demonstrating characteristic trichilemmal keratinization, characterized by an abrupt transition from the nucleated epithelium to a laminated keratinized layer, confirming MPTT. Immunohistochemistry demonstrated diffuse p53 expression, patchy CD 34 expression, focal HER2 membranous expression, and patchy p16 staining (negative HPV ISH). A molecular analysis identified TP53 mutation and amplifications in the ERBB2 (HER2), BRD4, and TYMS. Additional gene mutations of uncertain significance included HSPH1, ATM, PDCD1 (PD-1), BARD1, MSH3, LRP1B, KMT2C (MLL3), GNA11, and RUNX1. Assessments for the homologous recombination deficiency, PD-L1 expression, gene rearrangement, altered splicing, and DNA mismatch repair gene expression were negative. The confirmation of ERBB2 (HER2) amplification in the MPTT through a molecular analysis suggests potential therapeutic avenues involving anti-HER2 monoclonal antibodies. The presence of the TP53 mutation, without the concurrent gene mutations typically observed in SCC, significantly aided in this differential diagnosis.</p>","PeriodicalId":42885,"journal":{"name":"Dermatopathology","volume":"11 4","pages":"354-363"},"PeriodicalIF":1.7000,"publicationDate":"2024-12-10","publicationTypes":"Journal Article","fieldsOfStudy":null,"isOpenAccess":false,"openAccessPdf":"https://www.ncbi.nlm.nih.gov/pmc/articles/PMC11674666/pdf/","citationCount":"0","resultStr":"{\"title\":\"A Rare Case of a Malignant Proliferating Trichilemmal Tumor: A Molecular Study Harboring Potential Therapeutic Significance and a Review of Literature.\",\"authors\":\"Mokhtar H Abdelhammed, Hanna Siatecka, A Hafeez Diwan, Christie J Finch, Angela D Haskins, David J Hernandez, Ya Xu\",\"doi\":\"10.3390/dermatopathology11040038\",\"DOIUrl\":null,\"url\":null,\"abstract\":\"<p><p>Malignant proliferating trichilemmal tumors (MPTTs), arising from the external root sheath of hair follicles, are exceptionally rare, with limited documentation of their genetic alterations. We present a case of a 64-year-old African American woman who initially presented with a gradually enlarging nodule on her posterior scalp. An initial biopsy at an outside hospital suggested metastatic adenocarcinoma or squamous cell carcinoma (SCC) of an uncertain origin. A subsequent wide local excision revealed a 2.0 cm tumor demonstrating characteristic trichilemmal keratinization, characterized by an abrupt transition from the nucleated epithelium to a laminated keratinized layer, confirming MPTT. Immunohistochemistry demonstrated diffuse p53 expression, patchy CD 34 expression, focal HER2 membranous expression, and patchy p16 staining (negative HPV ISH). A molecular analysis identified TP53 mutation and amplifications in the ERBB2 (HER2), BRD4, and TYMS. Additional gene mutations of uncertain significance included HSPH1, ATM, PDCD1 (PD-1), BARD1, MSH3, LRP1B, KMT2C (MLL3), GNA11, and RUNX1. Assessments for the homologous recombination deficiency, PD-L1 expression, gene rearrangement, altered splicing, and DNA mismatch repair gene expression were negative. The confirmation of ERBB2 (HER2) amplification in the MPTT through a molecular analysis suggests potential therapeutic avenues involving anti-HER2 monoclonal antibodies. The presence of the TP53 mutation, without the concurrent gene mutations typically observed in SCC, significantly aided in this differential diagnosis.</p>\",\"PeriodicalId\":42885,\"journal\":{\"name\":\"Dermatopathology\",\"volume\":\"11 4\",\"pages\":\"354-363\"},\"PeriodicalIF\":1.7000,\"publicationDate\":\"2024-12-10\",\"publicationTypes\":\"Journal Article\",\"fieldsOfStudy\":null,\"isOpenAccess\":false,\"openAccessPdf\":\"https://www.ncbi.nlm.nih.gov/pmc/articles/PMC11674666/pdf/\",\"citationCount\":\"0\",\"resultStr\":null,\"platform\":\"Semanticscholar\",\"paperid\":null,\"PeriodicalName\":\"Dermatopathology\",\"FirstCategoryId\":\"1085\",\"ListUrlMain\":\"https://doi.org/10.3390/dermatopathology11040038\",\"RegionNum\":0,\"RegionCategory\":null,\"ArticlePicture\":[],\"TitleCN\":null,\"AbstractTextCN\":null,\"PMCID\":null,\"EPubDate\":\"\",\"PubModel\":\"\",\"JCR\":\"Q3\",\"JCRName\":\"DERMATOLOGY\",\"Score\":null,\"Total\":0}","platform":"Semanticscholar","paperid":null,"PeriodicalName":"Dermatopathology","FirstCategoryId":"1085","ListUrlMain":"https://doi.org/10.3390/dermatopathology11040038","RegionNum":0,"RegionCategory":null,"ArticlePicture":[],"TitleCN":null,"AbstractTextCN":null,"PMCID":null,"EPubDate":"","PubModel":"","JCR":"Q3","JCRName":"DERMATOLOGY","Score":null,"Total":0}
引用次数: 0

摘要

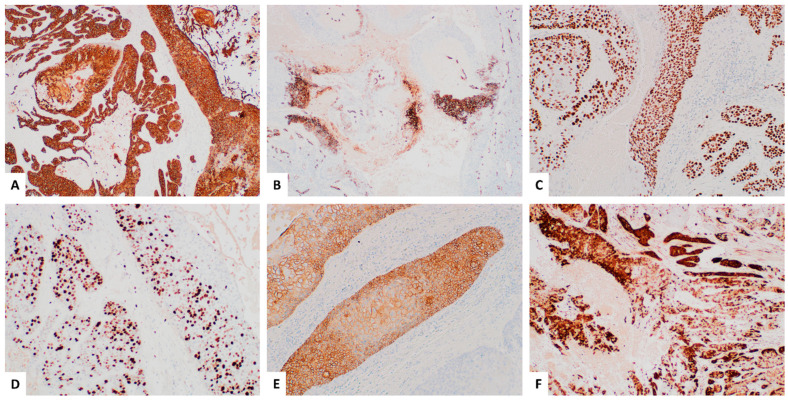
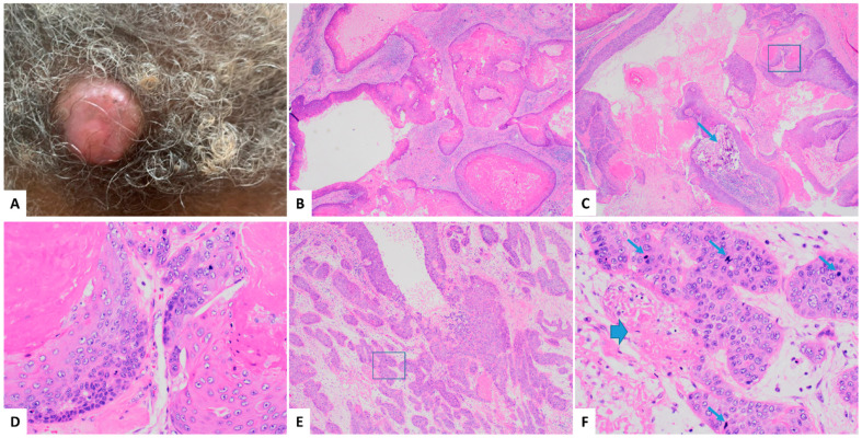
发源于毛囊外根鞘的恶性增生性毛根瘤(mptt)极为罕见,其遗传改变的文献有限。我们提出一个64岁的非裔美国妇女谁最初提出了一个逐渐扩大的结节在她的头皮后部。在医院外的初步活检提示转移性腺癌或鳞状细胞癌(SCC)来源不明。随后的大面积局部切除显示一个2.0 cm的肿瘤,表现出特征性的毛突角化,其特征是从有核上皮突然转变为层状角化层,证实了MPTT。免疫组织化学显示弥漫性p53表达,斑片状cd34表达,局灶性HER2膜表达和斑片状p16染色(HPV ISH阴性)。分子分析确定了TP53突变和ERBB2 (HER2)、BRD4和TYMS中的扩增。其他不确定意义的基因突变包括HSPH1、ATM、PDCD1 (PD-1)、BARD1、MSH3、LRP1B、KMT2C (MLL3)、GNA11和RUNX1。同源重组缺陷、PD-L1表达、基因重排、剪接改变和DNA错配修复基因表达的评估均为阴性。通过分子分析证实了ERBB2 (HER2)在MPTT中的扩增,这提示了涉及抗HER2单克隆抗体的潜在治疗途径。TP53突变的存在,没有在SCC中观察到的典型的并发基因突变,极大地帮助了这种鉴别诊断。
本文章由计算机程序翻译,如有差异,请以英文原文为准。

A Rare Case of a Malignant Proliferating Trichilemmal Tumor: A Molecular Study Harboring Potential Therapeutic Significance and a Review of Literature.

A Rare Case of a Malignant Proliferating Trichilemmal Tumor: A Molecular Study Harboring Potential Therapeutic Significance and a Review of Literature.

A Rare Case of a Malignant Proliferating Trichilemmal Tumor: A Molecular Study Harboring Potential Therapeutic Significance and a Review of Literature.

Malignant proliferating trichilemmal tumors (MPTTs), arising from the external root sheath of hair follicles, are exceptionally rare, with limited documentation of their genetic alterations. We present a case of a 64-year-old African American woman who initially presented with a gradually enlarging nodule on her posterior scalp. An initial biopsy at an outside hospital suggested metastatic adenocarcinoma or squamous cell carcinoma (SCC) of an uncertain origin. A subsequent wide local excision revealed a 2.0 cm tumor demonstrating characteristic trichilemmal keratinization, characterized by an abrupt transition from the nucleated epithelium to a laminated keratinized layer, confirming MPTT. Immunohistochemistry demonstrated diffuse p53 expression, patchy CD 34 expression, focal HER2 membranous expression, and patchy p16 staining (negative HPV ISH). A molecular analysis identified TP53 mutation and amplifications in the ERBB2 (HER2), BRD4, and TYMS. Additional gene mutations of uncertain significance included HSPH1, ATM, PDCD1 (PD-1), BARD1, MSH3, LRP1B, KMT2C (MLL3), GNA11, and RUNX1. Assessments for the homologous recombination deficiency, PD-L1 expression, gene rearrangement, altered splicing, and DNA mismatch repair gene expression were negative. The confirmation of ERBB2 (HER2) amplification in the MPTT through a molecular analysis suggests potential therapeutic avenues involving anti-HER2 monoclonal antibodies. The presence of the TP53 mutation, without the concurrent gene mutations typically observed in SCC, significantly aided in this differential diagnosis.

求助全文
通过发布文献求助,成功后即可免费获取论文全文。 去求助
来源期刊
Dermatopathology
Dermatopathology DERMATOLOGY-
自引率
5.30%
发文量
39
审稿时长
11 weeks
×
引用
GB/T 7714-2015
复制
MLA
复制
APA
复制
导出至
BibTeX EndNote RefMan NoteFirst NoteExpress
×
提示
您的信息不完整,为了账户安全,请先补充。
现在去补充
×
提示
您因"违规操作"
具体请查看互助需知
我知道了
×
提示
确定
请完成安全验证×
copy
已复制链接
快去分享给好友吧!
我知道了
右上角分享
点击右上角分享
0
联系我们:info@booksci.cn Book学术提供免费学术资源搜索服务,方便国内外学者检索中英文文献。致力于提供最便捷和优质的服务体验。 Copyright © 2023 布克学术 All rights reserved.
京ICP备2023020795号-1
ghs 京公网安备 11010802042870号
Book学术文献互助
Book学术文献互助群
群 号:604180095
Book学术官方微信