可编程分流阀不可调状态:颅中窝蛛网膜囊肿-腹膜分流阻塞。

Q2 Medicine
Hongbin Cao, Genrui Guo, Wenjing Wu, Zhenghai Cheng
{"title":"可编程分流阀不可调状态:颅中窝蛛网膜囊肿-腹膜分流阻塞。","authors":"Hongbin Cao, Genrui Guo, Wenjing Wu, Zhenghai Cheng","doi":"10.1186/s41016-024-00386-z","DOIUrl":null,"url":null,"abstract":"<p><strong>Background: </strong>A nonadjustable state of the programmable shunt valve is a rare phenomenon. This case report aims to explore the cause of pressure adjustment dysfunction in a programmable shunt valve in a middle cranial fossa arachnoid cyst-peritoneal shunt patient and to underscore this dysfunction as an indicator of shunt valve obstruction.</p><p><strong>Case presentation: </strong>A child with a ruptured giant arachnoid cyst in the left middle cranial fossa presented with acute intracranial hypertension following head trauma. The initial cysto-peritoneal shunt surgery rapidly alleviated symptoms, including headaches, vomiting, and left cranial nerve palsy, stabilizing the clinical condition. However, between 20 and 24 months after the initial shunt surgery, the patient developed intermittent shunt dysfunction, experiencing recurrent headaches and vomiting, during which the programmable valve's pressure setting had become fixed and was no longer adjustable. A second surgery was then performed to remove the existing shunt, excise the fibrotic cyst wall, fenestrate the basal cistern, and establish temporary subdural drainage. During this operation, extensive fibrosis of the cyst wall in the subdural space was discovered, forming a tough and hypertrophic fibrotic membrane that encased the cerebral hemispheres. This fibrotic material nearly filled the shunt valve chamber, causing valve obstruction and immobilizing the pressure control rod, resulting in pressure adjustment dysfunction. As the patient could not maintain stability without continuous drainage, a third surgery was ultimately necessary to place a subdural-peritoneal shunt. Five years of follow-up revealed no significant clinical symptoms, and the patient has maintained a normal life.</p><p><strong>Conclusion: </strong>Shunt valve obstruction is an underestimated cause of shunt system failure, with no current definitive method for early diagnosis. Fibrotic deposition is a primary mechanism underlying shunt valve obstruction. Pressure adjustment dysfunction in a programmable shunt valve serves as a reliable indicator of shunt valve obstruction. Further research should prioritize the treatment and prevention of shunt valve obstructions to improve outcomes in neurosurgical practice.</p>","PeriodicalId":36700,"journal":{"name":"Chinese Neurosurgical Journal","volume":"10 1","pages":"34"},"PeriodicalIF":0.0000,"publicationDate":"2024-12-26","publicationTypes":"Journal Article","fieldsOfStudy":null,"isOpenAccess":false,"openAccessPdf":"https://www.ncbi.nlm.nih.gov/pmc/articles/PMC11670491/pdf/","citationCount":"0","resultStr":"{\"title\":\"Nonadjustable state of programmable shunt valve: obstruction of middle cranial fossa arachnoid cyst-peritoneal shunt.\",\"authors\":\"Hongbin Cao, Genrui Guo, Wenjing Wu, Zhenghai Cheng\",\"doi\":\"10.1186/s41016-024-00386-z\",\"DOIUrl\":null,\"url\":null,\"abstract\":\"<p><strong>Background: </strong>A nonadjustable state of the programmable shunt valve is a rare phenomenon. This case report aims to explore the cause of pressure adjustment dysfunction in a programmable shunt valve in a middle cranial fossa arachnoid cyst-peritoneal shunt patient and to underscore this dysfunction as an indicator of shunt valve obstruction.</p><p><strong>Case presentation: </strong>A child with a ruptured giant arachnoid cyst in the left middle cranial fossa presented with acute intracranial hypertension following head trauma. The initial cysto-peritoneal shunt surgery rapidly alleviated symptoms, including headaches, vomiting, and left cranial nerve palsy, stabilizing the clinical condition. However, between 20 and 24 months after the initial shunt surgery, the patient developed intermittent shunt dysfunction, experiencing recurrent headaches and vomiting, during which the programmable valve's pressure setting had become fixed and was no longer adjustable. A second surgery was then performed to remove the existing shunt, excise the fibrotic cyst wall, fenestrate the basal cistern, and establish temporary subdural drainage. During this operation, extensive fibrosis of the cyst wall in the subdural space was discovered, forming a tough and hypertrophic fibrotic membrane that encased the cerebral hemispheres. This fibrotic material nearly filled the shunt valve chamber, causing valve obstruction and immobilizing the pressure control rod, resulting in pressure adjustment dysfunction. As the patient could not maintain stability without continuous drainage, a third surgery was ultimately necessary to place a subdural-peritoneal shunt. Five years of follow-up revealed no significant clinical symptoms, and the patient has maintained a normal life.</p><p><strong>Conclusion: </strong>Shunt valve obstruction is an underestimated cause of shunt system failure, with no current definitive method for early diagnosis. Fibrotic deposition is a primary mechanism underlying shunt valve obstruction. Pressure adjustment dysfunction in a programmable shunt valve serves as a reliable indicator of shunt valve obstruction. Further research should prioritize the treatment and prevention of shunt valve obstructions to improve outcomes in neurosurgical practice.</p>\",\"PeriodicalId\":36700,\"journal\":{\"name\":\"Chinese Neurosurgical Journal\",\"volume\":\"10 1\",\"pages\":\"34\"},\"PeriodicalIF\":0.0000,\"publicationDate\":\"2024-12-26\",\"publicationTypes\":\"Journal Article\",\"fieldsOfStudy\":null,\"isOpenAccess\":false,\"openAccessPdf\":\"https://www.ncbi.nlm.nih.gov/pmc/articles/PMC11670491/pdf/\",\"citationCount\":\"0\",\"resultStr\":null,\"platform\":\"Semanticscholar\",\"paperid\":null,\"PeriodicalName\":\"Chinese Neurosurgical Journal\",\"FirstCategoryId\":\"3\",\"ListUrlMain\":\"https://doi.org/10.1186/s41016-024-00386-z\",\"RegionNum\":0,\"RegionCategory\":null,\"ArticlePicture\":[],\"TitleCN\":null,\"AbstractTextCN\":null,\"PMCID\":null,\"EPubDate\":\"\",\"PubModel\":\"\",\"JCR\":\"Q2\",\"JCRName\":\"Medicine\",\"Score\":null,\"Total\":0}","platform":"Semanticscholar","paperid":null,"PeriodicalName":"Chinese Neurosurgical Journal","FirstCategoryId":"3","ListUrlMain":"https://doi.org/10.1186/s41016-024-00386-z","RegionNum":0,"RegionCategory":null,"ArticlePicture":[],"TitleCN":null,"AbstractTextCN":null,"PMCID":null,"EPubDate":"","PubModel":"","JCR":"Q2","JCRName":"Medicine","Score":null,"Total":0}
引用次数: 0

摘要

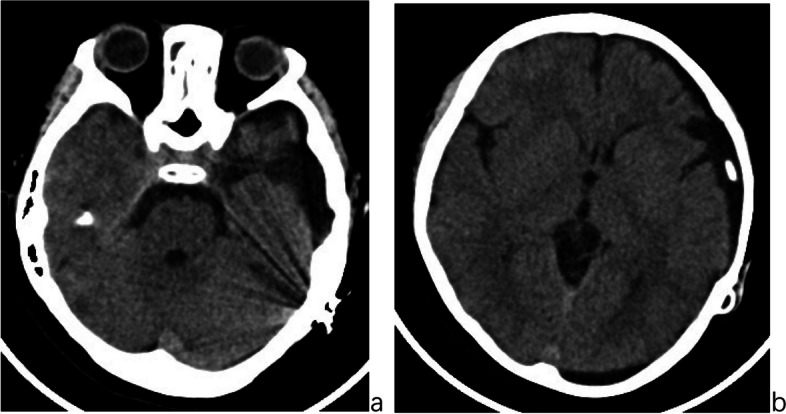
背景:可编程分流阀的不可调状态是一种罕见的现象。本病例报告旨在探讨中颅窝蛛网膜囊肿-腹膜分流患者可编程分流阀压力调节功能障碍的原因,并强调这种功能障碍是分流阀阻塞的一个指标。病例介绍:一个在左颅中窝巨大蛛网膜囊肿破裂的儿童在头部外伤后出现急性颅内高压。最初的膀胱-腹膜分流术迅速缓解了头痛、呕吐、左脑神经麻痹等症状,稳定了临床病情。然而,在初次分流手术后的20至24个月之间,患者出现间歇性分流功能障碍,反复出现头痛和呕吐,在此期间,可编程阀的压力设置已经固定,不再可调节。然后进行第二次手术,去除现有的分流管,切除纤维化囊肿壁,开窗基底池,建立临时硬膜下引流。术中发现硬膜下囊肿壁广泛纤维化,形成一层坚硬肥厚的纤维化膜包裹大脑半球。这种纤维化物质几乎充满了分流阀腔,造成阀腔阻塞,使压力控制棒无法活动,导致压力调节功能障碍。由于患者不能在不持续引流的情况下维持稳定,最终需要进行第三次手术以放置硬膜下-腹膜分流术。随访5年,无明显临床症状,生活正常。结论:分流阀阻塞是一个被低估的导致分流系统失效的原因,目前尚无明确的早期诊断方法。纤维化沉积是导致分流阀阻塞的主要机制。可编程分流阀的压力调节功能障碍可作为分流阀阻塞的可靠指示器。进一步的研究应优先考虑分流阀阻塞的治疗和预防,以提高神经外科实践的结果。
本文章由计算机程序翻译,如有差异,请以英文原文为准。

Nonadjustable state of programmable shunt valve: obstruction of middle cranial fossa arachnoid cyst-peritoneal shunt.

Nonadjustable state of programmable shunt valve: obstruction of middle cranial fossa arachnoid cyst-peritoneal shunt.

Nonadjustable state of programmable shunt valve: obstruction of middle cranial fossa arachnoid cyst-peritoneal shunt.

Nonadjustable state of programmable shunt valve: obstruction of middle cranial fossa arachnoid cyst-peritoneal shunt.

Background: A nonadjustable state of the programmable shunt valve is a rare phenomenon. This case report aims to explore the cause of pressure adjustment dysfunction in a programmable shunt valve in a middle cranial fossa arachnoid cyst-peritoneal shunt patient and to underscore this dysfunction as an indicator of shunt valve obstruction.

Case presentation: A child with a ruptured giant arachnoid cyst in the left middle cranial fossa presented with acute intracranial hypertension following head trauma. The initial cysto-peritoneal shunt surgery rapidly alleviated symptoms, including headaches, vomiting, and left cranial nerve palsy, stabilizing the clinical condition. However, between 20 and 24 months after the initial shunt surgery, the patient developed intermittent shunt dysfunction, experiencing recurrent headaches and vomiting, during which the programmable valve's pressure setting had become fixed and was no longer adjustable. A second surgery was then performed to remove the existing shunt, excise the fibrotic cyst wall, fenestrate the basal cistern, and establish temporary subdural drainage. During this operation, extensive fibrosis of the cyst wall in the subdural space was discovered, forming a tough and hypertrophic fibrotic membrane that encased the cerebral hemispheres. This fibrotic material nearly filled the shunt valve chamber, causing valve obstruction and immobilizing the pressure control rod, resulting in pressure adjustment dysfunction. As the patient could not maintain stability without continuous drainage, a third surgery was ultimately necessary to place a subdural-peritoneal shunt. Five years of follow-up revealed no significant clinical symptoms, and the patient has maintained a normal life.

Conclusion: Shunt valve obstruction is an underestimated cause of shunt system failure, with no current definitive method for early diagnosis. Fibrotic deposition is a primary mechanism underlying shunt valve obstruction. Pressure adjustment dysfunction in a programmable shunt valve serves as a reliable indicator of shunt valve obstruction. Further research should prioritize the treatment and prevention of shunt valve obstructions to improve outcomes in neurosurgical practice.

求助全文
通过发布文献求助,成功后即可免费获取论文全文。 去求助
来源期刊
CiteScore
2.70
自引率
0.00%
发文量
224
审稿时长
10 weeks
×
引用
GB/T 7714-2015
复制
MLA
复制
APA
复制
导出至
BibTeX EndNote RefMan NoteFirst NoteExpress
×
提示
您的信息不完整,为了账户安全,请先补充。
现在去补充
×
提示
您因"违规操作"
具体请查看互助需知
我知道了
×
提示
确定
请完成安全验证×
copy
已复制链接
快去分享给好友吧!
我知道了
右上角分享
点击右上角分享
0
联系我们:info@booksci.cn Book学术提供免费学术资源搜索服务,方便国内外学者检索中英文文献。致力于提供最便捷和优质的服务体验。 Copyright © 2023 布克学术 All rights reserved.
京ICP备2023020795号-1
ghs 京公网安备 11010802042870号
Book学术文献互助
Book学术文献互助群
群 号:604180095
Book学术官方微信