由训练有素的内窥镜超声医师进行室内细胞学评估,以确定内镜超声引导下胰腺实体病变细针活检的程序结束:台湾的一项前瞻性研究。

IF 2.3 Q3 GASTROENTEROLOGY & HEPATOLOGY
Clinical Endoscopy Pub Date : 2025-05-01 Epub Date: 2024-12-12 DOI:10.5946/ce.2024.143
Weng-Fai Wong, Yu-Ting Kuo, Wern-Cherng Cheng, Chia-Tung Shun, Ming-Lun Han, Chieh-Chang Chen, Hsiu-Po Wang
{"title":"由训练有素的内窥镜超声医师进行室内细胞学评估,以确定内镜超声引导下胰腺实体病变细针活检的程序结束:台湾的一项前瞻性研究。","authors":"Weng-Fai Wong, Yu-Ting Kuo, Wern-Cherng Cheng, Chia-Tung Shun, Ming-Lun Han, Chieh-Chang Chen, Hsiu-Po Wang","doi":"10.5946/ce.2024.143","DOIUrl":null,"url":null,"abstract":"<p><strong>Background/aims: </strong>Endoscopic ultrasound-guided fine needle biopsy (EUS-FNB) is an essential tool for tissue acquisition in solid pancreatic tumors. Rapid on-site evaluation (ROSE) by cytologists ensures diagnostic accuracy. However, the universal application of the ROSE is limited by its availability. Therefore, we aimed to investigate the feasibility of determining the end of the procedure based on the results of in-room cytological evaluation by trained endosonographers (IRCETE).</p><p><strong>Methods: </strong>A training course focusing on the cytological interpretation of common pancreatic tumors was provided to the three endosonographers. After training, the decision to terminate EUS-FNB was made based on IRCETE results. The diagnostic accuracy, concordance rate of diagnostic categories, and sample adequacy were compared with those determined by board-certified cytologists and macroscopic on-site evaluation (MOSE).</p><p><strong>Results: </strong>We enrolled 65 patients with solid pancreatic tumors, most of whom were malignant (86.2%). The diagnostic accuracy was 90.8% when the end of the procedure was determined based on IRCETE, compared to 87.7% and 98.5% when determined by MOSE and cytologists, respectively (p=0.060). Based on the cytologists' results, the accuracy of IRCETE in diagnostic category interpretation was 97.3%.</p><p><strong>Conclusions: </strong>In the absence of ROSE, IRCETE can serve as a supplementary alternative to MOSE in determining the end of tissue sampling with a high accuracy rate.</p>","PeriodicalId":10351,"journal":{"name":"Clinical Endoscopy","volume":" ","pages":"465-473"},"PeriodicalIF":2.3000,"publicationDate":"2025-05-01","publicationTypes":"Journal Article","fieldsOfStudy":null,"isOpenAccess":false,"openAccessPdf":"https://www.ncbi.nlm.nih.gov/pmc/articles/PMC12138358/pdf/","citationCount":"0","resultStr":"{\"title\":\"In-room cytologic evaluation by trained endosonographer for determination of procedure end in endoscopic ultrasound-guided fine needle biopsy of solid pancreatic lesions: a prospective study in Taiwan.\",\"authors\":\"Weng-Fai Wong, Yu-Ting Kuo, Wern-Cherng Cheng, Chia-Tung Shun, Ming-Lun Han, Chieh-Chang Chen, Hsiu-Po Wang\",\"doi\":\"10.5946/ce.2024.143\",\"DOIUrl\":null,\"url\":null,\"abstract\":\"<p><strong>Background/aims: </strong>Endoscopic ultrasound-guided fine needle biopsy (EUS-FNB) is an essential tool for tissue acquisition in solid pancreatic tumors. Rapid on-site evaluation (ROSE) by cytologists ensures diagnostic accuracy. However, the universal application of the ROSE is limited by its availability. Therefore, we aimed to investigate the feasibility of determining the end of the procedure based on the results of in-room cytological evaluation by trained endosonographers (IRCETE).</p><p><strong>Methods: </strong>A training course focusing on the cytological interpretation of common pancreatic tumors was provided to the three endosonographers. After training, the decision to terminate EUS-FNB was made based on IRCETE results. The diagnostic accuracy, concordance rate of diagnostic categories, and sample adequacy were compared with those determined by board-certified cytologists and macroscopic on-site evaluation (MOSE).</p><p><strong>Results: </strong>We enrolled 65 patients with solid pancreatic tumors, most of whom were malignant (86.2%). The diagnostic accuracy was 90.8% when the end of the procedure was determined based on IRCETE, compared to 87.7% and 98.5% when determined by MOSE and cytologists, respectively (p=0.060). Based on the cytologists' results, the accuracy of IRCETE in diagnostic category interpretation was 97.3%.</p><p><strong>Conclusions: </strong>In the absence of ROSE, IRCETE can serve as a supplementary alternative to MOSE in determining the end of tissue sampling with a high accuracy rate.</p>\",\"PeriodicalId\":10351,\"journal\":{\"name\":\"Clinical Endoscopy\",\"volume\":\" \",\"pages\":\"465-473\"},\"PeriodicalIF\":2.3000,\"publicationDate\":\"2025-05-01\",\"publicationTypes\":\"Journal Article\",\"fieldsOfStudy\":null,\"isOpenAccess\":false,\"openAccessPdf\":\"https://www.ncbi.nlm.nih.gov/pmc/articles/PMC12138358/pdf/\",\"citationCount\":\"0\",\"resultStr\":null,\"platform\":\"Semanticscholar\",\"paperid\":null,\"PeriodicalName\":\"Clinical Endoscopy\",\"FirstCategoryId\":\"1085\",\"ListUrlMain\":\"https://doi.org/10.5946/ce.2024.143\",\"RegionNum\":0,\"RegionCategory\":null,\"ArticlePicture\":[],\"TitleCN\":null,\"AbstractTextCN\":null,\"PMCID\":null,\"EPubDate\":\"2024/12/12 0:00:00\",\"PubModel\":\"Epub\",\"JCR\":\"Q3\",\"JCRName\":\"GASTROENTEROLOGY & HEPATOLOGY\",\"Score\":null,\"Total\":0}","platform":"Semanticscholar","paperid":null,"PeriodicalName":"Clinical Endoscopy","FirstCategoryId":"1085","ListUrlMain":"https://doi.org/10.5946/ce.2024.143","RegionNum":0,"RegionCategory":null,"ArticlePicture":[],"TitleCN":null,"AbstractTextCN":null,"PMCID":null,"EPubDate":"2024/12/12 0:00:00","PubModel":"Epub","JCR":"Q3","JCRName":"GASTROENTEROLOGY & HEPATOLOGY","Score":null,"Total":0}
引用次数: 0

摘要

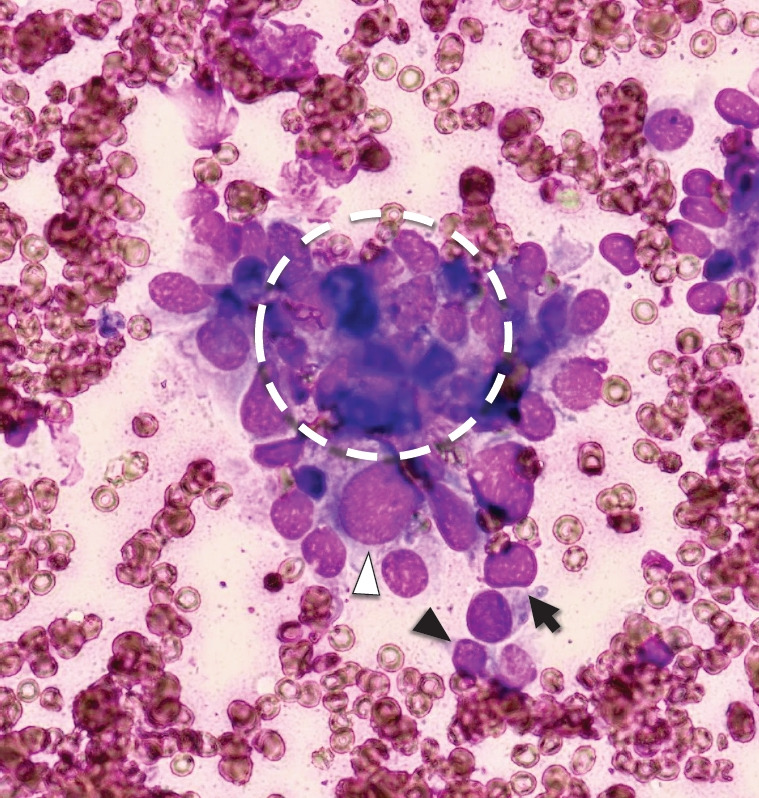
背景/目的:内镜超声引导下细针活检(EUS-FNB)是胰腺实体瘤组织采集的重要工具。细胞学家的快速现场评估(ROSE)确保了诊断的准确性。然而,ROSE的普遍应用受到其可用性的限制。因此,我们的目的是研究由训练有素的内窥镜技师(IRCETE)根据室内细胞学评估结果确定手术结束的可行性。方法:对3名超声医师进行胰腺常见肿瘤细胞学诊断的培训。培训结束后,根据IRCETE结果决定终止EUS-FNB。将诊断的准确性、诊断类别的符合率和样本充分性与委员会认证细胞学家和宏观现场评估(MOSE)的结果进行比较。结果:本组共纳入65例实体性胰腺肿瘤患者,其中大部分为恶性肿瘤(86.2%)。当基于IRCETE确定手术结束时,诊断准确率为90.8%,而MOSE和细胞学家分别为87.7%和98.5% (p=0.060)。根据细胞学家的结果,IRCETE诊断类别解释的准确率为97.3%。结论:在没有ROSE的情况下,IRCETE可以作为MOSE的补充替代方法,具有较高的准确率。
本文章由计算机程序翻译,如有差异,请以英文原文为准。

In-room cytologic evaluation by trained endosonographer for determination of procedure end in endoscopic ultrasound-guided fine needle biopsy of solid pancreatic lesions: a prospective study in Taiwan.

In-room cytologic evaluation by trained endosonographer for determination of procedure end in endoscopic ultrasound-guided fine needle biopsy of solid pancreatic lesions: a prospective study in Taiwan.

In-room cytologic evaluation by trained endosonographer for determination of procedure end in endoscopic ultrasound-guided fine needle biopsy of solid pancreatic lesions: a prospective study in Taiwan.

In-room cytologic evaluation by trained endosonographer for determination of procedure end in endoscopic ultrasound-guided fine needle biopsy of solid pancreatic lesions: a prospective study in Taiwan.

Background/aims: Endoscopic ultrasound-guided fine needle biopsy (EUS-FNB) is an essential tool for tissue acquisition in solid pancreatic tumors. Rapid on-site evaluation (ROSE) by cytologists ensures diagnostic accuracy. However, the universal application of the ROSE is limited by its availability. Therefore, we aimed to investigate the feasibility of determining the end of the procedure based on the results of in-room cytological evaluation by trained endosonographers (IRCETE).

Methods: A training course focusing on the cytological interpretation of common pancreatic tumors was provided to the three endosonographers. After training, the decision to terminate EUS-FNB was made based on IRCETE results. The diagnostic accuracy, concordance rate of diagnostic categories, and sample adequacy were compared with those determined by board-certified cytologists and macroscopic on-site evaluation (MOSE).

Results: We enrolled 65 patients with solid pancreatic tumors, most of whom were malignant (86.2%). The diagnostic accuracy was 90.8% when the end of the procedure was determined based on IRCETE, compared to 87.7% and 98.5% when determined by MOSE and cytologists, respectively (p=0.060). Based on the cytologists' results, the accuracy of IRCETE in diagnostic category interpretation was 97.3%.

Conclusions: In the absence of ROSE, IRCETE can serve as a supplementary alternative to MOSE in determining the end of tissue sampling with a high accuracy rate.

求助全文
通过发布文献求助,成功后即可免费获取论文全文。 去求助
来源期刊
Clinical Endoscopy
Clinical Endoscopy GASTROENTEROLOGY & HEPATOLOGY-
CiteScore
4.40
自引率
8.00%
发文量
95
审稿时长
26 weeks
×
引用
GB/T 7714-2015
复制
MLA
复制
APA
复制
导出至
BibTeX EndNote RefMan NoteFirst NoteExpress
×
提示
您的信息不完整,为了账户安全,请先补充。
现在去补充
×
提示
您因"违规操作"
具体请查看互助需知
我知道了
×
提示
确定
请完成安全验证×
copy
已复制链接
快去分享给好友吧!
我知道了
右上角分享
点击右上角分享
0
联系我们:info@booksci.cn Book学术提供免费学术资源搜索服务,方便国内外学者检索中英文文献。致力于提供最便捷和优质的服务体验。 Copyright © 2023 布克学术 All rights reserved.
京ICP备2023020795号-1
ghs 京公网安备 11010802042870号
Book学术文献互助
Book学术文献互助群
群 号:604180095
Book学术官方微信