原发性食管横纹肌肉瘤:小儿吞咽困难的罕见病因。

IF 0.5 Q4 GASTROENTEROLOGY & HEPATOLOGY
Case Reports in Gastrointestinal Medicine Pub Date : 2024-12-12 eCollection Date: 2024-01-01 DOI:10.1155/crgm/3648155
Maryam Ataollahi, Amirali Mashhadiagha, Fereshteh Karbasian, Reza Moshfeghinia, Javad Arabpour, Bita Geramizadeh
{"title":"原发性食管横纹肌肉瘤:小儿吞咽困难的罕见病因。","authors":"Maryam Ataollahi, Amirali Mashhadiagha, Fereshteh Karbasian, Reza Moshfeghinia, Javad Arabpour, Bita Geramizadeh","doi":"10.1155/crgm/3648155","DOIUrl":null,"url":null,"abstract":"<p><p><b>Background:</b> Esophageal embryonal rhabdomyosarcoma (ERMS), a rare pediatric cancer, mimicked achalasia in a case involving dysphagia and vomiting. Diagnosis and chemotherapy necessitate careful monitoring due to potential complications. <b>Case presentation:</b> A 12-year-old girl with no prior medical history presented with progressive dysphagia and vomiting. Initial diagnosis suggested achalasia, but further evaluation revealed a large mediastinal mass causing esophageal compression. Biopsies confirmed primary ERMS of the esophagus with metastases. Despite chemotherapy, she developed complications, including neutropenic enterocolitis and posterior reversible encephalopathy syndrome (PRES). Unfortunately, she succumbed to neutropenic sepsis. <b>Conclusion:</b> In this case study, we presented our experience regarding the clinical course of this disease, treatment strategy, and prognosis, in addition to the limited previous information in the literature.</p>","PeriodicalId":45645,"journal":{"name":"Case Reports in Gastrointestinal Medicine","volume":"2024 ","pages":"3648155"},"PeriodicalIF":0.5000,"publicationDate":"2024-12-12","publicationTypes":"Journal Article","fieldsOfStudy":null,"isOpenAccess":false,"openAccessPdf":"https://www.ncbi.nlm.nih.gov/pmc/articles/PMC11658847/pdf/","citationCount":"0","resultStr":"{\"title\":\"Primary Esophageal Rhabdomyosarcoma: An Exceptionally Rare Cause of Pediatric Dysphagia.\",\"authors\":\"Maryam Ataollahi, Amirali Mashhadiagha, Fereshteh Karbasian, Reza Moshfeghinia, Javad Arabpour, Bita Geramizadeh\",\"doi\":\"10.1155/crgm/3648155\",\"DOIUrl\":null,\"url\":null,\"abstract\":\"<p><p><b>Background:</b> Esophageal embryonal rhabdomyosarcoma (ERMS), a rare pediatric cancer, mimicked achalasia in a case involving dysphagia and vomiting. Diagnosis and chemotherapy necessitate careful monitoring due to potential complications. <b>Case presentation:</b> A 12-year-old girl with no prior medical history presented with progressive dysphagia and vomiting. Initial diagnosis suggested achalasia, but further evaluation revealed a large mediastinal mass causing esophageal compression. Biopsies confirmed primary ERMS of the esophagus with metastases. Despite chemotherapy, she developed complications, including neutropenic enterocolitis and posterior reversible encephalopathy syndrome (PRES). Unfortunately, she succumbed to neutropenic sepsis. <b>Conclusion:</b> In this case study, we presented our experience regarding the clinical course of this disease, treatment strategy, and prognosis, in addition to the limited previous information in the literature.</p>\",\"PeriodicalId\":45645,\"journal\":{\"name\":\"Case Reports in Gastrointestinal Medicine\",\"volume\":\"2024 \",\"pages\":\"3648155\"},\"PeriodicalIF\":0.5000,\"publicationDate\":\"2024-12-12\",\"publicationTypes\":\"Journal Article\",\"fieldsOfStudy\":null,\"isOpenAccess\":false,\"openAccessPdf\":\"https://www.ncbi.nlm.nih.gov/pmc/articles/PMC11658847/pdf/\",\"citationCount\":\"0\",\"resultStr\":null,\"platform\":\"Semanticscholar\",\"paperid\":null,\"PeriodicalName\":\"Case Reports in Gastrointestinal Medicine\",\"FirstCategoryId\":\"1085\",\"ListUrlMain\":\"https://doi.org/10.1155/crgm/3648155\",\"RegionNum\":0,\"RegionCategory\":null,\"ArticlePicture\":[],\"TitleCN\":null,\"AbstractTextCN\":null,\"PMCID\":null,\"EPubDate\":\"2024/1/1 0:00:00\",\"PubModel\":\"eCollection\",\"JCR\":\"Q4\",\"JCRName\":\"GASTROENTEROLOGY & HEPATOLOGY\",\"Score\":null,\"Total\":0}","platform":"Semanticscholar","paperid":null,"PeriodicalName":"Case Reports in Gastrointestinal Medicine","FirstCategoryId":"1085","ListUrlMain":"https://doi.org/10.1155/crgm/3648155","RegionNum":0,"RegionCategory":null,"ArticlePicture":[],"TitleCN":null,"AbstractTextCN":null,"PMCID":null,"EPubDate":"2024/1/1 0:00:00","PubModel":"eCollection","JCR":"Q4","JCRName":"GASTROENTEROLOGY & HEPATOLOGY","Score":null,"Total":0}
引用次数: 0

摘要

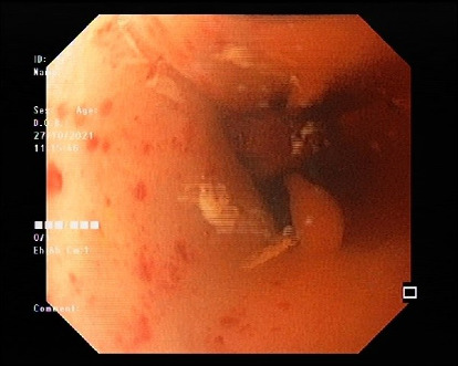
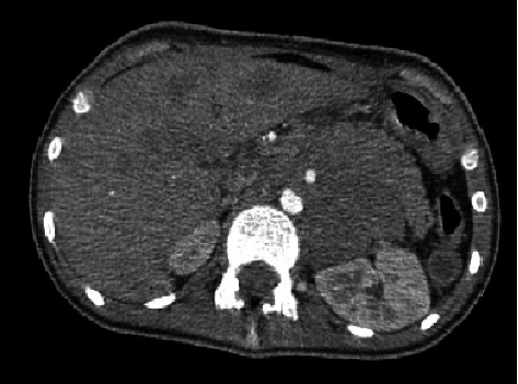
背景:食管胚胎性横纹肌肉瘤(ERMS)是一种罕见的儿童癌症,在一个涉及吞咽困难和呕吐的病例中模仿贲门失弛缓症。由于潜在的并发症,诊断和化疗需要仔细监测。病例介绍:一名12岁女孩,无既往病史,表现为进行性吞咽困难和呕吐。初步诊断为贲门失弛缓症,但进一步检查发现一个大的纵隔肿块引起食管压迫。活检证实原发性食管ERMS伴转移。尽管化疗,她出现并发症,包括中性粒细胞减少性小肠结肠炎和后部可逆性脑病综合征(PRES)。不幸的是,她死于中性粒细胞减少性败血症。结论:在本病例研究中,除了文献中有限的信息外,我们还介绍了我们对该疾病的临床病程、治疗策略和预后的经验。
本文章由计算机程序翻译,如有差异,请以英文原文为准。

Primary Esophageal Rhabdomyosarcoma: An Exceptionally Rare Cause of Pediatric Dysphagia.

Primary Esophageal Rhabdomyosarcoma: An Exceptionally Rare Cause of Pediatric Dysphagia.

Primary Esophageal Rhabdomyosarcoma: An Exceptionally Rare Cause of Pediatric Dysphagia.

Primary Esophageal Rhabdomyosarcoma: An Exceptionally Rare Cause of Pediatric Dysphagia.

Background: Esophageal embryonal rhabdomyosarcoma (ERMS), a rare pediatric cancer, mimicked achalasia in a case involving dysphagia and vomiting. Diagnosis and chemotherapy necessitate careful monitoring due to potential complications. Case presentation: A 12-year-old girl with no prior medical history presented with progressive dysphagia and vomiting. Initial diagnosis suggested achalasia, but further evaluation revealed a large mediastinal mass causing esophageal compression. Biopsies confirmed primary ERMS of the esophagus with metastases. Despite chemotherapy, she developed complications, including neutropenic enterocolitis and posterior reversible encephalopathy syndrome (PRES). Unfortunately, she succumbed to neutropenic sepsis. Conclusion: In this case study, we presented our experience regarding the clinical course of this disease, treatment strategy, and prognosis, in addition to the limited previous information in the literature.

求助全文
通过发布文献求助,成功后即可免费获取论文全文。 去求助
来源期刊
Case Reports in Gastrointestinal Medicine
Case Reports in Gastrointestinal Medicine GASTROENTEROLOGY & HEPATOLOGY-
自引率
0.00%
发文量
33
审稿时长
14 weeks
×
引用
GB/T 7714-2015
复制
MLA
复制
APA
复制
导出至
BibTeX EndNote RefMan NoteFirst NoteExpress
×
提示
您的信息不完整,为了账户安全,请先补充。
现在去补充
×
提示
您因"违规操作"
具体请查看互助需知
我知道了
×
提示
确定
请完成安全验证×
copy
已复制链接
快去分享给好友吧!
我知道了
右上角分享
点击右上角分享
0
联系我们:info@booksci.cn Book学术提供免费学术资源搜索服务,方便国内外学者检索中英文文献。致力于提供最便捷和优质的服务体验。 Copyright © 2023 布克学术 All rights reserved.
京ICP备2023020795号-1
ghs 京公网安备 11010802042870号
Book学术文献互助
Book学术文献互助群
群 号:604180095
Book学术官方微信