双侧肾母细胞瘤家族史1例报告。

IF 2.6 Q2 GENETICS & HEREDITY
Application of Clinical Genetics Pub Date : 2024-12-16 eCollection Date: 2024-01-01 DOI:10.2147/TACG.S495498
Oliwia Rdzanek, Patrycja Najda, Karolina Parysek-Wójcik, Anna Pytlik, Monika Lejman, Joanna Zawitkowska
{"title":"双侧肾母细胞瘤家族史1例报告。","authors":"Oliwia Rdzanek, Patrycja Najda, Karolina Parysek-Wójcik, Anna Pytlik, Monika Lejman, Joanna Zawitkowska","doi":"10.2147/TACG.S495498","DOIUrl":null,"url":null,"abstract":"<p><p>Wilms' tumor (WT) is the most common renal neoplasm in children. Despite its rapid growth, it is often asymptomatic. It most commonly occurs between the ages of 3 and 5, more frequently in girls. Numerous studies report an association between the occurrence of Wilms' tumor and genetic background. Treatment of bilateral Wilms' tumor (BWT) presents several challenges. Recent studies raise the issue of the influence of genetics on the development of BWT. We believe that our case report is innovative as it provides information on a rare clinical presentation and comprehensively addresses the potential impact of genetic studies on favorable treatment outcomes, which are discussed only in limited detail in the literature. The case description concerns a 2-year-old and a 5-month-old patient who presented with his mother due to a change in abdominal contour. In the medical history, the boy's mother had been treated for WT. Imaging of the abdominal cavity revealed the presence of pathological tissue changes in both kidneys. Based on this, stage V Wilms' tumor was diagnosed. The boy underwent a right-sided tumor nephrectomy followed by a left-sided heminephrectomy. He also received pre- and post-operative chemotherapy. Genetic testing revealed a deletion fragment of exon 8 and exons 9-10 on one allele of the <i>WT1</i> gene. Despite optimistic data regarding overall survival in children with WT, a significant clinical issue remains with patients experiencing disease recurrence and bilateral BWT. Radical treatment is often required for such patients, which carries long-term consequences. Identifying patients at risk for familial WT or BWT allows for relatively early intervention and effective prevention. Furthermore, certain gene variants associated with WT can be considered prognostic biomarkers.</p>","PeriodicalId":39131,"journal":{"name":"Application of Clinical Genetics","volume":"17 ","pages":"199-203"},"PeriodicalIF":2.6000,"publicationDate":"2024-12-16","publicationTypes":"Journal Article","fieldsOfStudy":null,"isOpenAccess":false,"openAccessPdf":"https://www.ncbi.nlm.nih.gov/pmc/articles/PMC11660652/pdf/","citationCount":"0","resultStr":"{\"title\":\"Bilateral Wilms Tumor - Case Report of a Patient with Family History.\",\"authors\":\"Oliwia Rdzanek, Patrycja Najda, Karolina Parysek-Wójcik, Anna Pytlik, Monika Lejman, Joanna Zawitkowska\",\"doi\":\"10.2147/TACG.S495498\",\"DOIUrl\":null,\"url\":null,\"abstract\":\"<p><p>Wilms' tumor (WT) is the most common renal neoplasm in children. Despite its rapid growth, it is often asymptomatic. It most commonly occurs between the ages of 3 and 5, more frequently in girls. Numerous studies report an association between the occurrence of Wilms' tumor and genetic background. Treatment of bilateral Wilms' tumor (BWT) presents several challenges. Recent studies raise the issue of the influence of genetics on the development of BWT. We believe that our case report is innovative as it provides information on a rare clinical presentation and comprehensively addresses the potential impact of genetic studies on favorable treatment outcomes, which are discussed only in limited detail in the literature. The case description concerns a 2-year-old and a 5-month-old patient who presented with his mother due to a change in abdominal contour. In the medical history, the boy's mother had been treated for WT. Imaging of the abdominal cavity revealed the presence of pathological tissue changes in both kidneys. Based on this, stage V Wilms' tumor was diagnosed. The boy underwent a right-sided tumor nephrectomy followed by a left-sided heminephrectomy. He also received pre- and post-operative chemotherapy. Genetic testing revealed a deletion fragment of exon 8 and exons 9-10 on one allele of the <i>WT1</i> gene. Despite optimistic data regarding overall survival in children with WT, a significant clinical issue remains with patients experiencing disease recurrence and bilateral BWT. Radical treatment is often required for such patients, which carries long-term consequences. Identifying patients at risk for familial WT or BWT allows for relatively early intervention and effective prevention. Furthermore, certain gene variants associated with WT can be considered prognostic biomarkers.</p>\",\"PeriodicalId\":39131,\"journal\":{\"name\":\"Application of Clinical Genetics\",\"volume\":\"17 \",\"pages\":\"199-203\"},\"PeriodicalIF\":2.6000,\"publicationDate\":\"2024-12-16\",\"publicationTypes\":\"Journal Article\",\"fieldsOfStudy\":null,\"isOpenAccess\":false,\"openAccessPdf\":\"https://www.ncbi.nlm.nih.gov/pmc/articles/PMC11660652/pdf/\",\"citationCount\":\"0\",\"resultStr\":null,\"platform\":\"Semanticscholar\",\"paperid\":null,\"PeriodicalName\":\"Application of Clinical Genetics\",\"FirstCategoryId\":\"1085\",\"ListUrlMain\":\"https://doi.org/10.2147/TACG.S495498\",\"RegionNum\":0,\"RegionCategory\":null,\"ArticlePicture\":[],\"TitleCN\":null,\"AbstractTextCN\":null,\"PMCID\":null,\"EPubDate\":\"2024/1/1 0:00:00\",\"PubModel\":\"eCollection\",\"JCR\":\"Q2\",\"JCRName\":\"GENETICS & HEREDITY\",\"Score\":null,\"Total\":0}","platform":"Semanticscholar","paperid":null,"PeriodicalName":"Application of Clinical Genetics","FirstCategoryId":"1085","ListUrlMain":"https://doi.org/10.2147/TACG.S495498","RegionNum":0,"RegionCategory":null,"ArticlePicture":[],"TitleCN":null,"AbstractTextCN":null,"PMCID":null,"EPubDate":"2024/1/1 0:00:00","PubModel":"eCollection","JCR":"Q2","JCRName":"GENETICS & HEREDITY","Score":null,"Total":0}
引用次数: 0

摘要

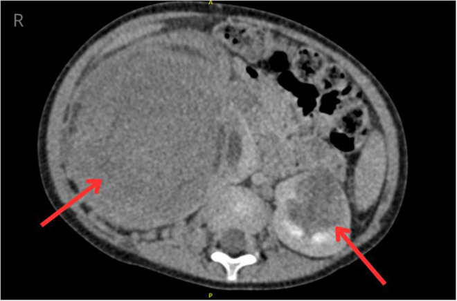
肾母细胞瘤(Wilms' tumor, WT)是儿童最常见的肾脏肿瘤。尽管它生长迅速,但它通常是无症状的。它最常见于3至5岁之间,在女孩中更为常见。大量研究报告了Wilms肿瘤的发生与遗传背景之间的联系。双侧肾母细胞瘤(BWT)的治疗提出了几个挑战。最近的研究提出了遗传对BWT发育的影响的问题。我们相信我们的病例报告是创新的,因为它提供了一种罕见的临床表现的信息,并全面地解决了遗传研究对有利治疗结果的潜在影响,这在文献中只进行了有限的详细讨论。病例描述涉及一名2岁和5个月大的患者,因腹部轮廓改变与其母亲一起就诊。在病史中,男孩的母亲曾接受过WT治疗。腹腔成像显示双肾存在病理性组织改变。在此基础上,诊断为V期Wilms肿瘤。男孩接受了右侧肿瘤肾切除术,随后左侧半肾切除术。他还接受了术前和术后化疗。基因检测显示WT1基因一个等位基因的外显子8和外显子9-10缺失。尽管对WT患儿的总体生存率数据乐观,但出现疾病复发和双侧BWT的患者仍存在一个重要的临床问题。这类患者通常需要根治性治疗,这将带来长期的后果。识别有家族性WT或BWT风险的患者允许相对早期的干预和有效的预防。此外,某些与WT相关的基因变异可以被认为是预后的生物标志物。
本文章由计算机程序翻译,如有差异,请以英文原文为准。

Bilateral Wilms Tumor - Case Report of a Patient with Family History.

Bilateral Wilms Tumor - Case Report of a Patient with Family History.

Bilateral Wilms Tumor - Case Report of a Patient with Family History.

Wilms' tumor (WT) is the most common renal neoplasm in children. Despite its rapid growth, it is often asymptomatic. It most commonly occurs between the ages of 3 and 5, more frequently in girls. Numerous studies report an association between the occurrence of Wilms' tumor and genetic background. Treatment of bilateral Wilms' tumor (BWT) presents several challenges. Recent studies raise the issue of the influence of genetics on the development of BWT. We believe that our case report is innovative as it provides information on a rare clinical presentation and comprehensively addresses the potential impact of genetic studies on favorable treatment outcomes, which are discussed only in limited detail in the literature. The case description concerns a 2-year-old and a 5-month-old patient who presented with his mother due to a change in abdominal contour. In the medical history, the boy's mother had been treated for WT. Imaging of the abdominal cavity revealed the presence of pathological tissue changes in both kidneys. Based on this, stage V Wilms' tumor was diagnosed. The boy underwent a right-sided tumor nephrectomy followed by a left-sided heminephrectomy. He also received pre- and post-operative chemotherapy. Genetic testing revealed a deletion fragment of exon 8 and exons 9-10 on one allele of the WT1 gene. Despite optimistic data regarding overall survival in children with WT, a significant clinical issue remains with patients experiencing disease recurrence and bilateral BWT. Radical treatment is often required for such patients, which carries long-term consequences. Identifying patients at risk for familial WT or BWT allows for relatively early intervention and effective prevention. Furthermore, certain gene variants associated with WT can be considered prognostic biomarkers.

求助全文
通过发布文献求助,成功后即可免费获取论文全文。 去求助
来源期刊
Application of Clinical Genetics
Application of Clinical Genetics Biochemistry, Genetics and Molecular Biology-Genetics
CiteScore
5.40
自引率
0.00%
发文量
20
审稿时长
16 weeks
×
引用
GB/T 7714-2015
复制
MLA
复制
APA
复制
导出至
BibTeX EndNote RefMan NoteFirst NoteExpress
×
提示
您的信息不完整,为了账户安全,请先补充。
现在去补充
×
提示
您因"违规操作"
具体请查看互助需知
我知道了
×
提示
确定
请完成安全验证×
copy
已复制链接
快去分享给好友吧!
我知道了
右上角分享
点击右上角分享
0
联系我们:info@booksci.cn Book学术提供免费学术资源搜索服务,方便国内外学者检索中英文文献。致力于提供最便捷和优质的服务体验。 Copyright © 2023 布克学术 All rights reserved.
京ICP备2023020795号-1
ghs 京公网安备 11010802042870号
Book学术文献互助
Book学术文献互助群
群 号:604180095
Book学术官方微信