Nestin和fms相关酪氨酸激酶1 (FLT1)对肾细胞癌肿瘤血管微环境的调节及其预后意义

Q3 Medicine
Iranian Journal of Pathology Pub Date : 2024-01-01 Epub Date: 2024-03-03 DOI:10.30699/IJP.2024.2024190.3266
Noha Elkady, Reham Ahmed Abdelaziz, Rasha Adel Abdelmoneum, Ahmed S Ghonaimy, Dina Mohamed Allam
{"title":"Nestin和fms相关酪氨酸激酶1 (FLT1)对肾细胞癌肿瘤血管微环境的调节及其预后意义","authors":"Noha Elkady, Reham Ahmed Abdelaziz, Rasha Adel Abdelmoneum, Ahmed S Ghonaimy, Dina Mohamed Allam","doi":"10.30699/IJP.2024.2024190.3266","DOIUrl":null,"url":null,"abstract":"<p><strong>Background & objective: </strong>Hypervascularity is a characteristic feature of renal cell carcinoma (RCC) and microvessel density (MVD) predicts tumor metastasis. Nestin is a stem cell marker that is expressed in proliferating endothelial cells and newly formed vessels and Fms-related tyrosine kinase 1 (FLT1) is a proangiogenic factor. This study aimed to evaluate the expression of Nestin and FLT1 in RCC and their prognostic impact.</p><p><strong>Methods: </strong>This retrospective study included sixty cases of RCC after obtaining ethical approval. Sections were immunohistochemically stained by Nestin and FLT1 then their expressions were compared to different clinicopathological parameters. MVD was evaluated using Nestin and CD34 and compared to the different parameters.</p><p><strong>Results: </strong>Nestin was expressed mainly in endothelial cells of small vessels in 65% of cases while FLT1 was expressed in tumor and endothelial cells in 73.3% of cases. Their expressions were significantly associated with aggressive tumor parameters including larger tumors, high-grade tumors, wider tumor extension, and advanced stage. Moreover, Nestin expression was significantly associated with metastasis. MVD evaluated by Nestin showed more associations with larger tumors, high-grade tumors, wider tumor extension, advanced stage, and metastasis than MVD measured by CD34. Nestin and FLT1 positivity and high MVD measured by Nestin were significantly associated with short overall survival.</p><p><strong>Conclusion: </strong>Nestin and FLT1 expressions in RCC may be associated with aggressive tumor features and short patients' overall survival. MVD evaluated by Nestin may be correlated with tumor progression and metastasis. Nestin and FLT1 may be used as prognostic biomarkers in RCC.</p>","PeriodicalId":38900,"journal":{"name":"Iranian Journal of Pathology","volume":"19 3","pages":"332-341"},"PeriodicalIF":0.0000,"publicationDate":"2024-01-01","publicationTypes":"Journal Article","fieldsOfStudy":null,"isOpenAccess":false,"openAccessPdf":"https://www.ncbi.nlm.nih.gov/pmc/articles/PMC11646198/pdf/","citationCount":"0","resultStr":"{\"title\":\"Regulation of Tumor Vascular Microenvironment by Nestin and Fms-related Tyrosine Kinase 1 (FLT1) and Their Prognostic Significance in Renal Cell Carcinoma.\",\"authors\":\"Noha Elkady, Reham Ahmed Abdelaziz, Rasha Adel Abdelmoneum, Ahmed S Ghonaimy, Dina Mohamed Allam\",\"doi\":\"10.30699/IJP.2024.2024190.3266\",\"DOIUrl\":null,\"url\":null,\"abstract\":\"<p><strong>Background & objective: </strong>Hypervascularity is a characteristic feature of renal cell carcinoma (RCC) and microvessel density (MVD) predicts tumor metastasis. Nestin is a stem cell marker that is expressed in proliferating endothelial cells and newly formed vessels and Fms-related tyrosine kinase 1 (FLT1) is a proangiogenic factor. This study aimed to evaluate the expression of Nestin and FLT1 in RCC and their prognostic impact.</p><p><strong>Methods: </strong>This retrospective study included sixty cases of RCC after obtaining ethical approval. Sections were immunohistochemically stained by Nestin and FLT1 then their expressions were compared to different clinicopathological parameters. MVD was evaluated using Nestin and CD34 and compared to the different parameters.</p><p><strong>Results: </strong>Nestin was expressed mainly in endothelial cells of small vessels in 65% of cases while FLT1 was expressed in tumor and endothelial cells in 73.3% of cases. Their expressions were significantly associated with aggressive tumor parameters including larger tumors, high-grade tumors, wider tumor extension, and advanced stage. Moreover, Nestin expression was significantly associated with metastasis. MVD evaluated by Nestin showed more associations with larger tumors, high-grade tumors, wider tumor extension, advanced stage, and metastasis than MVD measured by CD34. Nestin and FLT1 positivity and high MVD measured by Nestin were significantly associated with short overall survival.</p><p><strong>Conclusion: </strong>Nestin and FLT1 expressions in RCC may be associated with aggressive tumor features and short patients' overall survival. MVD evaluated by Nestin may be correlated with tumor progression and metastasis. Nestin and FLT1 may be used as prognostic biomarkers in RCC.</p>\",\"PeriodicalId\":38900,\"journal\":{\"name\":\"Iranian Journal of Pathology\",\"volume\":\"19 3\",\"pages\":\"332-341\"},\"PeriodicalIF\":0.0000,\"publicationDate\":\"2024-01-01\",\"publicationTypes\":\"Journal Article\",\"fieldsOfStudy\":null,\"isOpenAccess\":false,\"openAccessPdf\":\"https://www.ncbi.nlm.nih.gov/pmc/articles/PMC11646198/pdf/\",\"citationCount\":\"0\",\"resultStr\":null,\"platform\":\"Semanticscholar\",\"paperid\":null,\"PeriodicalName\":\"Iranian Journal of Pathology\",\"FirstCategoryId\":\"1085\",\"ListUrlMain\":\"https://doi.org/10.30699/IJP.2024.2024190.3266\",\"RegionNum\":0,\"RegionCategory\":null,\"ArticlePicture\":[],\"TitleCN\":null,\"AbstractTextCN\":null,\"PMCID\":null,\"EPubDate\":\"2024/3/3 0:00:00\",\"PubModel\":\"Epub\",\"JCR\":\"Q3\",\"JCRName\":\"Medicine\",\"Score\":null,\"Total\":0}","platform":"Semanticscholar","paperid":null,"PeriodicalName":"Iranian Journal of Pathology","FirstCategoryId":"1085","ListUrlMain":"https://doi.org/10.30699/IJP.2024.2024190.3266","RegionNum":0,"RegionCategory":null,"ArticlePicture":[],"TitleCN":null,"AbstractTextCN":null,"PMCID":null,"EPubDate":"2024/3/3 0:00:00","PubModel":"Epub","JCR":"Q3","JCRName":"Medicine","Score":null,"Total":0}
引用次数: 0

摘要

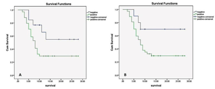
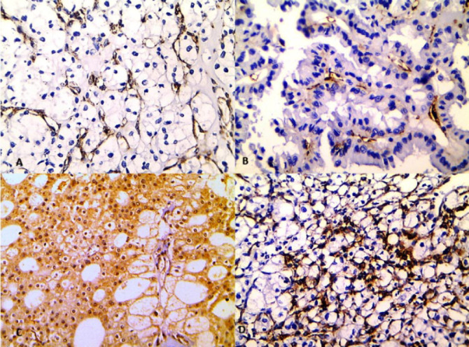
背景与目的:血管过多是肾细胞癌(RCC)的一个特征,微血管密度(MVD)可预测肿瘤转移。Nestin是一种干细胞标记物,可在增殖的内皮细胞和新形成的血管中表达,而Fms相关酪氨酸激酶1(FLT1)是一种促血管生成因子。本研究旨在评估 Nestin 和 FLT1 在 RCC 中的表达及其对预后的影响:这项回顾性研究在获得伦理批准后纳入了 60 例 RCC 病例。切片经 Nestin 和 FLT1 免疫组化染色后,将其表达与不同的临床病理参数进行比较。用Nestin和CD34评估MVD,并与不同的参数进行比较:结果:65%的病例中,Nestin主要在小血管内皮细胞中表达,而73.3%的病例中,FLT1在肿瘤和内皮细胞中表达。它们的表达与侵袭性肿瘤参数(包括肿瘤较大、高级别肿瘤、肿瘤扩展范围较广和晚期)明显相关。此外,Nestin的表达与肿瘤转移也有明显相关性。与用CD34测量的MVD相比,用Nestin评估的MVD与更大的肿瘤、高级别肿瘤、更宽的肿瘤扩展范围、晚期分期和转移有更多的关联。Nestin和FLT1阳性以及Nestin测量的高MVD与总生存期缩短显著相关:结论:Nestin和FLT1在RCC中的表达可能与侵袭性肿瘤特征和患者较短的总生存期有关。结论:Nestin和FLT1在RCC中的表达可能与侵袭性肿瘤特征和患者总生存期缩短有关。Nestin和FLT1可作为RCC的预后生物标志物。
本文章由计算机程序翻译,如有差异,请以英文原文为准。

Regulation of Tumor Vascular Microenvironment by Nestin and Fms-related Tyrosine Kinase 1 (FLT1) and Their Prognostic Significance in Renal Cell Carcinoma.

Regulation of Tumor Vascular Microenvironment by Nestin and Fms-related Tyrosine Kinase 1 (FLT1) and Their Prognostic Significance in Renal Cell Carcinoma.

Regulation of Tumor Vascular Microenvironment by Nestin and Fms-related Tyrosine Kinase 1 (FLT1) and Their Prognostic Significance in Renal Cell Carcinoma.

Background & objective: Hypervascularity is a characteristic feature of renal cell carcinoma (RCC) and microvessel density (MVD) predicts tumor metastasis. Nestin is a stem cell marker that is expressed in proliferating endothelial cells and newly formed vessels and Fms-related tyrosine kinase 1 (FLT1) is a proangiogenic factor. This study aimed to evaluate the expression of Nestin and FLT1 in RCC and their prognostic impact.

Methods: This retrospective study included sixty cases of RCC after obtaining ethical approval. Sections were immunohistochemically stained by Nestin and FLT1 then their expressions were compared to different clinicopathological parameters. MVD was evaluated using Nestin and CD34 and compared to the different parameters.

Results: Nestin was expressed mainly in endothelial cells of small vessels in 65% of cases while FLT1 was expressed in tumor and endothelial cells in 73.3% of cases. Their expressions were significantly associated with aggressive tumor parameters including larger tumors, high-grade tumors, wider tumor extension, and advanced stage. Moreover, Nestin expression was significantly associated with metastasis. MVD evaluated by Nestin showed more associations with larger tumors, high-grade tumors, wider tumor extension, advanced stage, and metastasis than MVD measured by CD34. Nestin and FLT1 positivity and high MVD measured by Nestin were significantly associated with short overall survival.

Conclusion: Nestin and FLT1 expressions in RCC may be associated with aggressive tumor features and short patients' overall survival. MVD evaluated by Nestin may be correlated with tumor progression and metastasis. Nestin and FLT1 may be used as prognostic biomarkers in RCC.

求助全文
通过发布文献求助,成功后即可免费获取论文全文。 去求助
来源期刊
Iranian Journal of Pathology
Iranian Journal of Pathology Medicine-Pathology and Forensic Medicine
CiteScore
2.00
自引率
0.00%
发文量
99
审稿时长
20 weeks
×
引用
GB/T 7714-2015
复制
MLA
复制
APA
复制
导出至
BibTeX EndNote RefMan NoteFirst NoteExpress
×
提示
您的信息不完整,为了账户安全,请先补充。
现在去补充
×
提示
您因"违规操作"
具体请查看互助需知
我知道了
×
提示
确定
请完成安全验证×
copy
已复制链接
快去分享给好友吧!
我知道了
右上角分享
点击右上角分享
0
联系我们:info@booksci.cn Book学术提供免费学术资源搜索服务,方便国内外学者检索中英文文献。致力于提供最便捷和优质的服务体验。 Copyright © 2023 布克学术 All rights reserved.
京ICP备2023020795号-1
ghs 京公网安备 11010802042870号
Book学术文献互助
Book学术文献互助群
群 号:604180095
Book学术官方微信