肺外结核的不典型表现为喉部肿块。

IF 0.7 Q3 MEDICINE, GENERAL & INTERNAL
Case Reports in Medicine Pub Date : 2024-12-13 eCollection Date: 2024-01-01 DOI:10.1155/carm/9912317
Rohan Dipesh Agarwal, Mark David Marino, Matthew Joseph Whalen, Ronald J Walker
{"title":"肺外结核的不典型表现为喉部肿块。","authors":"Rohan Dipesh Agarwal, Mark David Marino, Matthew Joseph Whalen, Ronald J Walker","doi":"10.1155/carm/9912317","DOIUrl":null,"url":null,"abstract":"<p><p>Spread of Mycobacterium tuberculosis (MTB) to the larynx is exceedingly rare and can be obscured by more common conditions such as laryngeal cancer or oropharyngeal candidiasis, complicating an accurate diagnosis. Risk factors for chronic laryngeal disease, such as smoking and toxin exposure, place TB infection comparatively lower for consideration on a physician's differential. However, identifying these lesions is crucial from a medical and public health perspective to prevent community spread. We report the case of a 60-year-old male who presented with dysphonia, pharyngitis, aphasia, and significant unintentional weight loss. X-rays demonstrated focal opacities in the upper lung lobes. Laryngoscope biopsy revealed caseating granulomas and a positive culture for MTB. Laryngeal TB presents as a suspicious throat mass with nonspecific symptoms and should be thoroughly investigated by clinicians.</p>","PeriodicalId":9627,"journal":{"name":"Case Reports in Medicine","volume":"2024 ","pages":"9912317"},"PeriodicalIF":0.7000,"publicationDate":"2024-12-13","publicationTypes":"Journal Article","fieldsOfStudy":null,"isOpenAccess":false,"openAccessPdf":"https://www.ncbi.nlm.nih.gov/pmc/articles/PMC11661869/pdf/","citationCount":"0","resultStr":"{\"title\":\"Unusual Presentation of Extrapulmonary Tuberculosis as Laryngeal Mass in an Atypical Patient.\",\"authors\":\"Rohan Dipesh Agarwal, Mark David Marino, Matthew Joseph Whalen, Ronald J Walker\",\"doi\":\"10.1155/carm/9912317\",\"DOIUrl\":null,\"url\":null,\"abstract\":\"<p><p>Spread of Mycobacterium tuberculosis (MTB) to the larynx is exceedingly rare and can be obscured by more common conditions such as laryngeal cancer or oropharyngeal candidiasis, complicating an accurate diagnosis. Risk factors for chronic laryngeal disease, such as smoking and toxin exposure, place TB infection comparatively lower for consideration on a physician's differential. However, identifying these lesions is crucial from a medical and public health perspective to prevent community spread. We report the case of a 60-year-old male who presented with dysphonia, pharyngitis, aphasia, and significant unintentional weight loss. X-rays demonstrated focal opacities in the upper lung lobes. Laryngoscope biopsy revealed caseating granulomas and a positive culture for MTB. Laryngeal TB presents as a suspicious throat mass with nonspecific symptoms and should be thoroughly investigated by clinicians.</p>\",\"PeriodicalId\":9627,\"journal\":{\"name\":\"Case Reports in Medicine\",\"volume\":\"2024 \",\"pages\":\"9912317\"},\"PeriodicalIF\":0.7000,\"publicationDate\":\"2024-12-13\",\"publicationTypes\":\"Journal Article\",\"fieldsOfStudy\":null,\"isOpenAccess\":false,\"openAccessPdf\":\"https://www.ncbi.nlm.nih.gov/pmc/articles/PMC11661869/pdf/\",\"citationCount\":\"0\",\"resultStr\":null,\"platform\":\"Semanticscholar\",\"paperid\":null,\"PeriodicalName\":\"Case Reports in Medicine\",\"FirstCategoryId\":\"1085\",\"ListUrlMain\":\"https://doi.org/10.1155/carm/9912317\",\"RegionNum\":0,\"RegionCategory\":null,\"ArticlePicture\":[],\"TitleCN\":null,\"AbstractTextCN\":null,\"PMCID\":null,\"EPubDate\":\"2024/1/1 0:00:00\",\"PubModel\":\"eCollection\",\"JCR\":\"Q3\",\"JCRName\":\"MEDICINE, GENERAL & INTERNAL\",\"Score\":null,\"Total\":0}","platform":"Semanticscholar","paperid":null,"PeriodicalName":"Case Reports in Medicine","FirstCategoryId":"1085","ListUrlMain":"https://doi.org/10.1155/carm/9912317","RegionNum":0,"RegionCategory":null,"ArticlePicture":[],"TitleCN":null,"AbstractTextCN":null,"PMCID":null,"EPubDate":"2024/1/1 0:00:00","PubModel":"eCollection","JCR":"Q3","JCRName":"MEDICINE, GENERAL & INTERNAL","Score":null,"Total":0}
引用次数: 0

摘要

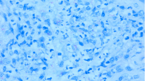
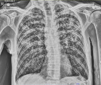
结核分枝杆菌(MTB)在喉部的传播极为罕见,可被喉癌或口咽念珠菌病等更常见的疾病所掩盖,使准确诊断复杂化。慢性喉部疾病的危险因素,如吸烟和接触毒素,使结核病感染在医生的鉴别诊断中相对较低。然而,从医学和公共卫生的角度来看,识别这些病变对于防止社区传播至关重要。我们报告的情况下,60岁的男性谁提出了发音困难,咽炎,失语,和显著无意体重下降。x线显示肺上叶局灶性混浊。喉镜活检显示干酪样肉芽肿和结核分枝杆菌阳性培养。喉部结核表现为可疑的咽喉肿块,无特异性症状,应由临床医生彻底调查。
本文章由计算机程序翻译,如有差异,请以英文原文为准。

Unusual Presentation of Extrapulmonary Tuberculosis as Laryngeal Mass in an Atypical Patient.

Unusual Presentation of Extrapulmonary Tuberculosis as Laryngeal Mass in an Atypical Patient.

Unusual Presentation of Extrapulmonary Tuberculosis as Laryngeal Mass in an Atypical Patient.

Unusual Presentation of Extrapulmonary Tuberculosis as Laryngeal Mass in an Atypical Patient.

Spread of Mycobacterium tuberculosis (MTB) to the larynx is exceedingly rare and can be obscured by more common conditions such as laryngeal cancer or oropharyngeal candidiasis, complicating an accurate diagnosis. Risk factors for chronic laryngeal disease, such as smoking and toxin exposure, place TB infection comparatively lower for consideration on a physician's differential. However, identifying these lesions is crucial from a medical and public health perspective to prevent community spread. We report the case of a 60-year-old male who presented with dysphonia, pharyngitis, aphasia, and significant unintentional weight loss. X-rays demonstrated focal opacities in the upper lung lobes. Laryngoscope biopsy revealed caseating granulomas and a positive culture for MTB. Laryngeal TB presents as a suspicious throat mass with nonspecific symptoms and should be thoroughly investigated by clinicians.

求助全文
通过发布文献求助,成功后即可免费获取论文全文。 去求助
来源期刊
Case Reports in Medicine
Case Reports in Medicine MEDICINE, GENERAL & INTERNAL-
CiteScore
1.70
自引率
0.00%
发文量
53
审稿时长
13 weeks
×
引用
GB/T 7714-2015
复制
MLA
复制
APA
复制
导出至
BibTeX EndNote RefMan NoteFirst NoteExpress
×
提示
您的信息不完整,为了账户安全,请先补充。
现在去补充
×
提示
您因"违规操作"
具体请查看互助需知
我知道了
×
提示
确定
请完成安全验证×
copy
已复制链接
快去分享给好友吧!
我知道了
右上角分享
点击右上角分享
0
联系我们:info@booksci.cn Book学术提供免费学术资源搜索服务,方便国内外学者检索中英文文献。致力于提供最便捷和优质的服务体验。 Copyright © 2023 布克学术 All rights reserved.
京ICP备2023020795号-1
ghs 京公网安备 11010802042870号
Book学术文献互助
Book学术文献互助群
群 号:604180095
Book学术官方微信