模拟恶性周围神经鞘肿瘤的上颚细胞神经鞘瘤:一场诊断马拉松。

Manas Bajpai, Amit Mani, Saurabh L Sabnis, Vatchala Rani Rm
{"title":"模拟恶性周围神经鞘肿瘤的上颚细胞神经鞘瘤:一场诊断马拉松。","authors":"Manas Bajpai, Amit Mani, Saurabh L Sabnis, Vatchala Rani Rm","doi":"10.30476/dentjods.2024.101035.2265","DOIUrl":null,"url":null,"abstract":"<p><p>Schwannomas are considered benign soft tissue tumors that originate from Schwann cells. Oral Schwannomas are rare and account for only 1% of all Schwannomas. Cellularschwannoma (CS) is a rare histological variant of schwannoma, characterized by high cellularity and cellular atypia. We present a case of localized growth of palatal mucosa that imitated the features of malignant peripheral nerve sheath tumor (MPNST) on histopathological examination; it was differentiated from MPNST by the correlation of clinical, histopathological, and immunohistochemical features.</p>","PeriodicalId":73702,"journal":{"name":"Journal of dentistry (Shiraz, Iran)","volume":"25 4","pages":"383-387"},"PeriodicalIF":0.0000,"publicationDate":"2024-12-01","publicationTypes":"Journal Article","fieldsOfStudy":null,"isOpenAccess":false,"openAccessPdf":"https://www.ncbi.nlm.nih.gov/pmc/articles/PMC11662178/pdf/","citationCount":"0","resultStr":"{\"title\":\"Cellular Schwannoma of the Palate Simulating as Malignant Peripheral Nerve Sheath Tumor: A Diagnostic Marathon.\",\"authors\":\"Manas Bajpai, Amit Mani, Saurabh L Sabnis, Vatchala Rani Rm\",\"doi\":\"10.30476/dentjods.2024.101035.2265\",\"DOIUrl\":null,\"url\":null,\"abstract\":\"<p><p>Schwannomas are considered benign soft tissue tumors that originate from Schwann cells. Oral Schwannomas are rare and account for only 1% of all Schwannomas. Cellularschwannoma (CS) is a rare histological variant of schwannoma, characterized by high cellularity and cellular atypia. We present a case of localized growth of palatal mucosa that imitated the features of malignant peripheral nerve sheath tumor (MPNST) on histopathological examination; it was differentiated from MPNST by the correlation of clinical, histopathological, and immunohistochemical features.</p>\",\"PeriodicalId\":73702,\"journal\":{\"name\":\"Journal of dentistry (Shiraz, Iran)\",\"volume\":\"25 4\",\"pages\":\"383-387\"},\"PeriodicalIF\":0.0000,\"publicationDate\":\"2024-12-01\",\"publicationTypes\":\"Journal Article\",\"fieldsOfStudy\":null,\"isOpenAccess\":false,\"openAccessPdf\":\"https://www.ncbi.nlm.nih.gov/pmc/articles/PMC11662178/pdf/\",\"citationCount\":\"0\",\"resultStr\":null,\"platform\":\"Semanticscholar\",\"paperid\":null,\"PeriodicalName\":\"Journal of dentistry (Shiraz, Iran)\",\"FirstCategoryId\":\"1085\",\"ListUrlMain\":\"https://doi.org/10.30476/dentjods.2024.101035.2265\",\"RegionNum\":0,\"RegionCategory\":null,\"ArticlePicture\":[],\"TitleCN\":null,\"AbstractTextCN\":null,\"PMCID\":null,\"EPubDate\":\"\",\"PubModel\":\"\",\"JCR\":\"\",\"JCRName\":\"\",\"Score\":null,\"Total\":0}","platform":"Semanticscholar","paperid":null,"PeriodicalName":"Journal of dentistry (Shiraz, Iran)","FirstCategoryId":"1085","ListUrlMain":"https://doi.org/10.30476/dentjods.2024.101035.2265","RegionNum":0,"RegionCategory":null,"ArticlePicture":[],"TitleCN":null,"AbstractTextCN":null,"PMCID":null,"EPubDate":"","PubModel":"","JCR":"","JCRName":"","Score":null,"Total":0}
引用次数: 0

摘要

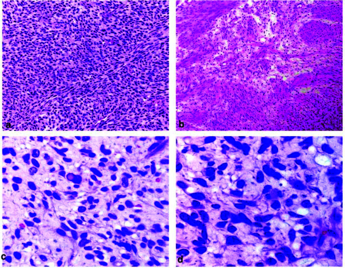
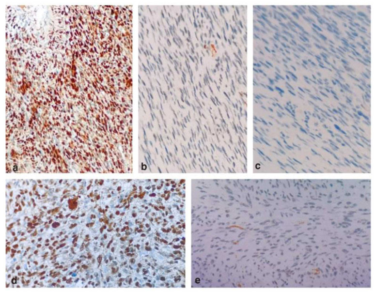
神经鞘瘤被认为是起源于雪旺细胞的良性软组织肿瘤。口腔神经鞘瘤很少见,仅占所有神经鞘瘤的1%。细胞性神经鞘瘤(CS)是一种罕见的神经鞘瘤的组织学变异,其特点是高细胞性和细胞异型性。我们报告一例腭黏膜局部生长的病例,在组织病理学检查上模仿恶性周围神经鞘瘤(MPNST)的特征;通过临床、组织病理学和免疫组织化学特征的相关性,将其与MPNST区分开来。
本文章由计算机程序翻译,如有差异,请以英文原文为准。

Cellular Schwannoma of the Palate Simulating as Malignant Peripheral Nerve Sheath Tumor: A Diagnostic Marathon.

Cellular Schwannoma of the Palate Simulating as Malignant Peripheral Nerve Sheath Tumor: A Diagnostic Marathon.

Cellular Schwannoma of the Palate Simulating as Malignant Peripheral Nerve Sheath Tumor: A Diagnostic Marathon.

Cellular Schwannoma of the Palate Simulating as Malignant Peripheral Nerve Sheath Tumor: A Diagnostic Marathon.

Schwannomas are considered benign soft tissue tumors that originate from Schwann cells. Oral Schwannomas are rare and account for only 1% of all Schwannomas. Cellularschwannoma (CS) is a rare histological variant of schwannoma, characterized by high cellularity and cellular atypia. We present a case of localized growth of palatal mucosa that imitated the features of malignant peripheral nerve sheath tumor (MPNST) on histopathological examination; it was differentiated from MPNST by the correlation of clinical, histopathological, and immunohistochemical features.

求助全文
通过发布文献求助,成功后即可免费获取论文全文。 去求助
来源期刊
CiteScore
0.50
自引率
0.00%
发文量
0
×
引用
GB/T 7714-2015
复制
MLA
复制
APA
复制
导出至
BibTeX EndNote RefMan NoteFirst NoteExpress
×
提示
您的信息不完整,为了账户安全,请先补充。
现在去补充
×
提示
您因"违规操作"
具体请查看互助需知
我知道了
×
提示
确定
请完成安全验证×
copy
已复制链接
快去分享给好友吧!
我知道了
右上角分享
点击右上角分享
0
联系我们:info@booksci.cn Book学术提供免费学术资源搜索服务,方便国内外学者检索中英文文献。致力于提供最便捷和优质的服务体验。 Copyright © 2023 布克学术 All rights reserved.
京ICP备2023020795号-1
ghs 京公网安备 11010802042870号
Book学术文献互助
Book学术文献互助群
群 号:604180095
Book学术官方微信