根尖周围病变的放射学参数:CBCT分析评估体积大小、皮质扩张、侵蚀和形状。

IF 2 Q3 DENTISTRY, ORAL SURGERY & MEDICINE
Óscar Lozano Gonzalez, Marco Felipe Salas Orozco, Jaime Trigueros Mancera, Noé Gustavo Martínez Cuellar, Nuria Patiño Marín
{"title":"根尖周围病变的放射学参数:CBCT分析评估体积大小、皮质扩张、侵蚀和形状。","authors":"Óscar Lozano Gonzalez, Marco Felipe Salas Orozco, Jaime Trigueros Mancera, Noé Gustavo Martínez Cuellar, Nuria Patiño Marín","doi":"10.14744/eej.2024.45220","DOIUrl":null,"url":null,"abstract":"<p><strong>Objective: </strong>To investigate significant differences in selected radiomic parameters when classifying periapical lesions based on volumetric size, cortical expansion, erosion, and shape using Cone Beam Computed Tomography (CBCT).</p><p><strong>Methods: </strong>A retrospective analytical and comparative study was conducted on 100 small field of view (FOV) 50×50 mm CBCT scans collected between the years 2018 and 2023. The study involved qualitative classification of periapical lesions, followed by segmentation and extraction of radiomic parameters. The extracted parameters included first-order features such as energy, entropy, total energy, and uniformity; texture features like grey-level co-occurrence matrix contrast (GLCMC) and neighbouring grey tone difference matrix contrast (NGTDMC); and shape features including elongation, flatness, sphericity, and mesh volume, utilising 3D Slicer and Pyradiomics. The normal distribution of the variables was determined using the Shapiro-Wilk test. Various tests were used to assess significant differences, including Student's t-test, Mann-Whitney U test, ANOVA, and Tukey's post hoc analysis.</p><p><strong>Results: </strong>Significant differences were observed in the following parameters among the classification levels when classifying periapical lesions according to their volumetric size. There were significant differences in energy with a p-value of 0.001 and total energy with a p-value of 0.02. NGTDMC also showed a significant difference with a p-value of 0.001. A larger volumetric size is associated with greater energy and lower contrast. Significant differences in periapical lesions with erosion were found in shape sphericity (mean 0.34, SD 0.10, p=0.01), energy (mean 3.73×10¹⁰, SD 4.52×10¹⁰, p=0.002), and NGTDMC (mean 0.05, SD 0.02, p=0.001) compared to lesions without erosion. GLCMC was lower in erosive lesions (mean 18.94, SD 6.81, p=0.03) than in non-erosive ones (mean 22.28, SD 8.48). Regular-shaped periapical lesions demonstrated significantly greater elongation (mean 0.794, SD 0.115, p=0.006) and flatness (mean 0.614, SD 0.107, p=0.005) than irregular-shaped lesions. These findings suggest that regular-shaped periapical lesions are more elongated and flatter than irregular ones. No significant differences were found in radiomic features depending on the presence or absence of expansion in the periapical lesion.</p><p><strong>Conclusion: </strong>There are significant differences in texture and first-order radiomic features in periapical lesions classified based on size, erosion, and shape. This research's relevance lies in its potential to improve the quantitative characterisation of periapical lesions, leading to an objective interpretation. (EEJ-2023-11-159).</p>","PeriodicalId":11860,"journal":{"name":"European Endodontic Journal","volume":"9 4","pages":"394-404"},"PeriodicalIF":2.0000,"publicationDate":"2024-12-01","publicationTypes":"Journal Article","fieldsOfStudy":null,"isOpenAccess":false,"openAccessPdf":"https://www.ncbi.nlm.nih.gov/pmc/articles/PMC11685519/pdf/","citationCount":"0","resultStr":"{\"title\":\"Radiomic Parameters in Periapical Lesions: A CBCT Analysis Evaluating Volumetric Size, Cortical Expansion, Erosion, and Shape.\",\"authors\":\"Óscar Lozano Gonzalez, Marco Felipe Salas Orozco, Jaime Trigueros Mancera, Noé Gustavo Martínez Cuellar, Nuria Patiño Marín\",\"doi\":\"10.14744/eej.2024.45220\",\"DOIUrl\":null,\"url\":null,\"abstract\":\"<p><strong>Objective: </strong>To investigate significant differences in selected radiomic parameters when classifying periapical lesions based on volumetric size, cortical expansion, erosion, and shape using Cone Beam Computed Tomography (CBCT).</p><p><strong>Methods: </strong>A retrospective analytical and comparative study was conducted on 100 small field of view (FOV) 50×50 mm CBCT scans collected between the years 2018 and 2023. The study involved qualitative classification of periapical lesions, followed by segmentation and extraction of radiomic parameters. The extracted parameters included first-order features such as energy, entropy, total energy, and uniformity; texture features like grey-level co-occurrence matrix contrast (GLCMC) and neighbouring grey tone difference matrix contrast (NGTDMC); and shape features including elongation, flatness, sphericity, and mesh volume, utilising 3D Slicer and Pyradiomics. The normal distribution of the variables was determined using the Shapiro-Wilk test. Various tests were used to assess significant differences, including Student's t-test, Mann-Whitney U test, ANOVA, and Tukey's post hoc analysis.</p><p><strong>Results: </strong>Significant differences were observed in the following parameters among the classification levels when classifying periapical lesions according to their volumetric size. There were significant differences in energy with a p-value of 0.001 and total energy with a p-value of 0.02. NGTDMC also showed a significant difference with a p-value of 0.001. A larger volumetric size is associated with greater energy and lower contrast. Significant differences in periapical lesions with erosion were found in shape sphericity (mean 0.34, SD 0.10, p=0.01), energy (mean 3.73×10¹⁰, SD 4.52×10¹⁰, p=0.002), and NGTDMC (mean 0.05, SD 0.02, p=0.001) compared to lesions without erosion. GLCMC was lower in erosive lesions (mean 18.94, SD 6.81, p=0.03) than in non-erosive ones (mean 22.28, SD 8.48). Regular-shaped periapical lesions demonstrated significantly greater elongation (mean 0.794, SD 0.115, p=0.006) and flatness (mean 0.614, SD 0.107, p=0.005) than irregular-shaped lesions. These findings suggest that regular-shaped periapical lesions are more elongated and flatter than irregular ones. No significant differences were found in radiomic features depending on the presence or absence of expansion in the periapical lesion.</p><p><strong>Conclusion: </strong>There are significant differences in texture and first-order radiomic features in periapical lesions classified based on size, erosion, and shape. This research's relevance lies in its potential to improve the quantitative characterisation of periapical lesions, leading to an objective interpretation. (EEJ-2023-11-159).</p>\",\"PeriodicalId\":11860,\"journal\":{\"name\":\"European Endodontic Journal\",\"volume\":\"9 4\",\"pages\":\"394-404\"},\"PeriodicalIF\":2.0000,\"publicationDate\":\"2024-12-01\",\"publicationTypes\":\"Journal Article\",\"fieldsOfStudy\":null,\"isOpenAccess\":false,\"openAccessPdf\":\"https://www.ncbi.nlm.nih.gov/pmc/articles/PMC11685519/pdf/\",\"citationCount\":\"0\",\"resultStr\":null,\"platform\":\"Semanticscholar\",\"paperid\":null,\"PeriodicalName\":\"European Endodontic Journal\",\"FirstCategoryId\":\"1085\",\"ListUrlMain\":\"https://doi.org/10.14744/eej.2024.45220\",\"RegionNum\":0,\"RegionCategory\":null,\"ArticlePicture\":[],\"TitleCN\":null,\"AbstractTextCN\":null,\"PMCID\":null,\"EPubDate\":\"\",\"PubModel\":\"\",\"JCR\":\"Q3\",\"JCRName\":\"DENTISTRY, ORAL SURGERY & MEDICINE\",\"Score\":null,\"Total\":0}","platform":"Semanticscholar","paperid":null,"PeriodicalName":"European Endodontic Journal","FirstCategoryId":"1085","ListUrlMain":"https://doi.org/10.14744/eej.2024.45220","RegionNum":0,"RegionCategory":null,"ArticlePicture":[],"TitleCN":null,"AbstractTextCN":null,"PMCID":null,"EPubDate":"","PubModel":"","JCR":"Q3","JCRName":"DENTISTRY, ORAL SURGERY & MEDICINE","Score":null,"Total":0}
引用次数: 0

摘要

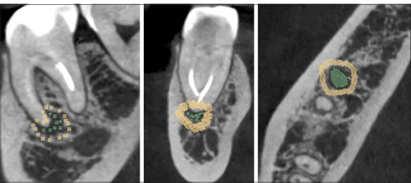
目的研究使用锥束计算机断层扫描(CBCT)根据体积大小、皮质膨胀、侵蚀和形状对根尖周病变进行分类时,所选放射学参数的明显差异:对 2018 年至 2023 年间收集的 100 个 50×50 mm CBCT 小视野(FOV)扫描图像进行了回顾性分析和比较研究。研究涉及根尖周病变的定性分类,然后是分割和提取放射学参数。提取的参数包括一阶特征,如能量、熵、总能量和均匀性;纹理特征,如灰度级共现矩阵对比度(GLCMC)和邻近灰调差异矩阵对比度(NGTDMC);以及形状特征,包括利用 3D Slicer 和 Pyradiomics 提取的伸长率、平坦度、球形度和网状体积。采用 Shapiro-Wilk 检验确定变量的正态分布。采用各种检验方法评估显著差异,包括学生 t 检验、Mann-Whitney U 检验、方差分析和 Tukey 事后分析:结果:在根据根尖周病变的体积大小进行分类时,观察到不同分类级别的以下参数存在显著差异。能量(P 值为 0.001)和总能量(P 值为 0.02)存在显著差异。NGTDMC 也有显著差异,P 值为 0.001。体积越大,能量越高,对比度越低。与无侵蚀的病变相比,有侵蚀的根尖周病变在形状球形度(平均 0.34,标度 0.10,p=0.01)、能量(平均 3.73×10¹⁰,标度 4.52×10¹⁰,p=0.002)和 NGTDMC(平均 0.05,标度 0.02,p=0.001)方面存在显著差异。侵蚀性病变的 GLCMC(平均值 18.94,标度 6.81,p=0.03)低于非侵蚀性病变(平均值 22.28,标度 8.48)。形状规则的根尖周病变的伸长率(平均 0.794,标准差 0.115,p=0.006)和平整度(平均 0.614,标准差 0.107,p=0.005)明显高于形状不规则的病变。这些结果表明,规则形状的根尖周病变比不规则形状的更细长、更平坦。结论:根尖周病变有无扩张在放射学特征上无明显差异:结论:根据大小、侵蚀程度和形状分类的根尖周病变在质地和一阶放射线学特征上存在明显差异。这项研究的意义在于它有可能改善根尖周病变的定量特征,从而得出客观的解释。(EEJ-2023-11-159)。
本文章由计算机程序翻译,如有差异,请以英文原文为准。

Radiomic Parameters in Periapical Lesions: A CBCT Analysis Evaluating Volumetric Size, Cortical Expansion, Erosion, and Shape.

Radiomic Parameters in Periapical Lesions: A CBCT Analysis Evaluating Volumetric Size, Cortical Expansion, Erosion, and Shape.

Radiomic Parameters in Periapical Lesions: A CBCT Analysis Evaluating Volumetric Size, Cortical Expansion, Erosion, and Shape.

Radiomic Parameters in Periapical Lesions: A CBCT Analysis Evaluating Volumetric Size, Cortical Expansion, Erosion, and Shape.

Objective: To investigate significant differences in selected radiomic parameters when classifying periapical lesions based on volumetric size, cortical expansion, erosion, and shape using Cone Beam Computed Tomography (CBCT).

Methods: A retrospective analytical and comparative study was conducted on 100 small field of view (FOV) 50×50 mm CBCT scans collected between the years 2018 and 2023. The study involved qualitative classification of periapical lesions, followed by segmentation and extraction of radiomic parameters. The extracted parameters included first-order features such as energy, entropy, total energy, and uniformity; texture features like grey-level co-occurrence matrix contrast (GLCMC) and neighbouring grey tone difference matrix contrast (NGTDMC); and shape features including elongation, flatness, sphericity, and mesh volume, utilising 3D Slicer and Pyradiomics. The normal distribution of the variables was determined using the Shapiro-Wilk test. Various tests were used to assess significant differences, including Student's t-test, Mann-Whitney U test, ANOVA, and Tukey's post hoc analysis.

Results: Significant differences were observed in the following parameters among the classification levels when classifying periapical lesions according to their volumetric size. There were significant differences in energy with a p-value of 0.001 and total energy with a p-value of 0.02. NGTDMC also showed a significant difference with a p-value of 0.001. A larger volumetric size is associated with greater energy and lower contrast. Significant differences in periapical lesions with erosion were found in shape sphericity (mean 0.34, SD 0.10, p=0.01), energy (mean 3.73×10¹⁰, SD 4.52×10¹⁰, p=0.002), and NGTDMC (mean 0.05, SD 0.02, p=0.001) compared to lesions without erosion. GLCMC was lower in erosive lesions (mean 18.94, SD 6.81, p=0.03) than in non-erosive ones (mean 22.28, SD 8.48). Regular-shaped periapical lesions demonstrated significantly greater elongation (mean 0.794, SD 0.115, p=0.006) and flatness (mean 0.614, SD 0.107, p=0.005) than irregular-shaped lesions. These findings suggest that regular-shaped periapical lesions are more elongated and flatter than irregular ones. No significant differences were found in radiomic features depending on the presence or absence of expansion in the periapical lesion.

Conclusion: There are significant differences in texture and first-order radiomic features in periapical lesions classified based on size, erosion, and shape. This research's relevance lies in its potential to improve the quantitative characterisation of periapical lesions, leading to an objective interpretation. (EEJ-2023-11-159).

求助全文
通过发布文献求助,成功后即可免费获取论文全文。 去求助
来源期刊
European Endodontic Journal
European Endodontic Journal DENTISTRY, ORAL SURGERY & MEDICINE-
CiteScore
3.40
自引率
5.60%
发文量
25
×
引用
GB/T 7714-2015
复制
MLA
复制
APA
复制
导出至
BibTeX EndNote RefMan NoteFirst NoteExpress
×
提示
您的信息不完整,为了账户安全,请先补充。
现在去补充
×
提示
您因"违规操作"
具体请查看互助需知
我知道了
×
提示
确定
请完成安全验证×
copy
已复制链接
快去分享给好友吧!
我知道了
右上角分享
点击右上角分享
0
联系我们:info@booksci.cn Book学术提供免费学术资源搜索服务,方便国内外学者检索中英文文献。致力于提供最便捷和优质的服务体验。 Copyright © 2023 布克学术 All rights reserved.
京ICP备2023020795号-1
ghs 京公网安备 11010802042870号
Book学术文献互助
Book学术文献互助群
群 号:604180095
Book学术官方微信