本月经验:脑脊液漏相关脑室炎1例报告

IF 3.9 4区 医学 Q1 MEDICINE, GENERAL & INTERNAL
Clinical Medicine Pub Date : 2025-01-01 Epub Date: 2024-12-18 DOI:10.1016/j.clinme.2024.100279
Amir Waheed, Faryal Amir
{"title":"本月经验:脑脊液漏相关脑室炎1例报告","authors":"Amir Waheed, Faryal Amir","doi":"10.1016/j.clinme.2024.100279","DOIUrl":null,"url":null,"abstract":"<p><p>We present a case of a 74-year-old woman with headaches, pyrexia and intermittent right-sided otorrhoea and rhinorrhoea. Her nasal discharge tested positive for beta-2-transferrin, confirming a cerebrospinal fluid (CSF) leak. High-resolution CT (HRCT) mastoids showed a defect in the right tegmen, and CSF within the middle ear and mastoid air cells. A gadolinium-enhanced MRI brain showed high signal in the occipital horns of the lateral ventricles with diffusion-weighted imaging (DWI) and a low signal with DWI-apparent diffusion coefficient (DWI-ADC), consistent with ventriculitis. She made an uneventful recovery after 6 weeks of intravenous antibiotics. The patient had surgical repair of bony defects to prevent recurrence. This highlights a rare case of ventriculitis associated with a spontaneous CSF leak, with no existing set diagnostic criteria, and high mortality. High clinical suspicion aided by appropriate imaging, and a multidisciplinary approach to management are imperative.</p>","PeriodicalId":10492,"journal":{"name":"Clinical Medicine","volume":" ","pages":"100279"},"PeriodicalIF":3.9000,"publicationDate":"2025-01-01","publicationTypes":"Journal Article","fieldsOfStudy":null,"isOpenAccess":false,"openAccessPdf":"https://www.ncbi.nlm.nih.gov/pmc/articles/PMC11761854/pdf/","citationCount":"0","resultStr":"{\"title\":\"Cerebrospinal fluid leak-associated ventriculitis - a case report.\",\"authors\":\"Amir Waheed, Faryal Amir\",\"doi\":\"10.1016/j.clinme.2024.100279\",\"DOIUrl\":null,\"url\":null,\"abstract\":\"<p><p>We present a case of a 74-year-old woman with headaches, pyrexia and intermittent right-sided otorrhoea and rhinorrhoea. Her nasal discharge tested positive for beta-2-transferrin, confirming a cerebrospinal fluid (CSF) leak. High-resolution CT (HRCT) mastoids showed a defect in the right tegmen, and CSF within the middle ear and mastoid air cells. A gadolinium-enhanced MRI brain showed high signal in the occipital horns of the lateral ventricles with diffusion-weighted imaging (DWI) and a low signal with DWI-apparent diffusion coefficient (DWI-ADC), consistent with ventriculitis. She made an uneventful recovery after 6 weeks of intravenous antibiotics. The patient had surgical repair of bony defects to prevent recurrence. This highlights a rare case of ventriculitis associated with a spontaneous CSF leak, with no existing set diagnostic criteria, and high mortality. High clinical suspicion aided by appropriate imaging, and a multidisciplinary approach to management are imperative.</p>\",\"PeriodicalId\":10492,\"journal\":{\"name\":\"Clinical Medicine\",\"volume\":\" \",\"pages\":\"100279\"},\"PeriodicalIF\":3.9000,\"publicationDate\":\"2025-01-01\",\"publicationTypes\":\"Journal Article\",\"fieldsOfStudy\":null,\"isOpenAccess\":false,\"openAccessPdf\":\"https://www.ncbi.nlm.nih.gov/pmc/articles/PMC11761854/pdf/\",\"citationCount\":\"0\",\"resultStr\":null,\"platform\":\"Semanticscholar\",\"paperid\":null,\"PeriodicalName\":\"Clinical Medicine\",\"FirstCategoryId\":\"3\",\"ListUrlMain\":\"https://doi.org/10.1016/j.clinme.2024.100279\",\"RegionNum\":4,\"RegionCategory\":\"医学\",\"ArticlePicture\":[],\"TitleCN\":null,\"AbstractTextCN\":null,\"PMCID\":null,\"EPubDate\":\"2024/12/18 0:00:00\",\"PubModel\":\"Epub\",\"JCR\":\"Q1\",\"JCRName\":\"MEDICINE, GENERAL & INTERNAL\",\"Score\":null,\"Total\":0}","platform":"Semanticscholar","paperid":null,"PeriodicalName":"Clinical Medicine","FirstCategoryId":"3","ListUrlMain":"https://doi.org/10.1016/j.clinme.2024.100279","RegionNum":4,"RegionCategory":"医学","ArticlePicture":[],"TitleCN":null,"AbstractTextCN":null,"PMCID":null,"EPubDate":"2024/12/18 0:00:00","PubModel":"Epub","JCR":"Q1","JCRName":"MEDICINE, GENERAL & INTERNAL","Score":null,"Total":0}
引用次数: 0

摘要

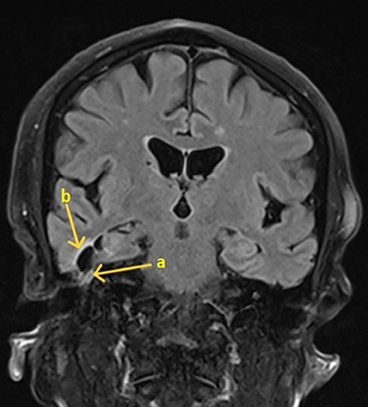
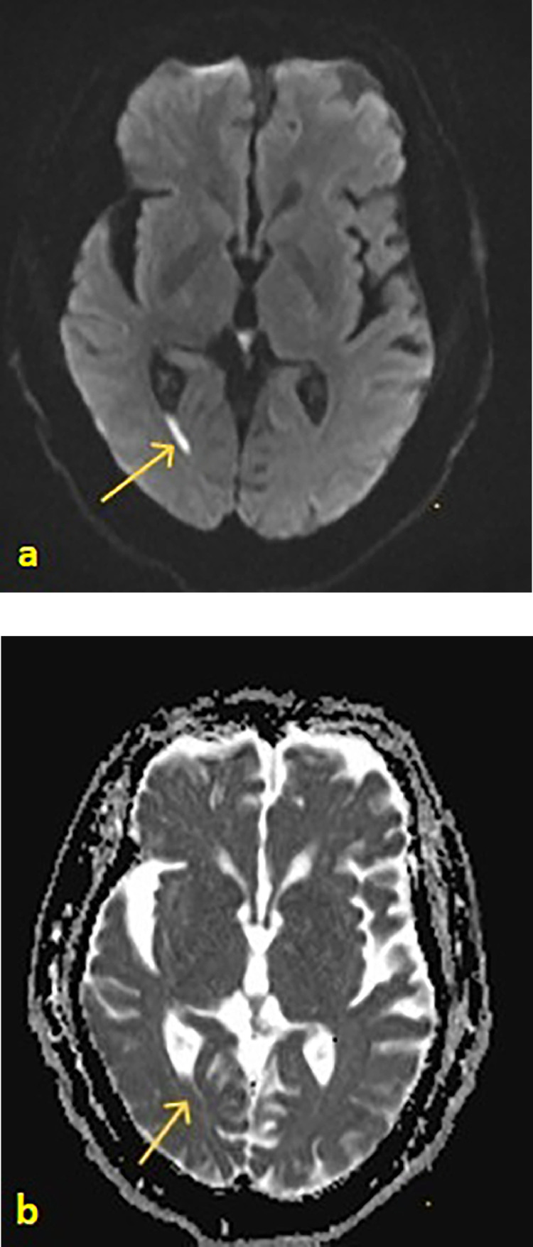
我们报告一例74岁女性头痛,发热,并间歇性右侧耳漏和鼻漏。她的鼻分泌物β -2-转铁蛋白检测呈阳性,证实脑脊液(CSF)泄漏。高分辨率CT (HRCT)显示右侧乳突、中耳和乳突空气细胞内的脑脊液缺损。钆增强脑MRI示侧脑室枕角弥散加权成像(DWI)高信号,DWI-表观弥散系数(DWI- adc)低信号,与脑室炎一致。经过六周的抗生素静脉注射后,她平静地康复了。病人接受手术修复骨缺损以防止复发。这是一例罕见的脑室炎合并自发性脑脊液泄漏的病例,没有现有的诊断标准,死亡率高。高临床怀疑辅助适当的影像学和多学科的方法来管理是必不可少的。
本文章由计算机程序翻译,如有差异,请以英文原文为准。

Cerebrospinal fluid leak-associated ventriculitis - a case report.

Cerebrospinal fluid leak-associated ventriculitis - a case report.

Cerebrospinal fluid leak-associated ventriculitis - a case report.

Cerebrospinal fluid leak-associated ventriculitis - a case report.

We present a case of a 74-year-old woman with headaches, pyrexia and intermittent right-sided otorrhoea and rhinorrhoea. Her nasal discharge tested positive for beta-2-transferrin, confirming a cerebrospinal fluid (CSF) leak. High-resolution CT (HRCT) mastoids showed a defect in the right tegmen, and CSF within the middle ear and mastoid air cells. A gadolinium-enhanced MRI brain showed high signal in the occipital horns of the lateral ventricles with diffusion-weighted imaging (DWI) and a low signal with DWI-apparent diffusion coefficient (DWI-ADC), consistent with ventriculitis. She made an uneventful recovery after 6 weeks of intravenous antibiotics. The patient had surgical repair of bony defects to prevent recurrence. This highlights a rare case of ventriculitis associated with a spontaneous CSF leak, with no existing set diagnostic criteria, and high mortality. High clinical suspicion aided by appropriate imaging, and a multidisciplinary approach to management are imperative.

求助全文
通过发布文献求助,成功后即可免费获取论文全文。 去求助
来源期刊
Clinical Medicine
Clinical Medicine 医学-医学:内科
CiteScore
7.20
自引率
0.00%
发文量
0
审稿时长
6-12 weeks
期刊介绍: Clinical Medicine is aimed at practising physicians in the UK and overseas and has relevance to all those managing or working within the healthcare sector. Available in print and online, the journal seeks to encourage high standards of medical care by promoting good clinical practice through original research, review and comment. The journal also includes a dedicated continuing medical education (CME) section in each issue. This presents the latest advances in a chosen specialty, with self-assessment questions at the end of each topic enabling CPD accreditation to be acquired. ISSN: 1470-2118 E-ISSN: 1473-4893 Frequency: 6 issues per year
×
引用
GB/T 7714-2015
复制
MLA
复制
APA
复制
导出至
BibTeX EndNote RefMan NoteFirst NoteExpress
×
提示
您的信息不完整,为了账户安全,请先补充。
现在去补充
×
提示
您因"违规操作"
具体请查看互助需知
我知道了
×
提示
确定
请完成安全验证×
copy
已复制链接
快去分享给好友吧!
我知道了
右上角分享
点击右上角分享
0
联系我们:info@booksci.cn Book学术提供免费学术资源搜索服务,方便国内外学者检索中英文文献。致力于提供最便捷和优质的服务体验。 Copyright © 2023 布克学术 All rights reserved.
京ICP备2023020795号-1
ghs 京公网安备 11010802042870号
Book学术文献互助
Book学术文献互助群
群 号:604180095
Book学术官方微信