脑出血伴Churg - strauss - strauss综合征:多学科合作和文献综述。

IF 2.8 Q2 PERIPHERAL VASCULAR DISEASE
Vascular Health and Risk Management Pub Date : 2024-12-14 eCollection Date: 2024-01-01 DOI:10.2147/VHRM.S489212
Pu Bai, Peitao Xie
{"title":"脑出血伴Churg - strauss - strauss综合征:多学科合作和文献综述。","authors":"Pu Bai, Peitao Xie","doi":"10.2147/VHRM.S489212","DOIUrl":null,"url":null,"abstract":"<p><strong>Objective: </strong>To explore the clinical characteristics and treatment outcomes of intracerebral hemorrhage in eosinophilic granulomatosis with polyangiitis (EGPA).</p><p><strong>Methods and patient presentation: </strong>We report an 18-year-old student of EGPA complicated with intracerebral hemorrhage. The laboratory tests showed a continuous increase in eosinophils. The CT of head and chest showed cerebral hemorrhage and pulmonary infiltration.</p><p><strong>Interventions: </strong>The patient received an intravenous infusion of methylprednisolone 1g/(kg·d) and cyclophosphamide for 3 days, followed by oral prednisone 1 mg/(kg·d).</p><p><strong>Outcomes: </strong>At discharge, the patient's head and chest CT showed obvious absorption of intracranial hematoma and improvement of pulmonary infiltration. We reviewed 40 previously published cases of EGPA with intracerebral hemorrhage focusing on the clinical features and treatment of intracerebral hemorrhage caused by EGPA.</p><p><strong>Conclusion: </strong>For the cases of EGPA complicated with intracerebral hemorrhage, we should timely differentiate diagnosis and recognition. Early diagnosis with aggressive immunosuppressive therapy can help improve the prognosis of patients EGPA with intracerebral hemorrhage. When a patient is affected by EGPA, it is essential to remain vigilant for signs of Central Nervous System involvement. The treatment with glucocorticoids and cyclophosphamide is effective in managing EGPA.</p>","PeriodicalId":23597,"journal":{"name":"Vascular Health and Risk Management","volume":"20 ","pages":"567-578"},"PeriodicalIF":2.8000,"publicationDate":"2024-12-14","publicationTypes":"Journal Article","fieldsOfStudy":null,"isOpenAccess":false,"openAccessPdf":"https://www.ncbi.nlm.nih.gov/pmc/articles/PMC11653849/pdf/","citationCount":"0","resultStr":"{\"title\":\"Intracerebral Hemorrhage with Churg Strauss-Syndrome: Multidisciplinary Collaboration and Literature Review.\",\"authors\":\"Pu Bai, Peitao Xie\",\"doi\":\"10.2147/VHRM.S489212\",\"DOIUrl\":null,\"url\":null,\"abstract\":\"<p><strong>Objective: </strong>To explore the clinical characteristics and treatment outcomes of intracerebral hemorrhage in eosinophilic granulomatosis with polyangiitis (EGPA).</p><p><strong>Methods and patient presentation: </strong>We report an 18-year-old student of EGPA complicated with intracerebral hemorrhage. The laboratory tests showed a continuous increase in eosinophils. The CT of head and chest showed cerebral hemorrhage and pulmonary infiltration.</p><p><strong>Interventions: </strong>The patient received an intravenous infusion of methylprednisolone 1g/(kg·d) and cyclophosphamide for 3 days, followed by oral prednisone 1 mg/(kg·d).</p><p><strong>Outcomes: </strong>At discharge, the patient's head and chest CT showed obvious absorption of intracranial hematoma and improvement of pulmonary infiltration. We reviewed 40 previously published cases of EGPA with intracerebral hemorrhage focusing on the clinical features and treatment of intracerebral hemorrhage caused by EGPA.</p><p><strong>Conclusion: </strong>For the cases of EGPA complicated with intracerebral hemorrhage, we should timely differentiate diagnosis and recognition. Early diagnosis with aggressive immunosuppressive therapy can help improve the prognosis of patients EGPA with intracerebral hemorrhage. When a patient is affected by EGPA, it is essential to remain vigilant for signs of Central Nervous System involvement. The treatment with glucocorticoids and cyclophosphamide is effective in managing EGPA.</p>\",\"PeriodicalId\":23597,\"journal\":{\"name\":\"Vascular Health and Risk Management\",\"volume\":\"20 \",\"pages\":\"567-578\"},\"PeriodicalIF\":2.8000,\"publicationDate\":\"2024-12-14\",\"publicationTypes\":\"Journal Article\",\"fieldsOfStudy\":null,\"isOpenAccess\":false,\"openAccessPdf\":\"https://www.ncbi.nlm.nih.gov/pmc/articles/PMC11653849/pdf/\",\"citationCount\":\"0\",\"resultStr\":null,\"platform\":\"Semanticscholar\",\"paperid\":null,\"PeriodicalName\":\"Vascular Health and Risk Management\",\"FirstCategoryId\":\"1085\",\"ListUrlMain\":\"https://doi.org/10.2147/VHRM.S489212\",\"RegionNum\":0,\"RegionCategory\":null,\"ArticlePicture\":[],\"TitleCN\":null,\"AbstractTextCN\":null,\"PMCID\":null,\"EPubDate\":\"2024/1/1 0:00:00\",\"PubModel\":\"eCollection\",\"JCR\":\"Q2\",\"JCRName\":\"PERIPHERAL VASCULAR DISEASE\",\"Score\":null,\"Total\":0}","platform":"Semanticscholar","paperid":null,"PeriodicalName":"Vascular Health and Risk Management","FirstCategoryId":"1085","ListUrlMain":"https://doi.org/10.2147/VHRM.S489212","RegionNum":0,"RegionCategory":null,"ArticlePicture":[],"TitleCN":null,"AbstractTextCN":null,"PMCID":null,"EPubDate":"2024/1/1 0:00:00","PubModel":"eCollection","JCR":"Q2","JCRName":"PERIPHERAL VASCULAR DISEASE","Score":null,"Total":0}
引用次数: 0

摘要

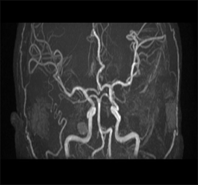
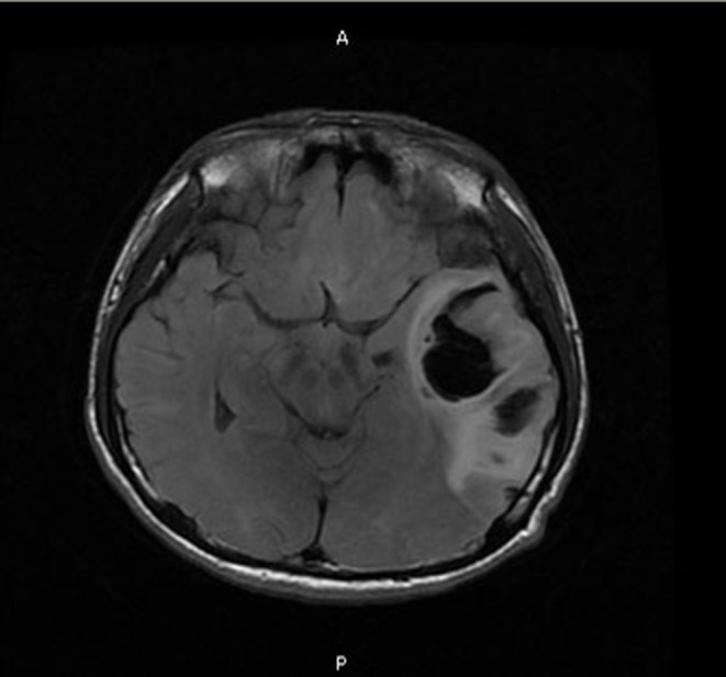
目的:探讨嗜酸性肉芽肿病合并多血管炎(EGPA)并发脑出血的临床特点及治疗效果。方法和患者表现:我们报告了一例18岁的EGPA学生并发脑出血。实验室检查显示嗜酸性粒细胞持续增加。头部及胸部CT示脑出血及肺部浸润。干预措施:甲泼尼龙1g/(kg·d)、环磷酰胺静脉滴注3天,强的松1mg /(kg·d)口服。出院时,患者头部及胸部CT显示颅内血肿明显吸收,肺部浸润改善。我们回顾了以往发表的40例EGPA合并脑出血的病例,重点介绍了EGPA引起脑出血的临床特点和治疗方法。结论:对于EGPA合并脑出血的病例,应及时鉴别诊断和识别。早期诊断和积极的免疫抑制治疗有助于改善EGPA合并脑出血患者的预后。当患者受到EGPA的影响时,必须对中枢神经系统受累的迹象保持警惕。糖皮质激素和环磷酰胺治疗EGPA是有效的。
本文章由计算机程序翻译,如有差异,请以英文原文为准。

Intracerebral Hemorrhage with Churg Strauss-Syndrome: Multidisciplinary Collaboration and Literature Review.

Intracerebral Hemorrhage with Churg Strauss-Syndrome: Multidisciplinary Collaboration and Literature Review.

Intracerebral Hemorrhage with Churg Strauss-Syndrome: Multidisciplinary Collaboration and Literature Review.

Intracerebral Hemorrhage with Churg Strauss-Syndrome: Multidisciplinary Collaboration and Literature Review.

Objective: To explore the clinical characteristics and treatment outcomes of intracerebral hemorrhage in eosinophilic granulomatosis with polyangiitis (EGPA).

Methods and patient presentation: We report an 18-year-old student of EGPA complicated with intracerebral hemorrhage. The laboratory tests showed a continuous increase in eosinophils. The CT of head and chest showed cerebral hemorrhage and pulmonary infiltration.

Interventions: The patient received an intravenous infusion of methylprednisolone 1g/(kg·d) and cyclophosphamide for 3 days, followed by oral prednisone 1 mg/(kg·d).

Outcomes: At discharge, the patient's head and chest CT showed obvious absorption of intracranial hematoma and improvement of pulmonary infiltration. We reviewed 40 previously published cases of EGPA with intracerebral hemorrhage focusing on the clinical features and treatment of intracerebral hemorrhage caused by EGPA.

Conclusion: For the cases of EGPA complicated with intracerebral hemorrhage, we should timely differentiate diagnosis and recognition. Early diagnosis with aggressive immunosuppressive therapy can help improve the prognosis of patients EGPA with intracerebral hemorrhage. When a patient is affected by EGPA, it is essential to remain vigilant for signs of Central Nervous System involvement. The treatment with glucocorticoids and cyclophosphamide is effective in managing EGPA.

求助全文
通过发布文献求助,成功后即可免费获取论文全文。 去求助
来源期刊
Vascular Health and Risk Management
Vascular Health and Risk Management PERIPHERAL VASCULAR DISEASE-
CiteScore
4.20
自引率
3.40%
发文量
109
审稿时长
16 weeks
期刊介绍: An international, peer-reviewed journal of therapeutics and risk management, focusing on concise rapid reporting of clinical studies on the processes involved in the maintenance of vascular health; the monitoring, prevention, and treatment of vascular disease and its sequelae; and the involvement of metabolic disorders, particularly diabetes. In addition, the journal will also seek to define drug usage in terms of ultimate uptake and acceptance by the patient and healthcare professional.
×
引用
GB/T 7714-2015
复制
MLA
复制
APA
复制
导出至
BibTeX EndNote RefMan NoteFirst NoteExpress
×
提示
您的信息不完整,为了账户安全,请先补充。
现在去补充
×
提示
您因"违规操作"
具体请查看互助需知
我知道了
×
提示
确定
请完成安全验证×
copy
已复制链接
快去分享给好友吧!
我知道了
右上角分享
点击右上角分享
0
联系我们:info@booksci.cn Book学术提供免费学术资源搜索服务,方便国内外学者检索中英文文献。致力于提供最便捷和优质的服务体验。 Copyright © 2023 布克学术 All rights reserved.
京ICP备2023020795号-1
ghs 京公网安备 11010802042870号
Book学术文献互助
Book学术文献互助群
群 号:604180095
Book学术官方微信