急性髓性白血病中IDO表达和调节性T细胞的增加:免疫逃逸和治疗靶向的意义

IF 2.8 Q2 HEMATOLOGY
Raziyeh Hakak, Behzad Poopak, Ahmad Majd
{"title":"急性髓性白血病中IDO表达和调节性T细胞的增加:免疫逃逸和治疗靶向的意义","authors":"Raziyeh Hakak, Behzad Poopak, Ahmad Majd","doi":"10.1007/s44313-024-00048-0","DOIUrl":null,"url":null,"abstract":"<p><strong>Purpose: </strong>This study aimed to determine the frequency of regulatory T cells (Tregs) (CD4<sup>+</sup>/FOXP3<sup>+</sup>) and indoleamine 2,3-dioxygenase (IDO) expression in patients with acute myeloid leukemia (AML).</p><p><strong>Methods: </strong>This cross-sectional case-control study was conducted between Jan 2022 and Dec 2023. Bone marrow samples were collected from 20 healthy individuals and 15 patients with AML. Flow cytometry, real-time polymerase chain reaction (PCR), and western blotting were used to evaluate the frequency of Treg and IDO expression levels.</p><p><strong>Results: </strong>The Treg percentage among total lymphocytes was lower in the AML group than that in the normal group. However, Treg percentage among T-helper (Th) lymphocytes was significantly higher in the AML group than that in the normal group (p < 0.05). The mean IDO expression in the AML group was significantly higher than that in the normal group (p = 0.004). A significant relationship was observed between IDO expression and Treg percentage among Th lymphocytes in the AML group (correlation = 0.637; p = 0.003). Moreover, western blot analysis showed a significant increase in IDO protein intensity in the AML group compared with that in the control group (p < 0.001). A significant difference was observed between the IDO concentrations in the AML group and that in the control group (p < 0.001). In addition, a significant difference between TGF-β levels in the AML group and those in the control group (p < 0.01) was observed.</p><p><strong>Conclusion: </strong>IDO inhibition using novel IDO inhibitors along with chemotherapy is a promising approach to overcome the immune escape mechanisms in patients with AML, who exhibit increased levels of IDO expression and Tregs.</p>","PeriodicalId":46224,"journal":{"name":"Blood Research","volume":"59 1","pages":"42"},"PeriodicalIF":2.8000,"publicationDate":"2024-12-18","publicationTypes":"Journal Article","fieldsOfStudy":null,"isOpenAccess":false,"openAccessPdf":"https://www.ncbi.nlm.nih.gov/pmc/articles/PMC11655893/pdf/","citationCount":"0","resultStr":"{\"title\":\"Increased IDO expression and regulatory T cells in acute myeloid leukemia: implications for immune escape and therapeutic targeting.\",\"authors\":\"Raziyeh Hakak, Behzad Poopak, Ahmad Majd\",\"doi\":\"10.1007/s44313-024-00048-0\",\"DOIUrl\":null,\"url\":null,\"abstract\":\"<p><strong>Purpose: </strong>This study aimed to determine the frequency of regulatory T cells (Tregs) (CD4<sup>+</sup>/FOXP3<sup>+</sup>) and indoleamine 2,3-dioxygenase (IDO) expression in patients with acute myeloid leukemia (AML).</p><p><strong>Methods: </strong>This cross-sectional case-control study was conducted between Jan 2022 and Dec 2023. Bone marrow samples were collected from 20 healthy individuals and 15 patients with AML. Flow cytometry, real-time polymerase chain reaction (PCR), and western blotting were used to evaluate the frequency of Treg and IDO expression levels.</p><p><strong>Results: </strong>The Treg percentage among total lymphocytes was lower in the AML group than that in the normal group. However, Treg percentage among T-helper (Th) lymphocytes was significantly higher in the AML group than that in the normal group (p < 0.05). The mean IDO expression in the AML group was significantly higher than that in the normal group (p = 0.004). A significant relationship was observed between IDO expression and Treg percentage among Th lymphocytes in the AML group (correlation = 0.637; p = 0.003). Moreover, western blot analysis showed a significant increase in IDO protein intensity in the AML group compared with that in the control group (p < 0.001). A significant difference was observed between the IDO concentrations in the AML group and that in the control group (p < 0.001). In addition, a significant difference between TGF-β levels in the AML group and those in the control group (p < 0.01) was observed.</p><p><strong>Conclusion: </strong>IDO inhibition using novel IDO inhibitors along with chemotherapy is a promising approach to overcome the immune escape mechanisms in patients with AML, who exhibit increased levels of IDO expression and Tregs.</p>\",\"PeriodicalId\":46224,\"journal\":{\"name\":\"Blood Research\",\"volume\":\"59 1\",\"pages\":\"42\"},\"PeriodicalIF\":2.8000,\"publicationDate\":\"2024-12-18\",\"publicationTypes\":\"Journal Article\",\"fieldsOfStudy\":null,\"isOpenAccess\":false,\"openAccessPdf\":\"https://www.ncbi.nlm.nih.gov/pmc/articles/PMC11655893/pdf/\",\"citationCount\":\"0\",\"resultStr\":null,\"platform\":\"Semanticscholar\",\"paperid\":null,\"PeriodicalName\":\"Blood Research\",\"FirstCategoryId\":\"1085\",\"ListUrlMain\":\"https://doi.org/10.1007/s44313-024-00048-0\",\"RegionNum\":0,\"RegionCategory\":null,\"ArticlePicture\":[],\"TitleCN\":null,\"AbstractTextCN\":null,\"PMCID\":null,\"EPubDate\":\"\",\"PubModel\":\"\",\"JCR\":\"Q2\",\"JCRName\":\"HEMATOLOGY\",\"Score\":null,\"Total\":0}","platform":"Semanticscholar","paperid":null,"PeriodicalName":"Blood Research","FirstCategoryId":"1085","ListUrlMain":"https://doi.org/10.1007/s44313-024-00048-0","RegionNum":0,"RegionCategory":null,"ArticlePicture":[],"TitleCN":null,"AbstractTextCN":null,"PMCID":null,"EPubDate":"","PubModel":"","JCR":"Q2","JCRName":"HEMATOLOGY","Score":null,"Total":0}
引用次数: 0

摘要

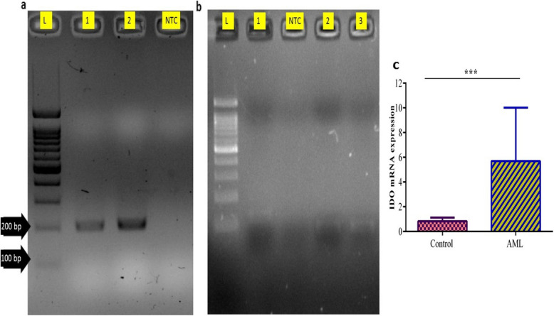
目的:本研究旨在检测调节性T细胞(Tregs) (CD4+/FOXP3+)和吲哚胺2,3-双加氧酶(IDO)在急性髓性白血病(AML)患者中的表达频率。方法:横断面病例对照研究于2022年1月至2023年12月进行。采集了20名健康个体和15名AML患者的骨髓样本。流式细胞术、实时聚合酶链反应(real-time polymerase chain reaction, PCR)和western blotting检测Treg和IDO表达频率。结果:AML组Treg占总淋巴细胞的比例明显低于正常组。然而,AML组t辅助淋巴细胞(Th)中的Treg百分比明显高于正常组(p结论:使用新型IDO抑制剂和化疗抑制IDO是克服AML患者免疫逃逸机制的一种有希望的方法,AML患者表现出IDO表达和Treg水平升高。
本文章由计算机程序翻译,如有差异,请以英文原文为准。

Increased IDO expression and regulatory T cells in acute myeloid leukemia: implications for immune escape and therapeutic targeting.

Increased IDO expression and regulatory T cells in acute myeloid leukemia: implications for immune escape and therapeutic targeting.

Increased IDO expression and regulatory T cells in acute myeloid leukemia: implications for immune escape and therapeutic targeting.

Increased IDO expression and regulatory T cells in acute myeloid leukemia: implications for immune escape and therapeutic targeting.

Purpose: This study aimed to determine the frequency of regulatory T cells (Tregs) (CD4+/FOXP3+) and indoleamine 2,3-dioxygenase (IDO) expression in patients with acute myeloid leukemia (AML).

Methods: This cross-sectional case-control study was conducted between Jan 2022 and Dec 2023. Bone marrow samples were collected from 20 healthy individuals and 15 patients with AML. Flow cytometry, real-time polymerase chain reaction (PCR), and western blotting were used to evaluate the frequency of Treg and IDO expression levels.

Results: The Treg percentage among total lymphocytes was lower in the AML group than that in the normal group. However, Treg percentage among T-helper (Th) lymphocytes was significantly higher in the AML group than that in the normal group (p < 0.05). The mean IDO expression in the AML group was significantly higher than that in the normal group (p = 0.004). A significant relationship was observed between IDO expression and Treg percentage among Th lymphocytes in the AML group (correlation = 0.637; p = 0.003). Moreover, western blot analysis showed a significant increase in IDO protein intensity in the AML group compared with that in the control group (p < 0.001). A significant difference was observed between the IDO concentrations in the AML group and that in the control group (p < 0.001). In addition, a significant difference between TGF-β levels in the AML group and those in the control group (p < 0.01) was observed.

Conclusion: IDO inhibition using novel IDO inhibitors along with chemotherapy is a promising approach to overcome the immune escape mechanisms in patients with AML, who exhibit increased levels of IDO expression and Tregs.

求助全文
通过发布文献求助,成功后即可免费获取论文全文。 去求助
来源期刊
Blood Research
Blood Research HEMATOLOGY-
CiteScore
3.70
自引率
0.00%
发文量
64
×
引用
GB/T 7714-2015
复制
MLA
复制
APA
复制
导出至
BibTeX EndNote RefMan NoteFirst NoteExpress
×
提示
您的信息不完整,为了账户安全,请先补充。
现在去补充
×
提示
您因"违规操作"
具体请查看互助需知
我知道了
×
提示
确定
请完成安全验证×
copy
已复制链接
快去分享给好友吧!
我知道了
右上角分享
点击右上角分享
0
联系我们:info@booksci.cn Book学术提供免费学术资源搜索服务,方便国内外学者检索中英文文献。致力于提供最便捷和优质的服务体验。 Copyright © 2023 布克学术 All rights reserved.
京ICP备2023020795号-1
ghs 京公网安备 11010802042870号
Book学术文献互助
Book学术文献互助群
群 号:604180095
Book学术官方微信