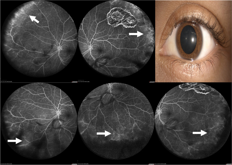
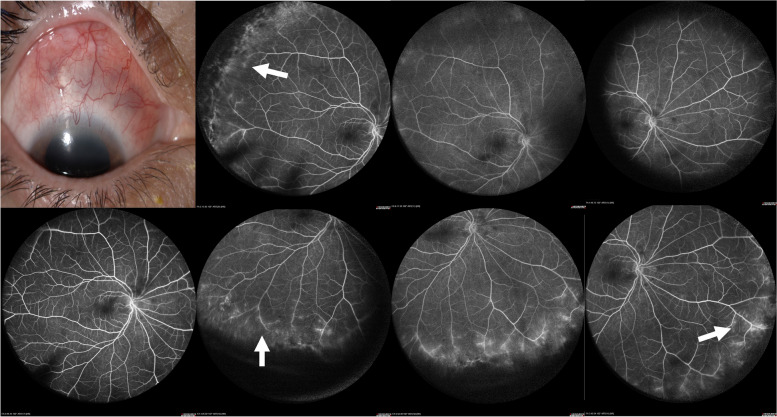
活动性前巩膜炎的宽视场荧光素血管造影表现。

IF 2.3 Q1 OPHTHALMOLOGY
Juan C Romo-Aguas, Miguel Zavaleta-Mercado, Rashel Cheja-Kalb, Claudia Hubbe-Tena, Luz Elena Concha-Del-Río
{"title":"活动性前巩膜炎的宽视场荧光素血管造影表现。","authors":"Juan C Romo-Aguas, Miguel Zavaleta-Mercado, Rashel Cheja-Kalb, Claudia Hubbe-Tena, Luz Elena Concha-Del-Río","doi":"10.1186/s12348-024-00439-5","DOIUrl":null,"url":null,"abstract":"<p><strong>Objective: </strong>Describe the proportion of patients with wide-field fluorescein angiographic (WFFA) findings in patients with active anterior scleritis.</p><p><strong>Methods: </strong>An observational, descriptive, cross-sectional study of the WFFA findings of patients with active anterior scleritis including nodular, diffuse, or necrotizing involvement was performed. Studies were performed with the Heidelberg Spectralis module (102º). Images were saved and assessed by two masked co-authors.</p><p><strong>Results: </strong>Seventy-nine eyes from 39 patients, 31 (79%) females with a mean age of 50.5 years ± 13.98. Mean best-corrected visual acuity (BCVA) of 0.1343 ± 0.2475 logMar or 20/27. WFFA findings were observed in 39.58% of eyes with active scleritis and in 16.66% of eyes without scleritis. Systemic association was present at 50%, with ANCA-associated vasculitis being the most prevalent. WFFA findings were more frequent in cases of anterior diffuse scleritis and correlated with scleritis severity when central and peripheral leakage (p < 0.022) and cystoid macular edema (p < 0.013) were present.</p><p><strong>Conclusions: </strong>Almost 40% of eyes with anterior scleritis have WFFA findings of vascular leakage and 16% of eyes without scleritis. Retinal vascular leakage needs to be explored as a sign of local and/or systemic activity in patients with anterior scleritis and may have implications for disease severity and management.</p>","PeriodicalId":16600,"journal":{"name":"Journal of Ophthalmic Inflammation and Infection","volume":"14 1","pages":"67"},"PeriodicalIF":2.3000,"publicationDate":"2024-12-18","publicationTypes":"Journal Article","fieldsOfStudy":null,"isOpenAccess":false,"openAccessPdf":"https://www.ncbi.nlm.nih.gov/pmc/articles/PMC11655717/pdf/","citationCount":"0","resultStr":"{\"title\":\"Wide-field fluorescein angiography findings in active anterior scleritis.\",\"authors\":\"Juan C Romo-Aguas, Miguel Zavaleta-Mercado, Rashel Cheja-Kalb, Claudia Hubbe-Tena, Luz Elena Concha-Del-Río\",\"doi\":\"10.1186/s12348-024-00439-5\",\"DOIUrl\":null,\"url\":null,\"abstract\":\"<p><strong>Objective: </strong>Describe the proportion of patients with wide-field fluorescein angiographic (WFFA) findings in patients with active anterior scleritis.</p><p><strong>Methods: </strong>An observational, descriptive, cross-sectional study of the WFFA findings of patients with active anterior scleritis including nodular, diffuse, or necrotizing involvement was performed. Studies were performed with the Heidelberg Spectralis module (102º). Images were saved and assessed by two masked co-authors.</p><p><strong>Results: </strong>Seventy-nine eyes from 39 patients, 31 (79%) females with a mean age of 50.5 years ± 13.98. Mean best-corrected visual acuity (BCVA) of 0.1343 ± 0.2475 logMar or 20/27. WFFA findings were observed in 39.58% of eyes with active scleritis and in 16.66% of eyes without scleritis. Systemic association was present at 50%, with ANCA-associated vasculitis being the most prevalent. WFFA findings were more frequent in cases of anterior diffuse scleritis and correlated with scleritis severity when central and peripheral leakage (p < 0.022) and cystoid macular edema (p < 0.013) were present.</p><p><strong>Conclusions: </strong>Almost 40% of eyes with anterior scleritis have WFFA findings of vascular leakage and 16% of eyes without scleritis. Retinal vascular leakage needs to be explored as a sign of local and/or systemic activity in patients with anterior scleritis and may have implications for disease severity and management.</p>\",\"PeriodicalId\":16600,\"journal\":{\"name\":\"Journal of Ophthalmic Inflammation and Infection\",\"volume\":\"14 1\",\"pages\":\"67\"},\"PeriodicalIF\":2.3000,\"publicationDate\":\"2024-12-18\",\"publicationTypes\":\"Journal Article\",\"fieldsOfStudy\":null,\"isOpenAccess\":false,\"openAccessPdf\":\"https://www.ncbi.nlm.nih.gov/pmc/articles/PMC11655717/pdf/\",\"citationCount\":\"0\",\"resultStr\":null,\"platform\":\"Semanticscholar\",\"paperid\":null,\"PeriodicalName\":\"Journal of Ophthalmic Inflammation and Infection\",\"FirstCategoryId\":\"1085\",\"ListUrlMain\":\"https://doi.org/10.1186/s12348-024-00439-5\",\"RegionNum\":0,\"RegionCategory\":null,\"ArticlePicture\":[],\"TitleCN\":null,\"AbstractTextCN\":null,\"PMCID\":null,\"EPubDate\":\"\",\"PubModel\":\"\",\"JCR\":\"Q1\",\"JCRName\":\"OPHTHALMOLOGY\",\"Score\":null,\"Total\":0}","platform":"Semanticscholar","paperid":null,"PeriodicalName":"Journal of Ophthalmic Inflammation and Infection","FirstCategoryId":"1085","ListUrlMain":"https://doi.org/10.1186/s12348-024-00439-5","RegionNum":0,"RegionCategory":null,"ArticlePicture":[],"TitleCN":null,"AbstractTextCN":null,"PMCID":null,"EPubDate":"","PubModel":"","JCR":"Q1","JCRName":"OPHTHALMOLOGY","Score":null,"Total":0}
引用次数: 0

摘要

目的:描述在活动性前巩膜炎患者中出现宽视场荧光素血管造影(WFFA)的比例。方法:对活动性前巩膜炎患者的WFFA检查结果进行观察性、描述性、横断面研究,包括结节性、弥漫性或坏死性受累。研究使用海德堡光谱仪模块(102º)进行。图像由两位蒙面的共同作者保存和评估。结果:39例患者79只眼,女性31例(79%),平均年龄50.5岁±13.98岁。平均最佳矫正视力(BCVA)为0.1343±0.2475 logMar或20/27。39.58%的活动性巩膜炎眼和16.66%的非活动性巩膜炎眼存在WFFA。全身相关性为50%,与anca相关的血管炎最为普遍。WFFA结果在前弥漫性巩膜炎病例中更为常见,并与中枢性和外周性巩膜渗漏的巩膜严重程度相关(p结论:近40%的前巩膜炎患者有血管渗漏的WFFA结果,无巩膜炎的患者有16%。视网膜血管渗漏需要作为前巩膜炎患者局部和/或全身性活动的标志进行探索,并可能对疾病的严重程度和管理产生影响。
本文章由计算机程序翻译,如有差异,请以英文原文为准。

Wide-field fluorescein angiography findings in active anterior scleritis.

Wide-field fluorescein angiography findings in active anterior scleritis.

Wide-field fluorescein angiography findings in active anterior scleritis.

Wide-field fluorescein angiography findings in active anterior scleritis.

Objective: Describe the proportion of patients with wide-field fluorescein angiographic (WFFA) findings in patients with active anterior scleritis.

Methods: An observational, descriptive, cross-sectional study of the WFFA findings of patients with active anterior scleritis including nodular, diffuse, or necrotizing involvement was performed. Studies were performed with the Heidelberg Spectralis module (102º). Images were saved and assessed by two masked co-authors.

Results: Seventy-nine eyes from 39 patients, 31 (79%) females with a mean age of 50.5 years ± 13.98. Mean best-corrected visual acuity (BCVA) of 0.1343 ± 0.2475 logMar or 20/27. WFFA findings were observed in 39.58% of eyes with active scleritis and in 16.66% of eyes without scleritis. Systemic association was present at 50%, with ANCA-associated vasculitis being the most prevalent. WFFA findings were more frequent in cases of anterior diffuse scleritis and correlated with scleritis severity when central and peripheral leakage (p < 0.022) and cystoid macular edema (p < 0.013) were present.

Conclusions: Almost 40% of eyes with anterior scleritis have WFFA findings of vascular leakage and 16% of eyes without scleritis. Retinal vascular leakage needs to be explored as a sign of local and/or systemic activity in patients with anterior scleritis and may have implications for disease severity and management.

求助全文
通过发布文献求助,成功后即可免费获取论文全文。 去求助
来源期刊
CiteScore
3.80
自引率
3.40%
发文量
39
审稿时长
13 weeks
×
引用
GB/T 7714-2015
复制
MLA
复制
APA
复制
导出至
BibTeX EndNote RefMan NoteFirst NoteExpress
×
提示
您的信息不完整,为了账户安全,请先补充。
现在去补充
×
提示
您因"违规操作"
具体请查看互助需知
我知道了
×
提示
确定
请完成安全验证×
copy
已复制链接
快去分享给好友吧!
我知道了
右上角分享
点击右上角分享
0
联系我们:info@booksci.cn Book学术提供免费学术资源搜索服务,方便国内外学者检索中英文文献。致力于提供最便捷和优质的服务体验。 Copyright © 2023 布克学术 All rights reserved.
京ICP备2023020795号-1
ghs 京公网安备 11010802042870号
Book学术文献互助
Book学术文献互助群
群 号:604180095
Book学术官方微信