青少年有症状的柔韧性扁平足的距下关节挛缩:一项26英尺的前瞻性研究。

Mohammad Alkhatatba, Suhaib Bani Essa, Moawiah Khatatbeh, Ahmad Radaideh, Hamzeh Ziad Audat, Ahmad Bani Younes, Mutaz Alrawashdeh, Jehad Abualadas, Naser Obeidat, Jamal Al-Omari, Yazan Anaqreh
{"title":"青少年有症状的柔韧性扁平足的距下关节挛缩:一项26英尺的前瞻性研究。","authors":"Mohammad Alkhatatba, Suhaib Bani Essa, Moawiah Khatatbeh, Ahmad Radaideh, Hamzeh Ziad Audat, Ahmad Bani Younes, Mutaz Alrawashdeh, Jehad Abualadas, Naser Obeidat, Jamal Al-Omari, Yazan Anaqreh","doi":"10.5455/msm.2024.36.131-136","DOIUrl":null,"url":null,"abstract":"<p><strong>Background: </strong>Flexible flatfoot is a normal finding in infants and the arch is shaped spontaneously in most children before the age of 10 years. Flexible flatfoot is a common deformity in both adolescent and adult populations.</p><p><strong>Objective: </strong>This prospective study aims to assess the functional and radiological outcomes of subtalar arthroereisis in adolescent patients with symptomatic flexible flatfoot.</p><p><strong>Methods: </strong>This is a prospective study and included 26 feet in 19 patients who underwent subtalar arthroereisis for symptomatic flexible flatfeet deformity. Preoperative and postoperative functional assessment based on the American Orthopedic Foot and Ankle Society (AOFAS) hindfoot scale. Radiographic parameters included preoperative and postoperative Kite`s angle, talonavicular coverage angle, Anterior-Posterior talo-1st metatarsal angle, Meary`s angle, talar declination angle, calcaneal inclination angle and lateral talocalcaneal angle.</p><p><strong>Results: </strong>The mean follow-up period was 22.5±9.4 months and the mean preoperative AOFAS score was 54.6±6.0, while the mean AOFAS score at the last follow-up visit was 86.3±3.9 (P<0.001).The mean preoperative and postoperative radiological measurements were 19.0°±8.2° and 7.4°±3.9° for the AP Talo-1st metatarsal angle (P<0.001); 23.6°±9.1° and 8.0°±4.0° for talonavicular coverage angle (P<0.001); 35.4°±3.7° and 24.1°±3.4° for Kite`s angle (P<0.003); 22.4°±6.1° and 7.5°±3.7° for Meary`s angle (P<0.001); 41.0°±4.4° and 25.2°±7.1° for talar declination angle (P<0.001); 13.5°±3.7° and 21.3°±3.6° for calcaneal inclination angle (P<0.001) and 52.4°±7.2° and 42.9°±4.8° for lateral talocalcaneal angle (P<0.041) respectively.</p><p><strong>Conclusion: </strong>Subtalar arthroereisis is an effective and minimally invasive procedure that showed clinical and radiological improvement for symptomatic flexible flatfoot in our study group.</p>","PeriodicalId":94128,"journal":{"name":"Materia socio-medica","volume":"36 2","pages":"131-136"},"PeriodicalIF":0.0000,"publicationDate":"2024-01-01","publicationTypes":"Journal Article","fieldsOfStudy":null,"isOpenAccess":false,"openAccessPdf":"https://www.ncbi.nlm.nih.gov/pmc/articles/PMC11663004/pdf/","citationCount":"0","resultStr":"{\"title\":\"Subtalar Arthroereisis for Symptomatic Flexible Flatfoot in Adolescents: A Prospective Study of 26 Feet.\",\"authors\":\"Mohammad Alkhatatba, Suhaib Bani Essa, Moawiah Khatatbeh, Ahmad Radaideh, Hamzeh Ziad Audat, Ahmad Bani Younes, Mutaz Alrawashdeh, Jehad Abualadas, Naser Obeidat, Jamal Al-Omari, Yazan Anaqreh\",\"doi\":\"10.5455/msm.2024.36.131-136\",\"DOIUrl\":null,\"url\":null,\"abstract\":\"<p><strong>Background: </strong>Flexible flatfoot is a normal finding in infants and the arch is shaped spontaneously in most children before the age of 10 years. Flexible flatfoot is a common deformity in both adolescent and adult populations.</p><p><strong>Objective: </strong>This prospective study aims to assess the functional and radiological outcomes of subtalar arthroereisis in adolescent patients with symptomatic flexible flatfoot.</p><p><strong>Methods: </strong>This is a prospective study and included 26 feet in 19 patients who underwent subtalar arthroereisis for symptomatic flexible flatfeet deformity. Preoperative and postoperative functional assessment based on the American Orthopedic Foot and Ankle Society (AOFAS) hindfoot scale. Radiographic parameters included preoperative and postoperative Kite`s angle, talonavicular coverage angle, Anterior-Posterior talo-1st metatarsal angle, Meary`s angle, talar declination angle, calcaneal inclination angle and lateral talocalcaneal angle.</p><p><strong>Results: </strong>The mean follow-up period was 22.5±9.4 months and the mean preoperative AOFAS score was 54.6±6.0, while the mean AOFAS score at the last follow-up visit was 86.3±3.9 (P<0.001).The mean preoperative and postoperative radiological measurements were 19.0°±8.2° and 7.4°±3.9° for the AP Talo-1st metatarsal angle (P<0.001); 23.6°±9.1° and 8.0°±4.0° for talonavicular coverage angle (P<0.001); 35.4°±3.7° and 24.1°±3.4° for Kite`s angle (P<0.003); 22.4°±6.1° and 7.5°±3.7° for Meary`s angle (P<0.001); 41.0°±4.4° and 25.2°±7.1° for talar declination angle (P<0.001); 13.5°±3.7° and 21.3°±3.6° for calcaneal inclination angle (P<0.001) and 52.4°±7.2° and 42.9°±4.8° for lateral talocalcaneal angle (P<0.041) respectively.</p><p><strong>Conclusion: </strong>Subtalar arthroereisis is an effective and minimally invasive procedure that showed clinical and radiological improvement for symptomatic flexible flatfoot in our study group.</p>\",\"PeriodicalId\":94128,\"journal\":{\"name\":\"Materia socio-medica\",\"volume\":\"36 2\",\"pages\":\"131-136\"},\"PeriodicalIF\":0.0000,\"publicationDate\":\"2024-01-01\",\"publicationTypes\":\"Journal Article\",\"fieldsOfStudy\":null,\"isOpenAccess\":false,\"openAccessPdf\":\"https://www.ncbi.nlm.nih.gov/pmc/articles/PMC11663004/pdf/\",\"citationCount\":\"0\",\"resultStr\":null,\"platform\":\"Semanticscholar\",\"paperid\":null,\"PeriodicalName\":\"Materia socio-medica\",\"FirstCategoryId\":\"1085\",\"ListUrlMain\":\"https://doi.org/10.5455/msm.2024.36.131-136\",\"RegionNum\":0,\"RegionCategory\":null,\"ArticlePicture\":[],\"TitleCN\":null,\"AbstractTextCN\":null,\"PMCID\":null,\"EPubDate\":\"\",\"PubModel\":\"\",\"JCR\":\"\",\"JCRName\":\"\",\"Score\":null,\"Total\":0}","platform":"Semanticscholar","paperid":null,"PeriodicalName":"Materia socio-medica","FirstCategoryId":"1085","ListUrlMain":"https://doi.org/10.5455/msm.2024.36.131-136","RegionNum":0,"RegionCategory":null,"ArticlePicture":[],"TitleCN":null,"AbstractTextCN":null,"PMCID":null,"EPubDate":"","PubModel":"","JCR":"","JCRName":"","Score":null,"Total":0}
引用次数: 0

摘要

背景:柔性扁平足在婴儿中是一种正常的发现,大多数10岁前的儿童的足弓是自发形成的。柔性扁平足是青少年和成人中常见的畸形。目的:本前瞻性研究旨在评估青少年有症状的柔性扁平足患者的距下关节挛缩的功能和影像学结果。方法:这是一项前瞻性研究,纳入了19例因症状性柔韧性扁平足畸形而行距下关节挛缩的26脚患者。术前和术后功能评估基于美国骨科足踝协会(AOFAS)后足量表。影像学参数包括术前术后Kite角、距骨覆盖角、距骨-第一跖前后角、Meary角、距骨偏角、跟骨倾斜角和距骨外侧角。结果:平均随访时间为22.5±9.4个月,术前平均AOFAS评分为54.6±6.0分,末次随访时平均AOFAS评分为86.3±3.9分(p)。结论:距下关节融合术是一种有效的微创手术,对我们研究组的症状性柔韧性扁平足有临床和影像学改善。
本文章由计算机程序翻译,如有差异,请以英文原文为准。

Subtalar Arthroereisis for Symptomatic Flexible Flatfoot in Adolescents: A Prospective Study of 26 Feet.

Subtalar Arthroereisis for Symptomatic Flexible Flatfoot in Adolescents: A Prospective Study of 26 Feet.

Subtalar Arthroereisis for Symptomatic Flexible Flatfoot in Adolescents: A Prospective Study of 26 Feet.

Subtalar Arthroereisis for Symptomatic Flexible Flatfoot in Adolescents: A Prospective Study of 26 Feet.

Background: Flexible flatfoot is a normal finding in infants and the arch is shaped spontaneously in most children before the age of 10 years. Flexible flatfoot is a common deformity in both adolescent and adult populations.

Objective: This prospective study aims to assess the functional and radiological outcomes of subtalar arthroereisis in adolescent patients with symptomatic flexible flatfoot.

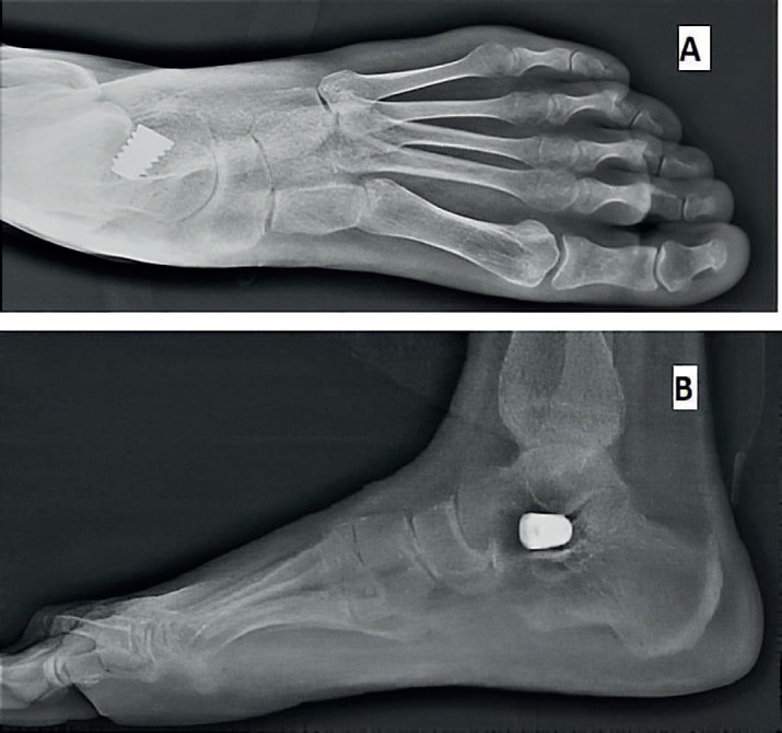
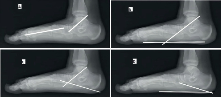
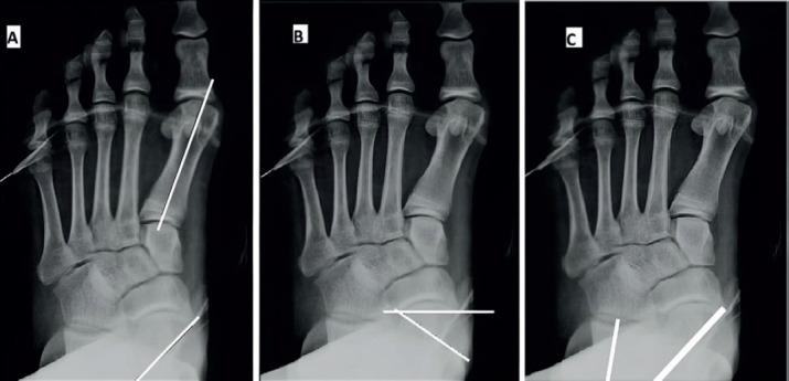
Methods: This is a prospective study and included 26 feet in 19 patients who underwent subtalar arthroereisis for symptomatic flexible flatfeet deformity. Preoperative and postoperative functional assessment based on the American Orthopedic Foot and Ankle Society (AOFAS) hindfoot scale. Radiographic parameters included preoperative and postoperative Kite`s angle, talonavicular coverage angle, Anterior-Posterior talo-1st metatarsal angle, Meary`s angle, talar declination angle, calcaneal inclination angle and lateral talocalcaneal angle.

Results: The mean follow-up period was 22.5±9.4 months and the mean preoperative AOFAS score was 54.6±6.0, while the mean AOFAS score at the last follow-up visit was 86.3±3.9 (P<0.001).The mean preoperative and postoperative radiological measurements were 19.0°±8.2° and 7.4°±3.9° for the AP Talo-1st metatarsal angle (P<0.001); 23.6°±9.1° and 8.0°±4.0° for talonavicular coverage angle (P<0.001); 35.4°±3.7° and 24.1°±3.4° for Kite`s angle (P<0.003); 22.4°±6.1° and 7.5°±3.7° for Meary`s angle (P<0.001); 41.0°±4.4° and 25.2°±7.1° for talar declination angle (P<0.001); 13.5°±3.7° and 21.3°±3.6° for calcaneal inclination angle (P<0.001) and 52.4°±7.2° and 42.9°±4.8° for lateral talocalcaneal angle (P<0.041) respectively.

Conclusion: Subtalar arthroereisis is an effective and minimally invasive procedure that showed clinical and radiological improvement for symptomatic flexible flatfoot in our study group.

求助全文
通过发布文献求助,成功后即可免费获取论文全文。 去求助
来源期刊
CiteScore
1.80
自引率
0.00%
发文量
0
×
引用
GB/T 7714-2015
复制
MLA
复制
APA
复制
导出至
BibTeX EndNote RefMan NoteFirst NoteExpress
×
提示
您的信息不完整,为了账户安全,请先补充。
现在去补充
×
提示
您因"违规操作"
具体请查看互助需知
我知道了
×
提示
确定
请完成安全验证×
copy
已复制链接
快去分享给好友吧!
我知道了
右上角分享
点击右上角分享
0
联系我们:info@booksci.cn Book学术提供免费学术资源搜索服务,方便国内外学者检索中英文文献。致力于提供最便捷和优质的服务体验。 Copyright © 2023 布克学术 All rights reserved.
京ICP备2023020795号-1
ghs 京公网安备 11010802042870号
Book学术文献互助
Book学术文献互助群
群 号:604180095
Book学术官方微信