急性髓性白血病患者的毛霉病引起脾梗死、胃瘘和脑脓肿1例报告。

IF 0.8 Q4 INFECTIOUS DISEASES
Case Reports in Infectious Diseases Pub Date : 2024-12-18 eCollection Date: 2024-01-01 DOI:10.1155/crdi/4079965
Fernando S da Silveira, Rafael Brito Foureaux Ribeiro, Sandra Lucia Branco Mendes Coutinho, Evelin Soares de Brito, Jacques F Meis, Marcela Santos Corrêa da Costa, Julival Fagundes Ribeiro, Tazio Vanni
{"title":"急性髓性白血病患者的毛霉病引起脾梗死、胃瘘和脑脓肿1例报告。","authors":"Fernando S da Silveira, Rafael Brito Foureaux Ribeiro, Sandra Lucia Branco Mendes Coutinho, Evelin Soares de Brito, Jacques F Meis, Marcela Santos Corrêa da Costa, Julival Fagundes Ribeiro, Tazio Vanni","doi":"10.1155/crdi/4079965","DOIUrl":null,"url":null,"abstract":"<p><p>Invasive mucormycosis is an aggressive fungal infection characterized by rapid progression, primarily impacting immunocompromised individuals. Herein, we report a case of splenic infarction in association with gastrointestinal fistula and brain abscess as a rare presentation of mucormycosis biopsy, proven in a 56-year-old patient diagnosed with acute myeloid leukemia. The patient initially sought medical attention with a 3-week history of fever, night sweats, and malaise. Considering the chest computed tomography findings compatible with fungal disease and neutropenia, he underwent broad-spectrum antifungal therapy. Following the occurrence of splenic infarctions and a gastric fistula, the patient underwent a partial gastrectomy and splenectomy. Despite the interventions, the patient did not have a successful outcome and died on the second postoperative day. This case highlights the importance of timely suspicion, immediate antifungal therapy, and surgical intervention to improve the survival prospects of patients with multifaceted manifestations of mucormycosis.</p>","PeriodicalId":9608,"journal":{"name":"Case Reports in Infectious Diseases","volume":"2024 ","pages":"4079965"},"PeriodicalIF":0.8000,"publicationDate":"2024-12-18","publicationTypes":"Journal Article","fieldsOfStudy":null,"isOpenAccess":false,"openAccessPdf":"https://www.ncbi.nlm.nih.gov/pmc/articles/PMC11669425/pdf/","citationCount":"0","resultStr":"{\"title\":\"Mucormycosis Causing Splenic Infarction, Gastric Fistula, and Brain Abscess in a Patient With Acute Myeloid Leukemia: A Case Report.\",\"authors\":\"Fernando S da Silveira, Rafael Brito Foureaux Ribeiro, Sandra Lucia Branco Mendes Coutinho, Evelin Soares de Brito, Jacques F Meis, Marcela Santos Corrêa da Costa, Julival Fagundes Ribeiro, Tazio Vanni\",\"doi\":\"10.1155/crdi/4079965\",\"DOIUrl\":null,\"url\":null,\"abstract\":\"<p><p>Invasive mucormycosis is an aggressive fungal infection characterized by rapid progression, primarily impacting immunocompromised individuals. Herein, we report a case of splenic infarction in association with gastrointestinal fistula and brain abscess as a rare presentation of mucormycosis biopsy, proven in a 56-year-old patient diagnosed with acute myeloid leukemia. The patient initially sought medical attention with a 3-week history of fever, night sweats, and malaise. Considering the chest computed tomography findings compatible with fungal disease and neutropenia, he underwent broad-spectrum antifungal therapy. Following the occurrence of splenic infarctions and a gastric fistula, the patient underwent a partial gastrectomy and splenectomy. Despite the interventions, the patient did not have a successful outcome and died on the second postoperative day. This case highlights the importance of timely suspicion, immediate antifungal therapy, and surgical intervention to improve the survival prospects of patients with multifaceted manifestations of mucormycosis.</p>\",\"PeriodicalId\":9608,\"journal\":{\"name\":\"Case Reports in Infectious Diseases\",\"volume\":\"2024 \",\"pages\":\"4079965\"},\"PeriodicalIF\":0.8000,\"publicationDate\":\"2024-12-18\",\"publicationTypes\":\"Journal Article\",\"fieldsOfStudy\":null,\"isOpenAccess\":false,\"openAccessPdf\":\"https://www.ncbi.nlm.nih.gov/pmc/articles/PMC11669425/pdf/\",\"citationCount\":\"0\",\"resultStr\":null,\"platform\":\"Semanticscholar\",\"paperid\":null,\"PeriodicalName\":\"Case Reports in Infectious Diseases\",\"FirstCategoryId\":\"1085\",\"ListUrlMain\":\"https://doi.org/10.1155/crdi/4079965\",\"RegionNum\":0,\"RegionCategory\":null,\"ArticlePicture\":[],\"TitleCN\":null,\"AbstractTextCN\":null,\"PMCID\":null,\"EPubDate\":\"2024/1/1 0:00:00\",\"PubModel\":\"eCollection\",\"JCR\":\"Q4\",\"JCRName\":\"INFECTIOUS DISEASES\",\"Score\":null,\"Total\":0}","platform":"Semanticscholar","paperid":null,"PeriodicalName":"Case Reports in Infectious Diseases","FirstCategoryId":"1085","ListUrlMain":"https://doi.org/10.1155/crdi/4079965","RegionNum":0,"RegionCategory":null,"ArticlePicture":[],"TitleCN":null,"AbstractTextCN":null,"PMCID":null,"EPubDate":"2024/1/1 0:00:00","PubModel":"eCollection","JCR":"Q4","JCRName":"INFECTIOUS DISEASES","Score":null,"Total":0}
引用次数: 0

摘要

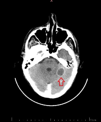
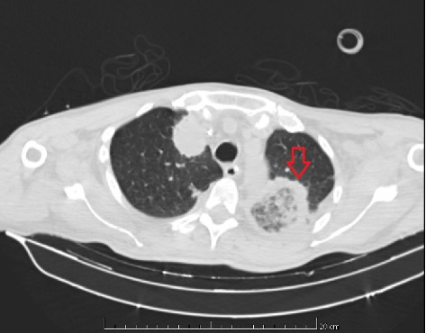
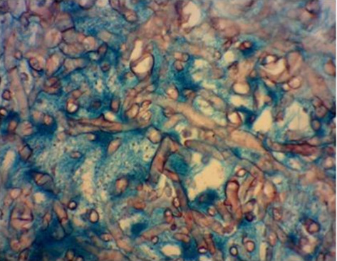
侵袭性毛霉病是一种侵袭性真菌感染,其特点是进展迅速,主要影响免疫功能低下的个体。在此,我们报告一例脾梗死合并胃肠道瘘和脑脓肿的病例,这是一种罕见的毛霉病活检的表现,在一名56岁的急性髓性白血病患者中得到证实。患者最初就诊时有3周的发热、盗汗和不适病史。考虑到胸部计算机断层扫描结果与真菌疾病和中性粒细胞减少症相符,他接受了广谱抗真菌治疗。在发生脾梗死和胃瘘后,患者接受了部分胃切除术和脾切除术。尽管采取了干预措施,但患者并没有取得成功的结果,并于术后第二天死亡。该病例强调了及时怀疑、立即抗真菌治疗和手术干预的重要性,以提高毛霉病多面表现患者的生存前景。
本文章由计算机程序翻译,如有差异,请以英文原文为准。

Mucormycosis Causing Splenic Infarction, Gastric Fistula, and Brain Abscess in a Patient With Acute Myeloid Leukemia: A Case Report.

Mucormycosis Causing Splenic Infarction, Gastric Fistula, and Brain Abscess in a Patient With Acute Myeloid Leukemia: A Case Report.

Mucormycosis Causing Splenic Infarction, Gastric Fistula, and Brain Abscess in a Patient With Acute Myeloid Leukemia: A Case Report.

Mucormycosis Causing Splenic Infarction, Gastric Fistula, and Brain Abscess in a Patient With Acute Myeloid Leukemia: A Case Report.

Invasive mucormycosis is an aggressive fungal infection characterized by rapid progression, primarily impacting immunocompromised individuals. Herein, we report a case of splenic infarction in association with gastrointestinal fistula and brain abscess as a rare presentation of mucormycosis biopsy, proven in a 56-year-old patient diagnosed with acute myeloid leukemia. The patient initially sought medical attention with a 3-week history of fever, night sweats, and malaise. Considering the chest computed tomography findings compatible with fungal disease and neutropenia, he underwent broad-spectrum antifungal therapy. Following the occurrence of splenic infarctions and a gastric fistula, the patient underwent a partial gastrectomy and splenectomy. Despite the interventions, the patient did not have a successful outcome and died on the second postoperative day. This case highlights the importance of timely suspicion, immediate antifungal therapy, and surgical intervention to improve the survival prospects of patients with multifaceted manifestations of mucormycosis.

求助全文
通过发布文献求助,成功后即可免费获取论文全文。 去求助
来源期刊
自引率
0.00%
发文量
64
审稿时长
13 weeks
×
引用
GB/T 7714-2015
复制
MLA
复制
APA
复制
导出至
BibTeX EndNote RefMan NoteFirst NoteExpress
×
提示
您的信息不完整,为了账户安全,请先补充。
现在去补充
×
提示
您因"违规操作"
具体请查看互助需知
我知道了
×
提示
确定
请完成安全验证×
copy
已复制链接
快去分享给好友吧!
我知道了
右上角分享
点击右上角分享
0
联系我们:info@booksci.cn Book学术提供免费学术资源搜索服务,方便国内外学者检索中英文文献。致力于提供最便捷和优质的服务体验。 Copyright © 2023 布克学术 All rights reserved.
京ICP备2023020795号-1
ghs 京公网安备 11010802042870号
Book学术文献互助
Book学术文献互助群
群 号:604180095
Book学术官方微信