异丙酚和咪达唑仑联合治疗难治性癫痫性脑病伴睡眠尖峰波激活的疗效。

IF 1.5 Q3 CLINICAL NEUROLOGY
Xiaorui Liu , Tiejia Jiang , Lu Xu , Weiran Zhang , Feng Gao
{"title":"异丙酚和咪达唑仑联合治疗难治性癫痫性脑病伴睡眠尖峰波激活的疗效。","authors":"Xiaorui Liu ,&nbsp;Tiejia Jiang ,&nbsp;Lu Xu ,&nbsp;Weiran Zhang ,&nbsp;Feng Gao","doi":"10.1016/j.ebr.2024.100732","DOIUrl":null,"url":null,"abstract":"<div><div>We presented a 7-year-old boy with refractory Epileptic Encephalopathy with Spike-and-Wave Activation in Sleep (EE-SWAS) successfully managed with a combination of propofol and midazolam. His seizures began at age 2, initially controlled by multiple antiseizure medications (ASMs) for almost three years. At age 5, seizures recurred with electroencephalography (EEG) showing electrical status epilepticus in sleep (ESES) and a spike-wave index (SWI) of 85 %. High-dose methylprednisolone pulse therapy initially reduced the SWI to 50 %, but it relapsed to 80 % within six months. Despite further treatments, including methylprednisolone, midazolam infusion, and four combined ASMs, the SWI persisted between 75 % and 85 %, leading to progressively worsening cognitive impairment and subsequently a somnolent state with nearly continuous discharges. During hospitalization, a combination of propofol and midazolam significantly improved the condition, reducing the SWI to 50 % upon completion of the treatment period. Over a three-year follow-up, no ESES or seizures were reported, and cognitive function notably improved. Currently, there is no consensus on the treatment of ESES, which is sometimes refractory to medication and can result in partially irreversible cognitive impairment. Propofol in combination with midazolam has demonstrated effective suppression of ESES phenomena, presenting a promising treatment strategy for refractory ESES.</div></div>","PeriodicalId":36558,"journal":{"name":"Epilepsy and Behavior Reports","volume":"29 ","pages":"Article 100732"},"PeriodicalIF":1.5000,"publicationDate":"2024-12-03","publicationTypes":"Journal Article","fieldsOfStudy":null,"isOpenAccess":false,"openAccessPdf":"https://www.ncbi.nlm.nih.gov/pmc/articles/PMC11667020/pdf/","citationCount":"0","resultStr":"{\"title\":\"Efficacy of propofol and midazolam combination in managing refractory epileptic encephalopathy with spike-wave activation in sleep\",\"authors\":\"Xiaorui Liu ,&nbsp;Tiejia Jiang ,&nbsp;Lu Xu ,&nbsp;Weiran Zhang ,&nbsp;Feng Gao\",\"doi\":\"10.1016/j.ebr.2024.100732\",\"DOIUrl\":null,\"url\":null,\"abstract\":\"<div><div>We presented a 7-year-old boy with refractory Epileptic Encephalopathy with Spike-and-Wave Activation in Sleep (EE-SWAS) successfully managed with a combination of propofol and midazolam. His seizures began at age 2, initially controlled by multiple antiseizure medications (ASMs) for almost three years. At age 5, seizures recurred with electroencephalography (EEG) showing electrical status epilepticus in sleep (ESES) and a spike-wave index (SWI) of 85 %. High-dose methylprednisolone pulse therapy initially reduced the SWI to 50 %, but it relapsed to 80 % within six months. Despite further treatments, including methylprednisolone, midazolam infusion, and four combined ASMs, the SWI persisted between 75 % and 85 %, leading to progressively worsening cognitive impairment and subsequently a somnolent state with nearly continuous discharges. During hospitalization, a combination of propofol and midazolam significantly improved the condition, reducing the SWI to 50 % upon completion of the treatment period. Over a three-year follow-up, no ESES or seizures were reported, and cognitive function notably improved. Currently, there is no consensus on the treatment of ESES, which is sometimes refractory to medication and can result in partially irreversible cognitive impairment. Propofol in combination with midazolam has demonstrated effective suppression of ESES phenomena, presenting a promising treatment strategy for refractory ESES.</div></div>\",\"PeriodicalId\":36558,\"journal\":{\"name\":\"Epilepsy and Behavior Reports\",\"volume\":\"29 \",\"pages\":\"Article 100732\"},\"PeriodicalIF\":1.5000,\"publicationDate\":\"2024-12-03\",\"publicationTypes\":\"Journal Article\",\"fieldsOfStudy\":null,\"isOpenAccess\":false,\"openAccessPdf\":\"https://www.ncbi.nlm.nih.gov/pmc/articles/PMC11667020/pdf/\",\"citationCount\":\"0\",\"resultStr\":null,\"platform\":\"Semanticscholar\",\"paperid\":null,\"PeriodicalName\":\"Epilepsy and Behavior Reports\",\"FirstCategoryId\":\"1085\",\"ListUrlMain\":\"https://www.sciencedirect.com/science/article/pii/S2589986424000893\",\"RegionNum\":0,\"RegionCategory\":null,\"ArticlePicture\":[],\"TitleCN\":null,\"AbstractTextCN\":null,\"PMCID\":null,\"EPubDate\":\"\",\"PubModel\":\"\",\"JCR\":\"Q3\",\"JCRName\":\"CLINICAL NEUROLOGY\",\"Score\":null,\"Total\":0}","platform":"Semanticscholar","paperid":null,"PeriodicalName":"Epilepsy and Behavior Reports","FirstCategoryId":"1085","ListUrlMain":"https://www.sciencedirect.com/science/article/pii/S2589986424000893","RegionNum":0,"RegionCategory":null,"ArticlePicture":[],"TitleCN":null,"AbstractTextCN":null,"PMCID":null,"EPubDate":"","PubModel":"","JCR":"Q3","JCRName":"CLINICAL NEUROLOGY","Score":null,"Total":0}
引用次数: 0

摘要

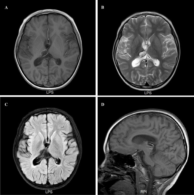
我们报告了一名7岁的顽固性癫痫性脑病伴睡眠尖波激活(EE-SWAS)的男孩,异丙酚和咪达唑仑联合治疗成功。他的癫痫发作始于两岁,最初通过多种抗癫痫药物(asm)控制了近三年。5岁时,癫痫发作复发,脑电图显示睡眠中癫痫持续状态(ESES)和峰波指数(SWI)为85%。大剂量甲基强的松龙脉冲治疗最初将SWI降低到50%,但在6个月内又复发到80%。尽管进一步治疗,包括甲基强的松龙、咪达唑仑输注和四种联合asm,但SWI仍维持在75%至85%之间,导致认知障碍逐渐恶化,随后进入嗜睡状态,几乎持续放电。在住院期间,异丙酚和咪达唑仑的组合显著改善了病情,在治疗期结束时将SWI降低到50%。在三年的随访中,没有ESES或癫痫发作的报告,认知功能明显改善。目前,对于ESES的治疗尚未达成共识,ESES有时难以药物治疗,并可导致部分不可逆的认知障碍。异丙酚联合咪达唑仑可有效抑制ESES现象,为治疗难治性ESES提供了一种很有前景的治疗策略。
本文章由计算机程序翻译,如有差异,请以英文原文为准。

Efficacy of propofol and midazolam combination in managing refractory epileptic encephalopathy with spike-wave activation in sleep

Efficacy of propofol and midazolam combination in managing refractory epileptic encephalopathy with spike-wave activation in sleep

Efficacy of propofol and midazolam combination in managing refractory epileptic encephalopathy with spike-wave activation in sleep

Efficacy of propofol and midazolam combination in managing refractory epileptic encephalopathy with spike-wave activation in sleep
We presented a 7-year-old boy with refractory Epileptic Encephalopathy with Spike-and-Wave Activation in Sleep (EE-SWAS) successfully managed with a combination of propofol and midazolam. His seizures began at age 2, initially controlled by multiple antiseizure medications (ASMs) for almost three years. At age 5, seizures recurred with electroencephalography (EEG) showing electrical status epilepticus in sleep (ESES) and a spike-wave index (SWI) of 85 %. High-dose methylprednisolone pulse therapy initially reduced the SWI to 50 %, but it relapsed to 80 % within six months. Despite further treatments, including methylprednisolone, midazolam infusion, and four combined ASMs, the SWI persisted between 75 % and 85 %, leading to progressively worsening cognitive impairment and subsequently a somnolent state with nearly continuous discharges. During hospitalization, a combination of propofol and midazolam significantly improved the condition, reducing the SWI to 50 % upon completion of the treatment period. Over a three-year follow-up, no ESES or seizures were reported, and cognitive function notably improved. Currently, there is no consensus on the treatment of ESES, which is sometimes refractory to medication and can result in partially irreversible cognitive impairment. Propofol in combination with midazolam has demonstrated effective suppression of ESES phenomena, presenting a promising treatment strategy for refractory ESES.
求助全文
通过发布文献求助,成功后即可免费获取论文全文。 去求助
来源期刊
Epilepsy and Behavior Reports
Epilepsy and Behavior Reports Medicine-Neurology (clinical)
CiteScore
2.70
自引率
13.30%
发文量
54
审稿时长
50 days
×
引用
GB/T 7714-2015
复制
MLA
复制
APA
复制
导出至
BibTeX EndNote RefMan NoteFirst NoteExpress
×
提示
您的信息不完整,为了账户安全,请先补充。
现在去补充
×
提示
您因"违规操作"
具体请查看互助需知
我知道了
×
提示
确定
请完成安全验证×
copy
已复制链接
快去分享给好友吧!
我知道了
右上角分享
点击右上角分享
0
联系我们:info@booksci.cn Book学术提供免费学术资源搜索服务,方便国内外学者检索中英文文献。致力于提供最便捷和优质的服务体验。 Copyright © 2023 布克学术 All rights reserved.
京ICP备2023020795号-1
ghs 京公网安备 11010802042870号
Book学术文献互助
Book学术文献互助群
群 号:604180095
Book学术官方微信