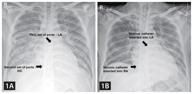
使用新型双心房插管进行股静脉-动脉体外膜肺氧合,以实现静脉引流和左心室通气。

IF 2.4 4区 医学 Q2 MEDICINE, GENERAL & INTERNAL
Korean Journal of Internal Medicine Pub Date : 2025-01-01 Epub Date: 2024-12-18 DOI:10.3904/kjim.2024.046
Jun Hwan Cho, Woosik Han, Eun Jeong Cho, Sang-Yeub Lee, Sang-Wook Kim
{"title":"使用新型双心房插管进行股静脉-动脉体外膜肺氧合,以实现静脉引流和左心室通气。","authors":"Jun Hwan Cho, Woosik Han, Eun Jeong Cho, Sang-Yeub Lee, Sang-Wook Kim","doi":"10.3904/kjim.2024.046","DOIUrl":null,"url":null,"abstract":"","PeriodicalId":48785,"journal":{"name":"Korean Journal of Internal Medicine","volume":" ","pages":"160-161"},"PeriodicalIF":2.4000,"publicationDate":"2025-01-01","publicationTypes":"Journal Article","fieldsOfStudy":null,"isOpenAccess":false,"openAccessPdf":"https://www.ncbi.nlm.nih.gov/pmc/articles/PMC11725479/pdf/","citationCount":"0","resultStr":"{\"title\":\"Femoral veno-arterial extracorporeal membrane oxygenation with a novel biatrial cannula for venous drainage and left ventricular venting.\",\"authors\":\"Jun Hwan Cho, Woosik Han, Eun Jeong Cho, Sang-Yeub Lee, Sang-Wook Kim\",\"doi\":\"10.3904/kjim.2024.046\",\"DOIUrl\":null,\"url\":null,\"abstract\":\"\",\"PeriodicalId\":48785,\"journal\":{\"name\":\"Korean Journal of Internal Medicine\",\"volume\":\" \",\"pages\":\"160-161\"},\"PeriodicalIF\":2.4000,\"publicationDate\":\"2025-01-01\",\"publicationTypes\":\"Journal Article\",\"fieldsOfStudy\":null,\"isOpenAccess\":false,\"openAccessPdf\":\"https://www.ncbi.nlm.nih.gov/pmc/articles/PMC11725479/pdf/\",\"citationCount\":\"0\",\"resultStr\":null,\"platform\":\"Semanticscholar\",\"paperid\":null,\"PeriodicalName\":\"Korean Journal of Internal Medicine\",\"FirstCategoryId\":\"3\",\"ListUrlMain\":\"https://doi.org/10.3904/kjim.2024.046\",\"RegionNum\":4,\"RegionCategory\":\"医学\",\"ArticlePicture\":[],\"TitleCN\":null,\"AbstractTextCN\":null,\"PMCID\":null,\"EPubDate\":\"2024/12/18 0:00:00\",\"PubModel\":\"Epub\",\"JCR\":\"Q2\",\"JCRName\":\"MEDICINE, GENERAL & INTERNAL\",\"Score\":null,\"Total\":0}","platform":"Semanticscholar","paperid":null,"PeriodicalName":"Korean Journal of Internal Medicine","FirstCategoryId":"3","ListUrlMain":"https://doi.org/10.3904/kjim.2024.046","RegionNum":4,"RegionCategory":"医学","ArticlePicture":[],"TitleCN":null,"AbstractTextCN":null,"PMCID":null,"EPubDate":"2024/12/18 0:00:00","PubModel":"Epub","JCR":"Q2","JCRName":"MEDICINE, GENERAL & INTERNAL","Score":null,"Total":0}
引用次数: 0

摘要

本文章由计算机程序翻译,如有差异,请以英文原文为准。

Femoral veno-arterial extracorporeal membrane oxygenation with a novel biatrial cannula for venous drainage and left ventricular venting.

Femoral veno-arterial extracorporeal membrane oxygenation with a novel biatrial cannula for venous drainage and left ventricular venting.

Femoral veno-arterial extracorporeal membrane oxygenation with a novel biatrial cannula for venous drainage and left ventricular venting.
求助全文
通过发布文献求助,成功后即可免费获取论文全文。 去求助
来源期刊
Korean Journal of Internal Medicine
Korean Journal of Internal Medicine MEDICINE, GENERAL & INTERNAL-
CiteScore
5.10
自引率
4.20%
发文量
129
审稿时长
20 weeks
期刊介绍: The Korean Journal of Internal Medicine is an international medical journal published in English by the Korean Association of Internal Medicine. The Journal publishes peer-reviewed original articles, reviews, and editorials on all aspects of medicine, including clinical investigations and basic research. Both human and experimental animal studies are welcome, as are new findings on the epidemiology, pathogenesis, diagnosis, and treatment of diseases. Case reports will be published only in exceptional circumstances, when they illustrate a rare occurrence of clinical importance. Letters to the editor are encouraged for specific comments on published articles and general viewpoints.
×
引用
GB/T 7714-2015
复制
MLA
复制
APA
复制
导出至
BibTeX EndNote RefMan NoteFirst NoteExpress
×
提示
您的信息不完整,为了账户安全,请先补充。
现在去补充
×
提示
您因"违规操作"
具体请查看互助需知
我知道了
×
提示
确定
请完成安全验证×
copy
已复制链接
快去分享给好友吧!
我知道了
右上角分享
点击右上角分享
0
联系我们:info@booksci.cn Book学术提供免费学术资源搜索服务,方便国内外学者检索中英文文献。致力于提供最便捷和优质的服务体验。 Copyright © 2023 布克学术 All rights reserved.
京ICP备2023020795号-1
ghs 京公网安备 11010802042870号
Book学术文献互助
Book学术文献互助群
群 号:604180095
Book学术官方微信