解离性健忘症是长期复杂创伤后应激障碍的残留症状吗?

IF 3.6 3区 医学 Q1 PSYCHIATRY
İzzet Çağrı Metin, Selman Yıldırım, Aykut Karahan
{"title":"解离性健忘症是长期复杂创伤后应激障碍的残留症状吗?","authors":"İzzet Çağrı Metin, Selman Yıldırım, Aykut Karahan","doi":"10.1186/s12991-024-00536-8","DOIUrl":null,"url":null,"abstract":"<p><strong>Background: </strong>Dissociative amnesia, a disorder characterized by impairments in multiple memory areas, is frequently associated with trauma. Complex post-traumatic stress disorder (CPTSD) is marked by mood dysregulation, negative self-concept, and impaired interpersonal relationships, in addition to the classic symptoms of post-traumatic stress disorder (PTSD). The relationship between CPTSD and dissociative amnesia, as well as whether CPTSD should be considered a dissociative subtype, remains uncertain in the literature. Individuals diagnosed with CPTSD tend to exhibit higher levels of dissociative symptoms than those diagnosed with PTSD.</p><p><strong>Clinical presentation: </strong>We present the clinical report of a 42-year-old male who, after a car accident, exhibited core symptoms of PTSD along with symptoms of self-organization disorders. While these symptoms persisted, the patient developed dissociative amnesia years after the trauma. Neuroimaging studies, psychometric tests, reviewed hospital records, and clinical interviews were conducted to speculate on the differential diagnosis of organic psychiatric conditions and potential diagnoses. The possible relationship between dissociative amnesia and complex post-traumatic stress disorder was examined.</p><p><strong>Conclusion: </strong>This case demonstrates the complexity of differentiating dissociative amnesia from organic conditions. Discussing the possible shared mechanisms between CPTSD and dissociative amnesia could contribute to a better understanding of both conditions.</p>","PeriodicalId":7942,"journal":{"name":"Annals of General Psychiatry","volume":"23 1","pages":"51"},"PeriodicalIF":3.6000,"publicationDate":"2024-12-19","publicationTypes":"Journal Article","fieldsOfStudy":null,"isOpenAccess":false,"openAccessPdf":"https://www.ncbi.nlm.nih.gov/pmc/articles/PMC11660661/pdf/","citationCount":"0","resultStr":"{\"title\":\"Can dissociative amnesia be a residual symptom of prolonged complex post-traumatic stress disorder?\",\"authors\":\"İzzet Çağrı Metin, Selman Yıldırım, Aykut Karahan\",\"doi\":\"10.1186/s12991-024-00536-8\",\"DOIUrl\":null,\"url\":null,\"abstract\":\"<p><strong>Background: </strong>Dissociative amnesia, a disorder characterized by impairments in multiple memory areas, is frequently associated with trauma. Complex post-traumatic stress disorder (CPTSD) is marked by mood dysregulation, negative self-concept, and impaired interpersonal relationships, in addition to the classic symptoms of post-traumatic stress disorder (PTSD). The relationship between CPTSD and dissociative amnesia, as well as whether CPTSD should be considered a dissociative subtype, remains uncertain in the literature. Individuals diagnosed with CPTSD tend to exhibit higher levels of dissociative symptoms than those diagnosed with PTSD.</p><p><strong>Clinical presentation: </strong>We present the clinical report of a 42-year-old male who, after a car accident, exhibited core symptoms of PTSD along with symptoms of self-organization disorders. While these symptoms persisted, the patient developed dissociative amnesia years after the trauma. Neuroimaging studies, psychometric tests, reviewed hospital records, and clinical interviews were conducted to speculate on the differential diagnosis of organic psychiatric conditions and potential diagnoses. The possible relationship between dissociative amnesia and complex post-traumatic stress disorder was examined.</p><p><strong>Conclusion: </strong>This case demonstrates the complexity of differentiating dissociative amnesia from organic conditions. Discussing the possible shared mechanisms between CPTSD and dissociative amnesia could contribute to a better understanding of both conditions.</p>\",\"PeriodicalId\":7942,\"journal\":{\"name\":\"Annals of General Psychiatry\",\"volume\":\"23 1\",\"pages\":\"51\"},\"PeriodicalIF\":3.6000,\"publicationDate\":\"2024-12-19\",\"publicationTypes\":\"Journal Article\",\"fieldsOfStudy\":null,\"isOpenAccess\":false,\"openAccessPdf\":\"https://www.ncbi.nlm.nih.gov/pmc/articles/PMC11660661/pdf/\",\"citationCount\":\"0\",\"resultStr\":null,\"platform\":\"Semanticscholar\",\"paperid\":null,\"PeriodicalName\":\"Annals of General Psychiatry\",\"FirstCategoryId\":\"3\",\"ListUrlMain\":\"https://doi.org/10.1186/s12991-024-00536-8\",\"RegionNum\":3,\"RegionCategory\":\"医学\",\"ArticlePicture\":[],\"TitleCN\":null,\"AbstractTextCN\":null,\"PMCID\":null,\"EPubDate\":\"\",\"PubModel\":\"\",\"JCR\":\"Q1\",\"JCRName\":\"PSYCHIATRY\",\"Score\":null,\"Total\":0}","platform":"Semanticscholar","paperid":null,"PeriodicalName":"Annals of General Psychiatry","FirstCategoryId":"3","ListUrlMain":"https://doi.org/10.1186/s12991-024-00536-8","RegionNum":3,"RegionCategory":"医学","ArticlePicture":[],"TitleCN":null,"AbstractTextCN":null,"PMCID":null,"EPubDate":"","PubModel":"","JCR":"Q1","JCRName":"PSYCHIATRY","Score":null,"Total":0}
引用次数: 0

摘要

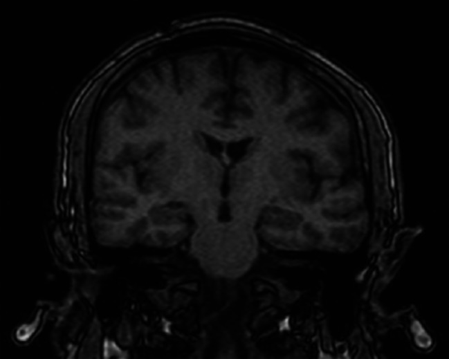
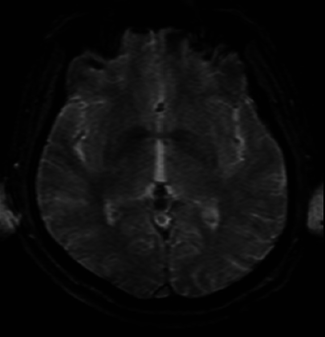
背景:解离性健忘症是一种以多个记忆区域受损为特征的疾病,通常与创伤有关。复杂创伤后应激障碍(CPTSD)除了具有创伤后应激障碍(PTSD)的典型症状外,还表现为情绪失调、消极的自我概念和人际关系受损。CPTSD与分离性遗忘之间的关系,以及CPTSD是否应被视为分离性亚型,在文献中仍不确定。被诊断为CPTSD的个体往往比被诊断为PTSD的个体表现出更高水平的解离症状。临床表现:我们报告一位42岁男性车祸后,表现出创伤后应激障碍的核心症状以及自组织障碍的症状。虽然这些症状持续存在,但患者在创伤多年后出现了解离性健忘症。神经影像学研究、心理测试、回顾医院记录和临床访谈被用来推测器质性精神疾病的鉴别诊断和潜在的诊断。探讨了分离性遗忘与复杂创伤后应激障碍之间可能存在的关系。结论:本病例显示了分离性遗忘与器质性疾病区分的复杂性。讨论CPTSD和分离性健忘症之间可能的共同机制有助于更好地理解这两种疾病。
本文章由计算机程序翻译,如有差异,请以英文原文为准。

Can dissociative amnesia be a residual symptom of prolonged complex post-traumatic stress disorder?

Can dissociative amnesia be a residual symptom of prolonged complex post-traumatic stress disorder?

Can dissociative amnesia be a residual symptom of prolonged complex post-traumatic stress disorder?

Background: Dissociative amnesia, a disorder characterized by impairments in multiple memory areas, is frequently associated with trauma. Complex post-traumatic stress disorder (CPTSD) is marked by mood dysregulation, negative self-concept, and impaired interpersonal relationships, in addition to the classic symptoms of post-traumatic stress disorder (PTSD). The relationship between CPTSD and dissociative amnesia, as well as whether CPTSD should be considered a dissociative subtype, remains uncertain in the literature. Individuals diagnosed with CPTSD tend to exhibit higher levels of dissociative symptoms than those diagnosed with PTSD.

Clinical presentation: We present the clinical report of a 42-year-old male who, after a car accident, exhibited core symptoms of PTSD along with symptoms of self-organization disorders. While these symptoms persisted, the patient developed dissociative amnesia years after the trauma. Neuroimaging studies, psychometric tests, reviewed hospital records, and clinical interviews were conducted to speculate on the differential diagnosis of organic psychiatric conditions and potential diagnoses. The possible relationship between dissociative amnesia and complex post-traumatic stress disorder was examined.

Conclusion: This case demonstrates the complexity of differentiating dissociative amnesia from organic conditions. Discussing the possible shared mechanisms between CPTSD and dissociative amnesia could contribute to a better understanding of both conditions.

求助全文
通过发布文献求助,成功后即可免费获取论文全文。 去求助
来源期刊
CiteScore
6.60
自引率
2.70%
发文量
43
审稿时长
>12 weeks
期刊介绍: Annals of General Psychiatry considers manuscripts on all aspects of psychiatry, including neuroscience and psychological medicine. Both basic and clinical neuroscience contributions are encouraged. Annals of General Psychiatry emphasizes a biopsychosocial approach to illness and health and strongly supports and follows the principles of evidence-based medicine. As an open access journal, Annals of General Psychiatry facilitates the worldwide distribution of high quality psychiatry and mental health research. The journal considers submissions on a wide range of topics including, but not limited to, psychopharmacology, forensic psychiatry, psychotic disorders, psychiatric genetics, and mood and anxiety disorders.
×
引用
GB/T 7714-2015
复制
MLA
复制
APA
复制
导出至
BibTeX EndNote RefMan NoteFirst NoteExpress
×
提示
您的信息不完整,为了账户安全,请先补充。
现在去补充
×
提示
您因"违规操作"
具体请查看互助需知
我知道了
×
提示
确定
请完成安全验证×
copy
已复制链接
快去分享给好友吧!
我知道了
右上角分享
点击右上角分享
0
联系我们:info@booksci.cn Book学术提供免费学术资源搜索服务,方便国内外学者检索中英文文献。致力于提供最便捷和优质的服务体验。 Copyright © 2023 布克学术 All rights reserved.
京ICP备2023020795号-1
ghs 京公网安备 11010802042870号
Book学术文献互助
Book学术文献互助群
群 号:604180095
Book学术官方微信