头孢曲松致红细胞凝集及其对红细胞参数的影响1例。

IF 1.8
Biochemia medica Pub Date : 2025-02-15 Epub Date: 2024-12-15 DOI:10.11613/BM.2025.011002
Petra Andrasic, Renata Zrinski Topic, Ivan Pavic, Jasna Lenicek Krleza
{"title":"头孢曲松致红细胞凝集及其对红细胞参数的影响1例。","authors":"Petra Andrasic, Renata Zrinski Topic, Ivan Pavic, Jasna Lenicek Krleza","doi":"10.11613/BM.2025.011002","DOIUrl":null,"url":null,"abstract":"<p><p>Ceftriaxone, a widely used antibiotic, is one of the most common drugs to cause drug-induced immune hemolytic anemia. In this report, we describe the effect of ceftriaxone on red blood cell parameters (low red blood cell count, low hematocrit, and high erythrocyte index values) in two pediatric patients without clinical symptoms of hemolytic anemia. Although automated hematology analyzers have helped to detect incorrect results, a peripheral blood smear examination was necessary for recognizing the erythrocyte agglutinins caused by ceftriaxone. Serological testing was not possible, but the resulting drug-induced antibodies mimicked cold agglutinins in the first patient and warm agglutinins in the second patient. Timely reactions and corresponding laboratory procedures prevented potential complications due to drug administration. This report aims to present laboratory findings and preanalytical challenges in these cases and share our experiences in solving them.</p>","PeriodicalId":94370,"journal":{"name":"Biochemia medica","volume":"35 1","pages":"011002"},"PeriodicalIF":1.8000,"publicationDate":"2025-02-15","publicationTypes":"Journal Article","fieldsOfStudy":null,"isOpenAccess":false,"openAccessPdf":"https://www.ncbi.nlm.nih.gov/pmc/articles/PMC11654242/pdf/","citationCount":"0","resultStr":"{\"title\":\"Red blood cell agglutination caused by ceftriaxone and its effect on erythrocyte parameters: a case report.\",\"authors\":\"Petra Andrasic, Renata Zrinski Topic, Ivan Pavic, Jasna Lenicek Krleza\",\"doi\":\"10.11613/BM.2025.011002\",\"DOIUrl\":null,\"url\":null,\"abstract\":\"<p><p>Ceftriaxone, a widely used antibiotic, is one of the most common drugs to cause drug-induced immune hemolytic anemia. In this report, we describe the effect of ceftriaxone on red blood cell parameters (low red blood cell count, low hematocrit, and high erythrocyte index values) in two pediatric patients without clinical symptoms of hemolytic anemia. Although automated hematology analyzers have helped to detect incorrect results, a peripheral blood smear examination was necessary for recognizing the erythrocyte agglutinins caused by ceftriaxone. Serological testing was not possible, but the resulting drug-induced antibodies mimicked cold agglutinins in the first patient and warm agglutinins in the second patient. Timely reactions and corresponding laboratory procedures prevented potential complications due to drug administration. This report aims to present laboratory findings and preanalytical challenges in these cases and share our experiences in solving them.</p>\",\"PeriodicalId\":94370,\"journal\":{\"name\":\"Biochemia medica\",\"volume\":\"35 1\",\"pages\":\"011002\"},\"PeriodicalIF\":1.8000,\"publicationDate\":\"2025-02-15\",\"publicationTypes\":\"Journal Article\",\"fieldsOfStudy\":null,\"isOpenAccess\":false,\"openAccessPdf\":\"https://www.ncbi.nlm.nih.gov/pmc/articles/PMC11654242/pdf/\",\"citationCount\":\"0\",\"resultStr\":null,\"platform\":\"Semanticscholar\",\"paperid\":null,\"PeriodicalName\":\"Biochemia medica\",\"FirstCategoryId\":\"1085\",\"ListUrlMain\":\"https://doi.org/10.11613/BM.2025.011002\",\"RegionNum\":0,\"RegionCategory\":null,\"ArticlePicture\":[],\"TitleCN\":null,\"AbstractTextCN\":null,\"PMCID\":null,\"EPubDate\":\"2024/12/15 0:00:00\",\"PubModel\":\"Epub\",\"JCR\":\"\",\"JCRName\":\"\",\"Score\":null,\"Total\":0}","platform":"Semanticscholar","paperid":null,"PeriodicalName":"Biochemia medica","FirstCategoryId":"1085","ListUrlMain":"https://doi.org/10.11613/BM.2025.011002","RegionNum":0,"RegionCategory":null,"ArticlePicture":[],"TitleCN":null,"AbstractTextCN":null,"PMCID":null,"EPubDate":"2024/12/15 0:00:00","PubModel":"Epub","JCR":"","JCRName":"","Score":null,"Total":0}
引用次数: 0

摘要

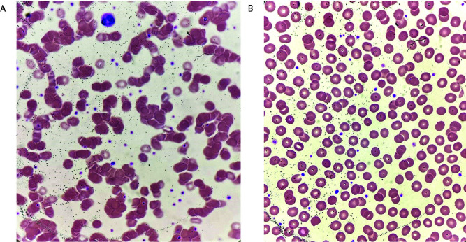
头孢曲松是一种广泛使用的抗生素,是引起药物性免疫性溶血性贫血最常见的药物之一。在本报告中,我们描述了头孢曲松对两例无溶血性贫血临床症状的儿童患者红细胞参数(低红细胞计数、低红细胞压积和高红细胞指数值)的影响。虽然自动化血液学分析仪有助于检测不正确的结果,但外周血涂片检查对于识别头孢曲松引起的红细胞凝集素是必要的。血清学检测是不可能的,但由此产生的药物诱导抗体模拟了第一位患者的冷凝集素和第二位患者的热凝集素。及时的反应和相应的实验室程序防止了药物管理的潜在并发症。本报告旨在介绍这些病例的实验室发现和分析前的挑战,并分享我们解决这些问题的经验。
本文章由计算机程序翻译,如有差异,请以英文原文为准。

Red blood cell agglutination caused by ceftriaxone and its effect on erythrocyte parameters: a case report.

Red blood cell agglutination caused by ceftriaxone and its effect on erythrocyte parameters: a case report.

Red blood cell agglutination caused by ceftriaxone and its effect on erythrocyte parameters: a case report.

Ceftriaxone, a widely used antibiotic, is one of the most common drugs to cause drug-induced immune hemolytic anemia. In this report, we describe the effect of ceftriaxone on red blood cell parameters (low red blood cell count, low hematocrit, and high erythrocyte index values) in two pediatric patients without clinical symptoms of hemolytic anemia. Although automated hematology analyzers have helped to detect incorrect results, a peripheral blood smear examination was necessary for recognizing the erythrocyte agglutinins caused by ceftriaxone. Serological testing was not possible, but the resulting drug-induced antibodies mimicked cold agglutinins in the first patient and warm agglutinins in the second patient. Timely reactions and corresponding laboratory procedures prevented potential complications due to drug administration. This report aims to present laboratory findings and preanalytical challenges in these cases and share our experiences in solving them.

求助全文
通过发布文献求助,成功后即可免费获取论文全文。 去求助
来源期刊
自引率
0.00%
发文量
0
×
引用
GB/T 7714-2015
复制
MLA
复制
APA
复制
导出至
BibTeX EndNote RefMan NoteFirst NoteExpress
×
提示
您的信息不完整,为了账户安全,请先补充。
现在去补充
×
提示
您因"违规操作"
具体请查看互助需知
我知道了
×
提示
确定
请完成安全验证×
copy
已复制链接
快去分享给好友吧!
我知道了
右上角分享
点击右上角分享
0
联系我们:info@booksci.cn Book学术提供免费学术资源搜索服务,方便国内外学者检索中英文文献。致力于提供最便捷和优质的服务体验。 Copyright © 2023 布克学术 All rights reserved.
京ICP备2023020795号-1
ghs 京公网安备 11010802042870号
Book学术文献互助
Book学术文献互助群
群 号:604180095
Book学术官方微信