对免疫检查点抑制剂治疗有良好反应的子宫基底样高级别子宫内膜样癌。

IF 1.7 4区 医学 Q3 OBSTETRICS & GYNECOLOGY
Namra Ajmal, Olivia Nicolais, Mark S Shahin, Lucy Ma
{"title":"对免疫检查点抑制剂治疗有良好反应的子宫基底样高级别子宫内膜样癌。","authors":"Namra Ajmal, Olivia Nicolais, Mark S Shahin, Lucy Ma","doi":"10.1097/PGP.0000000000001086","DOIUrl":null,"url":null,"abstract":"","PeriodicalId":14001,"journal":{"name":"International Journal of Gynecological Pathology","volume":" ","pages":"255-257"},"PeriodicalIF":1.7000,"publicationDate":"2025-05-01","publicationTypes":"Journal Article","fieldsOfStudy":null,"isOpenAccess":false,"openAccessPdf":"https://www.ncbi.nlm.nih.gov/pmc/articles/PMC12007649/pdf/","citationCount":"0","resultStr":"{\"title\":\"Pilomatrix-like High-grade Endometrioid Carcinoma of the Uterine Corpus With Excellent Response to Immune Checkpoint Inhibitor Therapy.\",\"authors\":\"Namra Ajmal, Olivia Nicolais, Mark S Shahin, Lucy Ma\",\"doi\":\"10.1097/PGP.0000000000001086\",\"DOIUrl\":null,\"url\":null,\"abstract\":\"\",\"PeriodicalId\":14001,\"journal\":{\"name\":\"International Journal of Gynecological Pathology\",\"volume\":\" \",\"pages\":\"255-257\"},\"PeriodicalIF\":1.7000,\"publicationDate\":\"2025-05-01\",\"publicationTypes\":\"Journal Article\",\"fieldsOfStudy\":null,\"isOpenAccess\":false,\"openAccessPdf\":\"https://www.ncbi.nlm.nih.gov/pmc/articles/PMC12007649/pdf/\",\"citationCount\":\"0\",\"resultStr\":null,\"platform\":\"Semanticscholar\",\"paperid\":null,\"PeriodicalName\":\"International Journal of Gynecological Pathology\",\"FirstCategoryId\":\"3\",\"ListUrlMain\":\"https://doi.org/10.1097/PGP.0000000000001086\",\"RegionNum\":4,\"RegionCategory\":\"医学\",\"ArticlePicture\":[],\"TitleCN\":null,\"AbstractTextCN\":null,\"PMCID\":null,\"EPubDate\":\"2024/12/27 0:00:00\",\"PubModel\":\"Epub\",\"JCR\":\"Q3\",\"JCRName\":\"OBSTETRICS & GYNECOLOGY\",\"Score\":null,\"Total\":0}","platform":"Semanticscholar","paperid":null,"PeriodicalName":"International Journal of Gynecological Pathology","FirstCategoryId":"3","ListUrlMain":"https://doi.org/10.1097/PGP.0000000000001086","RegionNum":4,"RegionCategory":"医学","ArticlePicture":[],"TitleCN":null,"AbstractTextCN":null,"PMCID":null,"EPubDate":"2024/12/27 0:00:00","PubModel":"Epub","JCR":"Q3","JCRName":"OBSTETRICS & GYNECOLOGY","Score":null,"Total":0}
引用次数: 0

摘要

本文章由计算机程序翻译,如有差异,请以英文原文为准。

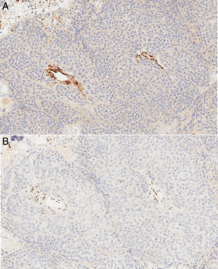
Pilomatrix-like High-grade Endometrioid Carcinoma of the Uterine Corpus With Excellent Response to Immune Checkpoint Inhibitor Therapy.

Pilomatrix-like High-grade Endometrioid Carcinoma of the Uterine Corpus With Excellent Response to Immune Checkpoint Inhibitor Therapy.

Pilomatrix-like High-grade Endometrioid Carcinoma of the Uterine Corpus With Excellent Response to Immune Checkpoint Inhibitor Therapy.
求助全文
通过发布文献求助,成功后即可免费获取论文全文。 去求助
来源期刊
CiteScore
3.90
自引率
12.50%
发文量
154
审稿时长
6-12 weeks
期刊介绍: International Journal of Gynecological Pathology is the official journal of the International Society of Gynecological Pathologists (ISGyP), and provides complete and timely coverage of advances in the understanding and management of gynecological disease. Emphasis is placed on investigations in the field of anatomic pathology. Articles devoted to experimental or animal pathology clearly relevant to an understanding of human disease are published, as are pathological and clinicopathological studies and individual case reports that offer new insights.
×
引用
GB/T 7714-2015
复制
MLA
复制
APA
复制
导出至
BibTeX EndNote RefMan NoteFirst NoteExpress
×
提示
您的信息不完整,为了账户安全,请先补充。
现在去补充
×
提示
您因"违规操作"
具体请查看互助需知
我知道了
×
提示
确定
请完成安全验证×
copy
已复制链接
快去分享给好友吧!
我知道了
右上角分享
点击右上角分享
0
联系我们:info@booksci.cn Book学术提供免费学术资源搜索服务,方便国内外学者检索中英文文献。致力于提供最便捷和优质的服务体验。 Copyright © 2023 布克学术 All rights reserved.
京ICP备2023020795号-1
ghs 京公网安备 11010802042870号
Book学术文献互助
Book学术文献互助群
群 号:604180095
Book学术官方微信