羊驼胃溃疡相关的腺癌和鳞状细胞癌。

IF 3.9 2区 综合性期刊 Q1 MULTIDISCIPLINARY SCIENCES
Saskia Neubert, Matthias Gerhard Wagener, Martin Ganter, Christina Puff
{"title":"羊驼胃溃疡相关的腺癌和鳞状细胞癌。","authors":"Saskia Neubert, Matthias Gerhard Wagener, Martin Ganter, Christina Puff","doi":"10.1038/s41598-024-71079-x","DOIUrl":null,"url":null,"abstract":"<p><p>In pathological examinations, gastric ulcers are often detected in South American camelids. The aetiology cannot be clarified in every case. However, tumour-related gastric ulcers are observed repeatedly. This study reports clinical, laboratory and pathological findings in six alpacas, three each with adenocarcinoma- and squamous cell carcinoma-associated gastric ulcers. Clinically they were presented with general symptoms like emaciation, anorexia and recumbency. Laboratory findings of these animals were non-specific. All animals were at least nine years old. The adenocarcinomas as well as the squamous cell carcinomas were metastasised in various organs, especially in the lymph nodes. Two adenocarcinoma-associated gastric ulcers were perforated. In summary, squamous cell carcinomas and adenocarcinomas can lead to ulcerative lesions in the gastrointestinal tract. Although neoplasms are rare overall, they should be considered as a possible differential diagnosis in the case of non-specific symptoms. In particular, older animals seem to be affected more frequently.</p>","PeriodicalId":21811,"journal":{"name":"Scientific Reports","volume":"14 1","pages":"30586"},"PeriodicalIF":3.9000,"publicationDate":"2024-12-23","publicationTypes":"Journal Article","fieldsOfStudy":null,"isOpenAccess":false,"openAccessPdf":"https://www.ncbi.nlm.nih.gov/pmc/articles/PMC11666737/pdf/","citationCount":"0","resultStr":"{\"title\":\"Adenocarcinoma and squamous cell carcinoma associated with gastric ulcers in alpacas.\",\"authors\":\"Saskia Neubert, Matthias Gerhard Wagener, Martin Ganter, Christina Puff\",\"doi\":\"10.1038/s41598-024-71079-x\",\"DOIUrl\":null,\"url\":null,\"abstract\":\"<p><p>In pathological examinations, gastric ulcers are often detected in South American camelids. The aetiology cannot be clarified in every case. However, tumour-related gastric ulcers are observed repeatedly. This study reports clinical, laboratory and pathological findings in six alpacas, three each with adenocarcinoma- and squamous cell carcinoma-associated gastric ulcers. Clinically they were presented with general symptoms like emaciation, anorexia and recumbency. Laboratory findings of these animals were non-specific. All animals were at least nine years old. The adenocarcinomas as well as the squamous cell carcinomas were metastasised in various organs, especially in the lymph nodes. Two adenocarcinoma-associated gastric ulcers were perforated. In summary, squamous cell carcinomas and adenocarcinomas can lead to ulcerative lesions in the gastrointestinal tract. Although neoplasms are rare overall, they should be considered as a possible differential diagnosis in the case of non-specific symptoms. In particular, older animals seem to be affected more frequently.</p>\",\"PeriodicalId\":21811,\"journal\":{\"name\":\"Scientific Reports\",\"volume\":\"14 1\",\"pages\":\"30586\"},\"PeriodicalIF\":3.9000,\"publicationDate\":\"2024-12-23\",\"publicationTypes\":\"Journal Article\",\"fieldsOfStudy\":null,\"isOpenAccess\":false,\"openAccessPdf\":\"https://www.ncbi.nlm.nih.gov/pmc/articles/PMC11666737/pdf/\",\"citationCount\":\"0\",\"resultStr\":null,\"platform\":\"Semanticscholar\",\"paperid\":null,\"PeriodicalName\":\"Scientific Reports\",\"FirstCategoryId\":\"103\",\"ListUrlMain\":\"https://doi.org/10.1038/s41598-024-71079-x\",\"RegionNum\":2,\"RegionCategory\":\"综合性期刊\",\"ArticlePicture\":[],\"TitleCN\":null,\"AbstractTextCN\":null,\"PMCID\":null,\"EPubDate\":\"\",\"PubModel\":\"\",\"JCR\":\"Q1\",\"JCRName\":\"MULTIDISCIPLINARY SCIENCES\",\"Score\":null,\"Total\":0}","platform":"Semanticscholar","paperid":null,"PeriodicalName":"Scientific Reports","FirstCategoryId":"103","ListUrlMain":"https://doi.org/10.1038/s41598-024-71079-x","RegionNum":2,"RegionCategory":"综合性期刊","ArticlePicture":[],"TitleCN":null,"AbstractTextCN":null,"PMCID":null,"EPubDate":"","PubModel":"","JCR":"Q1","JCRName":"MULTIDISCIPLINARY SCIENCES","Score":null,"Total":0}
引用次数: 0

摘要

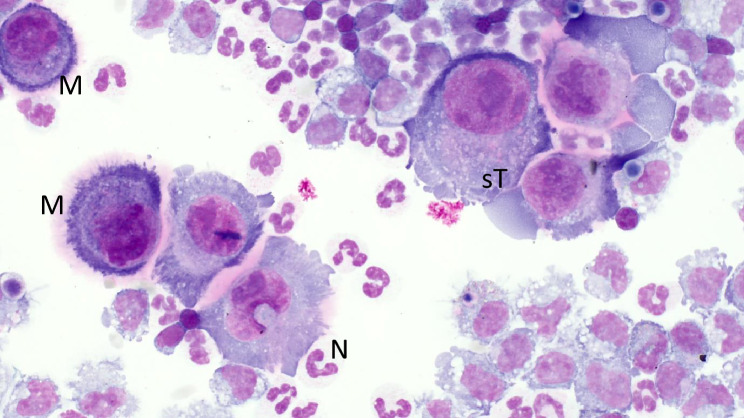
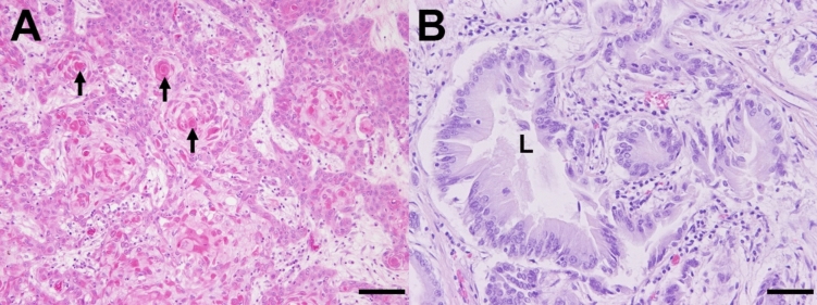
在病理检查中,胃溃疡经常在南美骆驼中发现。病因不可能在每一个病例中都得到澄清。然而,反复观察肿瘤相关胃溃疡。本研究报告了6只羊驼的临床、实验室和病理结果,其中3只羊驼患有腺癌和鳞状细胞癌相关的胃溃疡。临床表现为消瘦、厌食、躺卧等一般症状。这些动物的实验室结果是非特异性的。所有的动物都至少9岁。腺癌和鳞状细胞癌在各器官转移,尤其是在淋巴结转移。2例腺癌相关胃溃疡穿孔。总之,鳞状细胞癌和腺癌可导致胃肠道溃疡性病变。虽然肿瘤总体上是罕见的,但在非特异性症状的情况下,它们应被视为可能的鉴别诊断。特别是,年龄较大的动物似乎更容易受到影响。
本文章由计算机程序翻译,如有差异,请以英文原文为准。

Adenocarcinoma and squamous cell carcinoma associated with gastric ulcers in alpacas.

Adenocarcinoma and squamous cell carcinoma associated with gastric ulcers in alpacas.

Adenocarcinoma and squamous cell carcinoma associated with gastric ulcers in alpacas.

Adenocarcinoma and squamous cell carcinoma associated with gastric ulcers in alpacas.

In pathological examinations, gastric ulcers are often detected in South American camelids. The aetiology cannot be clarified in every case. However, tumour-related gastric ulcers are observed repeatedly. This study reports clinical, laboratory and pathological findings in six alpacas, three each with adenocarcinoma- and squamous cell carcinoma-associated gastric ulcers. Clinically they were presented with general symptoms like emaciation, anorexia and recumbency. Laboratory findings of these animals were non-specific. All animals were at least nine years old. The adenocarcinomas as well as the squamous cell carcinomas were metastasised in various organs, especially in the lymph nodes. Two adenocarcinoma-associated gastric ulcers were perforated. In summary, squamous cell carcinomas and adenocarcinomas can lead to ulcerative lesions in the gastrointestinal tract. Although neoplasms are rare overall, they should be considered as a possible differential diagnosis in the case of non-specific symptoms. In particular, older animals seem to be affected more frequently.

求助全文
通过发布文献求助,成功后即可免费获取论文全文。 去求助
来源期刊
Scientific Reports
Scientific Reports Natural Science Disciplines-
CiteScore
7.50
自引率
4.30%
发文量
19567
审稿时长
3.9 months
期刊介绍: We publish original research from all areas of the natural sciences, psychology, medicine and engineering. You can learn more about what we publish by browsing our specific scientific subject areas below or explore Scientific Reports by browsing all articles and collections. Scientific Reports has a 2-year impact factor: 4.380 (2021), and is the 6th most-cited journal in the world, with more than 540,000 citations in 2020 (Clarivate Analytics, 2021). •Engineering Engineering covers all aspects of engineering, technology, and applied science. It plays a crucial role in the development of technologies to address some of the world''s biggest challenges, helping to save lives and improve the way we live. •Physical sciences Physical sciences are those academic disciplines that aim to uncover the underlying laws of nature — often written in the language of mathematics. It is a collective term for areas of study including astronomy, chemistry, materials science and physics. •Earth and environmental sciences Earth and environmental sciences cover all aspects of Earth and planetary science and broadly encompass solid Earth processes, surface and atmospheric dynamics, Earth system history, climate and climate change, marine and freshwater systems, and ecology. It also considers the interactions between humans and these systems. •Biological sciences Biological sciences encompass all the divisions of natural sciences examining various aspects of vital processes. The concept includes anatomy, physiology, cell biology, biochemistry and biophysics, and covers all organisms from microorganisms, animals to plants. •Health sciences The health sciences study health, disease and healthcare. This field of study aims to develop knowledge, interventions and technology for use in healthcare to improve the treatment of patients.
×
引用
GB/T 7714-2015
复制
MLA
复制
APA
复制
导出至
BibTeX EndNote RefMan NoteFirst NoteExpress
×
提示
您的信息不完整,为了账户安全,请先补充。
现在去补充
×
提示
您因"违规操作"
具体请查看互助需知
我知道了
×
提示
确定
请完成安全验证×
copy
已复制链接
快去分享给好友吧!
我知道了
右上角分享
点击右上角分享
0
联系我们:info@booksci.cn Book学术提供免费学术资源搜索服务,方便国内外学者检索中英文文献。致力于提供最便捷和优质的服务体验。 Copyright © 2023 布克学术 All rights reserved.
京ICP备2023020795号-1
ghs 京公网安备 11010802042870号
Book学术文献互助
Book学术文献互助群
群 号:604180095
Book学术官方微信